Hyperviscosity Syndrome Induced Bilateral Visual and Auditory Impairment in Therapy Resistant Waldenström Macroglobulinemia with MYD88 and CXCR4 Mutations.

IF 2.7 Q3 HEMATOLOGY
Journal of Blood Medicine Pub Date : 2023-12-15 eCollection Date: 2023-01-01 DOI:10.2147/JBM.S424072
Marie M Plante, ErinMarie O Kimbrough, Amit K Agarwal, Liuyan Jiang, Kirk Bourgeois, Greta C Stamper, Michael W Stewart, Han W Tun
{"title":"Hyperviscosity Syndrome Induced Bilateral Visual and Auditory Impairment in Therapy Resistant Waldenström Macroglobulinemia with MYD88 and CXCR4 Mutations.","authors":"Marie M Plante, ErinMarie O Kimbrough, Amit K Agarwal, Liuyan Jiang, Kirk Bourgeois, Greta C Stamper, Michael W Stewart, Han W Tun","doi":"10.2147/JBM.S424072","DOIUrl":null,"url":null,"abstract":"<p><p>Hyperviscosity syndrome (HVS) is an emergent complication of Waldenström macroglobulinemia (WM) characterized by visual, neurologic, and rarely auditory impairment. We report a 69-year-old female with MYD88 and CXCR4-mutant WM who developed HVS resulting in bilateral blindness and deafness associated with neurologic manifestations including confusion, severe generalized weakness, and imbalance. Ophthalmologic evaluation revealed bilateral central retinal vein occlusion (CRVO), diffuse retinal hemorrhages, macular edema, and serous macular detachments (SMD). Magnetic resonance imaging of the brain showed bleeding in the inner ears. Management was challenging as her WM was resistant to systemic therapies including bendamustine + rituximab (BR) and rituximab + bortezomib + dexamethasone (RVD). Bruton's tyrosine kinase inhibitors could not be used initially due to ongoing lower gastrointestinal bleeding. She required five total sessions of plasma exchange and was finally initiated on zanubrutinib, achieving a partial response. She also received intravitreal bevacizumab with rapid resolution of the retinal hemorrhages but with little improvement of the SMD. She had partial restoration of her hearing in the right ear and only slight improvement in her bilateral visual deficits. The management of HVS in frail, elderly patients with therapy-resistant WM can be challenging. In these cases, plasma exchange is required until an effective systemic therapy can be safely instituted. Genomic profiling is important in the management of WM as it can predict treatment resistance and guide therapeutic decisions.</p>","PeriodicalId":15166,"journal":{"name":"Journal of Blood Medicine","volume":"14 ","pages":"639-648"},"PeriodicalIF":2.7000,"publicationDate":"2023-12-15","publicationTypes":"Journal Article","fieldsOfStudy":null,"isOpenAccess":false,"openAccessPdf":"https://www.ncbi.nlm.nih.gov/pmc/articles/PMC10729678/pdf/","citationCount":"0","resultStr":null,"platform":"Semanticscholar","paperid":null,"PeriodicalName":"Journal of Blood Medicine","FirstCategoryId":"1085","ListUrlMain":"https://doi.org/10.2147/JBM.S424072","RegionNum":0,"RegionCategory":null,"ArticlePicture":[],"TitleCN":null,"AbstractTextCN":null,"PMCID":null,"EPubDate":"2023/1/1 0:00:00","PubModel":"eCollection","JCR":"Q3","JCRName":"HEMATOLOGY","Score":null,"Total":0}
引用次数: 0

Abstract

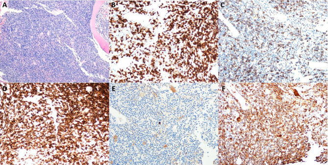
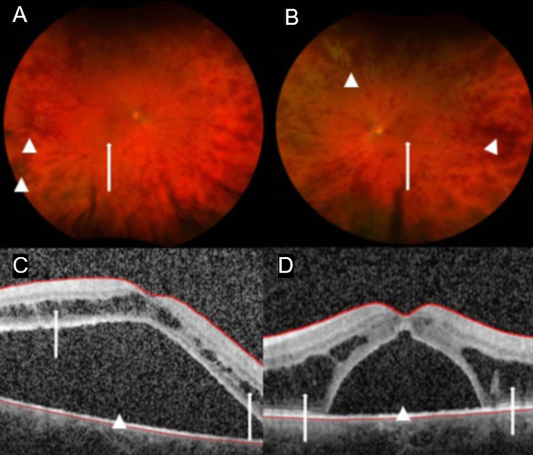
Hyperviscosity syndrome (HVS) is an emergent complication of Waldenström macroglobulinemia (WM) characterized by visual, neurologic, and rarely auditory impairment. We report a 69-year-old female with MYD88 and CXCR4-mutant WM who developed HVS resulting in bilateral blindness and deafness associated with neurologic manifestations including confusion, severe generalized weakness, and imbalance. Ophthalmologic evaluation revealed bilateral central retinal vein occlusion (CRVO), diffuse retinal hemorrhages, macular edema, and serous macular detachments (SMD). Magnetic resonance imaging of the brain showed bleeding in the inner ears. Management was challenging as her WM was resistant to systemic therapies including bendamustine + rituximab (BR) and rituximab + bortezomib + dexamethasone (RVD). Bruton's tyrosine kinase inhibitors could not be used initially due to ongoing lower gastrointestinal bleeding. She required five total sessions of plasma exchange and was finally initiated on zanubrutinib, achieving a partial response. She also received intravitreal bevacizumab with rapid resolution of the retinal hemorrhages but with little improvement of the SMD. She had partial restoration of her hearing in the right ear and only slight improvement in her bilateral visual deficits. The management of HVS in frail, elderly patients with therapy-resistant WM can be challenging. In these cases, plasma exchange is required until an effective systemic therapy can be safely instituted. Genomic profiling is important in the management of WM as it can predict treatment resistance and guide therapeutic decisions.

Abstract Image

Abstract Image

Abstract Image

MYD88和CXCR4突变的治疗耐药的瓦尔登斯特伦巨球蛋白血症患者高粘滞性综合征引起的双侧视觉和听觉障碍
高粘滞性综合征(HVS)是瓦尔登斯特伦巨球蛋白血症(WM)的一种突发并发症,其特征是视觉、神经和听觉损伤,但很少发生。我们报告了一名患有 MYD88 和 CXCR4 突变 WM 的 69 岁女性患者,她患上了 HVS,导致双侧失明和耳聋,并伴有神经系统表现,包括意识模糊、严重全身无力和失衡。眼科评估显示,患者出现双侧视网膜中央静脉闭塞(CRVO)、弥漫性视网膜出血、黄斑水肿和浆液性黄斑脱离(SMD)。脑部磁共振成像显示内耳出血。由于她的WM对包括苯达莫司汀+利妥昔单抗(BR)和利妥昔单抗+硼替佐米+地塞米松(RVD)在内的全身疗法产生耐药性,因此治疗具有挑战性。由于持续的下消化道出血,布鲁顿最初无法使用酪氨酸激酶抑制剂。她总共需要进行五次血浆置换,最后开始使用扎鲁替尼,并取得了部分应答。她还接受了玻璃体内贝伐单抗治疗,视网膜出血很快得到缓解,但SMD改善甚微。她的右耳听力部分恢复,双侧视力障碍仅略有改善。对于体弱的老年 WM 患者,HVS 的治疗具有挑战性。在这些病例中,需要进行血浆置换,直到可以安全地进行有效的全身治疗。基因组图谱分析在 WM 的治疗中非常重要,因为它可以预测耐药性并指导治疗决策。
本文章由计算机程序翻译,如有差异,请以英文原文为准。
求助全文
约1分钟内获得全文 求助全文
来源期刊
CiteScore
3.50
自引率
0.00%
发文量
94
审稿时长
16 weeks
期刊介绍: The Journal of Blood Medicine is an international, peer-reviewed, open access, online journal publishing laboratory, experimental and clinical aspects of all topics pertaining to blood based medicine including but not limited to: Transfusion Medicine (blood components, stem cell transplantation, apheresis, gene based therapeutics), Blood collection, Donor issues, Transmittable diseases, and Blood banking logistics, Immunohematology, Artificial and alternative blood based therapeutics, Hematology including disorders/pathology related to leukocytes/immunology, red cells, platelets and hemostasis, Biotechnology/nanotechnology of blood related medicine, Legal aspects of blood medicine, Historical perspectives. Original research, short reports, reviews, case reports and commentaries are invited.
×
引用
GB/T 7714-2015
复制
MLA
复制
APA
复制
导出至
BibTeX EndNote RefMan NoteFirst NoteExpress
×
提示
您的信息不完整,为了账户安全,请先补充。
现在去补充
×
提示
您因"违规操作"
具体请查看互助需知
我知道了
×
提示
确定
请完成安全验证×
copy
已复制链接
快去分享给好友吧!
我知道了
右上角分享
点击右上角分享
0
联系我们:info@booksci.cn Book学术提供免费学术资源搜索服务,方便国内外学者检索中英文文献。致力于提供最便捷和优质的服务体验。 Copyright © 2023 布克学术 All rights reserved.
京ICP备2023020795号-1
ghs 京公网安备 11010802042870号
Book学术文献互助
Book学术文献互助群
群 号:604180095
Book学术官方微信