Optic nerve sheath diameter measurement for the paediatric patient with an acute deterioration in consciousness.

IF 2.9 Q2 Medicine
Ahmed Ali, David J McCreary
{"title":"Optic nerve sheath diameter measurement for the paediatric patient with an acute deterioration in consciousness.","authors":"Ahmed Ali, David J McCreary","doi":"10.1186/s13089-023-00341-6","DOIUrl":null,"url":null,"abstract":"<p><p>Ocular Point of Care Ultrasound (PoCUS) is emerging as a valuable utility within emergency medicine. Optic nerve sheath diameter (ONSD) has been demonstrated to correlate closely with intracranial pressure (ICP) and an elevated measurement can detect raised ICP readily, where fundoscopy may not, owing to both technical challenges and insufficient clinical skills. A previously fit and well 10-year-old girl presented to the paediatric emergency department with worsening headache, fever and lethargy. On examination, her left pupil was large, and not reactive to light. Initially, her GCS was 15 but suddenly dropped to 8/15. Her blood tests showed raised inflammatory markers. A CT head was reported as possible pansinusitis and MRI of her brain was initially reported as showing evidence of meningeal irritation only. Due to her drop in GCS PoCUS of optic nerve sheath was conducted which showed evidence of increased ICP with increased optic nerve sheath diameter of 6.8mm. This led to a reassessment of the MRI imaging by the neurosurgical team who felt there was evidence of subdural empyema. The patient was transferred to the tertiary neurosurgical centre, where an emergency evacuation of subdural empyema was carried out. Staphylococcus aureus and Streptococcus pyogenes were grown from pus samples. Early detection of raised ICP is of paramount importance in terms of being able to instigate neuroprotective measures and prevent adverse neurological outcomes. PoCUS is a readily available, non-irradiating, easily repeatable, well-tolerated and readily teachable ultrasound modality and a useful tool which should be employed in paediatric and adult emergency departments.</p>","PeriodicalId":36911,"journal":{"name":"Ultrasound Journal","volume":"15 1","pages":"45"},"PeriodicalIF":2.9000,"publicationDate":"2023-12-04","publicationTypes":"Journal Article","fieldsOfStudy":null,"isOpenAccess":false,"openAccessPdf":"https://www.ncbi.nlm.nih.gov/pmc/articles/PMC10695894/pdf/","citationCount":"0","resultStr":null,"platform":"Semanticscholar","paperid":null,"PeriodicalName":"Ultrasound Journal","FirstCategoryId":"1085","ListUrlMain":"https://doi.org/10.1186/s13089-023-00341-6","RegionNum":0,"RegionCategory":null,"ArticlePicture":[],"TitleCN":null,"AbstractTextCN":null,"PMCID":null,"EPubDate":"","PubModel":"","JCR":"Q2","JCRName":"Medicine","Score":null,"Total":0}
引用次数: 0

Abstract

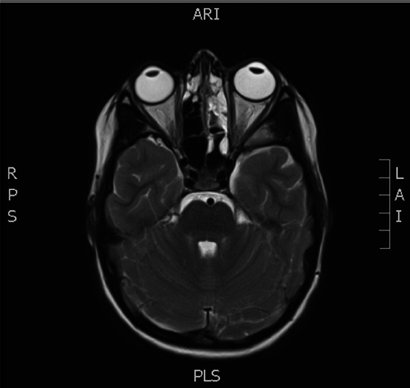
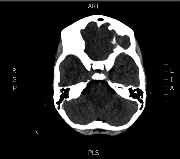
Ocular Point of Care Ultrasound (PoCUS) is emerging as a valuable utility within emergency medicine. Optic nerve sheath diameter (ONSD) has been demonstrated to correlate closely with intracranial pressure (ICP) and an elevated measurement can detect raised ICP readily, where fundoscopy may not, owing to both technical challenges and insufficient clinical skills. A previously fit and well 10-year-old girl presented to the paediatric emergency department with worsening headache, fever and lethargy. On examination, her left pupil was large, and not reactive to light. Initially, her GCS was 15 but suddenly dropped to 8/15. Her blood tests showed raised inflammatory markers. A CT head was reported as possible pansinusitis and MRI of her brain was initially reported as showing evidence of meningeal irritation only. Due to her drop in GCS PoCUS of optic nerve sheath was conducted which showed evidence of increased ICP with increased optic nerve sheath diameter of 6.8mm. This led to a reassessment of the MRI imaging by the neurosurgical team who felt there was evidence of subdural empyema. The patient was transferred to the tertiary neurosurgical centre, where an emergency evacuation of subdural empyema was carried out. Staphylococcus aureus and Streptococcus pyogenes were grown from pus samples. Early detection of raised ICP is of paramount importance in terms of being able to instigate neuroprotective measures and prevent adverse neurological outcomes. PoCUS is a readily available, non-irradiating, easily repeatable, well-tolerated and readily teachable ultrasound modality and a useful tool which should be employed in paediatric and adult emergency departments.

Abstract Image

Abstract Image

Abstract Image

小儿急性意识衰退患者视神经鞘直径测量。
眼点超声(PoCUS)正在成为急诊医学中有价值的实用工具。视神经鞘直径(ONSD)已被证明与颅内压(ICP)密切相关,升高的测量可以很容易地检测到升高的ICP,而由于技术挑战和临床技能不足,眼底镜检查可能无法检测到升高的ICP。先前健康和良好的10岁女孩呈现给儿科急诊科恶化头痛,发烧和嗜睡。经检查,她的左瞳孔很大,对光无反应。最初,她的GCS为15,但突然降至8/15。她的血检显示炎症标志物升高头部CT显示可能为全鼻窦炎,脑部MRI最初仅显示脑膜刺激。由于GCS下降,视神经鞘PoCUS显示颅内压增高,视神经鞘直径增加6.8mm。这导致神经外科团队重新评估MRI成像,他们认为有硬膜下脓肿的证据。患者被转移到三级神经外科中心,在那里进行了硬膜下脓肿的紧急疏散。脓液中培养金黄色葡萄球菌和化脓性链球菌。早期发现升高的颅内压是至关重要的,能够激发神经保护措施和防止不良的神经系统后果。PoCUS是一种易于获得、无照射、易于重复、耐受性好、易于教学的超声方式,是儿科和成人急诊科应采用的有用工具。
本文章由计算机程序翻译,如有差异,请以英文原文为准。
求助全文
约1分钟内获得全文 求助全文
来源期刊
Ultrasound Journal
Ultrasound Journal Health Professions-Radiological and Ultrasound Technology
CiteScore
6.80
自引率
2.90%
发文量
45
审稿时长
22 weeks
×
引用
GB/T 7714-2015
复制
MLA
复制
APA
复制
导出至
BibTeX EndNote RefMan NoteFirst NoteExpress
×
提示
您的信息不完整,为了账户安全,请先补充。
现在去补充
×
提示
您因"违规操作"
具体请查看互助需知
我知道了
×
提示
确定
请完成安全验证×
copy
已复制链接
快去分享给好友吧!
我知道了
右上角分享
点击右上角分享
0
联系我们:info@booksci.cn Book学术提供免费学术资源搜索服务,方便国内外学者检索中英文文献。致力于提供最便捷和优质的服务体验。 Copyright © 2023 布克学术 All rights reserved.
京ICP备2023020795号-1
ghs 京公网安备 11010802042870号
Book学术文献互助
Book学术文献互助群
群 号:604180095
Book学术官方微信