一氧化氮应激期间牙龈卟啉单胞菌中 CdhR 的参与。

IF 2.9 3区 医学 Q1 DENTISTRY, ORAL SURGERY & MEDICINE
Molecular Oral Microbiology Pub Date : 2023-08-01 Epub Date: 2023-05-03 DOI:10.1111/omi.12414
Marie-Claire Boutrin, Arunima Mishra, Charles Wang, Yuetan Dou, Hansel M Fletcher
{"title":"一氧化氮应激期间牙龈卟啉单胞菌中 CdhR 的参与。","authors":"Marie-Claire Boutrin, Arunima Mishra, Charles Wang, Yuetan Dou, Hansel M Fletcher","doi":"10.1111/omi.12414","DOIUrl":null,"url":null,"abstract":"<p><p>Porphyromonas gingivalis, the causative agent of adult periodontitis, must gain resistance to frequent oxidative and nitric oxide (NO) stress attacks from immune cells in the periodontal pocket to survive. Previously, we found that, in the wild-type and under NO stress, the expression of PG1237 (CdhR), the gene encoding for a putative LuxR transcriptional regulator previously called community development and hemin regulator (CdhR), was upregulated 7.7-fold, and its adjacent gene PG1236 11.9-fold. Isogenic mutants P. gingivalis FLL457 (ΔCdhR::ermF), FLL458 (ΔPG1236::ermF), and FLL459 (ΔPG1236-CdhR::ermF) were made by allelic exchange mutagenesis to determine the involvement of these genes in P. gingivalis W83 NO stress resistance. The mutants were black pigmented and β hemolytic and their gingipain activities varied with strains. FLL457 and FLL459 mutants were more sensitive to NO compared to the wild type, and complementation restored NO sensitivity to that of the wild type. DNA microarray analysis of FLL457 showed that approximately 2% of the genes were upregulated and over 1% of the genes downregulated under NO stress conditions compared to the wild type. Transcriptome analysis of FLL458 and FLL459 under NO stress showed differences in their modulation patterns. Some similarities were also noticed between all mutants. The PG1236-CdhR gene cluster revealed increased expression under NO stress and may be part of the same transcriptional unit. Recombinant CdhR showed binding activity to the predicted promoter regions of PG1459 and PG0495. Taken together, the data indicate that CdhR may play a role in NO stress resistance and be involved in a regulatory network in P. gingivalis.</p>","PeriodicalId":18815,"journal":{"name":"Molecular Oral Microbiology","volume":"38 4","pages":"289-308"},"PeriodicalIF":2.9000,"publicationDate":"2023-08-01","publicationTypes":"Journal Article","fieldsOfStudy":null,"isOpenAccess":false,"openAccessPdf":"https://www.ncbi.nlm.nih.gov/pmc/articles/PMC11018363/pdf/","citationCount":"0","resultStr":"{\"title\":\"The involvement of CdhR in Porphyromonas gingivalis during nitric oxide stress.\",\"authors\":\"Marie-Claire Boutrin, Arunima Mishra, Charles Wang, Yuetan Dou, Hansel M Fletcher\",\"doi\":\"10.1111/omi.12414\",\"DOIUrl\":null,\"url\":null,\"abstract\":\"<p><p>Porphyromonas gingivalis, the causative agent of adult periodontitis, must gain resistance to frequent oxidative and nitric oxide (NO) stress attacks from immune cells in the periodontal pocket to survive. Previously, we found that, in the wild-type and under NO stress, the expression of PG1237 (CdhR), the gene encoding for a putative LuxR transcriptional regulator previously called community development and hemin regulator (CdhR), was upregulated 7.7-fold, and its adjacent gene PG1236 11.9-fold. Isogenic mutants P. gingivalis FLL457 (ΔCdhR::ermF), FLL458 (ΔPG1236::ermF), and FLL459 (ΔPG1236-CdhR::ermF) were made by allelic exchange mutagenesis to determine the involvement of these genes in P. gingivalis W83 NO stress resistance. The mutants were black pigmented and β hemolytic and their gingipain activities varied with strains. FLL457 and FLL459 mutants were more sensitive to NO compared to the wild type, and complementation restored NO sensitivity to that of the wild type. DNA microarray analysis of FLL457 showed that approximately 2% of the genes were upregulated and over 1% of the genes downregulated under NO stress conditions compared to the wild type. Transcriptome analysis of FLL458 and FLL459 under NO stress showed differences in their modulation patterns. Some similarities were also noticed between all mutants. The PG1236-CdhR gene cluster revealed increased expression under NO stress and may be part of the same transcriptional unit. Recombinant CdhR showed binding activity to the predicted promoter regions of PG1459 and PG0495. Taken together, the data indicate that CdhR may play a role in NO stress resistance and be involved in a regulatory network in P. gingivalis.</p>\",\"PeriodicalId\":18815,\"journal\":{\"name\":\"Molecular Oral Microbiology\",\"volume\":\"38 4\",\"pages\":\"289-308\"},\"PeriodicalIF\":2.9000,\"publicationDate\":\"2023-08-01\",\"publicationTypes\":\"Journal Article\",\"fieldsOfStudy\":null,\"isOpenAccess\":false,\"openAccessPdf\":\"https://www.ncbi.nlm.nih.gov/pmc/articles/PMC11018363/pdf/\",\"citationCount\":\"0\",\"resultStr\":null,\"platform\":\"Semanticscholar\",\"paperid\":null,\"PeriodicalName\":\"Molecular Oral Microbiology\",\"FirstCategoryId\":\"3\",\"ListUrlMain\":\"https://doi.org/10.1111/omi.12414\",\"RegionNum\":3,\"RegionCategory\":\"医学\",\"ArticlePicture\":[],\"TitleCN\":null,\"AbstractTextCN\":null,\"PMCID\":null,\"EPubDate\":\"2023/5/3 0:00:00\",\"PubModel\":\"Epub\",\"JCR\":\"Q1\",\"JCRName\":\"DENTISTRY, ORAL SURGERY & MEDICINE\",\"Score\":null,\"Total\":0}","platform":"Semanticscholar","paperid":null,"PeriodicalName":"Molecular Oral Microbiology","FirstCategoryId":"3","ListUrlMain":"https://doi.org/10.1111/omi.12414","RegionNum":3,"RegionCategory":"医学","ArticlePicture":[],"TitleCN":null,"AbstractTextCN":null,"PMCID":null,"EPubDate":"2023/5/3 0:00:00","PubModel":"Epub","JCR":"Q1","JCRName":"DENTISTRY, ORAL SURGERY & MEDICINE","Score":null,"Total":0}
引用次数: 0

摘要

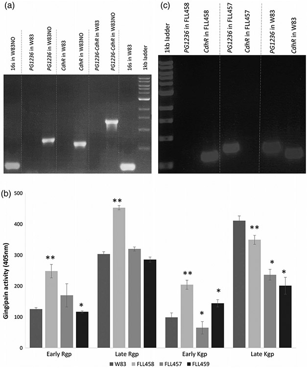
牙龈卟啉单胞菌(Porphyromonas gingivalis)是成人牙周炎的致病菌,它必须抵抗牙周袋中免疫细胞频繁的氧化和一氧化氮(NO)应激攻击才能存活。此前,我们发现,在野生型和一氧化氮压力下,PG1237(CdhR)的表达上调了 7.7 倍,其邻近基因 PG1236 的表达上调了 11.9 倍。通过等位基因交换诱变制备了等源突变体 P. gingivalis FLL457(ΔCdhR::ermF)、FLL458(ΔPG1236::ermF)和 FLL459(ΔPG1236-CdhR::ermF),以确定这些基因在 P. gingivalis W83 NO 应激抗性中的参与情况。突变体有黑色素沉着和β溶血,其gingipain活性随菌株而异。与野生型相比,FLL457和FLL459突变体对NO更敏感,通过互补可使其对NO的敏感性恢复到野生型的水平。对 FLL457 的 DNA 微阵列分析表明,与野生型相比,在 NO 胁迫条件下,约有 2% 的基因上调,超过 1% 的基因下调。在 NO 胁迫条件下对 FLL458 和 FLL459 的转录组分析表明,它们的调控模式存在差异。所有突变体之间也有一些相似之处。PG1236-CdhR 基因簇在氮氧化物胁迫下表达增加,可能是同一转录单元的一部分。重组 CdhR 显示出与 PG1459 和 PG0495 预测启动子区域的结合活性。综上所述,这些数据表明 CdhR 可能在抗 NO 应激中发挥作用,并参与了牙龈脓疱病的调控网络。
本文章由计算机程序翻译,如有差异,请以英文原文为准。

The involvement of CdhR in Porphyromonas gingivalis during nitric oxide stress.

The involvement of CdhR in Porphyromonas gingivalis during nitric oxide stress.

The involvement of CdhR in Porphyromonas gingivalis during nitric oxide stress.

The involvement of CdhR in Porphyromonas gingivalis during nitric oxide stress.

Porphyromonas gingivalis, the causative agent of adult periodontitis, must gain resistance to frequent oxidative and nitric oxide (NO) stress attacks from immune cells in the periodontal pocket to survive. Previously, we found that, in the wild-type and under NO stress, the expression of PG1237 (CdhR), the gene encoding for a putative LuxR transcriptional regulator previously called community development and hemin regulator (CdhR), was upregulated 7.7-fold, and its adjacent gene PG1236 11.9-fold. Isogenic mutants P. gingivalis FLL457 (ΔCdhR::ermF), FLL458 (ΔPG1236::ermF), and FLL459 (ΔPG1236-CdhR::ermF) were made by allelic exchange mutagenesis to determine the involvement of these genes in P. gingivalis W83 NO stress resistance. The mutants were black pigmented and β hemolytic and their gingipain activities varied with strains. FLL457 and FLL459 mutants were more sensitive to NO compared to the wild type, and complementation restored NO sensitivity to that of the wild type. DNA microarray analysis of FLL457 showed that approximately 2% of the genes were upregulated and over 1% of the genes downregulated under NO stress conditions compared to the wild type. Transcriptome analysis of FLL458 and FLL459 under NO stress showed differences in their modulation patterns. Some similarities were also noticed between all mutants. The PG1236-CdhR gene cluster revealed increased expression under NO stress and may be part of the same transcriptional unit. Recombinant CdhR showed binding activity to the predicted promoter regions of PG1459 and PG0495. Taken together, the data indicate that CdhR may play a role in NO stress resistance and be involved in a regulatory network in P. gingivalis.

求助全文
通过发布文献求助,成功后即可免费获取论文全文。 去求助
来源期刊
Molecular Oral Microbiology
Molecular Oral Microbiology DENTISTRY, ORAL SURGERY & MEDICINE-MICROBIOLOGY
CiteScore
6.50
自引率
5.40%
发文量
46
审稿时长
>12 weeks
期刊介绍: Molecular Oral Microbiology publishes high quality research papers and reviews on fundamental or applied molecular studies of microorganisms of the oral cavity and respiratory tract, host-microbe interactions, cellular microbiology, molecular ecology, and immunological studies of oral and respiratory tract infections. Papers describing work in virology, or in immunology unrelated to microbial colonization or infection, will not be acceptable. Studies of the prevalence of organisms or of antimicrobials agents also are not within the scope of the journal. The journal does not publish Short Communications or Letters to the Editor. Molecular Oral Microbiology is published bimonthly.
×
引用
GB/T 7714-2015
复制
MLA
复制
APA
复制
导出至
BibTeX EndNote RefMan NoteFirst NoteExpress
×
提示
您的信息不完整,为了账户安全,请先补充。
现在去补充
×
提示
您因"违规操作"
具体请查看互助需知
我知道了
×
提示
确定
请完成安全验证×
copy
已复制链接
快去分享给好友吧!
我知道了
右上角分享
点击右上角分享
0
联系我们:info@booksci.cn Book学术提供免费学术资源搜索服务,方便国内外学者检索中英文文献。致力于提供最便捷和优质的服务体验。 Copyright © 2023 布克学术 All rights reserved.
京ICP备2023020795号-1
ghs 京公网安备 11010802042870号
Book学术文献互助
Book学术文献互助群
群 号:604180095
Book学术官方微信