胸部钝挫伤后室间隔破裂:病例报告。

IF 0.4 2区 艺术学 0 DANCE
Masato Tochii, Hirotaka Watanuki, Kayo Sugiyama, Yasuhiro Futamura, Hiroshi Ishikawa, Katsuhiko Matsuyama
{"title":"胸部钝挫伤后室间隔破裂:病例报告。","authors":"Masato Tochii, Hirotaka Watanuki, Kayo Sugiyama, Yasuhiro Futamura, Hiroshi Ishikawa, Katsuhiko Matsuyama","doi":"10.1186/s40792-022-01448-z","DOIUrl":null,"url":null,"abstract":"<p><p>Cardiac injury, including myocardial contusion and valvular damage, is a common complication of blunt chest trauma; however, traumatic ventricular septal rupture is a rare complication. We encountered a rare case of ventricular septal rupture following blunt chest trauma that was successfully repaired by emergency surgery. The mechanism underlying rupture may involve acute compression of the heart between the sternum and the vertebral column when the ventricle is filled, thereby causing a sudden increase in intraventricular pressure and leading to septal rupture. Emergency operation should be considered in cases of large defects and hemodynamic instability.</p>","PeriodicalId":44926,"journal":{"name":"DANCE RESEARCH JOURNAL","volume":"28 1","pages":"94"},"PeriodicalIF":0.4000,"publicationDate":"2022-05-12","publicationTypes":"Journal Article","fieldsOfStudy":null,"isOpenAccess":false,"openAccessPdf":"https://www.ncbi.nlm.nih.gov/pmc/articles/PMC9098734/pdf/","citationCount":"0","resultStr":"{\"title\":\"Ventricular septal rupture after blunt chest trauma: a case report.\",\"authors\":\"Masato Tochii, Hirotaka Watanuki, Kayo Sugiyama, Yasuhiro Futamura, Hiroshi Ishikawa, Katsuhiko Matsuyama\",\"doi\":\"10.1186/s40792-022-01448-z\",\"DOIUrl\":null,\"url\":null,\"abstract\":\"<p><p>Cardiac injury, including myocardial contusion and valvular damage, is a common complication of blunt chest trauma; however, traumatic ventricular septal rupture is a rare complication. We encountered a rare case of ventricular septal rupture following blunt chest trauma that was successfully repaired by emergency surgery. The mechanism underlying rupture may involve acute compression of the heart between the sternum and the vertebral column when the ventricle is filled, thereby causing a sudden increase in intraventricular pressure and leading to septal rupture. Emergency operation should be considered in cases of large defects and hemodynamic instability.</p>\",\"PeriodicalId\":44926,\"journal\":{\"name\":\"DANCE RESEARCH JOURNAL\",\"volume\":\"28 1\",\"pages\":\"94\"},\"PeriodicalIF\":0.4000,\"publicationDate\":\"2022-05-12\",\"publicationTypes\":\"Journal Article\",\"fieldsOfStudy\":null,\"isOpenAccess\":false,\"openAccessPdf\":\"https://www.ncbi.nlm.nih.gov/pmc/articles/PMC9098734/pdf/\",\"citationCount\":\"0\",\"resultStr\":null,\"platform\":\"Semanticscholar\",\"paperid\":null,\"PeriodicalName\":\"DANCE RESEARCH JOURNAL\",\"FirstCategoryId\":\"1085\",\"ListUrlMain\":\"https://doi.org/10.1186/s40792-022-01448-z\",\"RegionNum\":2,\"RegionCategory\":\"艺术学\",\"ArticlePicture\":[],\"TitleCN\":null,\"AbstractTextCN\":null,\"PMCID\":null,\"EPubDate\":\"\",\"PubModel\":\"\",\"JCR\":\"0\",\"JCRName\":\"DANCE\",\"Score\":null,\"Total\":0}","platform":"Semanticscholar","paperid":null,"PeriodicalName":"DANCE RESEARCH JOURNAL","FirstCategoryId":"1085","ListUrlMain":"https://doi.org/10.1186/s40792-022-01448-z","RegionNum":2,"RegionCategory":"艺术学","ArticlePicture":[],"TitleCN":null,"AbstractTextCN":null,"PMCID":null,"EPubDate":"","PubModel":"","JCR":"0","JCRName":"DANCE","Score":null,"Total":0}
引用次数: 0

摘要

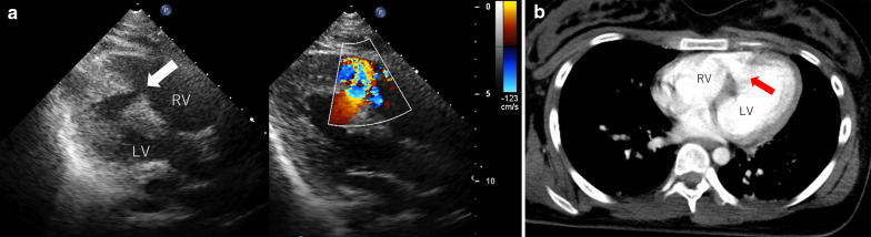
心脏损伤,包括心肌挫伤和瓣膜损伤,是钝性胸部创伤的常见并发症;然而,创伤性室间隔破裂是一种罕见的并发症。我们遇到了一例钝性胸部创伤后室间隔破裂的罕见病例,并通过急诊手术成功修复。破裂的根本原因可能是心室充盈时,胸骨和椎体之间的心脏受到急性挤压,从而导致心室内压突然升高,导致室间隔破裂。如果缺损较大且血流动力学不稳定,应考虑进行紧急手术。
本文章由计算机程序翻译,如有差异,请以英文原文为准。

Ventricular septal rupture after blunt chest trauma: a case report.

Ventricular septal rupture after blunt chest trauma: a case report.

Ventricular septal rupture after blunt chest trauma: a case report.

Cardiac injury, including myocardial contusion and valvular damage, is a common complication of blunt chest trauma; however, traumatic ventricular septal rupture is a rare complication. We encountered a rare case of ventricular septal rupture following blunt chest trauma that was successfully repaired by emergency surgery. The mechanism underlying rupture may involve acute compression of the heart between the sternum and the vertebral column when the ventricle is filled, thereby causing a sudden increase in intraventricular pressure and leading to septal rupture. Emergency operation should be considered in cases of large defects and hemodynamic instability.

求助全文
通过发布文献求助,成功后即可免费获取论文全文。 去求助
来源期刊
CiteScore
1.20
自引率
0.00%
发文量
15
期刊介绍: Dance Research Journal is the longest running, peer reviewed journal in its field, and has become one of the foremost international outlets for dance research scholarship. The journal carries scholarly articles, book reviews, and a list of books and journals received.
×
引用
GB/T 7714-2015
复制
MLA
复制
APA
复制
导出至
BibTeX EndNote RefMan NoteFirst NoteExpress
×
提示
您的信息不完整,为了账户安全,请先补充。
现在去补充
×
提示
您因"违规操作"
具体请查看互助需知
我知道了
×
提示
确定
请完成安全验证×
copy
已复制链接
快去分享给好友吧!
我知道了
右上角分享
点击右上角分享
0
联系我们:info@booksci.cn Book学术提供免费学术资源搜索服务,方便国内外学者检索中英文文献。致力于提供最便捷和优质的服务体验。 Copyright © 2023 布克学术 All rights reserved.
京ICP备2023020795号-1
ghs 京公网安备 11010802042870号
Book学术文献互助
Book学术文献互助群
群 号:604180095
Book学术官方微信