Approach to the Patient with Acute Aortic Syndromes in Light of the New Consensus Statement on Multimodality Imaging in Thoracic Aortic Diseases.

IF 1 Q4 CARDIAC & CARDIOVASCULAR SYSTEMS
Journal of Cardiovascular Echography Pub Date : 2023-07-01 Epub Date: 2023-11-20 DOI:10.4103/jcecho.jcecho_36_23
Manuela Muratori, Maria Elisabetta Mancini, Gloria Tamborini, Saima Mushtaq, Andrea Annoni, Laura Fusini, Fabrizio Celeste, Andrea Baggiano, Fabio Fazzari, Valentina Mantegazza, Gianluca Pontone, Mauro Pepi
{"title":"Approach to the Patient with Acute Aortic Syndromes in Light of the New Consensus Statement on Multimodality Imaging in Thoracic Aortic Diseases.","authors":"Manuela Muratori, Maria Elisabetta Mancini, Gloria Tamborini, Saima Mushtaq, Andrea Annoni, Laura Fusini, Fabrizio Celeste, Andrea Baggiano, Fabio Fazzari, Valentina Mantegazza, Gianluca Pontone, Mauro Pepi","doi":"10.4103/jcecho.jcecho_36_23","DOIUrl":null,"url":null,"abstract":"<p><p>Acute aortic syndromes comprise a range of interrelated conditions including aortic dissection, intramural hematoma, penetrating atherosclerotic ulcer, and contained or not contained aortic aneurysm rupture. These syndromes are potentially life threatening; therefore, a rapid and accurate diagnosis is crucial. A new Clinical Consensus Statement on Aortic and Peripheral Vascular Disease has recently been published, and we will try to highlight the main innovations in the document.</p>","PeriodicalId":15191,"journal":{"name":"Journal of Cardiovascular Echography","volume":"33 3","pages":"109-116"},"PeriodicalIF":1.0000,"publicationDate":"2023-07-01","publicationTypes":"Journal Article","fieldsOfStudy":null,"isOpenAccess":false,"openAccessPdf":"https://www.ncbi.nlm.nih.gov/pmc/articles/PMC10756317/pdf/","citationCount":"0","resultStr":null,"platform":"Semanticscholar","paperid":null,"PeriodicalName":"Journal of Cardiovascular Echography","FirstCategoryId":"1085","ListUrlMain":"https://doi.org/10.4103/jcecho.jcecho_36_23","RegionNum":0,"RegionCategory":null,"ArticlePicture":[],"TitleCN":null,"AbstractTextCN":null,"PMCID":null,"EPubDate":"2023/11/20 0:00:00","PubModel":"Epub","JCR":"Q4","JCRName":"CARDIAC & CARDIOVASCULAR SYSTEMS","Score":null,"Total":0}
引用次数: 0

Abstract

Acute aortic syndromes comprise a range of interrelated conditions including aortic dissection, intramural hematoma, penetrating atherosclerotic ulcer, and contained or not contained aortic aneurysm rupture. These syndromes are potentially life threatening; therefore, a rapid and accurate diagnosis is crucial. A new Clinical Consensus Statement on Aortic and Peripheral Vascular Disease has recently been published, and we will try to highlight the main innovations in the document.

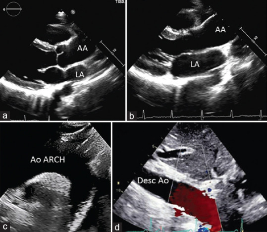
Abstract Image

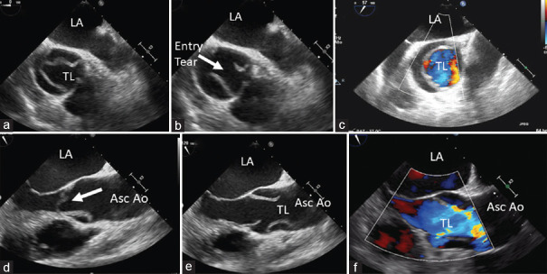
Abstract Image

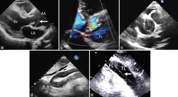
Abstract Image

根据《胸主动脉疾病多模式成像新共识声明》治疗急性主动脉综合征患者的方法。
急性主动脉综合征由一系列相互关联的病症组成,包括主动脉夹层、壁内血肿、穿透性动脉粥样硬化溃疡以及包含或不包含主动脉瘤破裂。这些综合征都可能危及生命;因此,快速准确的诊断至关重要。最近发布了一份新的《主动脉和外周血管疾病临床共识声明》,我们将尝试强调该文件的主要创新之处。
本文章由计算机程序翻译,如有差异,请以英文原文为准。
求助全文
约1分钟内获得全文 求助全文
来源期刊
Journal of Cardiovascular Echography
Journal of Cardiovascular Echography CARDIAC & CARDIOVASCULAR SYSTEMS-
CiteScore
1.40
自引率
12.50%
发文量
27
×
引用
GB/T 7714-2015
复制
MLA
复制
APA
复制
导出至
BibTeX EndNote RefMan NoteFirst NoteExpress
×
提示
您的信息不完整,为了账户安全,请先补充。
现在去补充
×
提示
您因"违规操作"
具体请查看互助需知
我知道了
×
提示
确定
请完成安全验证×
copy
已复制链接
快去分享给好友吧!
我知道了
右上角分享
点击右上角分享
0
联系我们:info@booksci.cn Book学术提供免费学术资源搜索服务,方便国内外学者检索中英文文献。致力于提供最便捷和优质的服务体验。 Copyright © 2023 布克学术 All rights reserved.
京ICP备2023020795号-1
ghs 京公网安备 11010802042870号
Book学术文献互助
Book学术文献互助群
群 号:604180095
Book学术官方微信