Neonatal Testicular Torsion with Hydrocele: A Case Report Underscoring the Need for Early Recognition and Management.

IF 0.5 Q4 SURGERY
Case Reports in Surgery Pub Date : 2023-12-11 eCollection Date: 2023-01-01 DOI:10.1155/2023/9979543
Kareem Omran, Sameh Ali Ali, Ehsan Ahmad, Hilal Matta, Wissam Jamal Al Tamr
{"title":"Neonatal Testicular Torsion with Hydrocele: A Case Report Underscoring the Need for Early Recognition and Management.","authors":"Kareem Omran, Sameh Ali Ali, Ehsan Ahmad, Hilal Matta, Wissam Jamal Al Tamr","doi":"10.1155/2023/9979543","DOIUrl":null,"url":null,"abstract":"<p><p>Neonatal testicular torsion (NTT) is a rare but significant condition occurring within the first 30-day postbirth, leading to vascular compromise and potential testicular loss. This paper presents a case of NTT detected incidentally in a neonate with bilateral hydrocele, emphasizing the challenge of early diagnosis and management complexities. The infant underwent surgical intervention involving detorsion and bilateral orchiopexy but eventually required right orchiectomy due to necrosis. The paper highlights the prevalence of NTT in conjunction with hydrocele and stresses the importance of parent education and vigilant follow-up. Various diagnostic methods, primarily ultrasonography, and a range of management strategies are discussed, considering factors such as salvage potential, risk to the contralateral testicle, and surgical intervention's risks and benefits. The paper argues for individualized management, taking into account specific neonate conditions and parental preferences, underlining the essential role of informed and empathetic consultation. The case reinforces the urgent need for increased awareness, early detection, and carefully considered therapeutic approaches to prevent devastating outcomes like infertility and the necessity for lifelong hormone supplementation.</p>","PeriodicalId":9600,"journal":{"name":"Case Reports in Surgery","volume":"2023 ","pages":"9979543"},"PeriodicalIF":0.5000,"publicationDate":"2023-12-11","publicationTypes":"Journal Article","fieldsOfStudy":null,"isOpenAccess":false,"openAccessPdf":"https://www.ncbi.nlm.nih.gov/pmc/articles/PMC10728354/pdf/","citationCount":"0","resultStr":null,"platform":"Semanticscholar","paperid":null,"PeriodicalName":"Case Reports in Surgery","FirstCategoryId":"1085","ListUrlMain":"https://doi.org/10.1155/2023/9979543","RegionNum":0,"RegionCategory":null,"ArticlePicture":[],"TitleCN":null,"AbstractTextCN":null,"PMCID":null,"EPubDate":"2023/1/1 0:00:00","PubModel":"eCollection","JCR":"Q4","JCRName":"SURGERY","Score":null,"Total":0}
引用次数: 0

Abstract

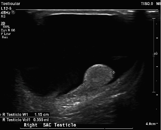
Neonatal testicular torsion (NTT) is a rare but significant condition occurring within the first 30-day postbirth, leading to vascular compromise and potential testicular loss. This paper presents a case of NTT detected incidentally in a neonate with bilateral hydrocele, emphasizing the challenge of early diagnosis and management complexities. The infant underwent surgical intervention involving detorsion and bilateral orchiopexy but eventually required right orchiectomy due to necrosis. The paper highlights the prevalence of NTT in conjunction with hydrocele and stresses the importance of parent education and vigilant follow-up. Various diagnostic methods, primarily ultrasonography, and a range of management strategies are discussed, considering factors such as salvage potential, risk to the contralateral testicle, and surgical intervention's risks and benefits. The paper argues for individualized management, taking into account specific neonate conditions and parental preferences, underlining the essential role of informed and empathetic consultation. The case reinforces the urgent need for increased awareness, early detection, and carefully considered therapeutic approaches to prevent devastating outcomes like infertility and the necessity for lifelong hormone supplementation.

Abstract Image

Abstract Image

Abstract Image

新生儿睾丸扭转伴鞘膜积液:一例强调早期识别和处理必要性的病例报告。
新生儿睾丸扭转(NTT)是出生后 30 天内发生的一种罕见但重要的疾病,可导致血管损伤和潜在的睾丸缺失。本文介绍了一例在双侧鞘膜积液新生儿中偶然发现的 NTT 病例,强调了早期诊断的挑战性和管理的复杂性。该婴儿接受了包括扭转术和双侧睾丸切除术在内的手术治疗,但最终因睾丸坏死而需要进行右侧睾丸切除术。本文强调了 NTT 合并鞘膜积液的发病率,并强调了家长教育和警惕随访的重要性。文中讨论了各种诊断方法(主要是超声波检查)和一系列处理策略,考虑了挽救的可能性、对侧睾丸的风险以及手术干预的风险和益处等因素。论文主张根据新生儿的具体情况和父母的偏好进行个体化管理,强调了知情和移情咨询的重要作用。该病例强调了提高意识、早期发现和慎重考虑治疗方法的迫切性,以防止出现不育和必须终身补充激素等破坏性后果。
本文章由计算机程序翻译,如有差异,请以英文原文为准。
求助全文
约1分钟内获得全文 求助全文
来源期刊
自引率
0.00%
发文量
60
审稿时长
13 weeks
×
引用
GB/T 7714-2015
复制
MLA
复制
APA
复制
导出至
BibTeX EndNote RefMan NoteFirst NoteExpress
×
提示
您的信息不完整,为了账户安全,请先补充。
现在去补充
×
提示
您因"违规操作"
具体请查看互助需知
我知道了
×
提示
确定
请完成安全验证×
copy
已复制链接
快去分享给好友吧!
我知道了
右上角分享
点击右上角分享
0
联系我们:info@booksci.cn Book学术提供免费学术资源搜索服务,方便国内外学者检索中英文文献。致力于提供最便捷和优质的服务体验。 Copyright © 2023 布克学术 All rights reserved.
京ICP备2023020795号-1
ghs 京公网安备 11010802042870号
Book学术文献互助
Book学术文献互助群
群 号:604180095
Book学术官方微信