1例以精神障碍为首发症状的家庭最终确诊为Gerstmann-Sträussler-Scheinker PRNP基因P102L突变疾病1例。

IF 1.6 3区 生物学 Q4 BIOCHEMISTRY & MOLECULAR BIOLOGY
Zeran Chen, Junjun Guo, Ningjing Ran, Yujia Zhong, Fang Yang, Honghui Sun
{"title":"1例以精神障碍为首发症状的家庭最终确诊为Gerstmann-Sträussler-Scheinker PRNP基因P102L突变疾病1例。","authors":"Zeran Chen, Junjun Guo, Ningjing Ran, Yujia Zhong, Fang Yang, Honghui Sun","doi":"10.1080/19336896.2023.2180255","DOIUrl":null,"url":null,"abstract":"<p><p>Gerstmann-Sträussler-Scheinker (GSS) disease is an autosomal dominant neurodegenerative disease, and it is characterized by progressive cerebellar ataxia. Up to now, GSS cases with the p.P102L mutation have mainly been reported in Caucasian, but rarely in Asian populations. A 54-year-old female patient presented with an unstable gait in the hospital. Last year, she was unable to walk steadily and occasionally choked, could not even walk independently gradually. After taking her medical history, we found that she was misdiagnosed with schizophrenia before the gait problems. The patient's father showed similar symptoms and was diagnosed with brain atrophy at the age of 56, but her daughter showed no similar symptoms at present. On arrival at the Neurology Department, the patient's vital signs and laboratory examinations showed no abnormality. As the proband presented with cerebellar ataxia and had an obvious family history, we were sure that she had hereditary cerebellar ataxia. Then, patient's brain MRI showed an abnormal signal in the right parietal cortex and bilateral small ischaemic lesions in the frontal lobe. A gene panel (including 142 ataxia-related genes) was performed, and a heterozygous mutation PRNP Exon2 c.305C>T p. (Pro102Leu) was identified. Her daughter had the same heterozygous mutation. The patient was diagnosed with GSS with mental disorders as initial symptoms. After 2 months of TCM treatment, the patient's walking instability decreased, and her emotional fluctuations were less than before. In conclusion, we have reported a rare case of GSS in Sichuan, China, and the family with mental disorder as the first symptom was finally confirmed with GSS PRNP P102L mutation.</p>","PeriodicalId":54585,"journal":{"name":"Prion","volume":"17 1","pages":"37-43"},"PeriodicalIF":1.6000,"publicationDate":"2023-12-01","publicationTypes":"Journal Article","fieldsOfStudy":null,"isOpenAccess":false,"openAccessPdf":"https://ftp.ncbi.nlm.nih.gov/pub/pmc/oa_pdf/3b/5c/KPRN_17_2180255.PMC9980613.pdf","citationCount":"0","resultStr":"{\"title\":\"A family with mental disorder as the first symptom finally confirmed with Gerstmann-Sträussler-Scheinker disease with P102L mutation in PRNP gene - case report.\",\"authors\":\"Zeran Chen, Junjun Guo, Ningjing Ran, Yujia Zhong, Fang Yang, Honghui Sun\",\"doi\":\"10.1080/19336896.2023.2180255\",\"DOIUrl\":null,\"url\":null,\"abstract\":\"<p><p>Gerstmann-Sträussler-Scheinker (GSS) disease is an autosomal dominant neurodegenerative disease, and it is characterized by progressive cerebellar ataxia. Up to now, GSS cases with the p.P102L mutation have mainly been reported in Caucasian, but rarely in Asian populations. A 54-year-old female patient presented with an unstable gait in the hospital. Last year, she was unable to walk steadily and occasionally choked, could not even walk independently gradually. After taking her medical history, we found that she was misdiagnosed with schizophrenia before the gait problems. The patient's father showed similar symptoms and was diagnosed with brain atrophy at the age of 56, but her daughter showed no similar symptoms at present. On arrival at the Neurology Department, the patient's vital signs and laboratory examinations showed no abnormality. As the proband presented with cerebellar ataxia and had an obvious family history, we were sure that she had hereditary cerebellar ataxia. Then, patient's brain MRI showed an abnormal signal in the right parietal cortex and bilateral small ischaemic lesions in the frontal lobe. A gene panel (including 142 ataxia-related genes) was performed, and a heterozygous mutation PRNP Exon2 c.305C>T p. (Pro102Leu) was identified. Her daughter had the same heterozygous mutation. The patient was diagnosed with GSS with mental disorders as initial symptoms. After 2 months of TCM treatment, the patient's walking instability decreased, and her emotional fluctuations were less than before. In conclusion, we have reported a rare case of GSS in Sichuan, China, and the family with mental disorder as the first symptom was finally confirmed with GSS PRNP P102L mutation.</p>\",\"PeriodicalId\":54585,\"journal\":{\"name\":\"Prion\",\"volume\":\"17 1\",\"pages\":\"37-43\"},\"PeriodicalIF\":1.6000,\"publicationDate\":\"2023-12-01\",\"publicationTypes\":\"Journal Article\",\"fieldsOfStudy\":null,\"isOpenAccess\":false,\"openAccessPdf\":\"https://ftp.ncbi.nlm.nih.gov/pub/pmc/oa_pdf/3b/5c/KPRN_17_2180255.PMC9980613.pdf\",\"citationCount\":\"0\",\"resultStr\":null,\"platform\":\"Semanticscholar\",\"paperid\":null,\"PeriodicalName\":\"Prion\",\"FirstCategoryId\":\"99\",\"ListUrlMain\":\"https://doi.org/10.1080/19336896.2023.2180255\",\"RegionNum\":3,\"RegionCategory\":\"生物学\",\"ArticlePicture\":[],\"TitleCN\":null,\"AbstractTextCN\":null,\"PMCID\":null,\"EPubDate\":\"\",\"PubModel\":\"\",\"JCR\":\"Q4\",\"JCRName\":\"BIOCHEMISTRY & MOLECULAR BIOLOGY\",\"Score\":null,\"Total\":0}","platform":"Semanticscholar","paperid":null,"PeriodicalName":"Prion","FirstCategoryId":"99","ListUrlMain":"https://doi.org/10.1080/19336896.2023.2180255","RegionNum":3,"RegionCategory":"生物学","ArticlePicture":[],"TitleCN":null,"AbstractTextCN":null,"PMCID":null,"EPubDate":"","PubModel":"","JCR":"Q4","JCRName":"BIOCHEMISTRY & MOLECULAR BIOLOGY","Score":null,"Total":0}
引用次数: 0

摘要

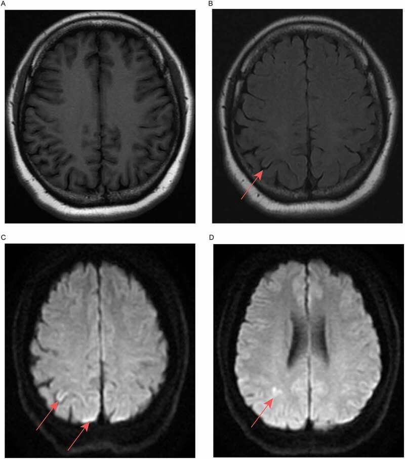
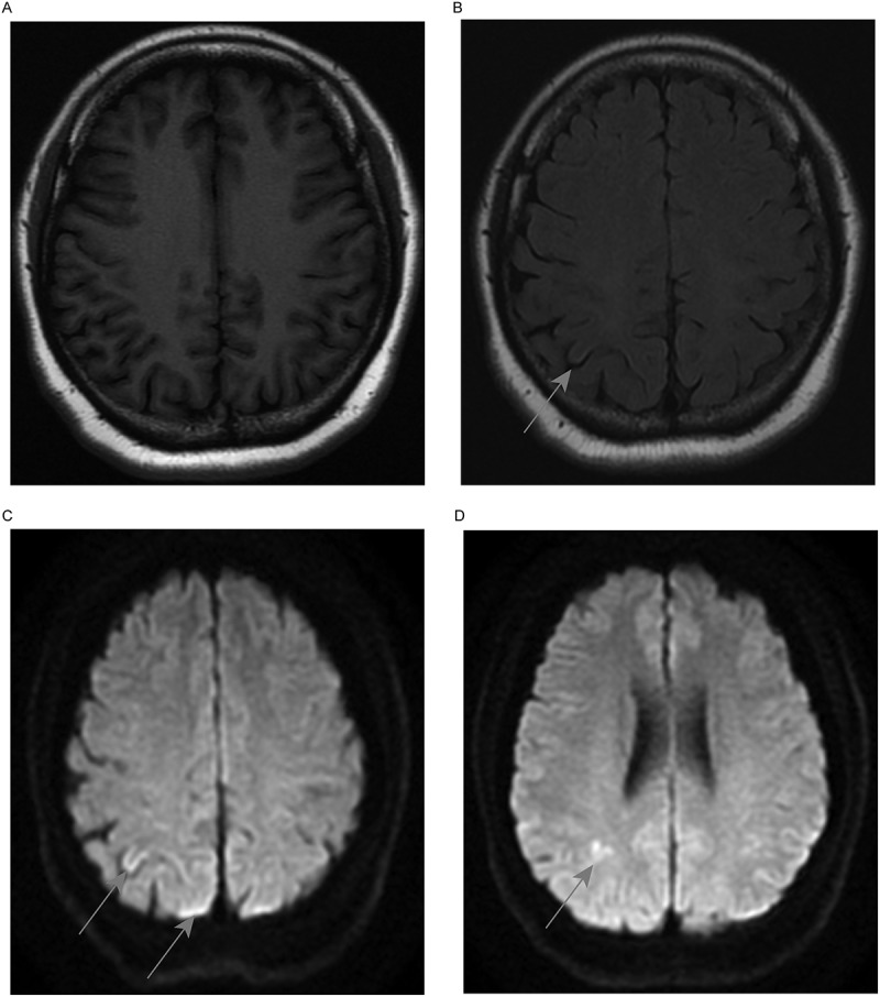
Gerstmann Sträussler Scheinker(GSS)病是一种常染色体显性遗传的神经退行性疾病,以进行性小脑共济失调为特征。到目前为止,具有p.P102L突变的GSS病例主要在高加索人中报道,但在亚洲人群中很少报道。一名54岁的女性患者在医院里步态不稳。去年,她无法稳定行走,偶尔会哽咽,甚至逐渐无法独立行走。在记录了她的病史后,我们发现她在步态问题之前被误诊为精神分裂症。患者的父亲表现出类似的症状,在56岁时被诊断为脑萎缩,但她的女儿目前没有表现出类似症状。到达神经内科后,患者的生命体征和实验室检查均无异常。由于先证者表现为小脑共济失调,并且有明显的家族史,我们确信她患有遗传性小脑共济失调。然后,患者的大脑MRI显示右顶叶皮层有异常信号,额叶有双侧小缺血病变。进行基因分析(包括142个共济失调相关基因),并鉴定出一个杂合突变PRNP Exon2 c.305C>T p.(Pro102Leu)。她的女儿也有同样的杂合突变。该患者被诊断为GSS,最初症状为精神障碍。经过2个月的中医治疗,患者的行走不稳定性下降,情绪波动也比以前小。总之,我们在中国四川报告了一例罕见的GSS病例,以精神障碍为首发症状的家庭最终被确认为GSS PRNP P102L突变。
本文章由计算机程序翻译,如有差异,请以英文原文为准。

A family with mental disorder as the first symptom finally confirmed with Gerstmann-Sträussler-Scheinker disease with P102L mutation in PRNP gene - case report.

A family with mental disorder as the first symptom finally confirmed with Gerstmann-Sträussler-Scheinker disease with P102L mutation in PRNP gene - case report.

A family with mental disorder as the first symptom finally confirmed with Gerstmann-Sträussler-Scheinker disease with P102L mutation in PRNP gene - case report.

A family with mental disorder as the first symptom finally confirmed with Gerstmann-Sträussler-Scheinker disease with P102L mutation in PRNP gene - case report.

Gerstmann-Sträussler-Scheinker (GSS) disease is an autosomal dominant neurodegenerative disease, and it is characterized by progressive cerebellar ataxia. Up to now, GSS cases with the p.P102L mutation have mainly been reported in Caucasian, but rarely in Asian populations. A 54-year-old female patient presented with an unstable gait in the hospital. Last year, she was unable to walk steadily and occasionally choked, could not even walk independently gradually. After taking her medical history, we found that she was misdiagnosed with schizophrenia before the gait problems. The patient's father showed similar symptoms and was diagnosed with brain atrophy at the age of 56, but her daughter showed no similar symptoms at present. On arrival at the Neurology Department, the patient's vital signs and laboratory examinations showed no abnormality. As the proband presented with cerebellar ataxia and had an obvious family history, we were sure that she had hereditary cerebellar ataxia. Then, patient's brain MRI showed an abnormal signal in the right parietal cortex and bilateral small ischaemic lesions in the frontal lobe. A gene panel (including 142 ataxia-related genes) was performed, and a heterozygous mutation PRNP Exon2 c.305C>T p. (Pro102Leu) was identified. Her daughter had the same heterozygous mutation. The patient was diagnosed with GSS with mental disorders as initial symptoms. After 2 months of TCM treatment, the patient's walking instability decreased, and her emotional fluctuations were less than before. In conclusion, we have reported a rare case of GSS in Sichuan, China, and the family with mental disorder as the first symptom was finally confirmed with GSS PRNP P102L mutation.

求助全文
通过发布文献求助,成功后即可免费获取论文全文。 去求助
来源期刊
Prion
Prion 生物-生化与分子生物学
CiteScore
5.20
自引率
4.30%
发文量
13
审稿时长
6-12 weeks
期刊介绍: Prion is the first international peer-reviewed open access journal to focus exclusively on protein folding and misfolding, protein assembly disorders, protein-based and structural inheritance. The goal is to foster communication and rapid exchange of information through timely publication of important results using traditional as well as electronic formats. The overriding criteria for publication in Prion are originality, scientific merit and general interest.
×
引用
GB/T 7714-2015
复制
MLA
复制
APA
复制
导出至
BibTeX EndNote RefMan NoteFirst NoteExpress
×
提示
您的信息不完整,为了账户安全,请先补充。
现在去补充
×
提示
您因"违规操作"
具体请查看互助需知
我知道了
×
提示
确定
请完成安全验证×
copy
已复制链接
快去分享给好友吧!
我知道了
右上角分享
点击右上角分享
0
联系我们:info@booksci.cn Book学术提供免费学术资源搜索服务,方便国内外学者检索中英文文献。致力于提供最便捷和优质的服务体验。 Copyright © 2023 布克学术 All rights reserved.
京ICP备2023020795号-1
ghs 京公网安备 11010802042870号
Book学术文献互助
Book学术文献互助群
群 号:604180095
Book学术官方微信