SOFT syndrome with kohlschutter-Tonz syndrome.

IF 1.2 4区 医学 Q3 MEDICINE, GENERAL & INTERNAL
S A Mondkar, V Khadilkar, P Kasegaonkar, A Khadilkar
{"title":"SOFT syndrome with kohlschutter-Tonz syndrome.","authors":"S A Mondkar, V Khadilkar, P Kasegaonkar, A Khadilkar","doi":"10.4103/jpgm.jpgm_1001_22","DOIUrl":null,"url":null,"abstract":"<p><p>We report a 2.2 year-old-boy, born of consanguineous marriage, referred for short stature, with history of neonatal death and skeletal deformities in his older sibling. Rhizo-mesomelic dwarfism was detected antenatally. Within 24 hours of birth, he developed multiple seizures. Examination revealed severe short stature, dolichocephaly, broad forehead, deep set eyes, low set ears, bulbous nose, small, irregular teeth, pointed chin, and triangular facies. He had rhizomelic shortening, stubby fingers, pes planus, and scanty hair. Neurological evaluation revealed ataxia, hypotonia, and global developmental delay. Skeletal survey radiograph revealed shallow acetabuli, short femurs and humerus, short, broad metacarpals and short cone-shaped phalanges with cupping of phalangeal bases. Clinical exome analysis revealed homozygous mutations involving the POC1A gene and the SLC13A5 gene responsible for SOFT syndrome and Kohlschutter-Tonz syndrome respectively, which were inherited from the parents. Both these syndromes are extremely rare, and their co-occurrence is being reported for the first time.</p>","PeriodicalId":16860,"journal":{"name":"Journal of Postgraduate Medicine","volume":" ","pages":"56-59"},"PeriodicalIF":1.2000,"publicationDate":"2024-01-01","publicationTypes":"Journal Article","fieldsOfStudy":null,"isOpenAccess":false,"openAccessPdf":"https://www.ncbi.nlm.nih.gov/pmc/articles/PMC10947733/pdf/","citationCount":"0","resultStr":null,"platform":"Semanticscholar","paperid":null,"PeriodicalName":"Journal of Postgraduate Medicine","FirstCategoryId":"3","ListUrlMain":"https://doi.org/10.4103/jpgm.jpgm_1001_22","RegionNum":4,"RegionCategory":"医学","ArticlePicture":[],"TitleCN":null,"AbstractTextCN":null,"PMCID":null,"EPubDate":"","PubModel":"","JCR":"Q3","JCRName":"MEDICINE, GENERAL & INTERNAL","Score":null,"Total":0}
引用次数: 0

Abstract

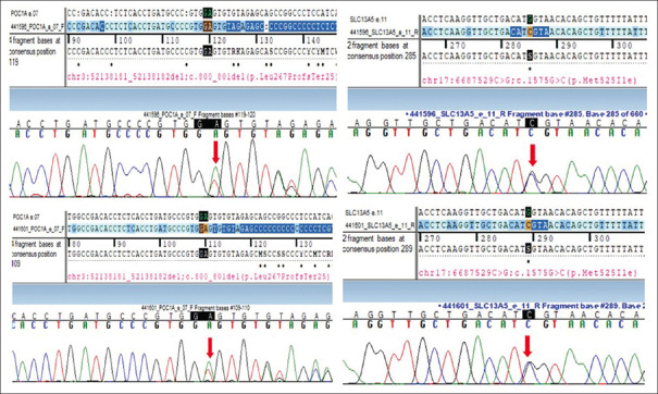
We report a 2.2 year-old-boy, born of consanguineous marriage, referred for short stature, with history of neonatal death and skeletal deformities in his older sibling. Rhizo-mesomelic dwarfism was detected antenatally. Within 24 hours of birth, he developed multiple seizures. Examination revealed severe short stature, dolichocephaly, broad forehead, deep set eyes, low set ears, bulbous nose, small, irregular teeth, pointed chin, and triangular facies. He had rhizomelic shortening, stubby fingers, pes planus, and scanty hair. Neurological evaluation revealed ataxia, hypotonia, and global developmental delay. Skeletal survey radiograph revealed shallow acetabuli, short femurs and humerus, short, broad metacarpals and short cone-shaped phalanges with cupping of phalangeal bases. Clinical exome analysis revealed homozygous mutations involving the POC1A gene and the SLC13A5 gene responsible for SOFT syndrome and Kohlschutter-Tonz syndrome respectively, which were inherited from the parents. Both these syndromes are extremely rare, and their co-occurrence is being reported for the first time.

Abstract Image

Abstract Image

Abstract Image

SOFT综合征与Kohlschutter-Tonz综合征。
我们报告了一名因身材矮小而转诊的 2.2 岁男孩,他是近亲结婚所生,有新生儿死亡史,其哥哥姐姐也有骨骼畸形。他在出生前被发现患有根肿性侏儒症。出生后 24 小时内,他出现了多次癫痫发作。检查发现他身材严重矮小、双顶畸形、前额宽阔、眼睛深陷、耳朵低垂、鼻子隆起、牙齿小而不齐、下巴尖、面部呈三角形。他有根状茎短小、手指粗短、趾跖和稀疏的头发。神经系统评估显示,他患有共济失调、肌张力低下和全面发育迟缓。骨骼检查X光片显示,髋臼较浅,股骨和肱骨较短,掌骨短而宽,趾骨呈短锥形,趾骨基部凹陷。临床外显子组分析显示,POC1A 基因和 SLC13A5 基因的同源突变分别导致了 SOFT 综合征和 Kohlschutter-Tonz 综合征,而这两种疾病都是从父母那里遗传而来。这两种综合征都极为罕见,它们的同时出现还是首次报道。
本文章由计算机程序翻译,如有差异,请以英文原文为准。
求助全文
约1分钟内获得全文 求助全文
来源期刊
Journal of Postgraduate Medicine
Journal of Postgraduate Medicine 医学-医学:内科
CiteScore
2.00
自引率
0.00%
发文量
76
审稿时长
40 weeks
期刊介绍: The journal will cover technical, clinical and bioengineering studies related to human well being including ethical and social issues. The journal gives preference to clinically oriented studies over experimental and animal studies. The Journal would publish peer-reviewed original research papers, case reports, systematic reviews, meta-analysis, and debates.
×
引用
GB/T 7714-2015
复制
MLA
复制
APA
复制
导出至
BibTeX EndNote RefMan NoteFirst NoteExpress
×
提示
您的信息不完整,为了账户安全,请先补充。
现在去补充
×
提示
您因"违规操作"
具体请查看互助需知
我知道了
×
提示
确定
请完成安全验证×
copy
已复制链接
快去分享给好友吧!
我知道了
右上角分享
点击右上角分享
0
联系我们:info@booksci.cn Book学术提供免费学术资源搜索服务,方便国内外学者检索中英文文献。致力于提供最便捷和优质的服务体验。 Copyright © 2023 布克学术 All rights reserved.
京ICP备2023020795号-1
ghs 京公网安备 11010802042870号
Book学术文献互助
Book学术文献互助群
群 号:604180095
Book学术官方微信