Successful Recovery of COVID-19 Associated With Cardiomyopathy in Advanced Breast Cancer Patient With Pulmonary Lymphangitis Carcinomatosis.

IF 0.6 Q3 MEDICINE, GENERAL & INTERNAL
Clinical Medicine Insights. Case Reports Pub Date : 2023-12-06 eCollection Date: 2023-01-01 DOI:10.1177/11795476231210142
Hisham Alquaydheb, Abrar Alharbi, Ahmed Badran, Bader Alshamsan, Ghada Algwaiz, Mahmoud A Elshenawy, Dahish Ajarim
{"title":"Successful Recovery of COVID-19 Associated With Cardiomyopathy in Advanced Breast Cancer Patient With Pulmonary Lymphangitis Carcinomatosis.","authors":"Hisham Alquaydheb, Abrar Alharbi, Ahmed Badran, Bader Alshamsan, Ghada Algwaiz, Mahmoud A Elshenawy, Dahish Ajarim","doi":"10.1177/11795476231210142","DOIUrl":null,"url":null,"abstract":"<p><p>SARS-CoV-2 infection induces myocardiopathy in 19% of severe cases, with a mortality rate of up to 51%. The mainstay of treatment is supportive care, steroids, and tocilizumab (anti-IL-6). This is a case of a 43-year-old woman diagnosed with hormone-positive breast cancer with lung metastasis and pulmonary lymphangitis carcinomatosis (PLC). Her baseline cardiac function was within normal limits. She presented to the emergency department with respiratory distress. Chest CT showed multiple bilateral ground-glass opacities consistent with COVID-19 pneumonia and confirmed by COVID-19-PCR nasal swab. Her condition deteriorated, and she was urgently admitted to the intensive care unit with evidence of a cytokine storm. She was started on tocilizumab, dexamethasone, and meropenem. Echocardiogram (echo) showed a severely reduced ejection fraction with severe global hypokinesis. A second dose of tocilizumab was given, and the dexamethasone dose was increased. Fortunately, the patient had significant clinical and biochemical improvement and regained her normal cardiac function. In conclusion, dexamethasone and tocilizumab could be promising aids in treating cardiomyopathy secondary to SARS-CoV-2 infection.</p>","PeriodicalId":10357,"journal":{"name":"Clinical Medicine Insights. Case Reports","volume":"16 ","pages":"11795476231210142"},"PeriodicalIF":0.6000,"publicationDate":"2023-12-06","publicationTypes":"Journal Article","fieldsOfStudy":null,"isOpenAccess":false,"openAccessPdf":"https://www.ncbi.nlm.nih.gov/pmc/articles/PMC10702249/pdf/","citationCount":"0","resultStr":null,"platform":"Semanticscholar","paperid":null,"PeriodicalName":"Clinical Medicine Insights. Case Reports","FirstCategoryId":"1085","ListUrlMain":"https://doi.org/10.1177/11795476231210142","RegionNum":0,"RegionCategory":null,"ArticlePicture":[],"TitleCN":null,"AbstractTextCN":null,"PMCID":null,"EPubDate":"2023/1/1 0:00:00","PubModel":"eCollection","JCR":"Q3","JCRName":"MEDICINE, GENERAL & INTERNAL","Score":null,"Total":0}
引用次数: 0

Abstract

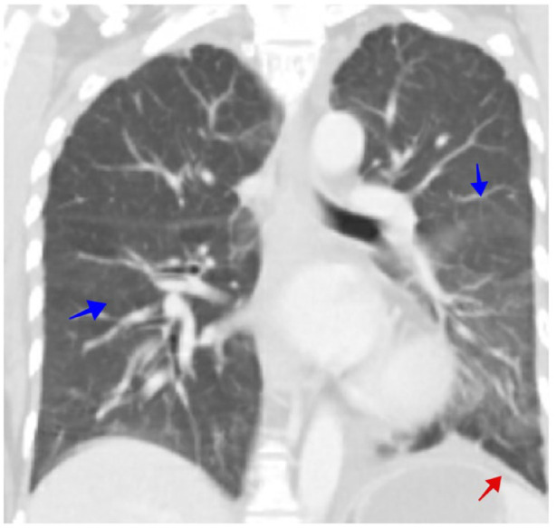
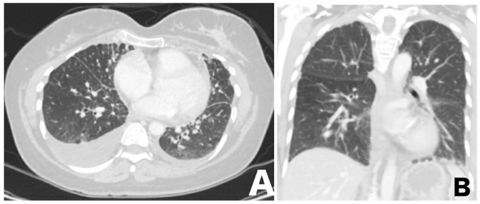
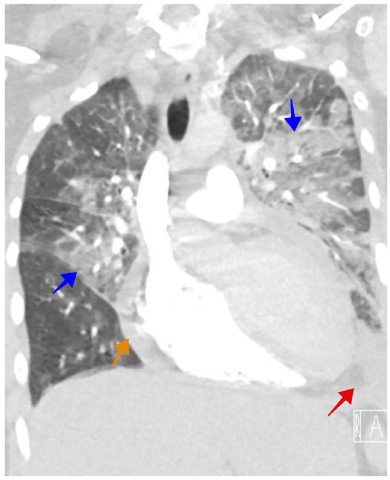
SARS-CoV-2 infection induces myocardiopathy in 19% of severe cases, with a mortality rate of up to 51%. The mainstay of treatment is supportive care, steroids, and tocilizumab (anti-IL-6). This is a case of a 43-year-old woman diagnosed with hormone-positive breast cancer with lung metastasis and pulmonary lymphangitis carcinomatosis (PLC). Her baseline cardiac function was within normal limits. She presented to the emergency department with respiratory distress. Chest CT showed multiple bilateral ground-glass opacities consistent with COVID-19 pneumonia and confirmed by COVID-19-PCR nasal swab. Her condition deteriorated, and she was urgently admitted to the intensive care unit with evidence of a cytokine storm. She was started on tocilizumab, dexamethasone, and meropenem. Echocardiogram (echo) showed a severely reduced ejection fraction with severe global hypokinesis. A second dose of tocilizumab was given, and the dexamethasone dose was increased. Fortunately, the patient had significant clinical and biochemical improvement and regained her normal cardiac function. In conclusion, dexamethasone and tocilizumab could be promising aids in treating cardiomyopathy secondary to SARS-CoV-2 infection.

Abstract Image

Abstract Image

Abstract Image

晚期乳腺癌肺淋巴结炎癌肿患者成功治愈 COVID-19 相关心肌病变
在 19% 的严重病例中,SARS-CoV-2 感染会诱发心肌病,死亡率高达 51%。治疗的主要方法是支持性护理、类固醇和托西珠单抗(抗 IL-6)。这是一个 43 岁女性的病例,她被诊断为激素阳性乳腺癌,并伴有肺转移和肺淋巴管炎癌(PLC)。她的基线心脏功能在正常范围内。她因呼吸困难来到急诊科就诊。胸部CT显示双侧多发磨玻璃不透光,与COVID-19肺炎一致,并经COVID-19-PCR鼻拭子证实。她的病情恶化,被紧急送入重症监护室,并出现细胞因子风暴。她开始使用妥昔单抗、地塞米松和美罗培南。超声心动图(echo)显示射血分数严重下降,并伴有严重的全身运动功能减退。患者接受了第二剂托珠单抗治疗,并增加了地塞米松的剂量。幸运的是,患者的临床和生化指标得到了明显改善,恢复了正常的心脏功能。总之,地塞米松和托珠单抗是治疗继发于SARS-CoV-2感染的心肌病的有效辅助药物。
本文章由计算机程序翻译,如有差异,请以英文原文为准。
求助全文
约1分钟内获得全文 求助全文
来源期刊
Clinical Medicine Insights. Case Reports
Clinical Medicine Insights. Case Reports MEDICINE, GENERAL & INTERNAL-
CiteScore
1.10
自引率
0.00%
发文量
57
审稿时长
8 weeks
×
引用
GB/T 7714-2015
复制
MLA
复制
APA
复制
导出至
BibTeX EndNote RefMan NoteFirst NoteExpress
×
提示
您的信息不完整,为了账户安全,请先补充。
现在去补充
×
提示
您因"违规操作"
具体请查看互助需知
我知道了
×
提示
确定
请完成安全验证×
copy
已复制链接
快去分享给好友吧!
我知道了
右上角分享
点击右上角分享
0
联系我们:info@booksci.cn Book学术提供免费学术资源搜索服务,方便国内外学者检索中英文文献。致力于提供最便捷和优质的服务体验。 Copyright © 2023 布克学术 All rights reserved.
京ICP备2023020795号-1
ghs 京公网安备 11010802042870号
Book学术文献互助
Book学术文献互助群
群 号:604180095
Book学术官方微信