Metastatic Adenocarcinoma of Mandible with Unknown Primary Origin (CUP Syndrome): a Rare Case Report.

Saede Atarbashi-Moghadam, Mohammad Jafarian, Shaghayegh Dowdani
{"title":"Metastatic Adenocarcinoma of Mandible with Unknown Primary Origin (CUP Syndrome): a Rare Case Report.","authors":"Saede Atarbashi-Moghadam, Mohammad Jafarian, Shaghayegh Dowdani","doi":"10.30476/dentjods.2023.97749.2034","DOIUrl":null,"url":null,"abstract":"<p><p>Metastatic lesions of the jaws are a diagnostic challenge because of their scarcity and uncharacteristic clinical-radiographic features. Carcinoma of unknown primary origin (CUP) is characterized by the existence of metastatic disease with no recognized primary neoplasm after a comprehensive work-up. CUP shows a poor prognosis with limited treatment choices. This paper presents a 64-year-old male with a chief complaint of paresthesia of the chin and lower lip. Panoramic radiography showed an ill-defined radiolucency in the left mandibular molar area and the residue of the first molar root. Microscopic examination demonstrated features of mucin-producing adenocarcinoma and was not similar to common neoplasms of the jaw. The whole-body scan revealed multiple osseous uptakes. CDX2 was diffusely positive. However, in the end, the origin of the primary tumor was not determined. Considering the aforementioned data, the diagnosis of metastatic adenocarcinoma with unknown primary origin was made. CUP of the oral cavity is an extremely rare event. The possibility of metastasis should be raised in a patient who complains of paresthesia. Awareness of the clinical and histopathologic features of these malignancies is crucial for clinicians and pathologists to have a proper diagnosis.</p>","PeriodicalId":73702,"journal":{"name":"Journal of dentistry (Shiraz, Iran)","volume":"24 4","pages":"444-448"},"PeriodicalIF":0.0000,"publicationDate":"2023-12-01","publicationTypes":"Journal Article","fieldsOfStudy":null,"isOpenAccess":false,"openAccessPdf":"https://www.ncbi.nlm.nih.gov/pmc/articles/PMC10749435/pdf/","citationCount":"0","resultStr":null,"platform":"Semanticscholar","paperid":null,"PeriodicalName":"Journal of dentistry (Shiraz, Iran)","FirstCategoryId":"1085","ListUrlMain":"https://doi.org/10.30476/dentjods.2023.97749.2034","RegionNum":0,"RegionCategory":null,"ArticlePicture":[],"TitleCN":null,"AbstractTextCN":null,"PMCID":null,"EPubDate":"","PubModel":"","JCR":"","JCRName":"","Score":null,"Total":0}
引用次数: 0

Abstract

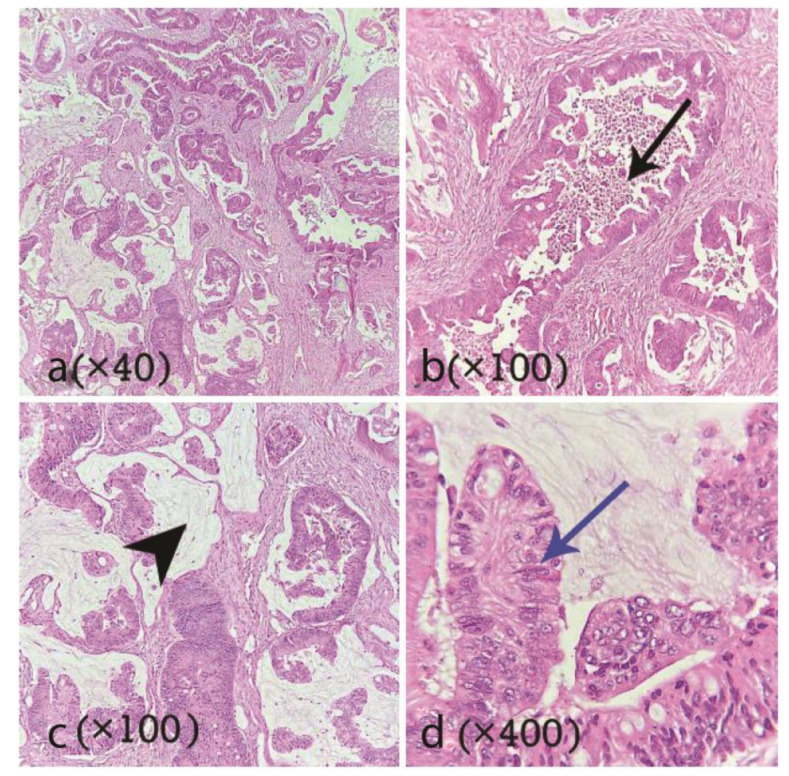
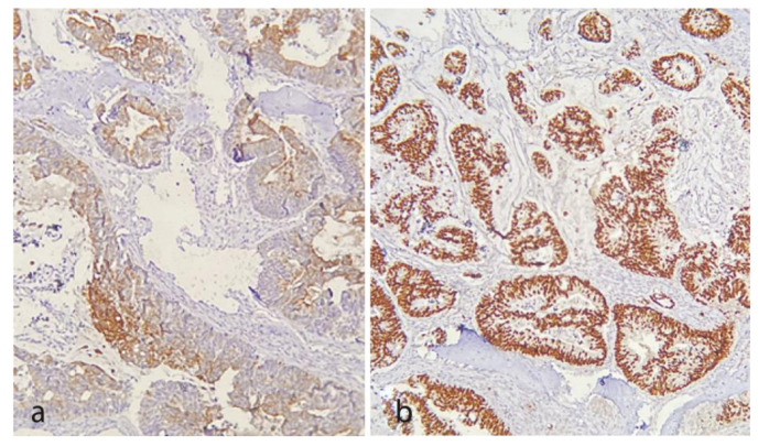
Metastatic lesions of the jaws are a diagnostic challenge because of their scarcity and uncharacteristic clinical-radiographic features. Carcinoma of unknown primary origin (CUP) is characterized by the existence of metastatic disease with no recognized primary neoplasm after a comprehensive work-up. CUP shows a poor prognosis with limited treatment choices. This paper presents a 64-year-old male with a chief complaint of paresthesia of the chin and lower lip. Panoramic radiography showed an ill-defined radiolucency in the left mandibular molar area and the residue of the first molar root. Microscopic examination demonstrated features of mucin-producing adenocarcinoma and was not similar to common neoplasms of the jaw. The whole-body scan revealed multiple osseous uptakes. CDX2 was diffusely positive. However, in the end, the origin of the primary tumor was not determined. Considering the aforementioned data, the diagnosis of metastatic adenocarcinoma with unknown primary origin was made. CUP of the oral cavity is an extremely rare event. The possibility of metastasis should be raised in a patient who complains of paresthesia. Awareness of the clinical and histopathologic features of these malignancies is crucial for clinicians and pathologists to have a proper diagnosis.

Abstract Image

Abstract Image

Abstract Image

原发灶不明的下颌骨转移性腺癌(银联综合征):一例罕见病例报告。
颌骨转移性病变是诊断上的一个难题,因为它们很少见,而且临床和放射影像学特征也不尽相同。原发来源不明癌(CUP)的特点是存在转移性疾病,但经全面检查后未发现原发肿瘤。CUP 的预后较差,治疗方法有限。本文介绍了一名 64 岁的男性,主诉为下巴和下唇麻痹。全景放射线检查显示,左下颌臼齿区有一界限不清的放射影,第一臼齿根部有残留。显微镜检查显示其特征为分泌粘液的腺癌,与常见的颌骨肿瘤并不相似。全身扫描显示多处骨质隆起。CDX2 呈弥漫性阳性。不过,最终未能确定原发肿瘤的来源。考虑到上述数据,诊断结果为原发来源不明的转移性腺癌。口腔 CUP 是一种极为罕见的疾病。对于主诉有麻痹感的患者,应提高转移的可能性。了解这些恶性肿瘤的临床和组织病理学特征对于临床医生和病理学家做出正确诊断至关重要。
本文章由计算机程序翻译,如有差异,请以英文原文为准。
求助全文
约1分钟内获得全文 求助全文
来源期刊
CiteScore
0.50
自引率
0.00%
发文量
0
×
引用
GB/T 7714-2015
复制
MLA
复制
APA
复制
导出至
BibTeX EndNote RefMan NoteFirst NoteExpress
×
提示
您的信息不完整,为了账户安全,请先补充。
现在去补充
×
提示
您因"违规操作"
具体请查看互助需知
我知道了
×
提示
确定
请完成安全验证×
copy
已复制链接
快去分享给好友吧!
我知道了
右上角分享
点击右上角分享
0
联系我们:info@booksci.cn Book学术提供免费学术资源搜索服务,方便国内外学者检索中英文文献。致力于提供最便捷和优质的服务体验。 Copyright © 2023 布克学术 All rights reserved.
京ICP备2023020795号-1
ghs 京公网安备 11010802042870号
Book学术文献互助
Book学术文献互助群
群 号:604180095
Book学术官方微信