Decision-Making in Clival Mass Lesions: Risk Factors for Malignant Disease and an Illustrative Case Example.

IF 0.7 Q4 CLINICAL NEUROLOGY
Journal of Neurological Surgery Reports Pub Date : 2023-12-20 eCollection Date: 2023-10-01 DOI:10.1055/a-2215-0974
Matthew P Baier, Daniel A Cheong, Helen H Shi, Jo Elle G Peterson, Kar-Ming Fung, Ian F Dunn, Kibwei A McKinney, Christopher S Graffeo
{"title":"Decision-Making in Clival Mass Lesions: Risk Factors for Malignant Disease and an Illustrative Case Example.","authors":"Matthew P Baier, Daniel A Cheong, Helen H Shi, Jo Elle G Peterson, Kar-Ming Fung, Ian F Dunn, Kibwei A McKinney, Christopher S Graffeo","doi":"10.1055/a-2215-0974","DOIUrl":null,"url":null,"abstract":"<p><p><b>Introduction</b>  Clival tumors are rare and heterogeneous. Although some benign prototypical sellar lesions may present as clival tumors, the likelihood of malignant disease is higher. Here we define a novel algorithm for the workup and management of clival masses through an illustrative case of colorectal adenocarcinoma metastasis to the clivus. <b>Methods</b>  In this case report, the best practice guidelines for managing clival masses are described through a literature review and refined by senior author consensus. We conducted a focused systematic review to characterize the present case in the context of clival metastasis from gastrointestinal malignancy. <b>Results</b>  An 83-year-old woman presented with 4 weeks of headaches and blurry vision. Examination revealed partial right abducens and left oculomotor palsies. Magnetic resonance imaging (MRI) identified a large, weakly enhancing sellar and clival mass with sphenoid sinus extension. An aggressive subtotal endoscopic endonasal resection was performed with removal of all sphenoid, clival, and sellar disease without cavernous sinus wall resection. Pathology confirmed colorectal adenocarcinoma; computed tomography (CT) imaging identified an ascending colon mass with metastases to the liver and mesenteric nodes. Palliative oncologic therapies were recommended, but she elected hospice, and died 3 months after initial presentation. Gastrointestinal clival metastases are exceedingly rare among sellar and clival pathologies, with eight prior cases reported, most of which presented with diplopia from abducens nerve involvement. <b>Conclusion</b>  Clival masses are uncommon skull base lesions that are associated with more aggressive diseases. We present a consolidated framework for decision-making in these challenging patients, alongside an unusual case example that illustrates the importance of increased suspicion for malignant clinical entities in this setting.</p>","PeriodicalId":44256,"journal":{"name":"Journal of Neurological Surgery Reports","volume":"84 4","pages":"e156-e162"},"PeriodicalIF":0.7000,"publicationDate":"2023-12-20","publicationTypes":"Journal Article","fieldsOfStudy":null,"isOpenAccess":false,"openAccessPdf":"https://www.ncbi.nlm.nih.gov/pmc/articles/PMC10733071/pdf/","citationCount":"0","resultStr":null,"platform":"Semanticscholar","paperid":null,"PeriodicalName":"Journal of Neurological Surgery Reports","FirstCategoryId":"1085","ListUrlMain":"https://doi.org/10.1055/a-2215-0974","RegionNum":0,"RegionCategory":null,"ArticlePicture":[],"TitleCN":null,"AbstractTextCN":null,"PMCID":null,"EPubDate":"2023/10/1 0:00:00","PubModel":"eCollection","JCR":"Q4","JCRName":"CLINICAL NEUROLOGY","Score":null,"Total":0}
引用次数: 0

Abstract

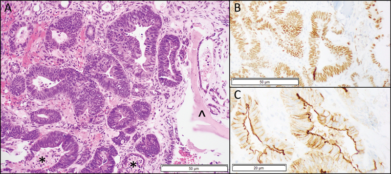
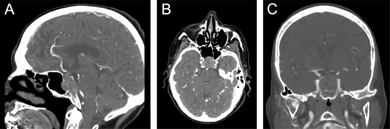
Introduction  Clival tumors are rare and heterogeneous. Although some benign prototypical sellar lesions may present as clival tumors, the likelihood of malignant disease is higher. Here we define a novel algorithm for the workup and management of clival masses through an illustrative case of colorectal adenocarcinoma metastasis to the clivus. Methods  In this case report, the best practice guidelines for managing clival masses are described through a literature review and refined by senior author consensus. We conducted a focused systematic review to characterize the present case in the context of clival metastasis from gastrointestinal malignancy. Results  An 83-year-old woman presented with 4 weeks of headaches and blurry vision. Examination revealed partial right abducens and left oculomotor palsies. Magnetic resonance imaging (MRI) identified a large, weakly enhancing sellar and clival mass with sphenoid sinus extension. An aggressive subtotal endoscopic endonasal resection was performed with removal of all sphenoid, clival, and sellar disease without cavernous sinus wall resection. Pathology confirmed colorectal adenocarcinoma; computed tomography (CT) imaging identified an ascending colon mass with metastases to the liver and mesenteric nodes. Palliative oncologic therapies were recommended, but she elected hospice, and died 3 months after initial presentation. Gastrointestinal clival metastases are exceedingly rare among sellar and clival pathologies, with eight prior cases reported, most of which presented with diplopia from abducens nerve involvement. Conclusion  Clival masses are uncommon skull base lesions that are associated with more aggressive diseases. We present a consolidated framework for decision-making in these challenging patients, alongside an unusual case example that illustrates the importance of increased suspicion for malignant clinical entities in this setting.

Abstract Image

Abstract Image

Abstract Image

Clival 肿块病变的决策:恶性疾病的风险因素和病例示例。
导言:蝶骨肿瘤是一种罕见的异质性肿瘤。虽然一些良性的原型蝶窦病变可能表现为蝶窦肿瘤,但恶性疾病的可能性更高。在此,我们通过一例结直肠腺癌转移至蝶窦的病例,为蝶窦肿块的检查和管理定义了一种新的算法。方法 在本病例报告中,我们通过文献综述介绍了处理龈肿块的最佳实践指南,并在资深作者的共识下对其进行了改进。我们进行了有针对性的系统性综述,从胃肠道恶性肿瘤clival转移的角度分析了本病例的特点。结果 一位 83 岁的妇女因头痛和视力模糊就诊 4 周。检查发现右侧外展神经和左侧眼球运动神经部分麻痹。磁共振成像(MRI)发现一个巨大、弱增强的蝶窦和蝶窦肿块,并有鼻窦扩展。患者接受了积极的内镜下鼻窦次全切除术,切除了所有的蝶窦、蝶骨和蝶窦病变,但没有切除海绵窦壁。病理证实为结直肠腺癌;计算机断层扫描(CT)成像发现升结肠肿块,并向肝脏和肠系膜结节转移。医生建议采用姑息性肿瘤疗法,但她选择了临终关怀,并在初次就诊 3 个月后去世。在蝶窦和蝶窦病变中,胃肠道蝶窦转移极为罕见,此前曾有八例报道,其中大多数因外展神经受累而出现复视。结论 覆膜肿块是不常见的颅底病变,与侵袭性更强的疾病相关。我们为这些具有挑战性的患者提供了一个综合决策框架,并通过一个不寻常的病例说明了在这种情况下加强对恶性临床实体的怀疑的重要性。
本文章由计算机程序翻译,如有差异,请以英文原文为准。
求助全文
约1分钟内获得全文 求助全文
来源期刊
自引率
0.00%
发文量
31
审稿时长
12 weeks
×
引用
GB/T 7714-2015
复制
MLA
复制
APA
复制
导出至
BibTeX EndNote RefMan NoteFirst NoteExpress
×
提示
您的信息不完整,为了账户安全,请先补充。
现在去补充
×
提示
您因"违规操作"
具体请查看互助需知
我知道了
×
提示
确定
请完成安全验证×
copy
已复制链接
快去分享给好友吧!
我知道了
右上角分享
点击右上角分享
0
联系我们:info@booksci.cn Book学术提供免费学术资源搜索服务,方便国内外学者检索中英文文献。致力于提供最便捷和优质的服务体验。 Copyright © 2023 布克学术 All rights reserved.
京ICP备2023020795号-1
ghs 京公网安备 11010802042870号
Book学术文献互助
Book学术文献互助群
群 号:604180095
Book学术官方微信