Infliximab-induced retrobulbar optic neuritis in a patient with ankylosing spondylitis.

GMS ophthalmology cases Pub Date : 2023-12-12 eCollection Date: 2023-01-01 DOI:10.3205/oc000232
Sema Dündar, Mimbay Yaşar, Harun Çakmak, Nefati Kıylıoğlu, Alparslan Ünsal
{"title":"Infliximab-induced retrobulbar optic neuritis in a patient with ankylosing spondylitis.","authors":"Sema Dündar, Mimbay Yaşar, Harun Çakmak, Nefati Kıylıoğlu, Alparslan Ünsal","doi":"10.3205/oc000232","DOIUrl":null,"url":null,"abstract":"<p><strong>Objective: </strong>To present a case with infliximab-induced retrobulbar optic neuritis.</p><p><strong>Case description: </strong>A 58-year-old woman presented to our clinic with a two-day history of blurred vision in her right eye. She had numerous uveitis attacks previously, and she was on infliximab treatment for ankylosing spondylitis. Her best-corrected visual acuity was counting fingers and 20/25 in the right and left eye, respectively. Optic discs seemed healthy in fundoscopic examination. The right optic nerve showed high signal intensity on magnetic resonance imaging (MRI). Infliximab treatment was discontinued and systemic steroid therapy was started. After the treatment her best-corrected visual acuity improved to 20/20 in her right eye.</p><p><strong>Conclusion: </strong>Infliximab is a chimeric human-murine monoclonal antibody used in autoimmune diseases. Optic neuritis is a rare but important side effect of infliximab. Thus, infliximab-induced optic neuritis should be kept in mind for patients receiving infliximab treatment.</p>","PeriodicalId":73178,"journal":{"name":"GMS ophthalmology cases","volume":"13 ","pages":"Doc24"},"PeriodicalIF":0.0000,"publicationDate":"2023-12-12","publicationTypes":"Journal Article","fieldsOfStudy":null,"isOpenAccess":false,"openAccessPdf":"https://www.ncbi.nlm.nih.gov/pmc/articles/PMC10726561/pdf/","citationCount":"0","resultStr":null,"platform":"Semanticscholar","paperid":null,"PeriodicalName":"GMS ophthalmology cases","FirstCategoryId":"1085","ListUrlMain":"https://doi.org/10.3205/oc000232","RegionNum":0,"RegionCategory":null,"ArticlePicture":[],"TitleCN":null,"AbstractTextCN":null,"PMCID":null,"EPubDate":"2023/1/1 0:00:00","PubModel":"eCollection","JCR":"","JCRName":"","Score":null,"Total":0}
引用次数: 0

Abstract

Objective: To present a case with infliximab-induced retrobulbar optic neuritis.

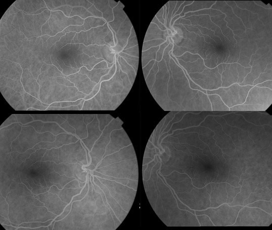
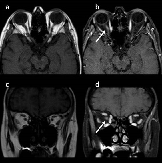
Case description: A 58-year-old woman presented to our clinic with a two-day history of blurred vision in her right eye. She had numerous uveitis attacks previously, and she was on infliximab treatment for ankylosing spondylitis. Her best-corrected visual acuity was counting fingers and 20/25 in the right and left eye, respectively. Optic discs seemed healthy in fundoscopic examination. The right optic nerve showed high signal intensity on magnetic resonance imaging (MRI). Infliximab treatment was discontinued and systemic steroid therapy was started. After the treatment her best-corrected visual acuity improved to 20/20 in her right eye.

Conclusion: Infliximab is a chimeric human-murine monoclonal antibody used in autoimmune diseases. Optic neuritis is a rare but important side effect of infliximab. Thus, infliximab-induced optic neuritis should be kept in mind for patients receiving infliximab treatment.

Abstract Image

Abstract Image

Abstract Image

一名强直性脊柱炎患者因使用英夫利西单抗引发球后视神经炎。
目的:介绍一例英夫利昔单抗诱发的球后视神经炎病例:介绍一例英夫利昔单抗诱发的球后视神经炎病例:一名 58 岁女性因右眼视力模糊两天前来我院就诊。她以前曾多次发作葡萄膜炎,并且正在接受英夫利昔单抗治疗强直性脊柱炎。她左右眼的最佳矫正视力分别为数指和 20/25。眼底镜检查显示视盘健康。磁共振成像(MRI)显示右侧视神经呈高信号强度。患者停止了英夫利西单抗的治疗,开始接受全身类固醇治疗。治疗后,她的右眼最佳矫正视力提高到了 20/20:结论:英夫利昔单抗是一种用于治疗自身免疫性疾病的嵌合人-鼠单克隆抗体。视神经炎是英夫利昔单抗的一种罕见但重要的副作用。因此,接受英夫利昔单抗治疗的患者应注意英夫利昔单抗诱发的视神经炎。
本文章由计算机程序翻译,如有差异,请以英文原文为准。
求助全文
约1分钟内获得全文 求助全文
来源期刊
自引率
0.00%
发文量
0
审稿时长
6 weeks
×
引用
GB/T 7714-2015
复制
MLA
复制
APA
复制
导出至
BibTeX EndNote RefMan NoteFirst NoteExpress
×
提示
您的信息不完整,为了账户安全,请先补充。
现在去补充
×
提示
您因"违规操作"
具体请查看互助需知
我知道了
×
提示
确定
请完成安全验证×
copy
已复制链接
快去分享给好友吧!
我知道了
右上角分享
点击右上角分享
0
联系我们:info@booksci.cn Book学术提供免费学术资源搜索服务,方便国内外学者检索中英文文献。致力于提供最便捷和优质的服务体验。 Copyright © 2023 布克学术 All rights reserved.
京ICP备2023020795号-1
ghs 京公网安备 11010802042870号
Book学术文献互助
Book学术文献互助群
群 号:604180095
Book学术官方微信