Shoulder Dysfunction and Mobility Limitation in Aging.

Advances in geriatric medicine and research Pub Date : 2023-01-01 Epub Date: 2023-11-17 DOI:10.20900/agmr20230008
Derik L Davis
{"title":"Shoulder Dysfunction and Mobility Limitation in Aging.","authors":"Derik L Davis","doi":"10.20900/agmr20230008","DOIUrl":null,"url":null,"abstract":"<p><p>Mobility limitation is common among older populations and is a major burden to public health. While lower extremity dysfunction is a known contributor, the influence of shoulder dysfunction on mobility is less well understood. Shoulder pain and rotator cuff tear are common causes of shoulder dysfunction, and both ailments are highly prevalent in older adults. This article discusses shoulder pain and rotator cuff tear as contributors to shoulder dysfunction and describes the association of shoulder dysfunction with mobility limitation in older adults.</p>","PeriodicalId":72094,"journal":{"name":"Advances in geriatric medicine and research","volume":"5 3","pages":""},"PeriodicalIF":0.0000,"publicationDate":"2023-01-01","publicationTypes":"Journal Article","fieldsOfStudy":null,"isOpenAccess":false,"openAccessPdf":"https://www.ncbi.nlm.nih.gov/pmc/articles/PMC10723811/pdf/","citationCount":"0","resultStr":null,"platform":"Semanticscholar","paperid":null,"PeriodicalName":"Advances in geriatric medicine and research","FirstCategoryId":"1085","ListUrlMain":"https://doi.org/10.20900/agmr20230008","RegionNum":0,"RegionCategory":null,"ArticlePicture":[],"TitleCN":null,"AbstractTextCN":null,"PMCID":null,"EPubDate":"2023/11/17 0:00:00","PubModel":"Epub","JCR":"","JCRName":"","Score":null,"Total":0}
引用次数: 0

Abstract

Mobility limitation is common among older populations and is a major burden to public health. While lower extremity dysfunction is a known contributor, the influence of shoulder dysfunction on mobility is less well understood. Shoulder pain and rotator cuff tear are common causes of shoulder dysfunction, and both ailments are highly prevalent in older adults. This article discusses shoulder pain and rotator cuff tear as contributors to shoulder dysfunction and describes the association of shoulder dysfunction with mobility limitation in older adults.

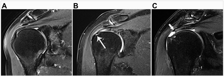
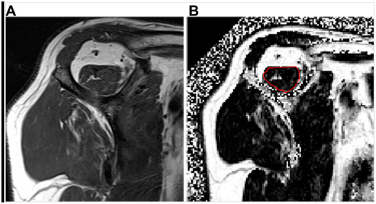
Abstract Image

Abstract Image

Abstract Image

老年人的肩部功能障碍和活动受限。
行动不便在老年人群中很常见,是公共卫生的一大负担。众所周知,下肢功能障碍是导致行动不便的原因之一,但肩部功能障碍对行动不便的影响却不为人们所熟知。肩痛和肩袖撕裂是肩关节功能障碍的常见原因,这两种疾病在老年人中的发病率都很高。本文讨论了导致肩关节功能障碍的肩痛和肩袖撕裂,并介绍了肩关节功能障碍与老年人活动受限的关系。
本文章由计算机程序翻译,如有差异,请以英文原文为准。
求助全文
约1分钟内获得全文 求助全文
来源期刊
自引率
0.00%
发文量
0
×
引用
GB/T 7714-2015
复制
MLA
复制
APA
复制
导出至
BibTeX EndNote RefMan NoteFirst NoteExpress
×
提示
您的信息不完整,为了账户安全,请先补充。
现在去补充
×
提示
您因"违规操作"
具体请查看互助需知
我知道了
×
提示
确定
请完成安全验证×
copy
已复制链接
快去分享给好友吧!
我知道了
右上角分享
点击右上角分享
0
联系我们:info@booksci.cn Book学术提供免费学术资源搜索服务,方便国内外学者检索中英文文献。致力于提供最便捷和优质的服务体验。 Copyright © 2023 布克学术 All rights reserved.
京ICP备2023020795号-1
ghs 京公网安备 11010802042870号
Book学术文献互助
Book学术文献互助群
群 号:604180095
Book学术官方微信