Utility of hyperdense whirl sign for the diagnosis of gallbladder torsion.

IF 1 Q4 RADIOLOGY, NUCLEAR MEDICINE & MEDICAL IMAGING
Acta radiologica open Pub Date : 2023-11-29 eCollection Date: 2023-11-01 DOI:10.1177/20584601231218994
Osamu Sato, Tomoya Kotani, Taisei Kanayama, Bunta Tokuda, Kei Yamada
{"title":"Utility of hyperdense whirl sign for the diagnosis of gallbladder torsion.","authors":"Osamu Sato, Tomoya Kotani, Taisei Kanayama, Bunta Tokuda, Kei Yamada","doi":"10.1177/20584601231218994","DOIUrl":null,"url":null,"abstract":"<p><p>The purpose of this report was to evaluate the usefulness of hyperdense whirl sign on unenhanced computed tomography (CT) for diagnosing gallbladder torsion. The CT scans of seven patients with gallbladder torsion were independently reviewed by two board-certified radiologists for locating the high-density core with twisting between the gallbladder neck and liver bed, termed hyperdense whirl sign. The sign was observed in six cases. The detection of a hyperdense whirl sign on unenhanced CT appears useful for diagnosing gallbladder torsion.</p>","PeriodicalId":72063,"journal":{"name":"Acta radiologica open","volume":"12 11","pages":"20584601231218994"},"PeriodicalIF":1.0000,"publicationDate":"2023-11-29","publicationTypes":"Journal Article","fieldsOfStudy":null,"isOpenAccess":false,"openAccessPdf":"https://www.ncbi.nlm.nih.gov/pmc/articles/PMC10687929/pdf/","citationCount":"0","resultStr":null,"platform":"Semanticscholar","paperid":null,"PeriodicalName":"Acta radiologica open","FirstCategoryId":"1085","ListUrlMain":"https://doi.org/10.1177/20584601231218994","RegionNum":0,"RegionCategory":null,"ArticlePicture":[],"TitleCN":null,"AbstractTextCN":null,"PMCID":null,"EPubDate":"2023/11/1 0:00:00","PubModel":"eCollection","JCR":"Q4","JCRName":"RADIOLOGY, NUCLEAR MEDICINE & MEDICAL IMAGING","Score":null,"Total":0}
引用次数: 0

Abstract

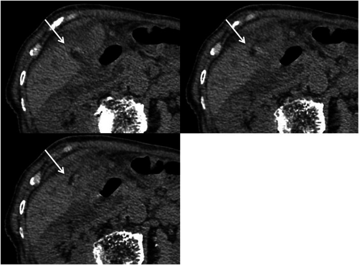
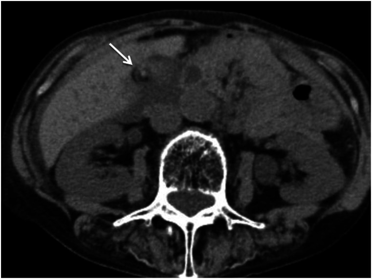
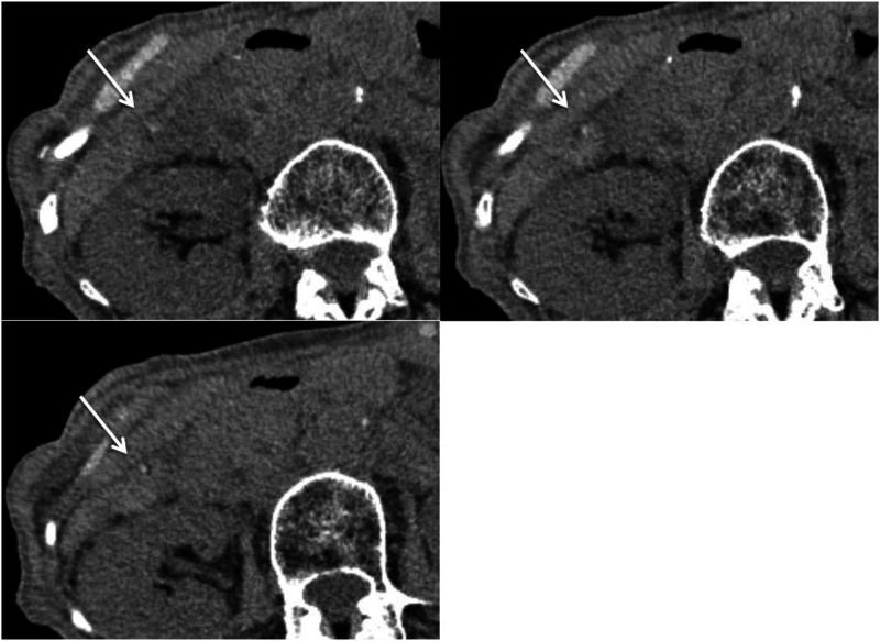
The purpose of this report was to evaluate the usefulness of hyperdense whirl sign on unenhanced computed tomography (CT) for diagnosing gallbladder torsion. The CT scans of seven patients with gallbladder torsion were independently reviewed by two board-certified radiologists for locating the high-density core with twisting between the gallbladder neck and liver bed, termed hyperdense whirl sign. The sign was observed in six cases. The detection of a hyperdense whirl sign on unenhanced CT appears useful for diagnosing gallbladder torsion.

Abstract Image

Abstract Image

Abstract Image

高密度旋流征在胆囊扭转诊断中的应用。
本报告的目的是评估高密度螺旋征在非增强计算机断层扫描(CT)上诊断胆囊扭转的有效性。7例胆囊扭转患者的CT扫描由两名认证的放射科医生独立检查,定位胆囊颈和肝床之间的高密度核心扭曲,称为高密度漩涡征。在6个案例中观察到该标志。在非增强CT上发现高密度螺旋征对诊断胆囊扭转很有帮助。
本文章由计算机程序翻译,如有差异,请以英文原文为准。
求助全文
约1分钟内获得全文 求助全文
来源期刊
自引率
0.00%
发文量
0
审稿时长
12 weeks
×
引用
GB/T 7714-2015
复制
MLA
复制
APA
复制
导出至
BibTeX EndNote RefMan NoteFirst NoteExpress
×
提示
您的信息不完整,为了账户安全,请先补充。
现在去补充
×
提示
您因"违规操作"
具体请查看互助需知
我知道了
×
提示
确定
请完成安全验证×
copy
已复制链接
快去分享给好友吧!
我知道了
右上角分享
点击右上角分享
0
联系我们:info@booksci.cn Book学术提供免费学术资源搜索服务,方便国内外学者检索中英文文献。致力于提供最便捷和优质的服务体验。 Copyright © 2023 布克学术 All rights reserved.
京ICP备2023020795号-1
ghs 京公网安备 11010802042870号
Book学术文献互助
Book学术文献互助群
群 号:604180095
Book学术官方微信