A Rare Case of Isolated Right Ventricular Loeffler's Endocarditis in Primary Hypereosinophilic Syndrome.

IF 1 Q4 CARDIAC & CARDIOVASCULAR SYSTEMS
Journal of Cardiovascular Echography Pub Date : 2023-07-01 Epub Date: 2023-11-20 DOI:10.4103/jcecho.jcecho_22_23
Laura Padoan, Stefano Coiro, Stefano Sforna, Maurizio Del Pinto, Ketty Savino
{"title":"A Rare Case of Isolated Right Ventricular Loeffler's Endocarditis in Primary Hypereosinophilic Syndrome.","authors":"Laura Padoan, Stefano Coiro, Stefano Sforna, Maurizio Del Pinto, Ketty Savino","doi":"10.4103/jcecho.jcecho_22_23","DOIUrl":null,"url":null,"abstract":"<p><p>Hypereosinophilic syndrome (HES) is a systemic disorder with various manifestations, characterized by hypereosinophilia and caused by primary or secondary conditions. Loeffler's endocarditis (LE) represents a frequent cardiac manifestation of HES, caused by infiltration of the myocardium by eosinophilic cells, which determines endocardial damage, with subsequent inflammation, thrombosis, and fibrosis of either one or both ventricles. The diagnosis of cardiac involvement is based on a multimodality approach (i.e., two-dimensional transthoracic echocardiography [2D-TTE], speckle-tracking echocardiography [STE], and cardiac magnetic resonance [CMR]), with different findings depending on the stage of disease. STE may be useful in the initial phase when traditional imaging techniques may result negative, whereas CMR allows myocardial tissue characterization along with a better definition of the right ventricle. We present a rare case of LE with isolated right ventricular involvement in a patient with HES caused by chronic eosinophilic leukemia with constitutively activated fusion tyrosine kinase on chromosome 4q12, successfully treated with imatinib mesylate.</p>","PeriodicalId":15191,"journal":{"name":"Journal of Cardiovascular Echography","volume":"33 3","pages":"139-143"},"PeriodicalIF":1.0000,"publicationDate":"2023-07-01","publicationTypes":"Journal Article","fieldsOfStudy":null,"isOpenAccess":false,"openAccessPdf":"https://www.ncbi.nlm.nih.gov/pmc/articles/PMC10756316/pdf/","citationCount":"0","resultStr":null,"platform":"Semanticscholar","paperid":null,"PeriodicalName":"Journal of Cardiovascular Echography","FirstCategoryId":"1085","ListUrlMain":"https://doi.org/10.4103/jcecho.jcecho_22_23","RegionNum":0,"RegionCategory":null,"ArticlePicture":[],"TitleCN":null,"AbstractTextCN":null,"PMCID":null,"EPubDate":"2023/11/20 0:00:00","PubModel":"Epub","JCR":"Q4","JCRName":"CARDIAC & CARDIOVASCULAR SYSTEMS","Score":null,"Total":0}
引用次数: 0

Abstract

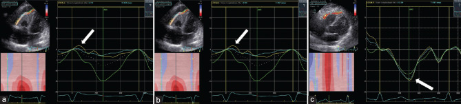
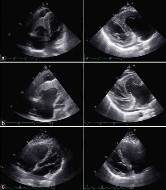
Hypereosinophilic syndrome (HES) is a systemic disorder with various manifestations, characterized by hypereosinophilia and caused by primary or secondary conditions. Loeffler's endocarditis (LE) represents a frequent cardiac manifestation of HES, caused by infiltration of the myocardium by eosinophilic cells, which determines endocardial damage, with subsequent inflammation, thrombosis, and fibrosis of either one or both ventricles. The diagnosis of cardiac involvement is based on a multimodality approach (i.e., two-dimensional transthoracic echocardiography [2D-TTE], speckle-tracking echocardiography [STE], and cardiac magnetic resonance [CMR]), with different findings depending on the stage of disease. STE may be useful in the initial phase when traditional imaging techniques may result negative, whereas CMR allows myocardial tissue characterization along with a better definition of the right ventricle. We present a rare case of LE with isolated right ventricular involvement in a patient with HES caused by chronic eosinophilic leukemia with constitutively activated fusion tyrosine kinase on chromosome 4q12, successfully treated with imatinib mesylate.

Abstract Image

Abstract Image

Abstract Image

原发性嗜酸性粒细胞增多症中孤立性右心室洛夫勒氏心内膜炎的罕见病例
嗜酸性粒细胞过多综合征(HES)是一种以嗜酸性粒细胞过多为特征的全身性疾病,有多种表现形式,由原发性或继发性疾病引起。洛夫勒心内膜炎(LE)是嗜酸性粒细胞增多综合征的一种常见心脏表现,由嗜酸性粒细胞浸润心肌引起,导致心内膜损伤,继而引起一侧或双侧心室炎症、血栓形成和纤维化。心脏受累的诊断基于多模式方法(即二维经胸超声心动图[2D-TTE]、斑点追踪超声心动图[STE]和心脏磁共振[CMR]),根据疾病的不同阶段有不同的结果。当传统成像技术可能导致阴性结果时,STE 在初期阶段可能很有用,而 CMR 则可以确定心肌组织的特征,并更好地界定右心室。我们介绍了一例罕见的LE伴孤立右心室受累病例,患者患有慢性嗜酸性粒细胞白血病(HES),该病由染色体4q12上的酪氨酸激酶组成性激活融合引起,甲磺酸伊马替尼治疗成功。
本文章由计算机程序翻译,如有差异,请以英文原文为准。
求助全文
约1分钟内获得全文 求助全文
来源期刊
Journal of Cardiovascular Echography
Journal of Cardiovascular Echography CARDIAC & CARDIOVASCULAR SYSTEMS-
CiteScore
1.40
自引率
12.50%
发文量
27
×
引用
GB/T 7714-2015
复制
MLA
复制
APA
复制
导出至
BibTeX EndNote RefMan NoteFirst NoteExpress
×
提示
您的信息不完整,为了账户安全,请先补充。
现在去补充
×
提示
您因"违规操作"
具体请查看互助需知
我知道了
×
提示
确定
请完成安全验证×
copy
已复制链接
快去分享给好友吧!
我知道了
右上角分享
点击右上角分享
0
联系我们:info@booksci.cn Book学术提供免费学术资源搜索服务,方便国内外学者检索中英文文献。致力于提供最便捷和优质的服务体验。 Copyright © 2023 布克学术 All rights reserved.
京ICP备2023020795号-1
ghs 京公网安备 11010802042870号
Book学术文献互助
Book学术文献互助群
群 号:604180095
Book学术官方微信