Clinico-pathological profile of patients with plasma cell neoplasms with special reference to bone marrow fibrosis and amyloid deposition.

IF 1.4 Q4 HEMATOLOGY
Narasimhapriyan Kannan, Jasmita Dass, Sahitya Dangudubiyyam, Ganesh Kumar Viswanathan, Mukul Aggarwal, Pradeep Kumar, Rishi Dhawan, Tulika Seth, Manoranjan Mahapatra
{"title":"Clinico-pathological profile of patients with plasma cell neoplasms with special reference to bone marrow fibrosis and amyloid deposition.","authors":"Narasimhapriyan Kannan, Jasmita Dass, Sahitya Dangudubiyyam, Ganesh Kumar Viswanathan, Mukul Aggarwal, Pradeep Kumar, Rishi Dhawan, Tulika Seth, Manoranjan Mahapatra","doi":"10.3960/jslrt.23029","DOIUrl":null,"url":null,"abstract":"<p><p>To clarify the significance of bone marrow fibrosis and amyloid deposition in plasma cell neoplasm, a retrospective cross-sectional study for a period of 3 years was conducted. Patients who underwent bone marrow aspiration and biopsy with suspicion of plasma cell neoplasms were included in the study. The bone marrow findings were correlated with clinical profile of the patient along with biochemical parameters, cytogenetics, Fluorescent in situ hybridization (FISH) wherever available. A total of 273 bone marrow aspirates and biopsies of patients with suspected plasma cell neoplasms were analyzed. There were 181 male patients and 92 female patients (Male: Female = 1.96: 1). There were 245 cases of multiple myeloma (89.7%), 8 cases of primary amyloidosis (2.9%) and 6 monoclonal gammopathy of undetermined significance (MGUS) (2.1%), 5 cases of plasmacytoma (1.8%) and 4 cases of smouldering myeloma (1.4%), 5 cases of POEMS syndrome (1.8%). Bone marrow fibrosis was noted in 12 patients at diagnosis (4.3%). Among the parameters studied, only the mean Hemoglobin was significantly low in patients with marrow fibrosis. Amyloid deposition in various organs including bone marrow, kidney, liver etc., were noted in 17 patients overall (6.2%). In conclusion, the incidence of fibrosis (4.3%) and amyloidosis (6.2%) associated with plasma cell neoplasms were much lower in our study as compared to published studies.</p>","PeriodicalId":45936,"journal":{"name":"Journal of Clinical and Experimental Hematopathology","volume":"63 4","pages":"214-218"},"PeriodicalIF":1.4000,"publicationDate":"2023-01-01","publicationTypes":"Journal Article","fieldsOfStudy":null,"isOpenAccess":false,"openAccessPdf":"https://www.ncbi.nlm.nih.gov/pmc/articles/PMC10861367/pdf/","citationCount":"0","resultStr":null,"platform":"Semanticscholar","paperid":null,"PeriodicalName":"Journal of Clinical and Experimental Hematopathology","FirstCategoryId":"1085","ListUrlMain":"https://doi.org/10.3960/jslrt.23029","RegionNum":0,"RegionCategory":null,"ArticlePicture":[],"TitleCN":null,"AbstractTextCN":null,"PMCID":null,"EPubDate":"","PubModel":"","JCR":"Q4","JCRName":"HEMATOLOGY","Score":null,"Total":0}
引用次数: 0

Abstract

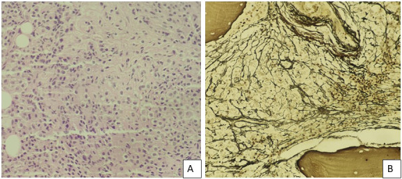
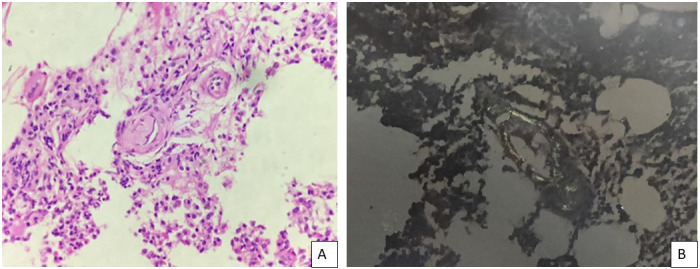
To clarify the significance of bone marrow fibrosis and amyloid deposition in plasma cell neoplasm, a retrospective cross-sectional study for a period of 3 years was conducted. Patients who underwent bone marrow aspiration and biopsy with suspicion of plasma cell neoplasms were included in the study. The bone marrow findings were correlated with clinical profile of the patient along with biochemical parameters, cytogenetics, Fluorescent in situ hybridization (FISH) wherever available. A total of 273 bone marrow aspirates and biopsies of patients with suspected plasma cell neoplasms were analyzed. There were 181 male patients and 92 female patients (Male: Female = 1.96: 1). There were 245 cases of multiple myeloma (89.7%), 8 cases of primary amyloidosis (2.9%) and 6 monoclonal gammopathy of undetermined significance (MGUS) (2.1%), 5 cases of plasmacytoma (1.8%) and 4 cases of smouldering myeloma (1.4%), 5 cases of POEMS syndrome (1.8%). Bone marrow fibrosis was noted in 12 patients at diagnosis (4.3%). Among the parameters studied, only the mean Hemoglobin was significantly low in patients with marrow fibrosis. Amyloid deposition in various organs including bone marrow, kidney, liver etc., were noted in 17 patients overall (6.2%). In conclusion, the incidence of fibrosis (4.3%) and amyloidosis (6.2%) associated with plasma cell neoplasms were much lower in our study as compared to published studies.

Abstract Image

Abstract Image

浆细胞肿瘤患者的临床病理特征,特别是骨髓纤维化和淀粉样沉积。
为了明确骨髓纤维化和淀粉样蛋白沉积在浆细胞肿瘤中的意义,我们进行了一项为期三年的回顾性横断面研究。研究纳入了因怀疑浆细胞肿瘤而接受骨髓抽吸和活检的患者。骨髓检查结果与患者的临床特征、生化指标、细胞遗传学、荧光原位杂交(FISH)等相关联。共分析了 273 例疑似浆细胞肿瘤患者的骨髓穿刺和活检结果。其中男性患者 181 例,女性患者 92 例(男:女=1.96:1)。其中多发性骨髓瘤 245 例(89.7%),原发性淀粉样变性 8 例(2.9%),意义未定的单克隆抗体病(MGUS)6 例(2.1%),浆细胞瘤 5 例(1.8%),烟雾型骨髓瘤 4 例(1.4%),POEMS 综合征 5 例(1.8%)。12例患者在诊断时发现骨髓纤维化(4.3%)。在研究的参数中,只有平均血红蛋白在骨髓纤维化患者中明显偏低。有 17 名患者(6.2%)在骨髓、肾脏、肝脏等器官中出现淀粉样沉积。总之,与已发表的研究相比,我们的研究中与浆细胞瘤相关的纤维化(4.3%)和淀粉样变性(6.2%)的发生率要低得多。
本文章由计算机程序翻译,如有差异,请以英文原文为准。
求助全文
约1分钟内获得全文 求助全文
来源期刊
CiteScore
2.00
自引率
6.70%
发文量
25
审稿时长
11 weeks
×
引用
GB/T 7714-2015
复制
MLA
复制
APA
复制
导出至
BibTeX EndNote RefMan NoteFirst NoteExpress
×
提示
您的信息不完整,为了账户安全,请先补充。
现在去补充
×
提示
您因"违规操作"
具体请查看互助需知
我知道了
×
提示
确定
请完成安全验证×
copy
已复制链接
快去分享给好友吧!
我知道了
右上角分享
点击右上角分享
0
联系我们:info@booksci.cn Book学术提供免费学术资源搜索服务,方便国内外学者检索中英文文献。致力于提供最便捷和优质的服务体验。 Copyright © 2023 布克学术 All rights reserved.
京ICP备2023020795号-1
ghs 京公网安备 11010802042870号
Book学术文献互助
Book学术文献互助群
群 号:604180095
Book学术官方微信