18F-FDG PET/CT imaging of IgG4-producing MALT lymphoma with multiple site involvement.

Q3 Medicine
Kodai Kawaji, Seiji Kurata, Katsuhisa Matsuo, Hiroaki Miyoshi, Jun Akiba, Fumihiko Mouri, Akiko Sumi, Kiminori Fujimoto, Toshi Abe
{"title":"<sup>18</sup>F-FDG PET/CT imaging of IgG4-producing MALT lymphoma with multiple site involvement.","authors":"Kodai Kawaji, Seiji Kurata, Katsuhisa Matsuo, Hiroaki Miyoshi, Jun Akiba, Fumihiko Mouri, Akiko Sumi, Kiminori Fujimoto, Toshi Abe","doi":"10.22038/AOJNMB.2023.73477.1512","DOIUrl":null,"url":null,"abstract":"<p><p><sup>18</sup>F-FDG PET/CT is regarded as a modality utilized for the purpose of lesion localization, staging and assessment of treatment response in patients with lymphoma. However, it is difficult that we diagnose among multifocal lymphoma, IgG4-related disease (IgG4-RD), or a combination of both conditions when confronted with multiple sites of <sup>18</sup>F-FDG uptake with heightened serum IgG4 levels. We present a case of a 72-year-old male who was suspected of Sjögren's syndrome based on symptoms of xerostomia accompanied by swelling of the bilateral upper eyelid and salivary glands. Following a diagnostic biopsy that revealed mucosa-associated lymphoid tissue (MALT) lymphoma as a possible finding, <sup>18</sup>F-FDG PET/CT was conducted, which demonstrated multiple sites of <sup>18</sup>F-FDG accumulation. While multifocal MALT lymphoma was initially suspected, the coexistence of IgG4-RD could not be definitively ruled out due to the elevated serum IgG4 levels. Subsequent histopathological and immunohistochemical examinations confirmed the diagnosis of IgG4-producing MALT lymphoma. After receiving systemic therapy with rituximab, the swelling of the bilateral upper eyelid and parotid glands resolved upon visual examination, and the serum IgG4 levels returned to within the normal range in a few months. No new lesions were detected during the subsequent follow-up examinations conducted over a period of 3 years.</p>","PeriodicalId":8503,"journal":{"name":"Asia Oceania Journal of Nuclear Medicine and Biology","volume":"12 1","pages":"52-56"},"PeriodicalIF":0.0000,"publicationDate":"2024-01-01","publicationTypes":"Journal Article","fieldsOfStudy":null,"isOpenAccess":false,"openAccessPdf":"https://www.ncbi.nlm.nih.gov/pmc/articles/PMC10757051/pdf/","citationCount":"0","resultStr":null,"platform":"Semanticscholar","paperid":null,"PeriodicalName":"Asia Oceania Journal of Nuclear Medicine and Biology","FirstCategoryId":"1085","ListUrlMain":"https://doi.org/10.22038/AOJNMB.2023.73477.1512","RegionNum":0,"RegionCategory":null,"ArticlePicture":[],"TitleCN":null,"AbstractTextCN":null,"PMCID":null,"EPubDate":"","PubModel":"","JCR":"Q3","JCRName":"Medicine","Score":null,"Total":0}
引用次数: 0

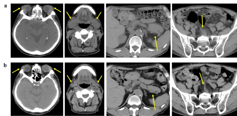
Abstract

18F-FDG PET/CT is regarded as a modality utilized for the purpose of lesion localization, staging and assessment of treatment response in patients with lymphoma. However, it is difficult that we diagnose among multifocal lymphoma, IgG4-related disease (IgG4-RD), or a combination of both conditions when confronted with multiple sites of 18F-FDG uptake with heightened serum IgG4 levels. We present a case of a 72-year-old male who was suspected of Sjögren's syndrome based on symptoms of xerostomia accompanied by swelling of the bilateral upper eyelid and salivary glands. Following a diagnostic biopsy that revealed mucosa-associated lymphoid tissue (MALT) lymphoma as a possible finding, 18F-FDG PET/CT was conducted, which demonstrated multiple sites of 18F-FDG accumulation. While multifocal MALT lymphoma was initially suspected, the coexistence of IgG4-RD could not be definitively ruled out due to the elevated serum IgG4 levels. Subsequent histopathological and immunohistochemical examinations confirmed the diagnosis of IgG4-producing MALT lymphoma. After receiving systemic therapy with rituximab, the swelling of the bilateral upper eyelid and parotid glands resolved upon visual examination, and the serum IgG4 levels returned to within the normal range in a few months. No new lesions were detected during the subsequent follow-up examinations conducted over a period of 3 years.

Abstract Image

Abstract Image

Abstract Image

多部位受累的 IgG4 型 MALT 淋巴瘤的 18F-FDG PET/CT 成像。
18F-FDG PET/CT 被认为是一种用于淋巴瘤患者病灶定位、分期和治疗反应评估的方法。然而,面对多部位 18F-FDG 摄取和血清 IgG4 水平升高的情况,我们很难诊断多灶性淋巴瘤、IgG4 相关疾病(IgG4-RD)或两者的合并症。我们报告了一例 72 岁男性患者的病例,他因口干舌燥并伴有双侧上眼睑和唾液腺肿胀的症状而被怀疑患有斯约格伦综合征。诊断性活组织检查发现可能是粘膜相关淋巴组织(MALT)淋巴瘤,随后进行了 18F-FDG PET/CT 检查,结果显示 18F-FDG 在多个部位聚集。虽然最初怀疑是多灶性 MALT 淋巴瘤,但由于血清 IgG4 水平升高,无法明确排除 IgG4-RD 并存的可能性。随后的组织病理学和免疫组化检查证实了 IgG4 产出型 MALT 淋巴瘤的诊断。在接受利妥昔单抗全身治疗后,双侧上眼睑和腮腺肿胀在肉眼观察下消失,血清IgG4水平在几个月后恢复到正常范围。在随后长达 3 年的随访检查中,没有发现新的病变。
本文章由计算机程序翻译,如有差异,请以英文原文为准。
求助全文
约1分钟内获得全文 求助全文
来源期刊
Asia Oceania Journal of Nuclear Medicine and Biology
Asia Oceania Journal of Nuclear Medicine and Biology Medicine-Radiology, Nuclear Medicine and Imaging
CiteScore
1.80
自引率
0.00%
发文量
28
审稿时长
12 weeks
×
引用
GB/T 7714-2015
复制
MLA
复制
APA
复制
导出至
BibTeX EndNote RefMan NoteFirst NoteExpress
×
提示
您的信息不完整,为了账户安全,请先补充。
现在去补充
×
提示
您因"违规操作"
具体请查看互助需知
我知道了
×
提示
确定
请完成安全验证×
copy
已复制链接
快去分享给好友吧!
我知道了
右上角分享
点击右上角分享
0
联系我们:info@booksci.cn Book学术提供免费学术资源搜索服务,方便国内外学者检索中英文文献。致力于提供最便捷和优质的服务体验。 Copyright © 2023 布克学术 All rights reserved.
京ICP备2023020795号-1
ghs 京公网安备 11010802042870号
Book学术文献互助
Book学术文献互助群
群 号:604180095
Book学术官方微信