胆囊和胆石参数与肝硬化患者临床预后的关系。

Q3 Social Sciences
Journal of Bioeconomics Pub Date : 2023-03-19 eCollection Date: 2024-06-01 DOI:10.2478/jtim-2022-0076
Min Ding, Yue Yin, Xueying Wang, Menghua Zhu, Shixue Xu, Le Wang, Fangfang Yi, Cyriac Abby Philips, Fernando Gomes Romeiro, Xingshun Qi
{"title":"胆囊和胆石参数与肝硬化患者临床预后的关系。","authors":"Min Ding, Yue Yin, Xueying Wang, Menghua Zhu, Shixue Xu, Le Wang, Fangfang Yi, Cyriac Abby Philips, Fernando Gomes Romeiro, Xingshun Qi","doi":"10.2478/jtim-2022-0076","DOIUrl":null,"url":null,"abstract":"<p><strong>Background: </strong>Morphologic changes in the gallbladder and gallstones are common in cirrhotic patients, but their associations with outcomes of cirrhotic patients are unclear.</p><p><strong>Methods: </strong>We retrospectively enrolled 206 cirrhotic patients and measured their gallbladder length and width, gallbladder wall thickness, presence of gallstones, and gallstones' length and width in axial contrast-enhanced computed tomography (CT) images. X-tile software was utilized to calculate the optimal cutoff values of these parameters for evaluating survival and hepatic decompensation events in the cirrhosis group. Their associations with survival were explored by Cox regression analyses and Kaplan-Meier curve analyses. Their associations with hepatic decompensation events were evaluated by competing risk analyses and Nelson-Aalen cumulative risk curve analyses where death was a competing event.</p><p><strong>Results: </strong>Cirrhotic patients with gallbladder length < 72 mm had a significantly higher cumulative survival rate than those with a length of ≥ 72 mm (<i>P</i> = 0.049 by log-rank test), but gallbladder width, gallbladder wall thickness, presence of gallstones, and gallstones' length and width were not significantly associated with survival (<i>P</i> = 0.10, <i>P</i> = 0.14, <i>P</i> = 0.97, <i>P</i> = 0.73, and <i>P</i> = 0.73 by log-rank tests, respectively). Cirrhotic patients with gallbladder wall thickness < 3.4 mm had a significantly lower cumulative rate of hepatic decompensation events than those with a wall thickness of ≥ 3.4 mm (<i>P</i> = 0.02 by Gray's test), but gallbladder length and width, presence of gallstones, and gallstones' length and width were not significantly associated with hepatic decompensation events (<i>P</i> = 0.15, <i>P</i> = 0.15, <i>P</i> = 0.54, <i>P</i> = 0.76, and <i>P</i> = 0.54 by Gray's tests, respectively).</p><p><strong>Conclusion: </strong>Changes in gallbladder length and gallbladder wall thickness, rather than gallstone parameters, may be in parallel with the long-term outcomes of cirrhotic patients.</p>","PeriodicalId":35608,"journal":{"name":"Journal of Bioeconomics","volume":"22 1","pages":"308-316"},"PeriodicalIF":0.0000,"publicationDate":"2023-03-19","publicationTypes":"Journal Article","fieldsOfStudy":null,"isOpenAccess":false,"openAccessPdf":"https://www.ncbi.nlm.nih.gov/pmc/articles/PMC11285020/pdf/","citationCount":"0","resultStr":"{\"title\":\"Associations of gallbladder and gallstone parameters with clinical outcomes in patients with cirrhosis.\",\"authors\":\"Min Ding, Yue Yin, Xueying Wang, Menghua Zhu, Shixue Xu, Le Wang, Fangfang Yi, Cyriac Abby Philips, Fernando Gomes Romeiro, Xingshun Qi\",\"doi\":\"10.2478/jtim-2022-0076\",\"DOIUrl\":null,\"url\":null,\"abstract\":\"<p><strong>Background: </strong>Morphologic changes in the gallbladder and gallstones are common in cirrhotic patients, but their associations with outcomes of cirrhotic patients are unclear.</p><p><strong>Methods: </strong>We retrospectively enrolled 206 cirrhotic patients and measured their gallbladder length and width, gallbladder wall thickness, presence of gallstones, and gallstones' length and width in axial contrast-enhanced computed tomography (CT) images. X-tile software was utilized to calculate the optimal cutoff values of these parameters for evaluating survival and hepatic decompensation events in the cirrhosis group. Their associations with survival were explored by Cox regression analyses and Kaplan-Meier curve analyses. Their associations with hepatic decompensation events were evaluated by competing risk analyses and Nelson-Aalen cumulative risk curve analyses where death was a competing event.</p><p><strong>Results: </strong>Cirrhotic patients with gallbladder length < 72 mm had a significantly higher cumulative survival rate than those with a length of ≥ 72 mm (<i>P</i> = 0.049 by log-rank test), but gallbladder width, gallbladder wall thickness, presence of gallstones, and gallstones' length and width were not significantly associated with survival (<i>P</i> = 0.10, <i>P</i> = 0.14, <i>P</i> = 0.97, <i>P</i> = 0.73, and <i>P</i> = 0.73 by log-rank tests, respectively). Cirrhotic patients with gallbladder wall thickness < 3.4 mm had a significantly lower cumulative rate of hepatic decompensation events than those with a wall thickness of ≥ 3.4 mm (<i>P</i> = 0.02 by Gray's test), but gallbladder length and width, presence of gallstones, and gallstones' length and width were not significantly associated with hepatic decompensation events (<i>P</i> = 0.15, <i>P</i> = 0.15, <i>P</i> = 0.54, <i>P</i> = 0.76, and <i>P</i> = 0.54 by Gray's tests, respectively).</p><p><strong>Conclusion: </strong>Changes in gallbladder length and gallbladder wall thickness, rather than gallstone parameters, may be in parallel with the long-term outcomes of cirrhotic patients.</p>\",\"PeriodicalId\":35608,\"journal\":{\"name\":\"Journal of Bioeconomics\",\"volume\":\"22 1\",\"pages\":\"308-316\"},\"PeriodicalIF\":0.0000,\"publicationDate\":\"2023-03-19\",\"publicationTypes\":\"Journal Article\",\"fieldsOfStudy\":null,\"isOpenAccess\":false,\"openAccessPdf\":\"https://www.ncbi.nlm.nih.gov/pmc/articles/PMC11285020/pdf/\",\"citationCount\":\"0\",\"resultStr\":null,\"platform\":\"Semanticscholar\",\"paperid\":null,\"PeriodicalName\":\"Journal of Bioeconomics\",\"FirstCategoryId\":\"3\",\"ListUrlMain\":\"https://doi.org/10.2478/jtim-2022-0076\",\"RegionNum\":0,\"RegionCategory\":null,\"ArticlePicture\":[],\"TitleCN\":null,\"AbstractTextCN\":null,\"PMCID\":null,\"EPubDate\":\"2024/6/1 0:00:00\",\"PubModel\":\"eCollection\",\"JCR\":\"Q3\",\"JCRName\":\"Social Sciences\",\"Score\":null,\"Total\":0}","platform":"Semanticscholar","paperid":null,"PeriodicalName":"Journal of Bioeconomics","FirstCategoryId":"3","ListUrlMain":"https://doi.org/10.2478/jtim-2022-0076","RegionNum":0,"RegionCategory":null,"ArticlePicture":[],"TitleCN":null,"AbstractTextCN":null,"PMCID":null,"EPubDate":"2024/6/1 0:00:00","PubModel":"eCollection","JCR":"Q3","JCRName":"Social Sciences","Score":null,"Total":0}
引用次数: 0

摘要

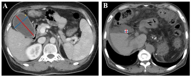
背景:胆囊和胆结石的形态变化在肝硬化患者中很常见,但它们与肝硬化患者预后的关系尚不清楚:方法:我们回顾性研究了 206 例肝硬化患者,测量了他们的胆囊长度和宽度、胆囊壁厚度、是否存在胆结石以及轴向对比增强计算机断层扫描(CT)图像中胆结石的长度和宽度。利用X-tile软件计算这些参数的最佳临界值,以评估肝硬化组的生存率和肝功能失代偿事件。通过 Cox 回归分析和 Kaplan-Meier 曲线分析探讨了这些参数与存活率的关系。通过竞争风险分析和Nelson-Aalen累积风险曲线分析评估它们与肝功能失代偿事件的关系,其中死亡是一个竞争事件:胆囊长度小于72毫米的肝硬化患者的累积生存率明显高于胆囊长度≥72毫米的患者(对数秩检验,P=0.049),但胆囊宽度、胆囊壁厚度、是否存在胆结石以及胆结石的长度和宽度与生存率无明显相关性(对数秩检验,分别为P=0.10、P=0.14、P=0.97、P=0.73和P=0.73)。胆囊壁厚度<3.4毫米的肝硬化患者的肝功能失代偿事件累积率明显低于胆囊壁厚度≥3.4毫米的患者(通过格雷氏检验,P = 0.02),但胆囊长度和宽度、是否存在胆结石以及胆结石的长度和宽度与肝脏失代偿事件无明显相关性(格雷氏试验分别为P = 0.15、P = 0.15、P = 0.54、P = 0.76和P = 0.54):结论:胆囊长度和胆囊壁厚度的变化,而非胆石参数的变化,可能与肝硬化患者的长期预后平行。
本文章由计算机程序翻译,如有差异,请以英文原文为准。

Associations of gallbladder and gallstone parameters with clinical outcomes in patients with cirrhosis.

Associations of gallbladder and gallstone parameters with clinical outcomes in patients with cirrhosis.

Associations of gallbladder and gallstone parameters with clinical outcomes in patients with cirrhosis.

Associations of gallbladder and gallstone parameters with clinical outcomes in patients with cirrhosis.

Background: Morphologic changes in the gallbladder and gallstones are common in cirrhotic patients, but their associations with outcomes of cirrhotic patients are unclear.

Methods: We retrospectively enrolled 206 cirrhotic patients and measured their gallbladder length and width, gallbladder wall thickness, presence of gallstones, and gallstones' length and width in axial contrast-enhanced computed tomography (CT) images. X-tile software was utilized to calculate the optimal cutoff values of these parameters for evaluating survival and hepatic decompensation events in the cirrhosis group. Their associations with survival were explored by Cox regression analyses and Kaplan-Meier curve analyses. Their associations with hepatic decompensation events were evaluated by competing risk analyses and Nelson-Aalen cumulative risk curve analyses where death was a competing event.

Results: Cirrhotic patients with gallbladder length < 72 mm had a significantly higher cumulative survival rate than those with a length of ≥ 72 mm (P = 0.049 by log-rank test), but gallbladder width, gallbladder wall thickness, presence of gallstones, and gallstones' length and width were not significantly associated with survival (P = 0.10, P = 0.14, P = 0.97, P = 0.73, and P = 0.73 by log-rank tests, respectively). Cirrhotic patients with gallbladder wall thickness < 3.4 mm had a significantly lower cumulative rate of hepatic decompensation events than those with a wall thickness of ≥ 3.4 mm (P = 0.02 by Gray's test), but gallbladder length and width, presence of gallstones, and gallstones' length and width were not significantly associated with hepatic decompensation events (P = 0.15, P = 0.15, P = 0.54, P = 0.76, and P = 0.54 by Gray's tests, respectively).

Conclusion: Changes in gallbladder length and gallbladder wall thickness, rather than gallstone parameters, may be in parallel with the long-term outcomes of cirrhotic patients.

求助全文
通过发布文献求助,成功后即可免费获取论文全文。 去求助
来源期刊
Journal of Bioeconomics
Journal of Bioeconomics Social Sciences-Geography, Planning and Development
CiteScore
3.70
自引率
0.00%
发文量
7
期刊介绍: The Journal of Bioeconomics is devoted to creative interdisciplinary dialogues between biologists and economists. It promotes the mutual exchange of theories, methods, and data where biology can help explaining economic behavior and the nature of the human economy; and where economics is conducive to understanding the economy of nature. The Journal invites contributions relevant to the bioeconomic agenda from economic fields such as behavioral economics, biometric studies, neuroeconomics, consumer studies, ecological economics, evolutionary economics, evolutionary game theory, political economy, and ethnicity studies. From biology, the Journal welcomes contributions from, among others, evolutionary biology, systematic biology, behavioral ecology, ethology, paleobiology, and sociobiology. The scholarly discussion also covers selected topics from behavioral sciences, cognitive science, evolutionary anthropology, evolutionary psychology, epistemology, and ethics.   Officially cited as: J Bioecon
×
引用
GB/T 7714-2015
复制
MLA
复制
APA
复制
导出至
BibTeX EndNote RefMan NoteFirst NoteExpress
×
提示
您的信息不完整,为了账户安全,请先补充。
现在去补充
×
提示
您因"违规操作"
具体请查看互助需知
我知道了
×
提示
确定
请完成安全验证×
copy
已复制链接
快去分享给好友吧!
我知道了
右上角分享
点击右上角分享
0
联系我们:info@booksci.cn Book学术提供免费学术资源搜索服务,方便国内外学者检索中英文文献。致力于提供最便捷和优质的服务体验。 Copyright © 2023 布克学术 All rights reserved.
京ICP备2023020795号-1
ghs 京公网安备 11010802042870号
Book学术文献互助
Book学术文献互助群
群 号:604180095
Book学术官方微信