Recovery from Respiratory Failure in Patients with Coronavirus Disease 2019.

IF 0.6 0 RESPIRATORY SYSTEM
Miraç Öz, Serhat Erol, Aslıhan Gürün Kaya, Özlem Işık, Fatma Çiftci, Güle Çınar, Çağlar Uzun, Alpay Azap, Aydın Çiledağ, Akın Kaya, Özlem Özdemir Kumbasar
{"title":"Recovery from Respiratory Failure in Patients with Coronavirus Disease 2019.","authors":"Miraç Öz, Serhat Erol, Aslıhan Gürün Kaya, Özlem Işık, Fatma Çiftci, Güle Çınar, Çağlar Uzun, Alpay Azap, Aydın Çiledağ, Akın Kaya, Özlem Özdemir Kumbasar","doi":"10.5152/ThoracResPract.2023.23001","DOIUrl":null,"url":null,"abstract":"<p><strong>Objective: </strong>Coronavirus disease 2019 (COVID-19) can cause hypoxic respiratory failure; long-term oxygen therapy (LTOT) duration is unknown.</p><p><strong>Material and methods: </strong>The aim was to investigate which patients would need LTOT after COVID-19 pneumonia. This single-center, prospective study was conducted at the Ankara University Faculty of Medicine, Department of Chest Diseases, between May 2021 and December 2021. The 70 patients hospitalized for COVID-19 pneumonia and discharged with LTOT due to hypoxemic respiratory failure were included. Patients were divided into 2 groups as group I (LTOT requirement <3 months) and group II (LTOT requirement continued ≥3 months).</p><p><strong>Results: </strong>The mean age was 64.4 ± 13.5 years, and 44 (62.9%) of them were male. The most frequently encountered comorbidities were cardiovascular disease (57.1%) and lung disease (22.9%). While PaO2 levels increased in both groups during the follow-up period, this increment was significantly higher in group I (PaO2: 66.6 ± 9.9 mm Hg, P < .001). The factors affecting the LTOT requirement were evaluated using binary logistic regression. On multivariate analyses of lymphocytes, ferritin, C-reactive protein, PaO2, SaO2, subpleural reticulation, and number of lobes affected (≥3 lobes), the SaO2 level and presence of subpleural reticulation were significantly different between the 2 groups [odds ratio (OR) (95% CI): 0.853 (0.749-0.971), P = .016] and [OR (95% CI): 0.171 (0.042-0.733), P = .017], respectively.</p><p><strong>Conclusion: </strong>A significant proportion of patients who develop respiratory failure due to COVID-19 recover within the first 3 months. Factors determining the LTOT requirement for more than 3 months were SaO2 and the presence of subpleural reticulation.</p>","PeriodicalId":75221,"journal":{"name":"Thoracic research and practice","volume":" ","pages":"26 - 34"},"PeriodicalIF":0.6000,"publicationDate":"2023-11-28","publicationTypes":"Journal Article","fieldsOfStudy":null,"isOpenAccess":false,"openAccessPdf":"https://www.ncbi.nlm.nih.gov/pmc/articles/PMC11160421/pdf/","citationCount":"0","resultStr":null,"platform":"Semanticscholar","paperid":null,"PeriodicalName":"Thoracic research and practice","FirstCategoryId":"1085","ListUrlMain":"https://doi.org/10.5152/ThoracResPract.2023.23001","RegionNum":0,"RegionCategory":null,"ArticlePicture":[],"TitleCN":null,"AbstractTextCN":null,"PMCID":null,"EPubDate":"","PubModel":"","JCR":"0","JCRName":"RESPIRATORY SYSTEM","Score":null,"Total":0}
引用次数: 0

Abstract

Objective: Coronavirus disease 2019 (COVID-19) can cause hypoxic respiratory failure; long-term oxygen therapy (LTOT) duration is unknown.

Material and methods: The aim was to investigate which patients would need LTOT after COVID-19 pneumonia. This single-center, prospective study was conducted at the Ankara University Faculty of Medicine, Department of Chest Diseases, between May 2021 and December 2021. The 70 patients hospitalized for COVID-19 pneumonia and discharged with LTOT due to hypoxemic respiratory failure were included. Patients were divided into 2 groups as group I (LTOT requirement <3 months) and group II (LTOT requirement continued ≥3 months).

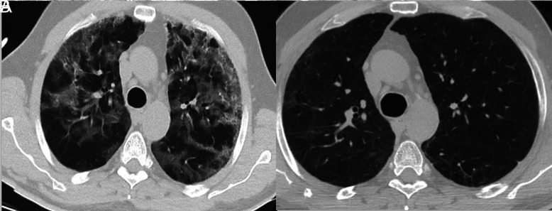
Results: The mean age was 64.4 ± 13.5 years, and 44 (62.9%) of them were male. The most frequently encountered comorbidities were cardiovascular disease (57.1%) and lung disease (22.9%). While PaO2 levels increased in both groups during the follow-up period, this increment was significantly higher in group I (PaO2: 66.6 ± 9.9 mm Hg, P < .001). The factors affecting the LTOT requirement were evaluated using binary logistic regression. On multivariate analyses of lymphocytes, ferritin, C-reactive protein, PaO2, SaO2, subpleural reticulation, and number of lobes affected (≥3 lobes), the SaO2 level and presence of subpleural reticulation were significantly different between the 2 groups [odds ratio (OR) (95% CI): 0.853 (0.749-0.971), P = .016] and [OR (95% CI): 0.171 (0.042-0.733), P = .017], respectively.

Conclusion: A significant proportion of patients who develop respiratory failure due to COVID-19 recover within the first 3 months. Factors determining the LTOT requirement for more than 3 months were SaO2 and the presence of subpleural reticulation.

Abstract Image

Abstract Image

Abstract Image

2019冠状病毒病患者呼吸衰竭恢复情况
目的:冠状病毒病2019 (COVID-19)可引起缺氧性呼吸衰竭;长期氧疗持续时间尚不清楚。材料和方法:目的是调查哪些患者在COVID-19肺炎后需要lot。这项单中心前瞻性研究于2021年5月至2021年12月在安卡拉大学医学院胸科进行。纳入70例因COVID-19肺炎住院并因低氧性呼吸衰竭而出院的lot患者。结果:患者平均年龄64.4±13.5岁,男性44例(62.9%)。最常见的合并症是心血管疾病(57.1%)和肺部疾病(22.9%)。在随访期间,两组患者PaO2水平均有所升高,其中ⅰ组升高幅度明显高于对照组(PaO2: 66.6±9.9 mm Hg, P < 0.001)。采用二元逻辑回归对影响飞机起降时间的因素进行评价。多因素分析淋巴细胞、铁蛋白、c反应蛋白、PaO2、SaO2、胸膜下网状结构和受影响肺叶数(≥3肺叶),两组间SaO2水平和胸膜下网状结构存在显著差异[比值比(OR) (95% CI): 0.853 (0.749-0.971), P = 0.016]和[OR (95% CI): 0.171 (0.042-0.733), P = 0.017]。结论:COVID-19导致呼吸衰竭的患者在前3个月内康复的比例很高。决定超过3个月的LTOT需求的因素是SaO2和胸膜下网状的存在。
本文章由计算机程序翻译,如有差异,请以英文原文为准。
求助全文
约1分钟内获得全文 求助全文
来源期刊
CiteScore
1.50
自引率
0.00%
发文量
0
×
引用
GB/T 7714-2015
复制
MLA
复制
APA
复制
导出至
BibTeX EndNote RefMan NoteFirst NoteExpress
×
提示
您的信息不完整,为了账户安全,请先补充。
现在去补充
×
提示
您因"违规操作"
具体请查看互助需知
我知道了
×
提示
确定
请完成安全验证×
copy
已复制链接
快去分享给好友吧!
我知道了
右上角分享
点击右上角分享
0
联系我们:info@booksci.cn Book学术提供免费学术资源搜索服务,方便国内外学者检索中英文文献。致力于提供最便捷和优质的服务体验。 Copyright © 2023 布克学术 All rights reserved.
京ICP备2023020795号-1
ghs 京公网安备 11010802042870号
Book学术文献互助
Book学术文献互助群
群 号:604180095
Book学术官方微信