Unmasking Coincident Hodgkin Lymphoma and Giant Cell Tumor: Insights from [18F] FDG PET/CT.

Q3 Medicine
Akram Al-Ibraheem, Serin Moghrabi, Ahmed Saad Abdlkadir, Mohamad Haidar, Omar Jaber
{"title":"Unmasking Coincident Hodgkin Lymphoma and Giant Cell Tumor: Insights from [<sup>18</sup>F] FDG PET/CT.","authors":"Akram Al-Ibraheem, Serin Moghrabi, Ahmed Saad Abdlkadir, Mohamad Haidar, Omar Jaber","doi":"10.22038/AOJNMB.2023.74639.1519","DOIUrl":null,"url":null,"abstract":"<p><p>Tenosynovial giant cell tumors represent a group of typically non-malignant tumors found within the joints and soft tissues. The occurrence of tenosynovial giant cell tumor alongside hematologic malignancies is an infrequent finding. Herein, we report a patient who presented with coinciding Hodgkin Lymphoma (HL) and tenosynovial giant cell tumor before chemotherapy initiation. The case was discovered during initial assessment using [<sup>18</sup>F]fluorodeoxyglucose ([<sup>18</sup>F]FDG) positron emission tomography/computed tomography (PET/CT) imaging for HL staging. An unrelated hypermetabolic mass within the left knee joint led to the discovery of this unusual case, which led to a CT-guided biopsy and tenosynovial giant cell tumor discovery. This was clearly demonstrated in interim and end-of-therapy PET/CT studies when all lymphomatous lesions had resolved but the tenosynovial giant cell tumor remained. This case serves as a reminder of the intricate nature of oncological pathology and emphasizes the need for thorough and vigilant diagnostic evaluation for optimal management plan.</p>","PeriodicalId":8503,"journal":{"name":"Asia Oceania Journal of Nuclear Medicine and Biology","volume":"12 1","pages":"57-60"},"PeriodicalIF":0.0000,"publicationDate":"2024-01-01","publicationTypes":"Journal Article","fieldsOfStudy":null,"isOpenAccess":false,"openAccessPdf":"https://www.ncbi.nlm.nih.gov/pmc/articles/PMC10757054/pdf/","citationCount":"0","resultStr":null,"platform":"Semanticscholar","paperid":null,"PeriodicalName":"Asia Oceania Journal of Nuclear Medicine and Biology","FirstCategoryId":"1085","ListUrlMain":"https://doi.org/10.22038/AOJNMB.2023.74639.1519","RegionNum":0,"RegionCategory":null,"ArticlePicture":[],"TitleCN":null,"AbstractTextCN":null,"PMCID":null,"EPubDate":"","PubModel":"","JCR":"Q3","JCRName":"Medicine","Score":null,"Total":0}
引用次数: 0

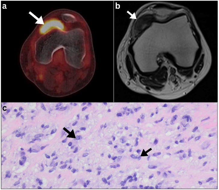
Abstract

Tenosynovial giant cell tumors represent a group of typically non-malignant tumors found within the joints and soft tissues. The occurrence of tenosynovial giant cell tumor alongside hematologic malignancies is an infrequent finding. Herein, we report a patient who presented with coinciding Hodgkin Lymphoma (HL) and tenosynovial giant cell tumor before chemotherapy initiation. The case was discovered during initial assessment using [18F]fluorodeoxyglucose ([18F]FDG) positron emission tomography/computed tomography (PET/CT) imaging for HL staging. An unrelated hypermetabolic mass within the left knee joint led to the discovery of this unusual case, which led to a CT-guided biopsy and tenosynovial giant cell tumor discovery. This was clearly demonstrated in interim and end-of-therapy PET/CT studies when all lymphomatous lesions had resolved but the tenosynovial giant cell tumor remained. This case serves as a reminder of the intricate nature of oncological pathology and emphasizes the need for thorough and vigilant diagnostic evaluation for optimal management plan.

Abstract Image

Abstract Image

Abstract Image

揭示霍奇金淋巴瘤和巨细胞瘤的并发症:18F] FDG PET/CT 的启示。
腱鞘巨细胞瘤是在关节和软组织内发现的一组典型的非恶性肿瘤。腱鞘巨细胞瘤与血液系统恶性肿瘤同时出现的情况并不多见。在此,我们报告了一名在开始化疗前同时患有霍奇金淋巴瘤(HL)和腱鞘巨细胞瘤的患者。该病例是在使用[18F]氟脱氧葡萄糖([18F]FDG)正电子发射断层扫描/计算机断层扫描(PET/CT)成像进行HL分期的初步评估时发现的。左膝关节内一个与之无关的高代谢肿块导致了这一罕见病例的发现,进而在 CT 引导下进行活检,发现了腱鞘巨细胞瘤。在中期和治疗末期的 PET/CT 研究中,所有淋巴瘤病变均已消退,但腱鞘巨细胞瘤依然存在,这清楚地表明了这一点。该病例提醒我们肿瘤病理学的复杂性,并强调了为制定最佳治疗方案进行彻底和警惕性诊断评估的必要性。
本文章由计算机程序翻译,如有差异,请以英文原文为准。
求助全文
约1分钟内获得全文 求助全文
来源期刊
Asia Oceania Journal of Nuclear Medicine and Biology
Asia Oceania Journal of Nuclear Medicine and Biology Medicine-Radiology, Nuclear Medicine and Imaging
CiteScore
1.80
自引率
0.00%
发文量
28
审稿时长
12 weeks
×
引用
GB/T 7714-2015
复制
MLA
复制
APA
复制
导出至
BibTeX EndNote RefMan NoteFirst NoteExpress
×
提示
您的信息不完整,为了账户安全,请先补充。
现在去补充
×
提示
您因"违规操作"
具体请查看互助需知
我知道了
×
提示
确定
请完成安全验证×
copy
已复制链接
快去分享给好友吧!
我知道了
右上角分享
点击右上角分享
0
联系我们:info@booksci.cn Book学术提供免费学术资源搜索服务,方便国内外学者检索中英文文献。致力于提供最便捷和优质的服务体验。 Copyright © 2023 布克学术 All rights reserved.
京ICP备2023020795号-1
ghs 京公网安备 11010802042870号
Book学术文献互助
Book学术文献互助群
群 号:604180095
Book学术官方微信