COVID-19-related posterior reversible encephalopathy syndrome: insights from a clinical case.

Encephalitis (Seoul, Korea) Pub Date : 2024-01-01 Epub Date: 2023-12-06 DOI:10.47936/encephalitis.2023.00115
Reza Dehdab, Saif Afat
{"title":"COVID-19-related posterior reversible encephalopathy syndrome: insights from a clinical case.","authors":"Reza Dehdab, Saif Afat","doi":"10.47936/encephalitis.2023.00115","DOIUrl":null,"url":null,"abstract":"<p><p>In the present case report, a 50-year-old female presented with hemiparesis and blurred vision and was subsequently diagnosed with posterior reversible encephalopathy syndrome (PRES) associated with coronavirus disease 2019 (COVID-19). Magnetic resonance imaging revealed cortico-subcortical edema with hyperintensities bilaterally in the frontoparietal and bi-occipital regions. Although PRES is a neurotoxic disorder that typically affects white matter of the brain and often is associated with hypertension, renal failure, and autoimmune disorders, recent studies have suggested that COVID-19 increases the risk of PRES. This case report presents a unique instance of COVID-19-related PRES. Unlike most previously reported cases occurring during the acute phase of severe COVID-19, our patient experienced PRES during the recovery phase with mild initial symptoms, such as fatigue and mild fever. The article discusses the pathophysiology of PRES, the potential mechanisms by which COVID-19 leads to PRES, and the treatment and outcome of the patient.</p>","PeriodicalId":72904,"journal":{"name":"Encephalitis (Seoul, Korea)","volume":" ","pages":"18-22"},"PeriodicalIF":0.0000,"publicationDate":"2024-01-01","publicationTypes":"Journal Article","fieldsOfStudy":null,"isOpenAccess":false,"openAccessPdf":"https://www.ncbi.nlm.nih.gov/pmc/articles/PMC11007401/pdf/","citationCount":"0","resultStr":null,"platform":"Semanticscholar","paperid":null,"PeriodicalName":"Encephalitis (Seoul, Korea)","FirstCategoryId":"1085","ListUrlMain":"https://doi.org/10.47936/encephalitis.2023.00115","RegionNum":0,"RegionCategory":null,"ArticlePicture":[],"TitleCN":null,"AbstractTextCN":null,"PMCID":null,"EPubDate":"2023/12/6 0:00:00","PubModel":"Epub","JCR":"","JCRName":"","Score":null,"Total":0}
引用次数: 0

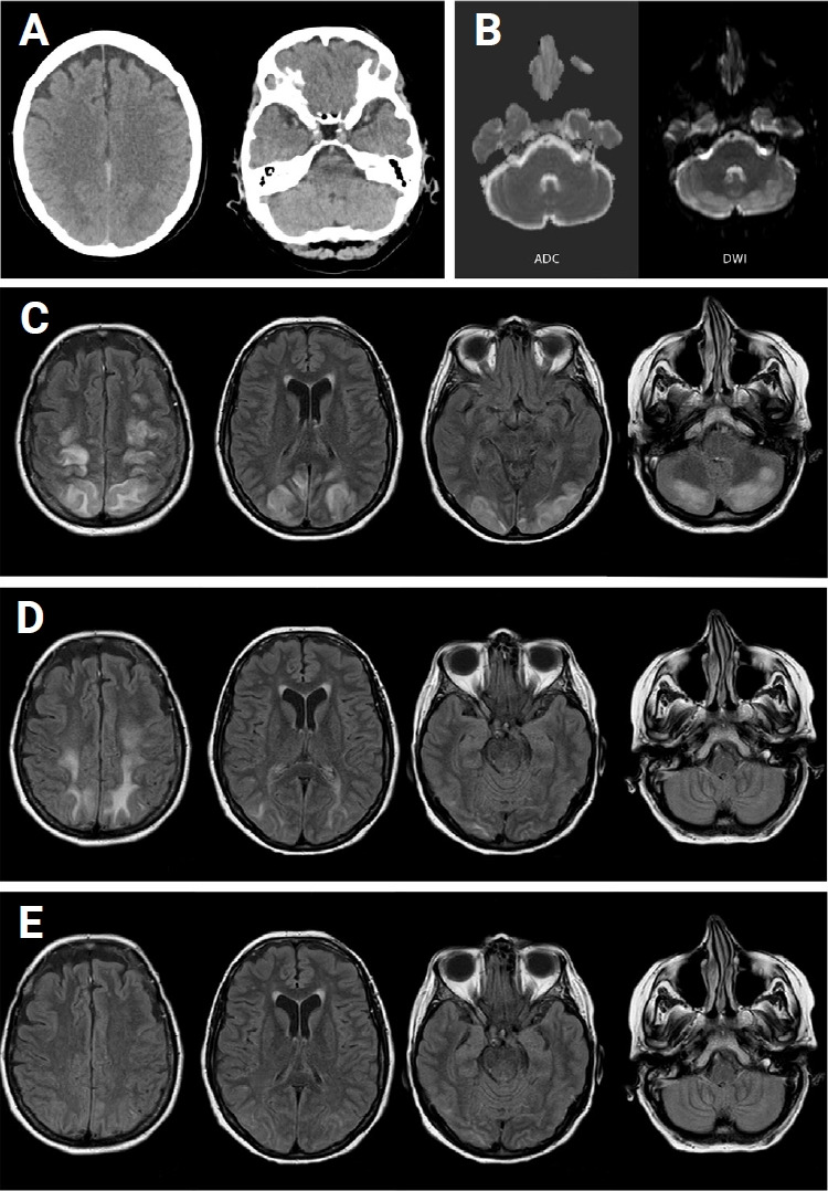
Abstract

In the present case report, a 50-year-old female presented with hemiparesis and blurred vision and was subsequently diagnosed with posterior reversible encephalopathy syndrome (PRES) associated with coronavirus disease 2019 (COVID-19). Magnetic resonance imaging revealed cortico-subcortical edema with hyperintensities bilaterally in the frontoparietal and bi-occipital regions. Although PRES is a neurotoxic disorder that typically affects white matter of the brain and often is associated with hypertension, renal failure, and autoimmune disorders, recent studies have suggested that COVID-19 increases the risk of PRES. This case report presents a unique instance of COVID-19-related PRES. Unlike most previously reported cases occurring during the acute phase of severe COVID-19, our patient experienced PRES during the recovery phase with mild initial symptoms, such as fatigue and mild fever. The article discusses the pathophysiology of PRES, the potential mechanisms by which COVID-19 leads to PRES, and the treatment and outcome of the patient.

Abstract Image

与 COVID-19 相关的后可逆性脑病综合征:从一个临床病例中得到的启示。
在本病例报告中,一名 50 岁女性出现偏瘫和视力模糊,随后被诊断为与 2019 年冠状病毒病(COVID-19)相关的后可逆性脑病综合征(PRES)。磁共振成像显示,双侧前顶叶和双枕叶区域的皮质-皮质下水肿伴有高密度。尽管PRES是一种神经毒性疾病,通常会影响脑白质,而且往往与高血压、肾功能衰竭和自身免疫性疾病有关,但最近的研究表明,COVID-19会增加PRES的风险。本病例报告展示了一个与 COVID-19 相关的独特的 PRES 病例。与之前报道的大多数发生在重症 COVID-19 急性期的病例不同,我们的患者在恢复期出现 PRES,最初症状轻微,如疲乏和轻度发热。文章讨论了 PRES 的病理生理学、COVID-19 导致 PRES 的潜在机制以及患者的治疗和结果。
本文章由计算机程序翻译,如有差异,请以英文原文为准。
求助全文
约1分钟内获得全文 求助全文
来源期刊
自引率
0.00%
发文量
0
×
引用
GB/T 7714-2015
复制
MLA
复制
APA
复制
导出至
BibTeX EndNote RefMan NoteFirst NoteExpress
×
提示
您的信息不完整,为了账户安全,请先补充。
现在去补充
×
提示
您因"违规操作"
具体请查看互助需知
我知道了
×
提示
确定
请完成安全验证×
copy
已复制链接
快去分享给好友吧!
我知道了
右上角分享
点击右上角分享
0
联系我们:info@booksci.cn Book学术提供免费学术资源搜索服务,方便国内外学者检索中英文文献。致力于提供最便捷和优质的服务体验。 Copyright © 2023 布克学术 All rights reserved.
京ICP备2023020795号-1
ghs 京公网安备 11010802042870号
Book学术文献互助
Book学术文献互助群
群 号:604180095
Book学术官方微信