Uremic Pericarditis with Cardiac Tamponade in a Patient on Hemodialysis.

IF 0.5 Q4 CARDIAC & CARDIOVASCULAR SYSTEMS
Case Reports in Cardiology Pub Date : 2023-11-06 eCollection Date: 2023-01-01 DOI:10.1155/2023/5099005
Nismat Javed, Marcos Molina, Rabih Nasr, Gilda Diaz-Fuentes
{"title":"Uremic Pericarditis with Cardiac Tamponade in a Patient on Hemodialysis.","authors":"Nismat Javed, Marcos Molina, Rabih Nasr, Gilda Diaz-Fuentes","doi":"10.1155/2023/5099005","DOIUrl":null,"url":null,"abstract":"<p><p>Uremic pericardial effusion and pericarditis in end-stage kidney disease patients remain one of the causes responsible for high rates of morbidity and occasional mortality. While clinical presentation could be variable, clinicians should have a high index of suspicion for uremic pericarditis especially in patients who miss their dialysis sessions. We present a 77-year-old man with end-stage renal disease on dialysis diagnosed with pericarditis and large pericardial effusion complicated by cardiac tamponade and shock. He underwent urgent pericardiocentesis with clinical improvement. The course of the disease can be complicated by shock with multiorgan failure, particularly the liver. The presentation is relatively acute requiring a high level of suspicion, urgent diagnosis, and management to reduce mortality. As the geriatric population increases with associated comorbid conditions, it would be expected that patients undergoing dialysis would increase. Given the uncommon nature of the disease and how these patients have been managed by multiple specialties and care providers, it is important to consider dialysis-related complications in all patients with end-stage renal disease presenting with dyspnea.</p>","PeriodicalId":51760,"journal":{"name":"Case Reports in Cardiology","volume":"2023 ","pages":"5099005"},"PeriodicalIF":0.5000,"publicationDate":"2023-11-06","publicationTypes":"Journal Article","fieldsOfStudy":null,"isOpenAccess":false,"openAccessPdf":"https://www.ncbi.nlm.nih.gov/pmc/articles/PMC10643030/pdf/","citationCount":"0","resultStr":null,"platform":"Semanticscholar","paperid":null,"PeriodicalName":"Case Reports in Cardiology","FirstCategoryId":"1085","ListUrlMain":"https://doi.org/10.1155/2023/5099005","RegionNum":0,"RegionCategory":null,"ArticlePicture":[],"TitleCN":null,"AbstractTextCN":null,"PMCID":null,"EPubDate":"2023/1/1 0:00:00","PubModel":"eCollection","JCR":"Q4","JCRName":"CARDIAC & CARDIOVASCULAR SYSTEMS","Score":null,"Total":0}
引用次数: 0

Abstract

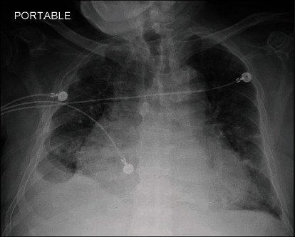
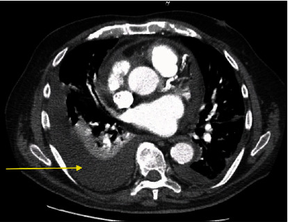
Uremic pericardial effusion and pericarditis in end-stage kidney disease patients remain one of the causes responsible for high rates of morbidity and occasional mortality. While clinical presentation could be variable, clinicians should have a high index of suspicion for uremic pericarditis especially in patients who miss their dialysis sessions. We present a 77-year-old man with end-stage renal disease on dialysis diagnosed with pericarditis and large pericardial effusion complicated by cardiac tamponade and shock. He underwent urgent pericardiocentesis with clinical improvement. The course of the disease can be complicated by shock with multiorgan failure, particularly the liver. The presentation is relatively acute requiring a high level of suspicion, urgent diagnosis, and management to reduce mortality. As the geriatric population increases with associated comorbid conditions, it would be expected that patients undergoing dialysis would increase. Given the uncommon nature of the disease and how these patients have been managed by multiple specialties and care providers, it is important to consider dialysis-related complications in all patients with end-stage renal disease presenting with dyspnea.

Abstract Image

Abstract Image

血液透析患者尿毒症心包炎合并心包填塞1例。
终末期肾病患者的尿毒症性心包积液和心包炎仍然是造成高发病率和偶尔死亡率的原因之一。虽然临床表现可能是可变的,但临床医生应该高度怀疑尿毒症心包炎,特别是那些错过透析疗程的患者。我们报告一个77岁的终末期肾脏疾病的透析诊断为心包炎和大量心包积液并发心脏填塞和休克。他接受了紧急心包穿刺术,临床情况有所改善。该疾病的病程可因休克和多器官衰竭而复杂化,尤其是肝脏。表现是相对急性的,需要高度的怀疑,紧急诊断和管理,以减少死亡率。随着老年人口的增加和相关的合并症,预计接受透析的患者将会增加。鉴于这种疾病的不寻常性质以及这些患者是如何由多个专科和护理提供者管理的,考虑所有以呼吸困难为表现的终末期肾病患者的透析相关并发症是很重要的。
本文章由计算机程序翻译,如有差异,请以英文原文为准。
求助全文
约1分钟内获得全文 求助全文
来源期刊
Case Reports in Cardiology
Case Reports in Cardiology CARDIAC & CARDIOVASCULAR SYSTEMS-
自引率
0.00%
发文量
63
审稿时长
13 weeks
期刊介绍: Case Reports in Cardiology is a peer-reviewed, Open Access journal that publishes case reports and case series related to hypertension, arrhythmia, congestive heart failure, valvular heart disease, vascular disease, congenital heart disease and cardiomyopathy.
×
引用
GB/T 7714-2015
复制
MLA
复制
APA
复制
导出至
BibTeX EndNote RefMan NoteFirst NoteExpress
×
提示
您的信息不完整,为了账户安全,请先补充。
现在去补充
×
提示
您因"违规操作"
具体请查看互助需知
我知道了
×
提示
确定
请完成安全验证×
copy
已复制链接
快去分享给好友吧!
我知道了
右上角分享
点击右上角分享
0
联系我们:info@booksci.cn Book学术提供免费学术资源搜索服务,方便国内外学者检索中英文文献。致力于提供最便捷和优质的服务体验。 Copyright © 2023 布克学术 All rights reserved.
京ICP备2023020795号-1
ghs 京公网安备 11010802042870号
Book学术文献互助
Book学术文献互助群
群 号:604180095
Book学术官方微信