A Rare Case of Intramitral Valve Ring in the Setting of Shone Complex Diagnosed by Echocardiography.

IF 1 Q4 CARDIAC & CARDIOVASCULAR SYSTEMS
Journal of Cardiovascular Echography Pub Date : 2023-07-01 Epub Date: 2023-11-20 DOI:10.4103/jcecho.jcecho_68_22
Roshanak Mahmoudian, Reza Hali, Mohammadbagher Sharifkazemi, Leila Anvari
{"title":"A Rare Case of Intramitral Valve Ring in the Setting of Shone Complex Diagnosed by Echocardiography.","authors":"Roshanak Mahmoudian, Reza Hali, Mohammadbagher Sharifkazemi, Leila Anvari","doi":"10.4103/jcecho.jcecho_68_22","DOIUrl":null,"url":null,"abstract":"","PeriodicalId":15191,"journal":{"name":"Journal of Cardiovascular Echography","volume":"33 3","pages":"155-157"},"PeriodicalIF":1.0000,"publicationDate":"2023-07-01","publicationTypes":"Journal Article","fieldsOfStudy":null,"isOpenAccess":false,"openAccessPdf":"https://www.ncbi.nlm.nih.gov/pmc/articles/PMC10756313/pdf/","citationCount":"0","resultStr":null,"platform":"Semanticscholar","paperid":null,"PeriodicalName":"Journal of Cardiovascular Echography","FirstCategoryId":"1085","ListUrlMain":"https://doi.org/10.4103/jcecho.jcecho_68_22","RegionNum":0,"RegionCategory":null,"ArticlePicture":[],"TitleCN":null,"AbstractTextCN":null,"PMCID":null,"EPubDate":"2023/11/20 0:00:00","PubModel":"Epub","JCR":"Q4","JCRName":"CARDIAC & CARDIOVASCULAR SYSTEMS","Score":null,"Total":0}
引用次数: 0

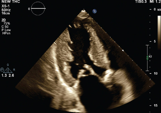
Abstract Image

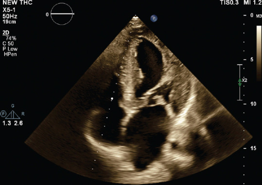
Abstract Image

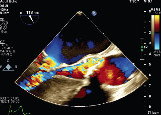
Abstract Image

一例通过超声心动图诊断出 Shone 复合物的罕见瓣膜内环。
本文章由计算机程序翻译,如有差异,请以英文原文为准。
求助全文
约1分钟内获得全文 求助全文
来源期刊
Journal of Cardiovascular Echography
Journal of Cardiovascular Echography CARDIAC & CARDIOVASCULAR SYSTEMS-
CiteScore
1.40
自引率
12.50%
发文量
27
×
引用
GB/T 7714-2015
复制
MLA
复制
APA
复制
导出至
BibTeX EndNote RefMan NoteFirst NoteExpress
×
提示
您的信息不完整,为了账户安全,请先补充。
现在去补充
×
提示
您因"违规操作"
具体请查看互助需知
我知道了
×
提示
确定
请完成安全验证×
copy
已复制链接
快去分享给好友吧!
我知道了
右上角分享
点击右上角分享
0
联系我们:info@booksci.cn Book学术提供免费学术资源搜索服务,方便国内外学者检索中英文文献。致力于提供最便捷和优质的服务体验。 Copyright © 2023 布克学术 All rights reserved.
京ICP备2023020795号-1
ghs 京公网安备 11010802042870号
Book学术文献互助
Book学术文献互助群
群 号:604180095
Book学术官方微信