A Case Report of Primary Malignant Melanoma of the Gallbladder with Multiple Metastases.

IF 0.5 Q4 PATHOLOGY
Case Reports in Pathology Pub Date : 2023-12-12 eCollection Date: 2023-01-01 DOI:10.1155/2023/4847053
Steven H Adams, Erinn Luo, Daniel Lozeau, Xiaoyun Wen
{"title":"A Case Report of Primary Malignant Melanoma of the Gallbladder with Multiple Metastases.","authors":"Steven H Adams, Erinn Luo, Daniel Lozeau, Xiaoyun Wen","doi":"10.1155/2023/4847053","DOIUrl":null,"url":null,"abstract":"<p><p>Primary malignant melanoma of the gallbladder is an extremely rare tumor with approximately 39 cases described in the literature so far. However, since the first case was reported in 1907, it remains controversial whether gallbladder involvement in malignant melanoma is primary or metastatic. Here, we report a case of primary malignant melanoma of the gallbladder. A 52-year-old male presented to the emergency department with right upper quadrant abdominal pain and was found to have tumefactive sludge filling the majority of the gallbladder with possible gallbladder wall thickening on ultrasonography. A laparoscopic cholecystectomy was performed for presumed acute cholecystitis. Histopathologic examination of the gallbladder revealed malignant melanoma arising from the mucosa of the gallbladder. Further clinical investigation excluded other primary sites, supporting a diagnosis of primary malignant melanoma of the gallbladder.</p>","PeriodicalId":45638,"journal":{"name":"Case Reports in Pathology","volume":"2023 ","pages":"4847053"},"PeriodicalIF":0.5000,"publicationDate":"2023-12-12","publicationTypes":"Journal Article","fieldsOfStudy":null,"isOpenAccess":false,"openAccessPdf":"https://www.ncbi.nlm.nih.gov/pmc/articles/PMC10730246/pdf/","citationCount":"0","resultStr":null,"platform":"Semanticscholar","paperid":null,"PeriodicalName":"Case Reports in Pathology","FirstCategoryId":"1085","ListUrlMain":"https://doi.org/10.1155/2023/4847053","RegionNum":0,"RegionCategory":null,"ArticlePicture":[],"TitleCN":null,"AbstractTextCN":null,"PMCID":null,"EPubDate":"2023/1/1 0:00:00","PubModel":"eCollection","JCR":"Q4","JCRName":"PATHOLOGY","Score":null,"Total":0}
引用次数: 0

Abstract

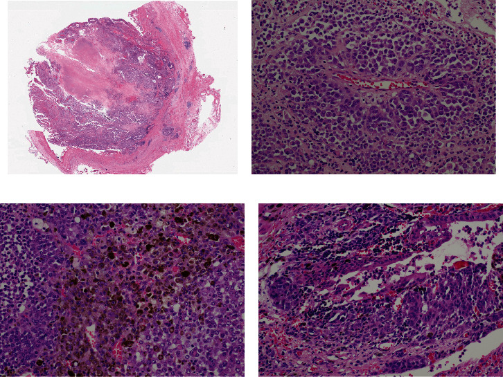
Primary malignant melanoma of the gallbladder is an extremely rare tumor with approximately 39 cases described in the literature so far. However, since the first case was reported in 1907, it remains controversial whether gallbladder involvement in malignant melanoma is primary or metastatic. Here, we report a case of primary malignant melanoma of the gallbladder. A 52-year-old male presented to the emergency department with right upper quadrant abdominal pain and was found to have tumefactive sludge filling the majority of the gallbladder with possible gallbladder wall thickening on ultrasonography. A laparoscopic cholecystectomy was performed for presumed acute cholecystitis. Histopathologic examination of the gallbladder revealed malignant melanoma arising from the mucosa of the gallbladder. Further clinical investigation excluded other primary sites, supporting a diagnosis of primary malignant melanoma of the gallbladder.

Abstract Image

Abstract Image

Abstract Image

胆囊原发性恶性黑色素瘤合并多处转移的病例报告。
胆囊原发性恶性黑色素瘤是一种极其罕见的肿瘤,迄今为止文献中描述的病例约有 39 例。然而,自1907年报道首例恶性黑色素瘤以来,胆囊受累是原发性还是转移性一直存在争议。在此,我们报告了一例胆囊原发性恶性黑色素瘤病例。一名 52 岁的男性因右上腹疼痛到急诊科就诊,超声波检查发现大部分胆囊内充满肿瘤性淤积物,胆囊壁可能增厚。因推测为急性胆囊炎,患者接受了腹腔镜胆囊切除术。胆囊组织病理学检查显示,恶性黑色素瘤源于胆囊粘膜。进一步的临床检查排除了其他原发部位,支持胆囊原发性恶性黑色素瘤的诊断。
本文章由计算机程序翻译,如有差异,请以英文原文为准。
求助全文
约1分钟内获得全文 求助全文
来源期刊
自引率
0.00%
发文量
20
审稿时长
12 weeks
×
引用
GB/T 7714-2015
复制
MLA
复制
APA
复制
导出至
BibTeX EndNote RefMan NoteFirst NoteExpress
×
提示
您的信息不完整,为了账户安全,请先补充。
现在去补充
×
提示
您因"违规操作"
具体请查看互助需知
我知道了
×
提示
确定
请完成安全验证×
copy
已复制链接
快去分享给好友吧!
我知道了
右上角分享
点击右上角分享
0
联系我们:info@booksci.cn Book学术提供免费学术资源搜索服务,方便国内外学者检索中英文文献。致力于提供最便捷和优质的服务体验。 Copyright © 2023 布克学术 All rights reserved.
京ICP备2023020795号-1
ghs 京公网安备 11010802042870号
Book学术文献互助
Book学术文献互助群
群 号:604180095
Book学术官方微信