Necrosis of the Tongue as a Late Complication of Radiotherapy.

Q3 Medicine
Cristina Aguiar, Paulo Pina, Nuno Medeiros, Mónica Teixeira, Leandro Ribeiro, Pedro Oliveira
{"title":"Necrosis of the Tongue as a Late Complication of Radiotherapy.","authors":"Cristina Aguiar, Paulo Pina, Nuno Medeiros, Mónica Teixeira, Leandro Ribeiro, Pedro Oliveira","doi":"10.22038/IJORL.2023.67124.3305","DOIUrl":null,"url":null,"abstract":"<p><strong>Introduction: </strong>Irradiation to treat head and neck cancer, causing chronic tissue damage, is associated with the development of vascular disease. Interest has risen over the effects of radiotherapy on major vessels, due to its high morbidity and mortality rate. However, small-vessel disease has been poorly studied and described.</p><p><strong>Case report: </strong>We present a case of a patient with bilateral necrosis of the anterior third of the tongue, occurring 3 years after chemoradiotherapy treatment for squamous cell carcinoma of the floor of the mouth. Contrast-enhanced CT scan showed multiple areas of stenosis concerning both external carotid arteries and their branches, and total opacification of lingual arteries. Conservative management was performed, with auto-amputation on the fifth day, which allowed healing by secondary intention.</p><p><strong>Conclusions: </strong>Necrosis of the tongue appears as a rare late complication of radiotherapy, possibly due to its acceleration effect on the atherosclerosis process. Following small-vessel disease, one can assume a higher potential risk of major-vessel disease, highlighting the importance of a routine assessment and prophylaxis of thrombotic events.</p>","PeriodicalId":14607,"journal":{"name":"Iranian Journal of Otorhinolaryngology","volume":"35 130","pages":"285-288"},"PeriodicalIF":0.0000,"publicationDate":"2023-09-01","publicationTypes":"Journal Article","fieldsOfStudy":null,"isOpenAccess":false,"openAccessPdf":"https://www.ncbi.nlm.nih.gov/pmc/articles/PMC10712553/pdf/","citationCount":"0","resultStr":null,"platform":"Semanticscholar","paperid":null,"PeriodicalName":"Iranian Journal of Otorhinolaryngology","FirstCategoryId":"1085","ListUrlMain":"https://doi.org/10.22038/IJORL.2023.67124.3305","RegionNum":0,"RegionCategory":null,"ArticlePicture":[],"TitleCN":null,"AbstractTextCN":null,"PMCID":null,"EPubDate":"","PubModel":"","JCR":"Q3","JCRName":"Medicine","Score":null,"Total":0}
引用次数: 0

Abstract

Introduction: Irradiation to treat head and neck cancer, causing chronic tissue damage, is associated with the development of vascular disease. Interest has risen over the effects of radiotherapy on major vessels, due to its high morbidity and mortality rate. However, small-vessel disease has been poorly studied and described.

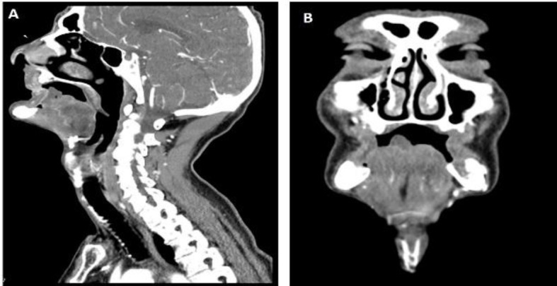
Case report: We present a case of a patient with bilateral necrosis of the anterior third of the tongue, occurring 3 years after chemoradiotherapy treatment for squamous cell carcinoma of the floor of the mouth. Contrast-enhanced CT scan showed multiple areas of stenosis concerning both external carotid arteries and their branches, and total opacification of lingual arteries. Conservative management was performed, with auto-amputation on the fifth day, which allowed healing by secondary intention.

Conclusions: Necrosis of the tongue appears as a rare late complication of radiotherapy, possibly due to its acceleration effect on the atherosclerosis process. Following small-vessel disease, one can assume a higher potential risk of major-vessel disease, highlighting the importance of a routine assessment and prophylaxis of thrombotic events.

Abstract Image

Abstract Image

Abstract Image

作为放疗晚期并发症的舌头坏死。
简介治疗头颈部癌症的放射治疗会造成慢性组织损伤,与血管疾病的发生有关。由于放疗的高发病率和高死亡率,人们开始关注放疗对大血管的影响。然而,对小血管疾病的研究和描述却很少:我们报告了一例因口腔底部鳞状细胞癌接受化疗放疗 3 年后出现双侧舌前三分之一坏死的患者。对比增强 CT 扫描显示双侧颈外动脉及其分支有多处狭窄,舌动脉完全不通畅。患者接受了保守治疗,并在第五天进行了自动截肢,从而通过二次意向愈合:结论:舌头坏死是放疗的罕见晚期并发症,可能是由于放疗加速了动脉粥样硬化的进程。小血管疾病发生后,大血管疾病的潜在风险较高,因此常规评估和预防血栓事件非常重要。
本文章由计算机程序翻译,如有差异,请以英文原文为准。
求助全文
约1分钟内获得全文 求助全文
来源期刊
Iranian Journal of Otorhinolaryngology
Iranian Journal of Otorhinolaryngology Medicine-Otorhinolaryngology
CiteScore
1.30
自引率
0.00%
发文量
72
审稿时长
12 weeks
×
引用
GB/T 7714-2015
复制
MLA
复制
APA
复制
导出至
BibTeX EndNote RefMan NoteFirst NoteExpress
×
提示
您的信息不完整,为了账户安全,请先补充。
现在去补充
×
提示
您因"违规操作"
具体请查看互助需知
我知道了
×
提示
确定
请完成安全验证×
copy
已复制链接
快去分享给好友吧!
我知道了
右上角分享
点击右上角分享
0
联系我们:info@booksci.cn Book学术提供免费学术资源搜索服务,方便国内外学者检索中英文文献。致力于提供最便捷和优质的服务体验。 Copyright © 2023 布克学术 All rights reserved.
京ICP备2023020795号-1
ghs 京公网安备 11010802042870号
Book学术文献互助
Book学术文献互助群
群 号:604180095
Book学术官方微信