腺苷、肌苷及其联用辅助再灌注治疗急性心肌梗死的疗效比较。

Abdel Shafy, Vincent Molinié, Miguel Cortes-Morichetti, Vincent Hupertan, Nermine Lila, Juan C Chachques
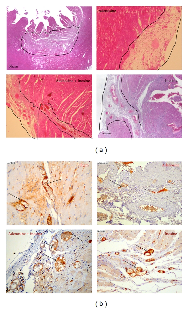
{"title":"腺苷、肌苷及其联用辅助再灌注治疗急性心肌梗死的疗效比较。","authors":"Abdel Shafy,&nbsp;Vincent Molinié,&nbsp;Miguel Cortes-Morichetti,&nbsp;Vincent Hupertan,&nbsp;Nermine Lila,&nbsp;Juan C Chachques","doi":"10.5402/2012/326809","DOIUrl":null,"url":null,"abstract":"<p><p>Adenosine and inosine are both key intracellular energy substrates for nucleotide synthesis by salvage pathways, especially during ischemic stress conditions. Additionally they both possess cell protective and cell repair properties. The objective of this study is to detect potential advantages of the combination of adenosine and inosine versus each drug alone, in terms of ventricular function, infarct size reduction and angiogenesis. Myocardial ischemia was created in rodents and treated with adenosine, inosine or their combination. Results of experiments showed that the combination of both drugs significantly reduced infarct size and improved myocardial angiogenesis and ventricular function. The two compounds, while chemically similar, use different intracellular pathways, allowing for complementary biological activities without overlapping. The drug combination at specific 1 : 5 adenosine : inosine dose ratio demonstrated positive cardiologic effects, deserving further evaluation as an adjunct to reperfusion techniques during and after acute coronary syndrome. The association of adenosine and inosine may contribute to reduce myocardial infarction morbidity and mortality rates.</p>","PeriodicalId":73519,"journal":{"name":"ISRN cardiology","volume":"2012 ","pages":"326809"},"PeriodicalIF":0.0000,"publicationDate":"2012-01-01","publicationTypes":"Journal Article","fieldsOfStudy":null,"isOpenAccess":false,"openAccessPdf":"https://sci-hub-pdf.com/10.5402/2012/326809","citationCount":"12","resultStr":"{\"title\":\"Comparison of the effects of adenosine, inosine, and their combination as an adjunct to reperfusion in the treatment of acute myocardial infarction.\",\"authors\":\"Abdel Shafy,&nbsp;Vincent Molinié,&nbsp;Miguel Cortes-Morichetti,&nbsp;Vincent Hupertan,&nbsp;Nermine Lila,&nbsp;Juan C Chachques\",\"doi\":\"10.5402/2012/326809\",\"DOIUrl\":null,\"url\":null,\"abstract\":\"<p><p>Adenosine and inosine are both key intracellular energy substrates for nucleotide synthesis by salvage pathways, especially during ischemic stress conditions. Additionally they both possess cell protective and cell repair properties. The objective of this study is to detect potential advantages of the combination of adenosine and inosine versus each drug alone, in terms of ventricular function, infarct size reduction and angiogenesis. Myocardial ischemia was created in rodents and treated with adenosine, inosine or their combination. Results of experiments showed that the combination of both drugs significantly reduced infarct size and improved myocardial angiogenesis and ventricular function. The two compounds, while chemically similar, use different intracellular pathways, allowing for complementary biological activities without overlapping. The drug combination at specific 1 : 5 adenosine : inosine dose ratio demonstrated positive cardiologic effects, deserving further evaluation as an adjunct to reperfusion techniques during and after acute coronary syndrome. The association of adenosine and inosine may contribute to reduce myocardial infarction morbidity and mortality rates.</p>\",\"PeriodicalId\":73519,\"journal\":{\"name\":\"ISRN cardiology\",\"volume\":\"2012 \",\"pages\":\"326809\"},\"PeriodicalIF\":0.0000,\"publicationDate\":\"2012-01-01\",\"publicationTypes\":\"Journal Article\",\"fieldsOfStudy\":null,\"isOpenAccess\":false,\"openAccessPdf\":\"https://sci-hub-pdf.com/10.5402/2012/326809\",\"citationCount\":\"12\",\"resultStr\":null,\"platform\":\"Semanticscholar\",\"paperid\":null,\"PeriodicalName\":\"ISRN cardiology\",\"FirstCategoryId\":\"1085\",\"ListUrlMain\":\"https://doi.org/10.5402/2012/326809\",\"RegionNum\":0,\"RegionCategory\":null,\"ArticlePicture\":[],\"TitleCN\":null,\"AbstractTextCN\":null,\"PMCID\":null,\"EPubDate\":\"\",\"PubModel\":\"\",\"JCR\":\"\",\"JCRName\":\"\",\"Score\":null,\"Total\":0}","platform":"Semanticscholar","paperid":null,"PeriodicalName":"ISRN cardiology","FirstCategoryId":"1085","ListUrlMain":"https://doi.org/10.5402/2012/326809","RegionNum":0,"RegionCategory":null,"ArticlePicture":[],"TitleCN":null,"AbstractTextCN":null,"PMCID":null,"EPubDate":"","PubModel":"","JCR":"","JCRName":"","Score":null,"Total":0}
引用次数: 12

摘要

腺苷和肌苷都是通过挽救途径合成核苷酸的关键细胞内能量底物,特别是在缺血应激条件下。此外,它们都具有细胞保护和细胞修复特性。本研究的目的是检测腺苷和肌苷联合用药相对于单独用药在心室功能、梗死面积减少和血管生成方面的潜在优势。用腺苷、肌苷或两者联合治疗啮齿动物心肌缺血。实验结果表明,两种药物联合使用可显著减少梗死面积,改善心肌血管生成和心室功能。这两种化合物,虽然化学上相似,但使用不同的细胞内途径,允许互补的生物活性而不重叠。以特定1:5腺苷:肌苷剂量比联合用药显示出积极的心脏学作用,值得进一步评估作为急性冠脉综合征期间和之后再灌注技术的辅助手段。腺苷和肌苷的结合可能有助于降低心肌梗死的发病率和死亡率。
本文章由计算机程序翻译,如有差异,请以英文原文为准。

Comparison of the effects of adenosine, inosine, and their combination as an adjunct to reperfusion in the treatment of acute myocardial infarction.

Comparison of the effects of adenosine, inosine, and their combination as an adjunct to reperfusion in the treatment of acute myocardial infarction.

Comparison of the effects of adenosine, inosine, and their combination as an adjunct to reperfusion in the treatment of acute myocardial infarction.

Comparison of the effects of adenosine, inosine, and their combination as an adjunct to reperfusion in the treatment of acute myocardial infarction.

Adenosine and inosine are both key intracellular energy substrates for nucleotide synthesis by salvage pathways, especially during ischemic stress conditions. Additionally they both possess cell protective and cell repair properties. The objective of this study is to detect potential advantages of the combination of adenosine and inosine versus each drug alone, in terms of ventricular function, infarct size reduction and angiogenesis. Myocardial ischemia was created in rodents and treated with adenosine, inosine or their combination. Results of experiments showed that the combination of both drugs significantly reduced infarct size and improved myocardial angiogenesis and ventricular function. The two compounds, while chemically similar, use different intracellular pathways, allowing for complementary biological activities without overlapping. The drug combination at specific 1 : 5 adenosine : inosine dose ratio demonstrated positive cardiologic effects, deserving further evaluation as an adjunct to reperfusion techniques during and after acute coronary syndrome. The association of adenosine and inosine may contribute to reduce myocardial infarction morbidity and mortality rates.

求助全文
通过发布文献求助,成功后即可免费获取论文全文。 去求助
来源期刊
自引率
0.00%
发文量
0
×
引用
GB/T 7714-2015
复制
MLA
复制
APA
复制
导出至
BibTeX EndNote RefMan NoteFirst NoteExpress
×
提示
您的信息不完整,为了账户安全,请先补充。
现在去补充
×
提示
您因"违规操作"
具体请查看互助需知
我知道了
×
提示
确定
请完成安全验证×
copy
已复制链接
快去分享给好友吧!
我知道了
右上角分享
点击右上角分享
0
联系我们:info@booksci.cn Book学术提供免费学术资源搜索服务,方便国内外学者检索中英文文献。致力于提供最便捷和优质的服务体验。 Copyright © 2023 布克学术 All rights reserved.
京ICP备2023020795号-1
ghs 京公网安备 11010802042870号
Book学术文献互助
Book学术文献互助群
群 号:604180095
Book学术官方微信