A challenging etiology of myopathy: The late-onset Pompe disease.

IF 1.8 Q4 RHEUMATOLOGY
Tuba Yüce İnel, Aydan Köken Avşar, Pelin Teke Kısa, Erdener Özer, İsmail Sarı
{"title":"A challenging etiology of myopathy: The late-onset Pompe disease.","authors":"Tuba Yüce İnel, Aydan Köken Avşar, Pelin Teke Kısa, Erdener Özer, İsmail Sarı","doi":"10.5152/eurjrheum.2022.21156","DOIUrl":null,"url":null,"abstract":"<p><p>Pompe disease is a rare metabolic disorder that is characterized by the deficiency of the acid aglucosidase. As a result, glycogen accumulates in several tissues including motor neurons, skeletal, cardiac, and smooth muscles. The course of the disease varies according to the type of mutations, and the clinical phenotype can be affected by the enzyme levels. Late-onset Pompe disease (LOPD) is a challenging issue for clinicians as it has a milder phenotype with later onset of symptoms and slower disease progression. One of the most important differentials in the diagnosis of LOPD is inflammatory myositis as both diseases have some common clinical and laboratory features. Herein, we presented a 30-year-old female patient initially diagnosed as polymyositis and treated with immunosuppressive therapy without a benefit on her symptoms and later diagnosed as LOPD.</p>","PeriodicalId":12066,"journal":{"name":"European journal of rheumatology","volume":"10 1","pages":"26-28"},"PeriodicalIF":1.8000,"publicationDate":"2023-01-01","publicationTypes":"Journal Article","fieldsOfStudy":null,"isOpenAccess":false,"openAccessPdf":"https://www.ncbi.nlm.nih.gov/pmc/articles/PMC12462852/pdf/","citationCount":"0","resultStr":null,"platform":"Semanticscholar","paperid":null,"PeriodicalName":"European journal of rheumatology","FirstCategoryId":"1085","ListUrlMain":"https://doi.org/10.5152/eurjrheum.2022.21156","RegionNum":0,"RegionCategory":null,"ArticlePicture":[],"TitleCN":null,"AbstractTextCN":null,"PMCID":null,"EPubDate":"","PubModel":"","JCR":"Q4","JCRName":"RHEUMATOLOGY","Score":null,"Total":0}
引用次数: 0

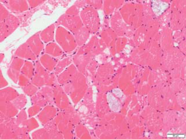
Abstract

Pompe disease is a rare metabolic disorder that is characterized by the deficiency of the acid aglucosidase. As a result, glycogen accumulates in several tissues including motor neurons, skeletal, cardiac, and smooth muscles. The course of the disease varies according to the type of mutations, and the clinical phenotype can be affected by the enzyme levels. Late-onset Pompe disease (LOPD) is a challenging issue for clinicians as it has a milder phenotype with later onset of symptoms and slower disease progression. One of the most important differentials in the diagnosis of LOPD is inflammatory myositis as both diseases have some common clinical and laboratory features. Herein, we presented a 30-year-old female patient initially diagnosed as polymyositis and treated with immunosuppressive therapy without a benefit on her symptoms and later diagnosed as LOPD.

Abstract Image

Abstract Image

Abstract Image

一种具有挑战性的肌病病因学:迟发性庞贝病。
庞贝病是一种罕见的代谢性疾病,其特征是缺乏酸性葡萄糖苷酶。结果,糖原在包括运动神经元、骨骼、心脏和平滑肌在内的几个组织中积累。疾病的病程根据突变的类型而变化,临床表型可受酶水平的影响。迟发性庞贝病(LOPD)对临床医生来说是一个具有挑战性的问题,因为它的表型较轻,症状发作较晚,疾病进展较慢。诊断LOPD最重要的区别之一是炎性肌炎,因为这两种疾病有一些共同的临床和实验室特征。在此,我们报告了一位30岁的女性患者,最初诊断为多发性肌炎,并接受免疫抑制治疗,但症状没有改善,后来被诊断为LOPD。
本文章由计算机程序翻译,如有差异,请以英文原文为准。
求助全文
约1分钟内获得全文 求助全文
来源期刊
自引率
0.00%
发文量
56
审稿时长
7 weeks
×
引用
GB/T 7714-2015
复制
MLA
复制
APA
复制
导出至
BibTeX EndNote RefMan NoteFirst NoteExpress
×
提示
您的信息不完整,为了账户安全,请先补充。
现在去补充
×
提示
您因"违规操作"
具体请查看互助需知
我知道了
×
提示
确定
请完成安全验证×
copy
已复制链接
快去分享给好友吧!
我知道了
右上角分享
点击右上角分享
0
联系我们:info@booksci.cn Book学术提供免费学术资源搜索服务,方便国内外学者检索中英文文献。致力于提供最便捷和优质的服务体验。 Copyright © 2023 布克学术 All rights reserved.
京ICP备2023020795号-1
ghs 京公网安备 11010802042870号
Book学术文献互助
Book学术文献互助群
群 号:604180095
Book学术官方微信