Lipid droplets and peroxisomes are co-regulated to drive lifespan extension in response to mono-unsaturated fatty acids

IF 19.1 1区 生物学 Q1 CELL BIOLOGY
Katharina Papsdorf, Jason W. Miklas, Amir Hosseini, Matias Cabruja, Christopher S. Morrow, Marzia Savini, Yong Yu, Carlos G. Silva-García, Nicole R. Haseley, Luke Meraz Murphy, Pallas Yao, Elisa de Launoit, Scott J. Dixon, Michael P. Snyder, Meng C. Wang, William B. Mair, Anne Brunet
{"title":"Lipid droplets and peroxisomes are co-regulated to drive lifespan extension in response to mono-unsaturated fatty acids","authors":"Katharina Papsdorf, Jason W. Miklas, Amir Hosseini, Matias Cabruja, Christopher S. Morrow, Marzia Savini, Yong Yu, Carlos G. Silva-García, Nicole R. Haseley, Luke Meraz Murphy, Pallas Yao, Elisa de Launoit, Scott J. Dixon, Michael P. Snyder, Meng C. Wang, William B. Mair, Anne Brunet","doi":"10.1038/s41556-023-01136-6","DOIUrl":null,"url":null,"abstract":"Dietary mono-unsaturated fatty acids (MUFAs) are linked to longevity in several species. But the mechanisms by which MUFAs extend lifespan remain unclear. Here we show that an organelle network involving lipid droplets and peroxisomes is critical for MUFA-induced longevity in Caenorhabditis elegans. MUFAs upregulate the number of lipid droplets in fat storage tissues. Increased lipid droplet number is necessary for MUFA-induced longevity and predicts remaining lifespan. Lipidomics datasets reveal that MUFAs also modify the ratio of membrane lipids and ether lipids—a signature associated with decreased lipid oxidation. In agreement with this, MUFAs decrease lipid oxidation in middle-aged individuals. Intriguingly, MUFAs upregulate not only lipid droplet number but also peroxisome number. A targeted screen identifies genes involved in the co-regulation of lipid droplets and peroxisomes, and reveals that induction of both organelles is optimal for longevity. Our study uncovers an organelle network involved in lipid homeostasis and lifespan regulation, opening new avenues for interventions to delay aging. Papsdorf et al. show that mono-unsaturated fatty acids extend lifespan of C. elegans through induction of peroxisomes and lipid droplets in fat tissues and of a lipid signature predictive of decreased lipid oxidation.","PeriodicalId":18977,"journal":{"name":"Nature Cell Biology","volume":"25 5","pages":"672-684"},"PeriodicalIF":19.1000,"publicationDate":"2023-05-01","publicationTypes":"Journal Article","fieldsOfStudy":null,"isOpenAccess":false,"openAccessPdf":"https://www.ncbi.nlm.nih.gov/pmc/articles/PMC10185472/pdf/","citationCount":"13","resultStr":null,"platform":"Semanticscholar","paperid":null,"PeriodicalName":"Nature Cell Biology","FirstCategoryId":"99","ListUrlMain":"https://www.nature.com/articles/s41556-023-01136-6","RegionNum":1,"RegionCategory":"生物学","ArticlePicture":[],"TitleCN":null,"AbstractTextCN":null,"PMCID":null,"EPubDate":"","PubModel":"","JCR":"Q1","JCRName":"CELL BIOLOGY","Score":null,"Total":0}
引用次数: 13

Abstract

Dietary mono-unsaturated fatty acids (MUFAs) are linked to longevity in several species. But the mechanisms by which MUFAs extend lifespan remain unclear. Here we show that an organelle network involving lipid droplets and peroxisomes is critical for MUFA-induced longevity in Caenorhabditis elegans. MUFAs upregulate the number of lipid droplets in fat storage tissues. Increased lipid droplet number is necessary for MUFA-induced longevity and predicts remaining lifespan. Lipidomics datasets reveal that MUFAs also modify the ratio of membrane lipids and ether lipids—a signature associated with decreased lipid oxidation. In agreement with this, MUFAs decrease lipid oxidation in middle-aged individuals. Intriguingly, MUFAs upregulate not only lipid droplet number but also peroxisome number. A targeted screen identifies genes involved in the co-regulation of lipid droplets and peroxisomes, and reveals that induction of both organelles is optimal for longevity. Our study uncovers an organelle network involved in lipid homeostasis and lifespan regulation, opening new avenues for interventions to delay aging. Papsdorf et al. show that mono-unsaturated fatty acids extend lifespan of C. elegans through induction of peroxisomes and lipid droplets in fat tissues and of a lipid signature predictive of decreased lipid oxidation.

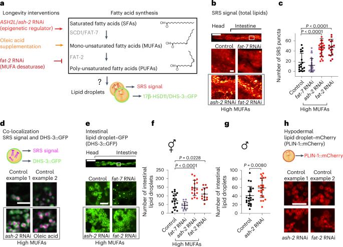
Abstract Image

脂滴和过氧物酶体共同调控单一不饱和脂肪酸,推动寿命延长
膳食中的单不饱和脂肪酸(MUFA)与多个物种的长寿有关。但 MUFA 延长寿命的机制仍不清楚。在这里,我们发现一个涉及脂滴和过氧物酶体的细胞器网络对 MUFA 诱导的秀丽隐杆线虫长寿至关重要。MUFA 会上调脂肪储存组织中脂滴的数量。脂滴数量的增加是MUFA诱导长寿的必要条件,并可预测剩余寿命。脂质组学数据集显示,MUFA 还能改变膜脂和醚脂的比例--这与脂质氧化减少有关。与此相一致的是,MUFAs 会降低中年人的脂质氧化。有趣的是,MUFAs 不仅能上调脂滴数量,还能上调过氧物酶体数量。一项定向筛选发现了参与脂滴和过氧物酶体共同调控的基因,并揭示了诱导这两种细胞器是长寿的最佳选择。我们的研究发现了一个参与脂质平衡和寿命调控的细胞器网络,为延缓衰老的干预开辟了新途径。Papsdorf 等人的研究表明,单不饱和脂肪酸可通过诱导脂肪组织中的过氧物酶体和脂滴以及可预测脂质氧化减少的脂质特征来延长秀丽隐杆线虫的寿命。
本文章由计算机程序翻译,如有差异,请以英文原文为准。
求助全文
约1分钟内获得全文 求助全文
来源期刊
Nature Cell Biology
Nature Cell Biology 生物-细胞生物学
CiteScore
28.40
自引率
0.90%
发文量
219
审稿时长
3 months
期刊介绍: Nature Cell Biology, a prestigious journal, upholds a commitment to publishing papers of the highest quality across all areas of cell biology, with a particular focus on elucidating mechanisms underlying fundamental cell biological processes. The journal's broad scope encompasses various areas of interest, including but not limited to: -Autophagy -Cancer biology -Cell adhesion and migration -Cell cycle and growth -Cell death -Chromatin and epigenetics -Cytoskeletal dynamics -Developmental biology -DNA replication and repair -Mechanisms of human disease -Mechanobiology -Membrane traffic and dynamics -Metabolism -Nuclear organization and dynamics -Organelle biology -Proteolysis and quality control -RNA biology -Signal transduction -Stem cell biology
×
引用
GB/T 7714-2015
复制
MLA
复制
APA
复制
导出至
BibTeX EndNote RefMan NoteFirst NoteExpress
×
提示
您的信息不完整,为了账户安全,请先补充。
现在去补充
×
提示
您因"违规操作"
具体请查看互助需知
我知道了
×
提示
确定
请完成安全验证×
copy
已复制链接
快去分享给好友吧!
我知道了
右上角分享
点击右上角分享
0
联系我们:info@booksci.cn Book学术提供免费学术资源搜索服务,方便国内外学者检索中英文文献。致力于提供最便捷和优质的服务体验。 Copyright © 2023 布克学术 All rights reserved.
京ICP备2023020795号-1
ghs 京公网安备 11010802042870号
Book学术文献互助
Book学术文献互助群
群 号:604180095
Book学术官方微信