Study of placental histopathology in COVID-19 mothers at a dedicated COVID-19 hospital in India.

IF 1.2 4区 医学 Q3 MEDICINE, GENERAL & INTERNAL
S K Lad, K D Jashnani, M Pophalkar, B Jnanananda, N Mahajan
{"title":"Study of placental histopathology in COVID-19 mothers at a dedicated COVID-19 hospital in India.","authors":"S K Lad, K D Jashnani, M Pophalkar, B Jnanananda, N Mahajan","doi":"10.4103/jpgm.jpgm_60_23","DOIUrl":null,"url":null,"abstract":"<p><strong>Introduction: </strong>Maternal infections can affect the placenta, which acts as a fetomaternal barrier. This study aimed to determine the spectrum of morphologic alterations in the placentas of pregnancies complicated by SARS-CoV-2 infection and the impact on fetal or neonatal outcomes.</p><p><strong>Materials and methods: </strong>This is a prospective case-control study. One hundred SARS-CoV-2 positive pregnant women and an equal number of SARS CoV-2 negative pregnant women in their third trimester who delivered at our tertiary care center between December 2020 and November 2021 were enrolled in the study. This study was conducted at the end of the first wave and during the second COVID-19 wave. Histopathological examination of the placentas was done using Amsterdam consensus criteria. We observed for evidence of maternal vascular malperfusion [MVM], fetal vascular malperfusion, and inflammation in the placenta.</p><p><strong>Results: </strong>The clinical findings were compared between the cases and controls. Evidence of MVM was seen in comparable numbers between the cases and controls, but as it involved less than 30% of the placental disc, it was considered an insignificant finding. Deciduitis was seen in equal proportions in both groups. The comparison between the asymptomatic and symptomatic groups failed to show any difference in placental pathology between both groups. There was no adverse fetal outcome seen in the pregnancies complicated by SARS-CoV-2 infection.</p><p><strong>Conclusion: </strong>Placental injury at the microscopic level was observed but was neither significant nor specific to the SARS-CoV-2 infection. SARS CoV-2 infection did not influence the placental pathology. Also, no adverse neonatal outcomes were observed.</p>","PeriodicalId":16860,"journal":{"name":"Journal of Postgraduate Medicine","volume":" ","pages":"15-22"},"PeriodicalIF":1.2000,"publicationDate":"2024-01-01","publicationTypes":"Journal Article","fieldsOfStudy":null,"isOpenAccess":false,"openAccessPdf":"https://www.ncbi.nlm.nih.gov/pmc/articles/PMC10947734/pdf/","citationCount":"0","resultStr":null,"platform":"Semanticscholar","paperid":null,"PeriodicalName":"Journal of Postgraduate Medicine","FirstCategoryId":"3","ListUrlMain":"https://doi.org/10.4103/jpgm.jpgm_60_23","RegionNum":4,"RegionCategory":"医学","ArticlePicture":[],"TitleCN":null,"AbstractTextCN":null,"PMCID":null,"EPubDate":"","PubModel":"","JCR":"Q3","JCRName":"MEDICINE, GENERAL & INTERNAL","Score":null,"Total":0}
引用次数: 0

Abstract

Introduction: Maternal infections can affect the placenta, which acts as a fetomaternal barrier. This study aimed to determine the spectrum of morphologic alterations in the placentas of pregnancies complicated by SARS-CoV-2 infection and the impact on fetal or neonatal outcomes.

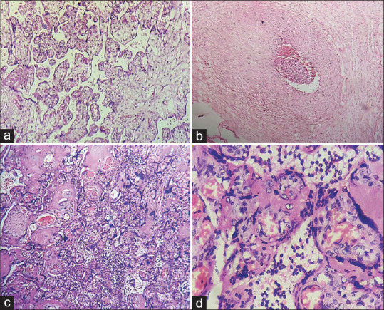
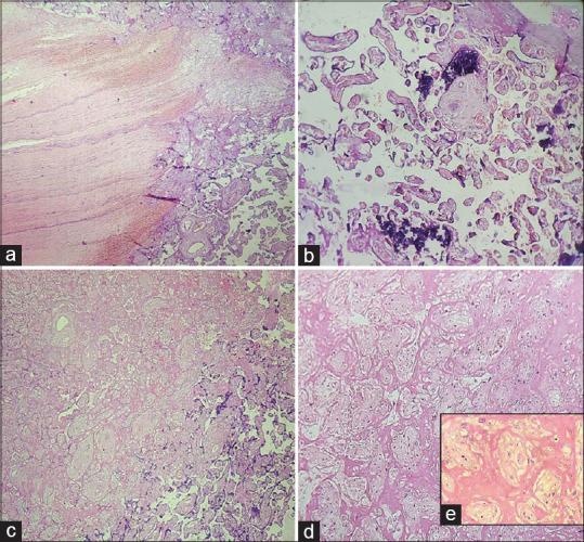
Materials and methods: This is a prospective case-control study. One hundred SARS-CoV-2 positive pregnant women and an equal number of SARS CoV-2 negative pregnant women in their third trimester who delivered at our tertiary care center between December 2020 and November 2021 were enrolled in the study. This study was conducted at the end of the first wave and during the second COVID-19 wave. Histopathological examination of the placentas was done using Amsterdam consensus criteria. We observed for evidence of maternal vascular malperfusion [MVM], fetal vascular malperfusion, and inflammation in the placenta.

Results: The clinical findings were compared between the cases and controls. Evidence of MVM was seen in comparable numbers between the cases and controls, but as it involved less than 30% of the placental disc, it was considered an insignificant finding. Deciduitis was seen in equal proportions in both groups. The comparison between the asymptomatic and symptomatic groups failed to show any difference in placental pathology between both groups. There was no adverse fetal outcome seen in the pregnancies complicated by SARS-CoV-2 infection.

Conclusion: Placental injury at the microscopic level was observed but was neither significant nor specific to the SARS-CoV-2 infection. SARS CoV-2 infection did not influence the placental pathology. Also, no adverse neonatal outcomes were observed.

Abstract Image

Abstract Image

Abstract Image

印度一家 COVID-19 专科医院对 COVID-19 母亲胎盘组织病理学的研究。
简介胎盘是胎儿和母体的屏障,母体感染可影响胎盘。本研究旨在确定 SARS-CoV-2 感染并发妊娠胎盘形态学改变的范围及其对胎儿或新生儿结局的影响:这是一项前瞻性病例对照研究。100 名 SARS-CoV-2 阳性孕妇和同等数量的 SARS-CoV-2 阴性孕妇于 2020 年 12 月至 2021 年 11 月期间在我们的三级医疗中心分娩。这项研究是在 COVID-19 第一波结束和第二波期间进行的。采用阿姆斯特丹共识标准对胎盘进行组织病理学检查。我们观察了母体血管灌注不良[MVM]、胎儿血管灌注不良和胎盘炎症的证据:结果:对病例和对照组的临床结果进行了比较。在病例和对照组中,MVM 的数量相当,但由于它只涉及不到 30% 的胎盘,因此被认为是不重要的发现。蜕膜炎在两组中的比例相同。无症状组和有症状组的比较未能显示两组在胎盘病理学方面有任何差异。SARS-CoV-2感染并发妊娠的胎儿没有出现不良后果:结论:在显微镜下观察到胎盘损伤,但对 SARS-CoV-2 感染既不明显也无特异性。SARS CoV-2 感染对胎盘病理没有影响。此外,也没有观察到对新生儿不利的结果。
本文章由计算机程序翻译,如有差异,请以英文原文为准。
求助全文
约1分钟内获得全文 求助全文
来源期刊
Journal of Postgraduate Medicine
Journal of Postgraduate Medicine 医学-医学:内科
CiteScore
2.00
自引率
0.00%
发文量
76
审稿时长
40 weeks
期刊介绍: The journal will cover technical, clinical and bioengineering studies related to human well being including ethical and social issues. The journal gives preference to clinically oriented studies over experimental and animal studies. The Journal would publish peer-reviewed original research papers, case reports, systematic reviews, meta-analysis, and debates.
×
引用
GB/T 7714-2015
复制
MLA
复制
APA
复制
导出至
BibTeX EndNote RefMan NoteFirst NoteExpress
×
提示
您的信息不完整,为了账户安全,请先补充。
现在去补充
×
提示
您因"违规操作"
具体请查看互助需知
我知道了
×
提示
确定
请完成安全验证×
copy
已复制链接
快去分享给好友吧!
我知道了
右上角分享
点击右上角分享
0
联系我们:info@booksci.cn Book学术提供免费学术资源搜索服务,方便国内外学者检索中英文文献。致力于提供最便捷和优质的服务体验。 Copyright © 2023 布克学术 All rights reserved.
京ICP备2023020795号-1
ghs 京公网安备 11010802042870号
Book学术文献互助
Book学术文献互助群
群 号:604180095
Book学术官方微信