Spontaneous Bladder Rupture in a Catatonic Schizophrenia Patient.

Q4 Medicine
Case Reports in Psychiatry Pub Date : 2023-11-21 eCollection Date: 2023-01-01 DOI:10.1155/2023/4277372
Megumi Miyakoshi, Takayuki Arai, Shin Kurose, Masataka Kaji, Jun Nakane, Mitsumoto Onaya, Akihiro Koreki
{"title":"Spontaneous Bladder Rupture in a Catatonic Schizophrenia Patient.","authors":"Megumi Miyakoshi, Takayuki Arai, Shin Kurose, Masataka Kaji, Jun Nakane, Mitsumoto Onaya, Akihiro Koreki","doi":"10.1155/2023/4277372","DOIUrl":null,"url":null,"abstract":"<p><p>Catatonia is a psychiatric emergency in schizophrenia that often leads to excessive activation of the sympathetic nervous system. Urinary retention in catatonia is often underestimated but has potentially detrimental consequences. Herein, we present the case of a woman in her 40s with schizophrenia treated for catatonia during a relapse. When treated as an inpatient, the patient suddenly complained of severe abdominal pain. Computed tomography revealed a spontaneous rupture of the posterior wall of the bladder, requiring emergency repair surgery in the urology department. The patient was readmitted to our hospital following surgery and ultimately discharged 1 month later. Bladder rupture is life-threatening, and delayed diagnosis and treatment can be fatal. This case report serves as a warning that psychiatrists should not overlook urinary retention in patients with catatonia and should consider bladder rupture in the differential diagnosis when these patients have abdominal pain.</p>","PeriodicalId":9631,"journal":{"name":"Case Reports in Psychiatry","volume":"2023 ","pages":"4277372"},"PeriodicalIF":0.0000,"publicationDate":"2023-11-21","publicationTypes":"Journal Article","fieldsOfStudy":null,"isOpenAccess":false,"openAccessPdf":"https://www.ncbi.nlm.nih.gov/pmc/articles/PMC10684317/pdf/","citationCount":"0","resultStr":null,"platform":"Semanticscholar","paperid":null,"PeriodicalName":"Case Reports in Psychiatry","FirstCategoryId":"1085","ListUrlMain":"https://doi.org/10.1155/2023/4277372","RegionNum":0,"RegionCategory":null,"ArticlePicture":[],"TitleCN":null,"AbstractTextCN":null,"PMCID":null,"EPubDate":"2023/1/1 0:00:00","PubModel":"eCollection","JCR":"Q4","JCRName":"Medicine","Score":null,"Total":0}
引用次数: 0

Abstract

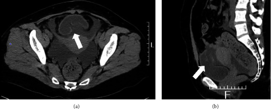
Catatonia is a psychiatric emergency in schizophrenia that often leads to excessive activation of the sympathetic nervous system. Urinary retention in catatonia is often underestimated but has potentially detrimental consequences. Herein, we present the case of a woman in her 40s with schizophrenia treated for catatonia during a relapse. When treated as an inpatient, the patient suddenly complained of severe abdominal pain. Computed tomography revealed a spontaneous rupture of the posterior wall of the bladder, requiring emergency repair surgery in the urology department. The patient was readmitted to our hospital following surgery and ultimately discharged 1 month later. Bladder rupture is life-threatening, and delayed diagnosis and treatment can be fatal. This case report serves as a warning that psychiatrists should not overlook urinary retention in patients with catatonia and should consider bladder rupture in the differential diagnosis when these patients have abdominal pain.

Abstract Image

Abstract Image

紧张性精神分裂症患者自发性膀胱破裂。
紧张症是精神分裂症中的一种精神急症,通常导致交感神经系统过度激活。紧张症中的尿潴留通常被低估,但它具有潜在的有害后果。在这里,我们提出的情况下,一名妇女在她40岁的精神分裂症治疗紧张症期间复发。住院治疗时,病人突然主诉腹痛剧烈。计算机断层扫描显示膀胱后壁自发破裂,需要在泌尿科进行紧急修复手术。患者术后再次入院,1个月后出院。膀胱破裂是危及生命的,延误的诊断和治疗可能是致命的。本病例报告警示精神科医生不应忽视紧张症患者的尿潴留,当这些患者出现腹痛时,应在鉴别诊断中考虑膀胱破裂。
本文章由计算机程序翻译,如有差异,请以英文原文为准。
求助全文
约1分钟内获得全文 求助全文
来源期刊
Case Reports in Psychiatry
Case Reports in Psychiatry Medicine-Psychiatry and Mental Health
CiteScore
1.00
自引率
0.00%
发文量
49
审稿时长
12 weeks
×
引用
GB/T 7714-2015
复制
MLA
复制
APA
复制
导出至
BibTeX EndNote RefMan NoteFirst NoteExpress
×
提示
您的信息不完整,为了账户安全,请先补充。
现在去补充
×
提示
您因"违规操作"
具体请查看互助需知
我知道了
×
提示
确定
请完成安全验证×
copy
已复制链接
快去分享给好友吧!
我知道了
右上角分享
点击右上角分享
0
联系我们:info@booksci.cn Book学术提供免费学术资源搜索服务,方便国内外学者检索中英文文献。致力于提供最便捷和优质的服务体验。 Copyright © 2023 布克学术 All rights reserved.
京ICP备2023020795号-1
ghs 京公网安备 11010802042870号
Book学术文献互助
Book学术文献互助群
群 号:604180095
Book学术官方微信