PD-L1 Assessment in Needle Core Biopsies of Non-Small Cell Lung Cancer: Interpathologist Agreement and Potential Associated Histopathological Features.

IF 2.1 Q4 PATHOLOGY
Ezgi Hacihasanoglu, Buket Bambul Sigirci, Gamze Usul, Taha Cumhan Savli
{"title":"PD-L1 Assessment in Needle Core Biopsies of Non-Small Cell Lung Cancer: Interpathologist Agreement and Potential Associated Histopathological Features.","authors":"Ezgi Hacihasanoglu, Buket Bambul Sigirci, Gamze Usul, Taha Cumhan Savli","doi":"10.5146/tjpath.2023.01609","DOIUrl":null,"url":null,"abstract":"<p><strong>Objective: </strong>Immune checkpoint inhibitors are used in the treatment of non-small cell lung cancer (NSCLC). Programmed cell death-ligand 1 (PD-L1) immunohistochemistry (IHC) assessed by pathologists is subject to interobserver variability. In advanced/metastatic disease and inoperable patients, PD-L1 assessment relies on biopsy specimens, commonly needle core biopsies (NCB). We aimed to determine the interobserver agreement for PD-L1 tumor proportion score (TPS) in NSCLC NCBs and identify histopathological features that may be related to interobserver variability.</p><p><strong>Material and methods: </strong>Sixty NSCLC NCBs with PD-L1 IHC were evaluated independently by four pathologists from different institutions. PD-L1 TPS was evaluated in three categories: no/low expression ( < 1%), intermediate expression (1%49%), and high expression (≥50%). Histological tumor type, necrosis, tumor-infiltrating lymphocytes, tumor length/percentage in the biopsy, and crush/squeeze artifact was evaluated.</p><p><strong>Results: </strong>The statistical analysis of the three PD-L1 TPS categories demonstrated moderate agreement (Fleiss Kappa 0.477) in the no/low category, fair agreement (Fleiss Kappa 0.390) in the intermediate category, and almost perfect agreement (Fleiss Kappa 0.952) in the high category. A significant correlation (p=0.003) was found between the crush/squeeze artifact in NCB and rate of discordant TPS categories. There was no significant correlation between pathologists' agreement in the TPS categories and histological tumor type, tumor length, tumor ratio, necrosis, and tumor-infiltrating lymphocytes.</p><p><strong>Conclusion: </strong>Our results demonstrated moderate agreement among pathologists for the PD-L1 TPS 1% cut-off in NSCLC NCB, which is lower than that reported in resection materials. The presence of crush/squeeze artifact in NCBs is significantly related to the rate of discordant TPS categories, suggesting that PD-L1 assessment of pulmonary NCBs requires an awareness of this artifact.</p>","PeriodicalId":45415,"journal":{"name":"Turkish Journal of Pathology","volume":" ","pages":"37-44"},"PeriodicalIF":2.1000,"publicationDate":"2024-01-01","publicationTypes":"Journal Article","fieldsOfStudy":null,"isOpenAccess":false,"openAccessPdf":"https://www.ncbi.nlm.nih.gov/pmc/articles/PMC10823782/pdf/","citationCount":"0","resultStr":null,"platform":"Semanticscholar","paperid":null,"PeriodicalName":"Turkish Journal of Pathology","FirstCategoryId":"1085","ListUrlMain":"https://doi.org/10.5146/tjpath.2023.01609","RegionNum":0,"RegionCategory":null,"ArticlePicture":[],"TitleCN":null,"AbstractTextCN":null,"PMCID":null,"EPubDate":"","PubModel":"","JCR":"Q4","JCRName":"PATHOLOGY","Score":null,"Total":0}
引用次数: 0

Abstract

Objective: Immune checkpoint inhibitors are used in the treatment of non-small cell lung cancer (NSCLC). Programmed cell death-ligand 1 (PD-L1) immunohistochemistry (IHC) assessed by pathologists is subject to interobserver variability. In advanced/metastatic disease and inoperable patients, PD-L1 assessment relies on biopsy specimens, commonly needle core biopsies (NCB). We aimed to determine the interobserver agreement for PD-L1 tumor proportion score (TPS) in NSCLC NCBs and identify histopathological features that may be related to interobserver variability.

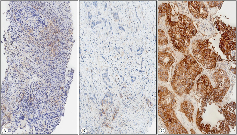
Material and methods: Sixty NSCLC NCBs with PD-L1 IHC were evaluated independently by four pathologists from different institutions. PD-L1 TPS was evaluated in three categories: no/low expression ( < 1%), intermediate expression (1%49%), and high expression (≥50%). Histological tumor type, necrosis, tumor-infiltrating lymphocytes, tumor length/percentage in the biopsy, and crush/squeeze artifact was evaluated.

Results: The statistical analysis of the three PD-L1 TPS categories demonstrated moderate agreement (Fleiss Kappa 0.477) in the no/low category, fair agreement (Fleiss Kappa 0.390) in the intermediate category, and almost perfect agreement (Fleiss Kappa 0.952) in the high category. A significant correlation (p=0.003) was found between the crush/squeeze artifact in NCB and rate of discordant TPS categories. There was no significant correlation between pathologists' agreement in the TPS categories and histological tumor type, tumor length, tumor ratio, necrosis, and tumor-infiltrating lymphocytes.

Conclusion: Our results demonstrated moderate agreement among pathologists for the PD-L1 TPS 1% cut-off in NSCLC NCB, which is lower than that reported in resection materials. The presence of crush/squeeze artifact in NCBs is significantly related to the rate of discordant TPS categories, suggesting that PD-L1 assessment of pulmonary NCBs requires an awareness of this artifact.

Abstract Image

Abstract Image

非小细胞肺癌针芯活检中的 PD-L1 评估:病理学家间的一致意见及潜在的相关组织病理学特征
目的:免疫检查点抑制剂用于治疗非小细胞肺癌(NSCLC):免疫检查点抑制剂被用于治疗非小细胞肺癌(NSCLC)。由病理学家评估的程序性细胞死亡配体 1(PD-L1)免疫组化(IHC)受观察者间差异的影响。在晚期/转移性疾病和不能手术的患者中,PD-L1 的评估依赖于活检标本,通常是针芯活检(NCB)。我们旨在确定NSCLC NCB中PD-L1肿瘤比例评分(TPS)的观察者间一致性,并确定可能与观察者间变异有关的组织病理学特征:来自不同机构的四位病理学家独立评估了60例进行了PD-L1 IHC检测的NSCLC NCB。PD-L1 TPS分为三类:无/低表达(<1%)、中表达(1%-49%)和高表达(≥50%)。对组织学肿瘤类型、坏死情况、肿瘤浸润淋巴细胞、肿瘤长度/活检百分比、挤压/挤压假象进行了评估:对三种 PD-L1 TPS 类别的统计分析显示,无/低度类别的一致性为中等(Fleiss Kappa 0.477),中度类别的一致性为一般(Fleiss Kappa 0.390),高度类别的一致性几乎为完美(Fleiss Kappa 0.952)。NCB中的挤压/挤压伪影与不一致的TPS分类率之间存在明显的相关性(p=0.003)。病理学家在 TPS 分类上的一致性与组织学肿瘤类型、肿瘤长度、肿瘤比例、坏死和肿瘤浸润淋巴细胞之间无明显相关性:我们的研究结果表明,病理学家对NSCLC NCB中PD-L1 TPS 1%临界值的一致程度为中等,低于切除材料中的一致程度。NCB中存在的挤压/挤压伪影与TPS分类不一致的比率有很大关系,这表明对肺部NCB进行PD-L1评估时需要注意这种伪影。
本文章由计算机程序翻译,如有差异,请以英文原文为准。
求助全文
约1分钟内获得全文 求助全文
来源期刊
CiteScore
1.90
自引率
10.00%
发文量
23
审稿时长
14 weeks
×
引用
GB/T 7714-2015
复制
MLA
复制
APA
复制
导出至
BibTeX EndNote RefMan NoteFirst NoteExpress
×
提示
您的信息不完整,为了账户安全,请先补充。
现在去补充
×
提示
您因"违规操作"
具体请查看互助需知
我知道了
×
提示
确定
请完成安全验证×
copy
已复制链接
快去分享给好友吧!
我知道了
右上角分享
点击右上角分享
0
联系我们:info@booksci.cn Book学术提供免费学术资源搜索服务,方便国内外学者检索中英文文献。致力于提供最便捷和优质的服务体验。 Copyright © 2023 布克学术 All rights reserved.
京ICP备2023020795号-1
ghs 京公网安备 11010802042870号
Book学术文献互助
Book学术文献互助群
群 号:604180095
Book学术官方微信