Cardiac Amyloidosis: Clinical Features, Pathogenesis, Diagnosis, and Treatment.

IF 2.1 Q4 PATHOLOGY
Asuman Argon, Deniz Nart, Funda Yilmazbarbet
{"title":"Cardiac Amyloidosis: Clinical Features, Pathogenesis, Diagnosis, and Treatment.","authors":"Asuman Argon, Deniz Nart, Funda Yilmazbarbet","doi":"10.5146/tjpath.2023.12923","DOIUrl":null,"url":null,"abstract":"<p><p>Cardiac amyloidosis is a type of amyloidosis that deserves special attention as organ involvement significantly worsens the prognosis. Cardiac amyloidosis can be grouped under three main headings: immunoglobulin light chain (AL) amyloidosis that is dependent on amyloidogenic monoclonal light chain production; hereditary Transthyretin (TTR) amyloidosis that results from accumulation of mutated TTR; and wild-type (non-hereditary) TTR amyloidosis formerly known as senile amyloidosis. Although all three types cause morbidity and mortality due to severe heart failure when untreated, they contain differences in their pathogenesis, clinical findings, and treatment. In this article, the clinical features, pathogenesis, diagnosis, and treatment methods of cardiac amyloidosis will be explained with an overview, and an awareness will be raised in the diagnosis of this disease.</p>","PeriodicalId":45415,"journal":{"name":"Turkish Journal of Pathology","volume":" ","pages":"1-9"},"PeriodicalIF":2.1000,"publicationDate":"2024-01-01","publicationTypes":"Journal Article","fieldsOfStudy":null,"isOpenAccess":false,"openAccessPdf":"https://www.ncbi.nlm.nih.gov/pmc/articles/PMC10823787/pdf/","citationCount":"0","resultStr":null,"platform":"Semanticscholar","paperid":null,"PeriodicalName":"Turkish Journal of Pathology","FirstCategoryId":"1085","ListUrlMain":"https://doi.org/10.5146/tjpath.2023.12923","RegionNum":0,"RegionCategory":null,"ArticlePicture":[],"TitleCN":null,"AbstractTextCN":null,"PMCID":null,"EPubDate":"","PubModel":"","JCR":"Q4","JCRName":"PATHOLOGY","Score":null,"Total":0}
引用次数: 0

Abstract

Cardiac amyloidosis is a type of amyloidosis that deserves special attention as organ involvement significantly worsens the prognosis. Cardiac amyloidosis can be grouped under three main headings: immunoglobulin light chain (AL) amyloidosis that is dependent on amyloidogenic monoclonal light chain production; hereditary Transthyretin (TTR) amyloidosis that results from accumulation of mutated TTR; and wild-type (non-hereditary) TTR amyloidosis formerly known as senile amyloidosis. Although all three types cause morbidity and mortality due to severe heart failure when untreated, they contain differences in their pathogenesis, clinical findings, and treatment. In this article, the clinical features, pathogenesis, diagnosis, and treatment methods of cardiac amyloidosis will be explained with an overview, and an awareness will be raised in the diagnosis of this disease.

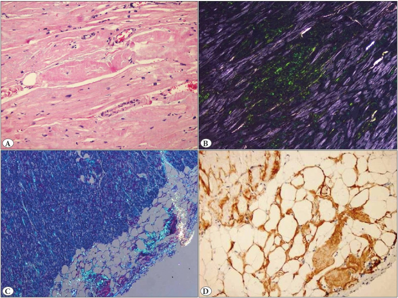
Abstract Image

Abstract Image

心脏淀粉样变性:临床特征、发病机制、诊断和治疗》。
心脏淀粉样变性是一种值得特别关注的淀粉样变性,因为器官受累会使预后明显恶化。心脏淀粉样变性可分为三大类:免疫球蛋白轻链(AL)淀粉样变性,依赖于淀粉样单克隆轻链的产生;遗传性TTR淀粉样变性,由突变的TTR积聚所致;野生型(非遗传性)TTR淀粉样变性,以前称为老年性淀粉样变性。虽然这三种类型在未经治疗的情况下都会因严重心力衰竭而导致发病和死亡,但它们在发病机制、临床表现和治疗方法上存在差异。本文将概述心脏淀粉样变性的临床特征、发病机制、诊断和治疗方法,并提高对该病诊断的认识。
本文章由计算机程序翻译,如有差异,请以英文原文为准。
求助全文
约1分钟内获得全文 求助全文
来源期刊
CiteScore
1.90
自引率
10.00%
发文量
23
审稿时长
14 weeks
×
引用
GB/T 7714-2015
复制
MLA
复制
APA
复制
导出至
BibTeX EndNote RefMan NoteFirst NoteExpress
×
提示
您的信息不完整,为了账户安全,请先补充。
现在去补充
×
提示
您因"违规操作"
具体请查看互助需知
我知道了
×
提示
确定
请完成安全验证×
copy
已复制链接
快去分享给好友吧!
我知道了
右上角分享
点击右上角分享
0
联系我们:info@booksci.cn Book学术提供免费学术资源搜索服务,方便国内外学者检索中英文文献。致力于提供最便捷和优质的服务体验。 Copyright © 2023 布克学术 All rights reserved.
京ICP备2023020795号-1
ghs 京公网安备 11010802042870号
Book学术文献互助
Book学术文献互助群
群 号:604180095
Book学术官方微信