Surgical Repair for Rhomboid Major Tear: A Case Report.

IF 1.9 Q2 ORTHOPEDICS
Ryogo Furuhata, Sakura Yamaguchi, Atsushi Tanji
{"title":"Surgical Repair for Rhomboid Major Tear: A Case Report.","authors":"Ryogo Furuhata, Sakura Yamaguchi, Atsushi Tanji","doi":"10.1177/11795441231219009","DOIUrl":null,"url":null,"abstract":"<p><p>Rhomboid tears are a rare type of tendon injury. Although rhomboid tears can present with periscapular pain and scapular dyskinesis, their clinical presentations and diagnostic procedures remain largely unknown. In addition, few reports are available on the surgical treatment of rhomboid tears. We report a rhomboid repair case for a complete rhomboid major tear diagnosed based on physical findings and magnetic resonance imaging (MRI). A 28-year-old man presented with right medial scapular pain that appeared after carrying a heavy box. He had right medial scapular tenderness, with worsening pain during shoulder joint elevation. The inferior pole of the right scapula was lateral compared with the left scapula, and a dent was observed on the medial scapula. Magnetic resonance imaging revealed a tear in the right rhomboid major at its insertion, with muscle retraction. Two months of conservative treatment failed to improve his symptoms; therefore, we performed a surgical repair. We created the bone holes on the medial border of the scapula and repaired the torn rhomboid major muscle to its insertion using the Krackow stitch technique. He had a satisfactory functional outcome without postoperative retearing. This case report provides new information on the clinical presentation and surgical procedure of rhomboid major tears and the first MRI finding that depicts a rhomboid tear clearly. In cases of rhomboid tears, persistent medial scapular pain and winging scapula can be clinically problematic, requiring surgery. In addition to physical findings, a periscapular MRI is useful in diagnosing rhomboid tears. The results of this case study suggest that surgical repair using locking sutures is an option for treating complete rhomboid tears with muscle retraction.</p>","PeriodicalId":10443,"journal":{"name":"Clinical Medicine Insights. Arthritis and Musculoskeletal Disorders","volume":"16 ","pages":"11795441231219009"},"PeriodicalIF":1.9000,"publicationDate":"2023-12-18","publicationTypes":"Journal Article","fieldsOfStudy":null,"isOpenAccess":false,"openAccessPdf":"https://www.ncbi.nlm.nih.gov/pmc/articles/PMC10729626/pdf/","citationCount":"0","resultStr":null,"platform":"Semanticscholar","paperid":null,"PeriodicalName":"Clinical Medicine Insights. Arthritis and Musculoskeletal Disorders","FirstCategoryId":"1085","ListUrlMain":"https://doi.org/10.1177/11795441231219009","RegionNum":0,"RegionCategory":null,"ArticlePicture":[],"TitleCN":null,"AbstractTextCN":null,"PMCID":null,"EPubDate":"2023/1/1 0:00:00","PubModel":"eCollection","JCR":"Q2","JCRName":"ORTHOPEDICS","Score":null,"Total":0}
引用次数: 0

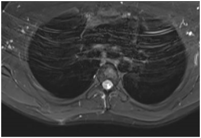
Abstract

Rhomboid tears are a rare type of tendon injury. Although rhomboid tears can present with periscapular pain and scapular dyskinesis, their clinical presentations and diagnostic procedures remain largely unknown. In addition, few reports are available on the surgical treatment of rhomboid tears. We report a rhomboid repair case for a complete rhomboid major tear diagnosed based on physical findings and magnetic resonance imaging (MRI). A 28-year-old man presented with right medial scapular pain that appeared after carrying a heavy box. He had right medial scapular tenderness, with worsening pain during shoulder joint elevation. The inferior pole of the right scapula was lateral compared with the left scapula, and a dent was observed on the medial scapula. Magnetic resonance imaging revealed a tear in the right rhomboid major at its insertion, with muscle retraction. Two months of conservative treatment failed to improve his symptoms; therefore, we performed a surgical repair. We created the bone holes on the medial border of the scapula and repaired the torn rhomboid major muscle to its insertion using the Krackow stitch technique. He had a satisfactory functional outcome without postoperative retearing. This case report provides new information on the clinical presentation and surgical procedure of rhomboid major tears and the first MRI finding that depicts a rhomboid tear clearly. In cases of rhomboid tears, persistent medial scapular pain and winging scapula can be clinically problematic, requiring surgery. In addition to physical findings, a periscapular MRI is useful in diagnosing rhomboid tears. The results of this case study suggest that surgical repair using locking sutures is an option for treating complete rhomboid tears with muscle retraction.

Abstract Image

Abstract Image

Abstract Image

菱形肌撕裂的手术修复:病例报告
菱形肌撕裂是一种罕见的肌腱损伤。尽管菱形肌撕裂可表现为肩胛周围疼痛和肩胛运动障碍,但其临床表现和诊断程序在很大程度上仍不为人所知。此外,有关菱形肌撕裂手术治疗的报道也很少。我们报告了一例根据体格检查结果和磁共振成像(MRI)诊断为完全性菱形肌撕裂的菱形肌修复病例。一名 28 岁的男子在搬运重物后出现右肩胛内侧疼痛。他有右肩胛骨内侧压痛,肩关节抬高时疼痛加剧。与左侧肩胛骨相比,右侧肩胛骨下端偏外侧,肩胛骨内侧有凹痕。磁共振成像显示,右侧斜方肌大肌插入处撕裂,肌肉回缩。两个月的保守治疗未能改善他的症状,因此我们对他进行了手术修复。我们在肩胛骨内侧边缘开了一个骨孔,并采用 Krackow 缝合技术将撕裂的斜方肌修复到插入处。他的功能结果令人满意,术后未出现再撕裂。本病例报告为菱形肌撕裂的临床表现和手术方法提供了新的信息,也是首次在核磁共振成像中清晰显示菱形肌撕裂。在菱形肌撕裂的病例中,持续的肩胛骨内侧疼痛和肩胛骨翼状撕裂可能会给临床带来问题,需要进行手术治疗。除体格检查结果外,肩胛周围核磁共振成像也有助于诊断菱形肌撕裂。本病例研究结果表明,使用锁定缝合线进行手术修复是治疗肌肉回缩的完全性菱形肌撕裂的一种选择。
本文章由计算机程序翻译,如有差异,请以英文原文为准。
求助全文
约1分钟内获得全文 求助全文
来源期刊
CiteScore
4.40
自引率
0.00%
发文量
14
审稿时长
8 weeks
×
引用
GB/T 7714-2015
复制
MLA
复制
APA
复制
导出至
BibTeX EndNote RefMan NoteFirst NoteExpress
×
提示
您的信息不完整,为了账户安全,请先补充。
现在去补充
×
提示
您因"违规操作"
具体请查看互助需知
我知道了
×
提示
确定
请完成安全验证×
copy
已复制链接
快去分享给好友吧!
我知道了
右上角分享
点击右上角分享
0
联系我们:info@booksci.cn Book学术提供免费学术资源搜索服务,方便国内外学者检索中英文文献。致力于提供最便捷和优质的服务体验。 Copyright © 2023 布克学术 All rights reserved.
京ICP备2023020795号-1
ghs 京公网安备 11010802042870号
Book学术文献互助
Book学术文献互助群
群 号:604180095
Book学术官方微信