中风合并心房颤动患者早期抗凝与 1 个月后缺血性病变减少有关:ATTUNE 研究。

IF 4.9 1区 医学 Q1 CLINICAL NEUROLOGY
Angelos Sharobeam, Longting Lin, Christina Lam, Carlos Garcia-Esperon, Yash Gawarikar, Ronak Patel, Matthew Lee-Archer, Andrew Wong, Michael Roizman, Amanda Gilligan, Andrew Lee, Kee Meng Tan, Susan Day, Christopher Levi, Stephen M Davis, Mark Parsons, Bernard Yan
{"title":"中风合并心房颤动患者早期抗凝与 1 个月后缺血性病变减少有关:ATTUNE 研究。","authors":"Angelos Sharobeam, Longting Lin, Christina Lam, Carlos Garcia-Esperon, Yash Gawarikar, Ronak Patel, Matthew Lee-Archer, Andrew Wong, Michael Roizman, Amanda Gilligan, Andrew Lee, Kee Meng Tan, Susan Day, Christopher Levi, Stephen M Davis, Mark Parsons, Bernard Yan","doi":"10.1136/svn-2023-002357","DOIUrl":null,"url":null,"abstract":"<p><strong>Background: </strong>The optimal time to commence anticoagulation in patients with atrial fibrillation (AF) after ischaemic stroke or transient ischaemic attack (TIA) is unclear, with guidelines differing in recommendations. A limitation of previous studies is the focus on clinically overt stroke, rather than radiologically obvious diffusion-weighted imaging ischaemic lesions. We aimed to quantify silent ischaemic lesions and haemorrhages on MRI at 1 month in patients commenced on early (<4 days) vs late (≥4 days) anticoagulation. We hypothesised that there would be fewer ischaemic lesions and more haemorrhages in the early anticoagulant group at 1-month MRI.</p><p><strong>Methods: </strong>A prospective multicentre, observational cohort study was performed at 11 Australian stroke centres. Clinical and MRI data were collected at baseline and follow-up, with blinded imaging assessment performed by two authors. Timing of commencement of anticoagulation was at the discretion of the treating stroke physician.</p><p><strong>Results: </strong>We recruited 276 patients of whom 208 met the eligibility criteria. The average age was 74.2 years (SD±10.63), and 79 (38%) patients were female. Median National Institute of Health Stroke Scale score was 5 (IQR 1-12). Median baseline ischaemic lesion volume was 5 mL (IQR 2-17). There were a greater number of new ischaemic lesions on follow-up MRI in patients commenced on anticoagulation ≥4 days after index event (17% vs 8%, p=0.04), but no difference in haemorrhage rates (22% vs 32%, p=0.10). Baseline ischaemic lesion volume of ≤5 mL was less likely to have a new haemorrhage at 1 month (p=0.02). There was no difference in haemorrhage rates in patients with an initial ischaemic lesion volume of >5 mL, regardless of anticoagulation timing.</p><p><strong>Conclusion: </strong>Commencing anticoagulation <4 days after stroke or TIA is associated with fewer ischaemic lesions at 1 month in AF patients. There is no increased rate of haemorrhage with early anticoagulation. These results suggest that early anticoagulation after mild-to-moderate acute ischaemic stroke associated with AF might be safe, but randomised controlled studies are needed to inform clinical practice.</p>","PeriodicalId":22021,"journal":{"name":"Stroke and Vascular Neurology","volume":" ","pages":"30-37"},"PeriodicalIF":4.9000,"publicationDate":"2024-02-27","publicationTypes":"Journal Article","fieldsOfStudy":null,"isOpenAccess":false,"openAccessPdf":"https://www.ncbi.nlm.nih.gov/pmc/articles/PMC10956108/pdf/","citationCount":"0","resultStr":"{\"title\":\"Early anticoagulation in patients with stroke and atrial fibrillation is associated with fewer ischaemic lesions at 1 month: the ATTUNE study.\",\"authors\":\"Angelos Sharobeam, Longting Lin, Christina Lam, Carlos Garcia-Esperon, Yash Gawarikar, Ronak Patel, Matthew Lee-Archer, Andrew Wong, Michael Roizman, Amanda Gilligan, Andrew Lee, Kee Meng Tan, Susan Day, Christopher Levi, Stephen M Davis, Mark Parsons, Bernard Yan\",\"doi\":\"10.1136/svn-2023-002357\",\"DOIUrl\":null,\"url\":null,\"abstract\":\"<p><strong>Background: </strong>The optimal time to commence anticoagulation in patients with atrial fibrillation (AF) after ischaemic stroke or transient ischaemic attack (TIA) is unclear, with guidelines differing in recommendations. A limitation of previous studies is the focus on clinically overt stroke, rather than radiologically obvious diffusion-weighted imaging ischaemic lesions. We aimed to quantify silent ischaemic lesions and haemorrhages on MRI at 1 month in patients commenced on early (<4 days) vs late (≥4 days) anticoagulation. We hypothesised that there would be fewer ischaemic lesions and more haemorrhages in the early anticoagulant group at 1-month MRI.</p><p><strong>Methods: </strong>A prospective multicentre, observational cohort study was performed at 11 Australian stroke centres. Clinical and MRI data were collected at baseline and follow-up, with blinded imaging assessment performed by two authors. Timing of commencement of anticoagulation was at the discretion of the treating stroke physician.</p><p><strong>Results: </strong>We recruited 276 patients of whom 208 met the eligibility criteria. The average age was 74.2 years (SD±10.63), and 79 (38%) patients were female. Median National Institute of Health Stroke Scale score was 5 (IQR 1-12). Median baseline ischaemic lesion volume was 5 mL (IQR 2-17). There were a greater number of new ischaemic lesions on follow-up MRI in patients commenced on anticoagulation ≥4 days after index event (17% vs 8%, p=0.04), but no difference in haemorrhage rates (22% vs 32%, p=0.10). Baseline ischaemic lesion volume of ≤5 mL was less likely to have a new haemorrhage at 1 month (p=0.02). There was no difference in haemorrhage rates in patients with an initial ischaemic lesion volume of >5 mL, regardless of anticoagulation timing.</p><p><strong>Conclusion: </strong>Commencing anticoagulation <4 days after stroke or TIA is associated with fewer ischaemic lesions at 1 month in AF patients. There is no increased rate of haemorrhage with early anticoagulation. These results suggest that early anticoagulation after mild-to-moderate acute ischaemic stroke associated with AF might be safe, but randomised controlled studies are needed to inform clinical practice.</p>\",\"PeriodicalId\":22021,\"journal\":{\"name\":\"Stroke and Vascular Neurology\",\"volume\":\" \",\"pages\":\"30-37\"},\"PeriodicalIF\":4.9000,\"publicationDate\":\"2024-02-27\",\"publicationTypes\":\"Journal Article\",\"fieldsOfStudy\":null,\"isOpenAccess\":false,\"openAccessPdf\":\"https://www.ncbi.nlm.nih.gov/pmc/articles/PMC10956108/pdf/\",\"citationCount\":\"0\",\"resultStr\":null,\"platform\":\"Semanticscholar\",\"paperid\":null,\"PeriodicalName\":\"Stroke and Vascular Neurology\",\"FirstCategoryId\":\"3\",\"ListUrlMain\":\"https://doi.org/10.1136/svn-2023-002357\",\"RegionNum\":1,\"RegionCategory\":\"医学\",\"ArticlePicture\":[],\"TitleCN\":null,\"AbstractTextCN\":null,\"PMCID\":null,\"EPubDate\":\"\",\"PubModel\":\"\",\"JCR\":\"Q1\",\"JCRName\":\"CLINICAL NEUROLOGY\",\"Score\":null,\"Total\":0}","platform":"Semanticscholar","paperid":null,"PeriodicalName":"Stroke and Vascular Neurology","FirstCategoryId":"3","ListUrlMain":"https://doi.org/10.1136/svn-2023-002357","RegionNum":1,"RegionCategory":"医学","ArticlePicture":[],"TitleCN":null,"AbstractTextCN":null,"PMCID":null,"EPubDate":"","PubModel":"","JCR":"Q1","JCRName":"CLINICAL NEUROLOGY","Score":null,"Total":0}
引用次数: 0

摘要

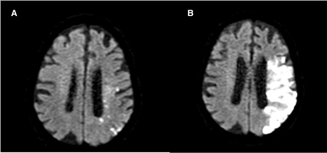
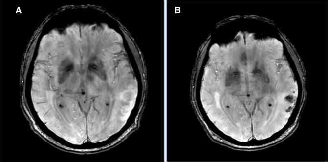
背景:缺血性卒中或短暂性脑缺血发作(TIA)后的心房颤动(AF)患者开始抗凝治疗的最佳时间尚不明确,相关指南的建议也不尽相同。以往研究的局限性在于只关注临床上明显的中风,而非放射学上明显的弥散加权成像缺血性病变。我们的目的是量化早期中风患者 1 个月后 MRI 上的沉默缺血性病变和出血:澳大利亚 11 家卒中中心开展了一项前瞻性多中心观察性队列研究。在基线和随访期间收集临床和 MRI 数据,由两名作者进行盲法成像评估。抗凝治疗的开始时间由中风主治医生决定:我们招募了 276 名患者,其中 208 人符合资格标准。平均年龄为 74.2 岁(SD±10.63),女性患者为 79 人(38%)。美国国立卫生研究院卒中量表评分中位数为 5(IQR 1-12)。基线缺血性病变体积中位数为 5 mL(IQR 2-17)。在指数事件发生后≥4天开始接受抗凝治疗的患者中,随访磁共振成像中出现新缺血性病灶的人数较多(17% vs 8%,P=0.04),但出血率没有差异(22% vs 32%,P=0.10)。基线缺血性病变体积≤5 mL的患者在1个月后发生新出血的可能性较小(P=0.02)。无论抗凝时间如何,初始缺血性病变体积大于 5 毫升的患者的出血率没有差异:结论:开始抗凝
本文章由计算机程序翻译,如有差异,请以英文原文为准。

Early anticoagulation in patients with stroke and atrial fibrillation is associated with fewer ischaemic lesions at 1 month: the ATTUNE study.

Early anticoagulation in patients with stroke and atrial fibrillation is associated with fewer ischaemic lesions at 1 month: the ATTUNE study.

Early anticoagulation in patients with stroke and atrial fibrillation is associated with fewer ischaemic lesions at 1 month: the ATTUNE study.

Early anticoagulation in patients with stroke and atrial fibrillation is associated with fewer ischaemic lesions at 1 month: the ATTUNE study.

Background: The optimal time to commence anticoagulation in patients with atrial fibrillation (AF) after ischaemic stroke or transient ischaemic attack (TIA) is unclear, with guidelines differing in recommendations. A limitation of previous studies is the focus on clinically overt stroke, rather than radiologically obvious diffusion-weighted imaging ischaemic lesions. We aimed to quantify silent ischaemic lesions and haemorrhages on MRI at 1 month in patients commenced on early (<4 days) vs late (≥4 days) anticoagulation. We hypothesised that there would be fewer ischaemic lesions and more haemorrhages in the early anticoagulant group at 1-month MRI.

Methods: A prospective multicentre, observational cohort study was performed at 11 Australian stroke centres. Clinical and MRI data were collected at baseline and follow-up, with blinded imaging assessment performed by two authors. Timing of commencement of anticoagulation was at the discretion of the treating stroke physician.

Results: We recruited 276 patients of whom 208 met the eligibility criteria. The average age was 74.2 years (SD±10.63), and 79 (38%) patients were female. Median National Institute of Health Stroke Scale score was 5 (IQR 1-12). Median baseline ischaemic lesion volume was 5 mL (IQR 2-17). There were a greater number of new ischaemic lesions on follow-up MRI in patients commenced on anticoagulation ≥4 days after index event (17% vs 8%, p=0.04), but no difference in haemorrhage rates (22% vs 32%, p=0.10). Baseline ischaemic lesion volume of ≤5 mL was less likely to have a new haemorrhage at 1 month (p=0.02). There was no difference in haemorrhage rates in patients with an initial ischaemic lesion volume of >5 mL, regardless of anticoagulation timing.

Conclusion: Commencing anticoagulation <4 days after stroke or TIA is associated with fewer ischaemic lesions at 1 month in AF patients. There is no increased rate of haemorrhage with early anticoagulation. These results suggest that early anticoagulation after mild-to-moderate acute ischaemic stroke associated with AF might be safe, but randomised controlled studies are needed to inform clinical practice.

求助全文
通过发布文献求助,成功后即可免费获取论文全文。 去求助
来源期刊
Stroke and Vascular Neurology
Stroke and Vascular Neurology Medicine-Cardiology and Cardiovascular Medicine
CiteScore
11.20
自引率
1.70%
发文量
63
审稿时长
15 weeks
期刊介绍: Stroke and Vascular Neurology (SVN) is the official journal of the Chinese Stroke Association. Supported by a team of renowned Editors, and fully Open Access, the journal encourages debate on controversial techniques, issues on health policy and social medicine.
×
引用
GB/T 7714-2015
复制
MLA
复制
APA
复制
导出至
BibTeX EndNote RefMan NoteFirst NoteExpress
×
提示
您的信息不完整,为了账户安全,请先补充。
现在去补充
×
提示
您因"违规操作"
具体请查看互助需知
我知道了
×
提示
确定
请完成安全验证×
copy
已复制链接
快去分享给好友吧!
我知道了
右上角分享
点击右上角分享
0
联系我们:info@booksci.cn Book学术提供免费学术资源搜索服务,方便国内外学者检索中英文文献。致力于提供最便捷和优质的服务体验。 Copyright © 2023 布克学术 All rights reserved.
京ICP备2023020795号-1
ghs 京公网安备 11010802042870号
Book学术文献互助
Book学术文献互助群
群 号:604180095
Book学术官方微信