EGCG promotes the sensory function recovery in rats after dorsal root crush injury by upregulating KAT6A and inhibiting pyroptosis.

IF 2.2 4区 医学 Q4 NEUROSCIENCES
Translational Neuroscience Pub Date : 2023-12-14 eCollection Date: 2023-01-01 DOI:10.1515/tnsci-2022-0326
Jianjun Wang, Zuer Yu, Yichun Hu, Fuyu Li, Xiaoyu Huang, Xiangyue Zhao, Yaqi Tang, Shujuan Fang, Yinjuan Tang
{"title":"EGCG promotes the sensory function recovery in rats after dorsal root crush injury by upregulating KAT6A and inhibiting pyroptosis.","authors":"Jianjun Wang, Zuer Yu, Yichun Hu, Fuyu Li, Xiaoyu Huang, Xiangyue Zhao, Yaqi Tang, Shujuan Fang, Yinjuan Tang","doi":"10.1515/tnsci-2022-0326","DOIUrl":null,"url":null,"abstract":"<p><p>Dorsal root injury usually leads to irreversible sensory function loss and lacks effective treatments. (-)-epigallocatechin-3-gallate (EGCG) is reported to exert neuroprotective roles in the nervous systems. However, the function of EGCG in treating dorsal root injury remains unclear. Hence, we built the dorsal root crush injury (DRCI) rat model to be treated with EGCG, followed by the western blot, Enzyme-linked immunosorbent assay, and sensory behavior tests. We observed that EGCG can upregulate the Lysine acetyltransferase 6A (KAT6A) level and inhibit the pyroptosis, indicated by downregulated gasdermin-D, caspase-1, and interleukin 18 protein levels, and alleviate the neuropathic pain, indicated by the decreased paw withdraw threshold in Plantar test and decreased paw withdraw latency in von Frey test, and downregulated calcitonin gene-related peptide, nerve growth factor, and c-Fos protein levels. But EGCG cannot alleviate the neuropathic pain when the KAT6A was inhibited by CTX-0124143 and pyroptosis was activated by Miltirone. These combined results indicated that EGCG can promote the sensory function recovery in rats after DRCI via upregulating KAT6A and inhibiting pyroptosis, laying the foundation for EGCG to be a novel candidate for the treatment of dorsal root injury.</p>","PeriodicalId":23227,"journal":{"name":"Translational Neuroscience","volume":"14 1","pages":"20220326"},"PeriodicalIF":2.2000,"publicationDate":"2023-12-14","publicationTypes":"Journal Article","fieldsOfStudy":null,"isOpenAccess":false,"openAccessPdf":"https://www.ncbi.nlm.nih.gov/pmc/articles/PMC10751571/pdf/","citationCount":"0","resultStr":null,"platform":"Semanticscholar","paperid":null,"PeriodicalName":"Translational Neuroscience","FirstCategoryId":"3","ListUrlMain":"https://doi.org/10.1515/tnsci-2022-0326","RegionNum":4,"RegionCategory":"医学","ArticlePicture":[],"TitleCN":null,"AbstractTextCN":null,"PMCID":null,"EPubDate":"2023/1/1 0:00:00","PubModel":"eCollection","JCR":"Q4","JCRName":"NEUROSCIENCES","Score":null,"Total":0}
引用次数: 0

Abstract

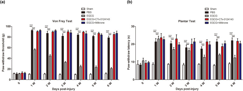
Dorsal root injury usually leads to irreversible sensory function loss and lacks effective treatments. (-)-epigallocatechin-3-gallate (EGCG) is reported to exert neuroprotective roles in the nervous systems. However, the function of EGCG in treating dorsal root injury remains unclear. Hence, we built the dorsal root crush injury (DRCI) rat model to be treated with EGCG, followed by the western blot, Enzyme-linked immunosorbent assay, and sensory behavior tests. We observed that EGCG can upregulate the Lysine acetyltransferase 6A (KAT6A) level and inhibit the pyroptosis, indicated by downregulated gasdermin-D, caspase-1, and interleukin 18 protein levels, and alleviate the neuropathic pain, indicated by the decreased paw withdraw threshold in Plantar test and decreased paw withdraw latency in von Frey test, and downregulated calcitonin gene-related peptide, nerve growth factor, and c-Fos protein levels. But EGCG cannot alleviate the neuropathic pain when the KAT6A was inhibited by CTX-0124143 and pyroptosis was activated by Miltirone. These combined results indicated that EGCG can promote the sensory function recovery in rats after DRCI via upregulating KAT6A and inhibiting pyroptosis, laying the foundation for EGCG to be a novel candidate for the treatment of dorsal root injury.

Abstract Image

Abstract Image

Abstract Image

EGCG可通过上调KAT6A和抑制脓毒症促进大鼠背根挤压伤后的感觉功能恢复。
背根损伤通常会导致不可逆的感觉功能丧失,而且缺乏有效的治疗方法。(据报道,(-)-表没食子儿茶素-3-棓酸盐(EGCG)对神经系统具有保护作用。然而,EGCG 在治疗背根损伤方面的功能仍不清楚。因此,我们建立了背根挤压伤(DRCI)大鼠模型,用EGCG对其进行治疗,然后进行Western印迹、酶联免疫吸附试验和感觉行为试验。我们观察到,EGCG能上调赖氨酸乙酰转移酶6A(KAT6A)水平,抑制热蛋白沉积,表现为gasdermin-D、caspase-1和白细胞介素18蛋白水平下调;缓解神经病理性疼痛,表现为Plantar试验中爪抽出阈值降低,von Frey试验中爪抽出潜伏期缩短,降钙素基因相关肽、神经生长因子和c-Fos蛋白水平下调。但是,当 CTX-0124143 抑制 KAT6A 和 Miltirone 激活热变态反应时,EGCG 并不能缓解神经病理性疼痛。这些综合结果表明,EGCG可通过上调KAT6A和抑制热蛋白沉积促进背根损伤后大鼠感觉功能的恢复,为EGCG成为治疗背根损伤的新型候选药物奠定了基础。
本文章由计算机程序翻译,如有差异,请以英文原文为准。
求助全文
约1分钟内获得全文 求助全文
来源期刊
CiteScore
3.00
自引率
4.80%
发文量
45
审稿时长
>12 weeks
期刊介绍: Translational Neuroscience provides a closer interaction between basic and clinical neuroscientists to expand understanding of brain structure, function and disease, and translate this knowledge into clinical applications and novel therapies of nervous system disorders.
×
引用
GB/T 7714-2015
复制
MLA
复制
APA
复制
导出至
BibTeX EndNote RefMan NoteFirst NoteExpress
×
提示
您的信息不完整,为了账户安全,请先补充。
现在去补充
×
提示
您因"违规操作"
具体请查看互助需知
我知道了
×
提示
确定
请完成安全验证×
copy
已复制链接
快去分享给好友吧!
我知道了
右上角分享
点击右上角分享
0
联系我们:info@booksci.cn Book学术提供免费学术资源搜索服务,方便国内外学者检索中英文文献。致力于提供最便捷和优质的服务体验。 Copyright © 2023 布克学术 All rights reserved.
京ICP备2023020795号-1
ghs 京公网安备 11010802042870号
Book学术文献互助
Book学术文献互助群
群 号:604180095
Book学术官方微信