Use of Fibrin Glue in the Treatment of Persistent Pneumothorax in Premature Infants at the Limit of Viability: Ethical Issues and Two and A Half Years Follow-Up.

Journal of mother and child Pub Date : 2023-11-22 eCollection Date: 2023-06-01 DOI:10.34763/jmotherandchild.20232701.d-23-00061
Magdalena Rutkowska, Martyna Woynarowska, Iwona Terczyńska, Małgorzata Seroczyńska, Dariusz Mydlak, Jarosław Mądzik, Ewa Nowakowska, Katarzyna Niepokój, Sławomir Szczepaniak, Krystyna Polak
{"title":"Use of Fibrin Glue in the Treatment of Persistent Pneumothorax in Premature Infants at the Limit of Viability: Ethical Issues and Two and A Half Years Follow-Up.","authors":"Magdalena Rutkowska, Martyna Woynarowska, Iwona Terczyńska, Małgorzata Seroczyńska, Dariusz Mydlak, Jarosław Mądzik, Ewa Nowakowska, Katarzyna Niepokój, Sławomir Szczepaniak, Krystyna Polak","doi":"10.34763/jmotherandchild.20232701.d-23-00061","DOIUrl":null,"url":null,"abstract":"<p><strong>Introduction: </strong>Due to the extreme immaturity of many internal organs, including lungs, infants at the limit of viability are more predisposed to a pneumothorax (PTX). In some cases, PTX becomes persistent. Previously, only a few attempts of PTX treatment with fibrin glue were reported. However, its impact on further lung development is unknown.</p><p><strong>Case report: </strong>We present a case of an extremely preterm infant with persistent PTX who was successfully treated with fibrin glue. In addition, we present a two-and-a-half-year corrected age follow-up focusing on respiratory problems, motor development and sensory organs. Furthermore, we touch upon the related ethical issues.</p><p><strong>Conclusions: </strong>Fibrin glue should be used to treat persistent PTX even in an extremely preterm infant. No adverse effects were observed. At the two-and-a-half-year corrected age follow-up, despite severe bronchopulmonary dysplasia development, no serious pulmonary problems were observed. However, the child's development is uncertain. This situation raises important ethical issues concerning saving the lives of infants at the limit of viability.</p>","PeriodicalId":73842,"journal":{"name":"Journal of mother and child","volume":"27 1","pages":"190-197"},"PeriodicalIF":0.0000,"publicationDate":"2023-11-22","publicationTypes":"Journal Article","fieldsOfStudy":null,"isOpenAccess":false,"openAccessPdf":"https://www.ncbi.nlm.nih.gov/pmc/articles/PMC10664837/pdf/","citationCount":"0","resultStr":null,"platform":"Semanticscholar","paperid":null,"PeriodicalName":"Journal of mother and child","FirstCategoryId":"1085","ListUrlMain":"https://doi.org/10.34763/jmotherandchild.20232701.d-23-00061","RegionNum":0,"RegionCategory":null,"ArticlePicture":[],"TitleCN":null,"AbstractTextCN":null,"PMCID":null,"EPubDate":"2023/6/1 0:00:00","PubModel":"eCollection","JCR":"","JCRName":"","Score":null,"Total":0}
引用次数: 0

Abstract

Introduction: Due to the extreme immaturity of many internal organs, including lungs, infants at the limit of viability are more predisposed to a pneumothorax (PTX). In some cases, PTX becomes persistent. Previously, only a few attempts of PTX treatment with fibrin glue were reported. However, its impact on further lung development is unknown.

Case report: We present a case of an extremely preterm infant with persistent PTX who was successfully treated with fibrin glue. In addition, we present a two-and-a-half-year corrected age follow-up focusing on respiratory problems, motor development and sensory organs. Furthermore, we touch upon the related ethical issues.

Conclusions: Fibrin glue should be used to treat persistent PTX even in an extremely preterm infant. No adverse effects were observed. At the two-and-a-half-year corrected age follow-up, despite severe bronchopulmonary dysplasia development, no serious pulmonary problems were observed. However, the child's development is uncertain. This situation raises important ethical issues concerning saving the lives of infants at the limit of viability.

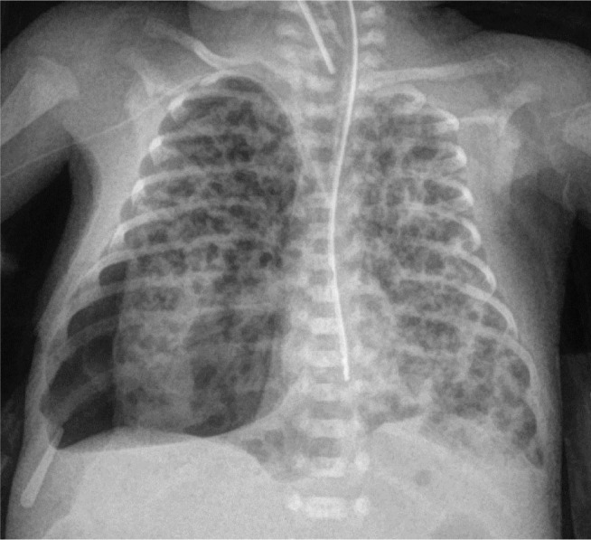
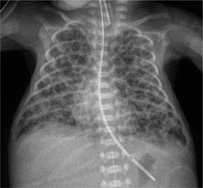
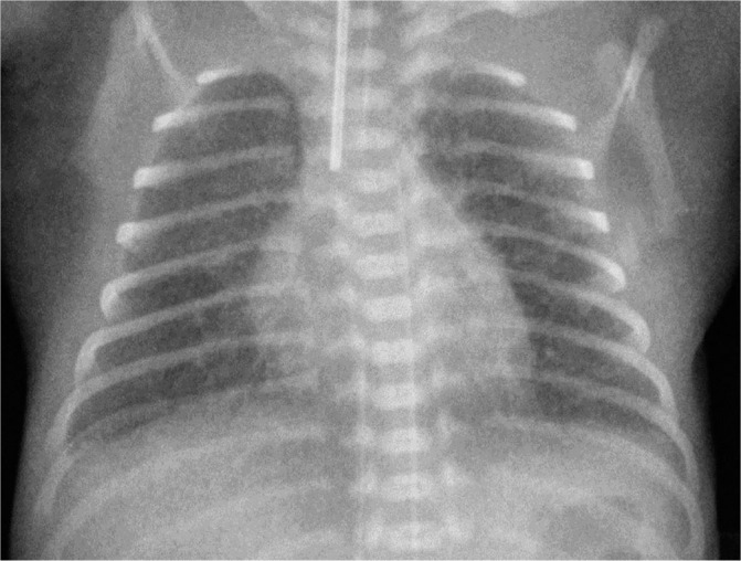
Abstract Image

Abstract Image

Abstract Image

使用纤维蛋白胶治疗生存极限早产儿持续性气胸:伦理问题和两年半随访。
导言:由于包括肺在内的许多内部器官极度不成熟,处于生存极限的婴儿更容易发生气胸(PTX)。在某些情况下,PTX会持续存在。以前,只有少数尝试用纤维蛋白胶治疗PTX的报道。然而,其对肺部进一步发育的影响尚不清楚。病例报告:我们提出了一个病例的极端早产儿持续性PTX谁是成功的治疗与纤维蛋白胶。此外,我们提出了一个两年半的校正年龄跟踪关注呼吸问题,运动发育和感觉器官。此外,我们还触及了相关的伦理问题。结论:即使是极早产儿也应使用纤维蛋白胶治疗持续性PTX。未观察到不良反应。在校正年龄2年半的随访中,尽管有严重的支气管肺发育不良,但未观察到严重的肺部问题。然而,孩子的发展是不确定的。这种情况提出了重要的伦理问题,即在生存能力有限的情况下拯救婴儿的生命。
本文章由计算机程序翻译,如有差异,请以英文原文为准。
求助全文
约1分钟内获得全文 求助全文
来源期刊
CiteScore
1.30
自引率
0.00%
发文量
0
×
引用
GB/T 7714-2015
复制
MLA
复制
APA
复制
导出至
BibTeX EndNote RefMan NoteFirst NoteExpress
×
提示
您的信息不完整,为了账户安全,请先补充。
现在去补充
×
提示
您因"违规操作"
具体请查看互助需知
我知道了
×
提示
确定
请完成安全验证×
copy
已复制链接
快去分享给好友吧!
我知道了
右上角分享
点击右上角分享
0
联系我们:info@booksci.cn Book学术提供免费学术资源搜索服务,方便国内外学者检索中英文文献。致力于提供最便捷和优质的服务体验。 Copyright © 2023 布克学术 All rights reserved.
京ICP备2023020795号-1
ghs 京公网安备 11010802042870号
Book学术文献互助
Book学术文献互助群
群 号:604180095
Book学术官方微信