Preoperative patient's expectations and clinical outcomes after rheumatoid forefoot deformity reconstruction by joint sacrificing surgery.

IF 3 Q3 RHEUMATOLOGY
Journal of Rheumatic Diseases Pub Date : 2024-01-01 Epub Date: 2023-11-27 DOI:10.4078/jrd.2023.0044
Sung-Jae Kim, Young-Woon Gil, Il-Hoon Sung
{"title":"Preoperative patient's expectations and clinical outcomes after rheumatoid forefoot deformity reconstruction by joint sacrificing surgery.","authors":"Sung-Jae Kim, Young-Woon Gil, Il-Hoon Sung","doi":"10.4078/jrd.2023.0044","DOIUrl":null,"url":null,"abstract":"<p><strong>Objective: </strong>To study the clinical and radiologic factors related with overall patient satisfaction of joint scarifying reconstruction on severe rheumatoid forefoot deformity (RFD).</p><p><strong>Methods: </strong>Forty cases of RFD were retrospectively enrolled. A questionnaire on the factors for patient's expectations and satisfactions of the greater and lesser toes was administered, including repression of relapse in deformity (D), pain reduction (P), improvement in shoe wearing (S), barefoot activity (B), and appearance (A). Overall satisfaction were assessed using the 5-digit-scale. Hallux valgus angle, 1, 2 intermetatarsal angle, and other radiologic parameters were measured. Pearson's correlation and multiple linear regression analyses were used to evaluate the relationships between these factors and overall satisfaction.</p><p><strong>Results: </strong>Overall satisfaction was 4.0±0.82. Postoperative radiologic parameters were corrected in adequate range. Visual analog scale (VAS) was reduced from 7.2±2.1 to 2.2±1.8. For the greater toe, patient's expectations (D, P, S, B, and A) were 4.2, 4.1, 3.0, 2.5, 2.7 and satisfactions were 4.2, 4.0, 3.4, 3.5, 3.3, respectively. For the lesser toes, patient's expectations (D, P, S, B, and A) were 3.9, 4.1, 3.4, 3.0, 2.8, and satisfactions were 3.4, 4.0, 3.4, 3.6, 2.9, respectively. Satisfactions with P and B, and reduction amounts of VAS were significantly correlated with overall satisfaction.</p><p><strong>Conclusion: </strong>Although forefoot reconstruction with a joint sacrificing procedure is non-physiological, it could be a good surgical option for severe RFD. Each patient's expectations and satisfactions with this procedure could vary. Thus, it seems important to inform patients preoperatively that expectation could be fulfilled well or less.</p>","PeriodicalId":56161,"journal":{"name":"Journal of Rheumatic Diseases","volume":"31 1","pages":"33-40"},"PeriodicalIF":3.0000,"publicationDate":"2024-01-01","publicationTypes":"Journal Article","fieldsOfStudy":null,"isOpenAccess":false,"openAccessPdf":"https://www.ncbi.nlm.nih.gov/pmc/articles/PMC10730808/pdf/","citationCount":"0","resultStr":null,"platform":"Semanticscholar","paperid":null,"PeriodicalName":"Journal of Rheumatic Diseases","FirstCategoryId":"1085","ListUrlMain":"https://doi.org/10.4078/jrd.2023.0044","RegionNum":0,"RegionCategory":null,"ArticlePicture":[],"TitleCN":null,"AbstractTextCN":null,"PMCID":null,"EPubDate":"2023/11/27 0:00:00","PubModel":"Epub","JCR":"Q3","JCRName":"RHEUMATOLOGY","Score":null,"Total":0}
引用次数: 0

Abstract

Objective: To study the clinical and radiologic factors related with overall patient satisfaction of joint scarifying reconstruction on severe rheumatoid forefoot deformity (RFD).

Methods: Forty cases of RFD were retrospectively enrolled. A questionnaire on the factors for patient's expectations and satisfactions of the greater and lesser toes was administered, including repression of relapse in deformity (D), pain reduction (P), improvement in shoe wearing (S), barefoot activity (B), and appearance (A). Overall satisfaction were assessed using the 5-digit-scale. Hallux valgus angle, 1, 2 intermetatarsal angle, and other radiologic parameters were measured. Pearson's correlation and multiple linear regression analyses were used to evaluate the relationships between these factors and overall satisfaction.

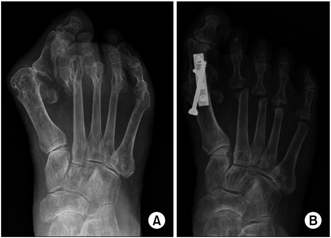
Results: Overall satisfaction was 4.0±0.82. Postoperative radiologic parameters were corrected in adequate range. Visual analog scale (VAS) was reduced from 7.2±2.1 to 2.2±1.8. For the greater toe, patient's expectations (D, P, S, B, and A) were 4.2, 4.1, 3.0, 2.5, 2.7 and satisfactions were 4.2, 4.0, 3.4, 3.5, 3.3, respectively. For the lesser toes, patient's expectations (D, P, S, B, and A) were 3.9, 4.1, 3.4, 3.0, 2.8, and satisfactions were 3.4, 4.0, 3.4, 3.6, 2.9, respectively. Satisfactions with P and B, and reduction amounts of VAS were significantly correlated with overall satisfaction.

Conclusion: Although forefoot reconstruction with a joint sacrificing procedure is non-physiological, it could be a good surgical option for severe RFD. Each patient's expectations and satisfactions with this procedure could vary. Thus, it seems important to inform patients preoperatively that expectation could be fulfilled well or less.

Abstract Image

通过关节牺牲手术重建类风湿前足畸形后患者的术前期望和临床效果。
目的研究与严重类风湿前足畸形(RFD)患者对关节瘢痕重建总体满意度相关的临床和放射学因素:方法:回顾性纳入 40 例 RFD 病例。对患者对大、小趾的期望和满意度因素进行了问卷调查,包括抑制畸形复发(D)、减轻疼痛(P)、改善穿鞋(S)、赤足活动(B)和外观(A)。总体满意度采用 5 位数量表进行评估。测量了拇指外翻角度、1、2跖间角和其他放射学参数。采用皮尔逊相关分析和多元线性回归分析评估这些因素与总体满意度之间的关系:总体满意度为 4.0±0.82。术后放射学参数校正在适当范围内。视觉模拟量表(VAS)从(7.2±2.1)降低到(2.2±1.8)。对于大脚趾,患者的期望值(D、P、S、B、A)分别为 4.2、4.1、3.0、2.5、2.7,满意度分别为 4.2、4.0、3.4、3.5、3.3。对于较小的脚趾,患者的期望值(D、P、S、B 和 A)分别为 3.9、4.1、3.4、3.0、2.8,满意度分别为 3.4、4.0、3.4、3.6、2.9。对P和B的满意度以及VAS的减少量与总体满意度显著相关:尽管前足重建的关节牺牲手术是非生理性的,但它可能是治疗严重RFD的一个很好的手术选择。每位患者对该手术的期望和满意度可能各不相同。因此,术前告知患者期望可能会实现,也可能无法实现,这一点似乎很重要。
本文章由计算机程序翻译,如有差异,请以英文原文为准。
求助全文
约1分钟内获得全文 求助全文
来源期刊
CiteScore
2.30
自引率
5.00%
发文量
39
×
引用
GB/T 7714-2015
复制
MLA
复制
APA
复制
导出至
BibTeX EndNote RefMan NoteFirst NoteExpress
×
提示
您的信息不完整,为了账户安全,请先补充。
现在去补充
×
提示
您因"违规操作"
具体请查看互助需知
我知道了
×
提示
确定
请完成安全验证×
copy
已复制链接
快去分享给好友吧!
我知道了
右上角分享
点击右上角分享
0
联系我们:info@booksci.cn Book学术提供免费学术资源搜索服务,方便国内外学者检索中英文文献。致力于提供最便捷和优质的服务体验。 Copyright © 2023 布克学术 All rights reserved.
京ICP备2023020795号-1
ghs 京公网安备 11010802042870号
Book学术文献互助
Book学术文献互助群
群 号:604180095
Book学术官方微信