Biliary adenofibroma: a precursor lesion of intrahepatic cholangiocarcinoma.

Q4 Medicine
Autopsy and Case Reports Pub Date : 2023-11-13 eCollection Date: 2023-01-01 DOI:10.4322/acr.2023.453
Mayur Parkhi, Rashmi Joshi, Manish Kumar, Aditi Sharma, Suvradeep Mitra, Lileswar Kaman
{"title":"Biliary adenofibroma: a precursor lesion of intrahepatic cholangiocarcinoma.","authors":"Mayur Parkhi, Rashmi Joshi, Manish Kumar, Aditi Sharma, Suvradeep Mitra, Lileswar Kaman","doi":"10.4322/acr.2023.453","DOIUrl":null,"url":null,"abstract":"<p><p>Biliary adenofibroma (BAF) is an uncommon liver tumor with a high propensity for malignant transformation. The histomorphology of BAF with malignant transformation can show a spectrum of changes ranging from benign, dysplastic to frank malignancy. Thus, the diagnosis of BAF imposes the pursuit of dysplasia/ malignancy focus. We presented a case of intrahepatic cholangiocarcinoma arising from BAF in a 49-year-old woman with detailed histomorphology. We also performed a PubMed database search and tabulated all previously reported cases of BAF with dysplasia/ malignant transformation. A statistic comparison of age, sex ratio, size of the tumor, and survival following complete resection between BAFs with and without dysplasia/ malignancy from the retrieved data is presented. Our analysis did not highlight any statistically significant difference between BAFs with and without dysplasia/ malignancy in age, sex ratio, tumor size, and survival following complete surgical resection. Our study highlights the histopathology and immunohistochemistry of a case of BAF with malignant transformation and highlights the importance of this diagnosis in management. Further longitudinal studies on a larger cohort of patients are required to validate our findings.</p>","PeriodicalId":53117,"journal":{"name":"Autopsy and Case Reports","volume":"13 ","pages":"e2023453"},"PeriodicalIF":0.0000,"publicationDate":"2023-11-13","publicationTypes":"Journal Article","fieldsOfStudy":null,"isOpenAccess":false,"openAccessPdf":"https://www.ncbi.nlm.nih.gov/pmc/articles/PMC10688199/pdf/","citationCount":"0","resultStr":null,"platform":"Semanticscholar","paperid":null,"PeriodicalName":"Autopsy and Case Reports","FirstCategoryId":"1085","ListUrlMain":"https://doi.org/10.4322/acr.2023.453","RegionNum":0,"RegionCategory":null,"ArticlePicture":[],"TitleCN":null,"AbstractTextCN":null,"PMCID":null,"EPubDate":"2023/1/1 0:00:00","PubModel":"eCollection","JCR":"Q4","JCRName":"Medicine","Score":null,"Total":0}
引用次数: 0

Abstract

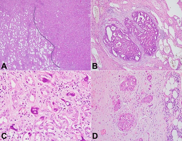
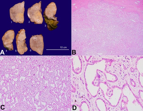
Biliary adenofibroma (BAF) is an uncommon liver tumor with a high propensity for malignant transformation. The histomorphology of BAF with malignant transformation can show a spectrum of changes ranging from benign, dysplastic to frank malignancy. Thus, the diagnosis of BAF imposes the pursuit of dysplasia/ malignancy focus. We presented a case of intrahepatic cholangiocarcinoma arising from BAF in a 49-year-old woman with detailed histomorphology. We also performed a PubMed database search and tabulated all previously reported cases of BAF with dysplasia/ malignant transformation. A statistic comparison of age, sex ratio, size of the tumor, and survival following complete resection between BAFs with and without dysplasia/ malignancy from the retrieved data is presented. Our analysis did not highlight any statistically significant difference between BAFs with and without dysplasia/ malignancy in age, sex ratio, tumor size, and survival following complete surgical resection. Our study highlights the histopathology and immunohistochemistry of a case of BAF with malignant transformation and highlights the importance of this diagnosis in management. Further longitudinal studies on a larger cohort of patients are required to validate our findings.

Abstract Image

Abstract Image

Abstract Image

胆道腺纤维瘤:肝内胆管癌的前体病变。
摘要胆道腺纤维瘤(BAF)是一种罕见的肝脏肿瘤,具有很高的恶性转化倾向。伴有恶性转化的BAF的组织形态可以表现出一系列的变化,从良性、发育不良到明显的恶性。因此,对BAF的诊断必须以非典型增生/恶性肿瘤为重点。我们报告了一例由BAF引起的肝内胆管癌,患者为49岁女性,有详细的组织形态学。我们还进行了PubMed数据库检索,并将所有先前报道的BAF伴不典型增生/恶性转化的病例制成表格。从检索到的数据中,对有和没有发育不良/恶性肿瘤的baf的年龄、性别比例、肿瘤大小和完全切除后的生存率进行了统计比较。我们的分析并没有强调有和没有发育不良/恶性肿瘤的baf在年龄、性别比例、肿瘤大小和完全手术切除后的生存方面有任何统计学上的显著差异。我们的研究强调了一例BAF恶性转化的组织病理学和免疫组织化学,并强调了这种诊断在治疗中的重要性。需要对更大的患者队列进行进一步的纵向研究来验证我们的发现。
本文章由计算机程序翻译,如有差异,请以英文原文为准。
求助全文
约1分钟内获得全文 求助全文
来源期刊
Autopsy and Case Reports
Autopsy and Case Reports Medicine-Internal Medicine
CiteScore
1.20
自引率
0.00%
发文量
60
审稿时长
9 weeks
×
引用
GB/T 7714-2015
复制
MLA
复制
APA
复制
导出至
BibTeX EndNote RefMan NoteFirst NoteExpress
×
提示
您的信息不完整,为了账户安全,请先补充。
现在去补充
×
提示
您因"违规操作"
具体请查看互助需知
我知道了
×
提示
确定
请完成安全验证×
copy
已复制链接
快去分享给好友吧!
我知道了
右上角分享
点击右上角分享
0
联系我们:info@booksci.cn Book学术提供免费学术资源搜索服务,方便国内外学者检索中英文文献。致力于提供最便捷和优质的服务体验。 Copyright © 2023 布克学术 All rights reserved.
京ICP备2023020795号-1
ghs 京公网安备 11010802042870号
Book学术文献互助
Book学术文献互助群
群 号:604180095
Book学术官方微信