Assessment of the Impact of Turbo Factor on Image Quality and Tissue Volumetrics in Brain Magnetic Resonance Imaging Using the Three-Dimensional T1-Weighted (3D T1W) Sequence.

IF 1.3 Q2 ENGINEERING, BIOMEDICAL
International Journal of Biomedical Imaging Pub Date : 2023-11-15 eCollection Date: 2023-01-01 DOI:10.1155/2023/6304219
Eric Naab Manson, Stephen Inkoom, Abdul Nashirudeen Mumuni, Issahaku Shirazu, Adolf Kofi Awua
{"title":"Assessment of the Impact of Turbo Factor on Image Quality and Tissue Volumetrics in Brain Magnetic Resonance Imaging Using the Three-Dimensional T1-Weighted (3D T1W) Sequence.","authors":"Eric Naab Manson, Stephen Inkoom, Abdul Nashirudeen Mumuni, Issahaku Shirazu, Adolf Kofi Awua","doi":"10.1155/2023/6304219","DOIUrl":null,"url":null,"abstract":"<p><strong>Background: </strong>The 3D T1W turbo field echo sequence is a standard imaging method for acquiring high-contrast images of the brain. However, the contrast-to-noise ratio (CNR) can be affected by the turbo factor, which could affect the delineation and segmentation of various structures in the brain and may consequently lead to misdiagnosis. This study is aimed at evaluating the effect of the turbo factor on image quality and volumetric measurement reproducibility in brain magnetic resonance imaging (MRI).</p><p><strong>Methods: </strong>Brain images of five healthy volunteers with no history of neurological diseases were acquired on a 1.5 T MRI scanner with varying turbo factors of 50, 100, 150, 200, and 225. The images were processed and analyzed with FreeSurfer. The influence of the TFE factor on image quality and reproducibility of brain volume measurements was investigated. Image quality metrics assessed included the signal-to-noise ratio (SNR) of white matter (WM), CNR between gray matter/white matter (GM/WM) and gray matter/cerebrospinal fluid (GM/CSF), and Euler number (EN). Moreover, structural brain volume measurements of WM, GM, and CSF were conducted.</p><p><strong>Results: </strong>Turbo factor 200 produced the best SNR (median = 17.01) and GM/WM CNR (median = 2.29), but turbo factor 100 offered the most reproducible SNR (IQR = 2.72) and GM/WM CNR (IQR = 0.14). Turbo factor 50 had the worst and the least reproducible SNR, whereas turbo factor 225 had the worst and the least reproducible GM/WM CNR. Turbo factor 200 again had the best GM/CSF CNR but offered the least reproducible GM/CSF CNR. Turbo factor 225 had the best performance on EN (-21), while turbo factor 200 was next to the most reproducible turbo factor on EN (11). The results showed that turbo factor 200 had the least data acquisition time, in addition to superior performance on SNR, GM/WM CNR, GM/CSF CNR, and good reproducibility characteristics on EN. Both image quality metrics and volumetric measurements did not vary significantly (<i>p</i> > 0.05) with the range of turbo factors used in the study by one-way ANOVA analysis.</p><p><strong>Conclusion: </strong>Since no significant differences were observed in the performance of the turbo factors in terms of image quality and volume of brain structure, turbo factor 200 with a 74% acquisition time reduction was found to be optimal for brain MR imaging at 1.5 T.</p>","PeriodicalId":47063,"journal":{"name":"International Journal of Biomedical Imaging","volume":"2023 ","pages":"6304219"},"PeriodicalIF":1.3000,"publicationDate":"2023-11-15","publicationTypes":"Journal Article","fieldsOfStudy":null,"isOpenAccess":false,"openAccessPdf":"https://www.ncbi.nlm.nih.gov/pmc/articles/PMC10665095/pdf/","citationCount":"0","resultStr":null,"platform":"Semanticscholar","paperid":null,"PeriodicalName":"International Journal of Biomedical Imaging","FirstCategoryId":"1085","ListUrlMain":"https://doi.org/10.1155/2023/6304219","RegionNum":0,"RegionCategory":null,"ArticlePicture":[],"TitleCN":null,"AbstractTextCN":null,"PMCID":null,"EPubDate":"2023/1/1 0:00:00","PubModel":"eCollection","JCR":"Q2","JCRName":"ENGINEERING, BIOMEDICAL","Score":null,"Total":0}
引用次数: 0

Abstract

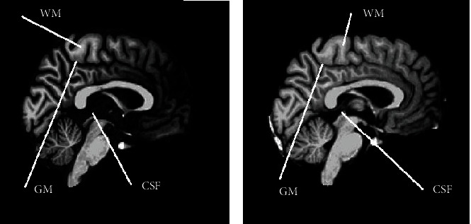
Background: The 3D T1W turbo field echo sequence is a standard imaging method for acquiring high-contrast images of the brain. However, the contrast-to-noise ratio (CNR) can be affected by the turbo factor, which could affect the delineation and segmentation of various structures in the brain and may consequently lead to misdiagnosis. This study is aimed at evaluating the effect of the turbo factor on image quality and volumetric measurement reproducibility in brain magnetic resonance imaging (MRI).

Methods: Brain images of five healthy volunteers with no history of neurological diseases were acquired on a 1.5 T MRI scanner with varying turbo factors of 50, 100, 150, 200, and 225. The images were processed and analyzed with FreeSurfer. The influence of the TFE factor on image quality and reproducibility of brain volume measurements was investigated. Image quality metrics assessed included the signal-to-noise ratio (SNR) of white matter (WM), CNR between gray matter/white matter (GM/WM) and gray matter/cerebrospinal fluid (GM/CSF), and Euler number (EN). Moreover, structural brain volume measurements of WM, GM, and CSF were conducted.

Results: Turbo factor 200 produced the best SNR (median = 17.01) and GM/WM CNR (median = 2.29), but turbo factor 100 offered the most reproducible SNR (IQR = 2.72) and GM/WM CNR (IQR = 0.14). Turbo factor 50 had the worst and the least reproducible SNR, whereas turbo factor 225 had the worst and the least reproducible GM/WM CNR. Turbo factor 200 again had the best GM/CSF CNR but offered the least reproducible GM/CSF CNR. Turbo factor 225 had the best performance on EN (-21), while turbo factor 200 was next to the most reproducible turbo factor on EN (11). The results showed that turbo factor 200 had the least data acquisition time, in addition to superior performance on SNR, GM/WM CNR, GM/CSF CNR, and good reproducibility characteristics on EN. Both image quality metrics and volumetric measurements did not vary significantly (p > 0.05) with the range of turbo factors used in the study by one-way ANOVA analysis.

Conclusion: Since no significant differences were observed in the performance of the turbo factors in terms of image quality and volume of brain structure, turbo factor 200 with a 74% acquisition time reduction was found to be optimal for brain MR imaging at 1.5 T.

Abstract Image

Abstract Image

利用三维t1加权(3D T1W)序列评估Turbo因子对脑磁共振成像图像质量和组织体积的影响。
背景:3D T1W涡轮场回波序列是获取高对比度大脑图像的标准成像方法。然而,噪声对比比(CNR)会受到涡轮系数的影响,从而影响对大脑各种结构的描绘和分割,从而可能导致误诊。本研究旨在评估涡轮系数对脑磁共振成像(MRI)图像质量和体积测量再现性的影响。方法:对5名无神经系统疾病史的健康志愿者进行1.5 T磁共振成像(MRI)扫描,turbo因子分别为50、100、150、200和225。使用FreeSurfer对图像进行处理和分析。研究了TFE因子对脑容量测量图像质量和再现性的影响。评估的图像质量指标包括白质(WM)的信噪比(SNR)、灰质/白质(GM/WM)与灰质/脑脊液(GM/CSF)之间的CNR和欧拉数(EN)。此外,还进行了WM、GM和CSF的结构脑体积测量。结果:Turbo因子200产生了最好的信噪比(中位数= 17.01)和GM/WM的CNR(中位数= 2.29),而Turbo因子100产生了最好的再现信噪比(IQR = 2.72)和GM/WM的CNR (IQR = 0.14)。涡轮因子50具有最差和最低的可重复信噪比,而涡轮因子225具有最差和最低的可重复GM/WM信噪比。Turbo factor 200仍然具有最佳的GM/CSF CNR,但提供了最低的再现性GM/CSF CNR。涡轮因子225在EN(-21)上的表现最好,而涡轮因子200在EN(11)上的再现性仅次于涡轮因子225。结果表明,turbo因子200的数据采集时间最短,在信噪比、GM/WM、GM/CSF CNR上表现优异,在EN上具有良好的再现性。通过单因素方差分析,图像质量指标和体积测量值与研究中使用的涡轮因子范围没有显著差异(p > 0.05)。结论:由于turbo因子在图像质量和脑结构体积方面的性能没有显著差异,因此在1.5 T时,turbo因子200的采集时间减少74%,是脑MR成像的最佳选择。
本文章由计算机程序翻译,如有差异,请以英文原文为准。
求助全文
约1分钟内获得全文 求助全文
来源期刊
CiteScore
12.00
自引率
0.00%
发文量
11
审稿时长
20 weeks
期刊介绍: The International Journal of Biomedical Imaging is managed by a board of editors comprising internationally renowned active researchers. The journal is freely accessible online and also offered for purchase in print format. It employs a web-based review system to ensure swift turnaround times while maintaining high standards. In addition to regular issues, special issues are organized by guest editors. The subject areas covered include (but are not limited to): Digital radiography and tomosynthesis X-ray computed tomography (CT) Magnetic resonance imaging (MRI) Single photon emission computed tomography (SPECT) Positron emission tomography (PET) Ultrasound imaging Diffuse optical tomography, coherence, fluorescence, bioluminescence tomography, impedance tomography Neutron imaging for biomedical applications Magnetic and optical spectroscopy, and optical biopsy Optical, electron, scanning tunneling/atomic force microscopy Small animal imaging Functional, cellular, and molecular imaging Imaging assays for screening and molecular analysis Microarray image analysis and bioinformatics Emerging biomedical imaging techniques Imaging modality fusion Biomedical imaging instrumentation Biomedical image processing, pattern recognition, and analysis Biomedical image visualization, compression, transmission, and storage Imaging and modeling related to systems biology and systems biomedicine Applied mathematics, applied physics, and chemistry related to biomedical imaging Grid-enabling technology for biomedical imaging and informatics
×
引用
GB/T 7714-2015
复制
MLA
复制
APA
复制
导出至
BibTeX EndNote RefMan NoteFirst NoteExpress
×
提示
您的信息不完整,为了账户安全,请先补充。
现在去补充
×
提示
您因"违规操作"
具体请查看互助需知
我知道了
×
提示
确定
请完成安全验证×
copy
已复制链接
快去分享给好友吧!
我知道了
右上角分享
点击右上角分享
0
联系我们:info@booksci.cn Book学术提供免费学术资源搜索服务,方便国内外学者检索中英文文献。致力于提供最便捷和优质的服务体验。 Copyright © 2023 布克学术 All rights reserved.
京ICP备2023020795号-1
ghs 京公网安备 11010802042870号
Book学术文献互助
Book学术文献互助群
群 号:604180095
Book学术官方微信