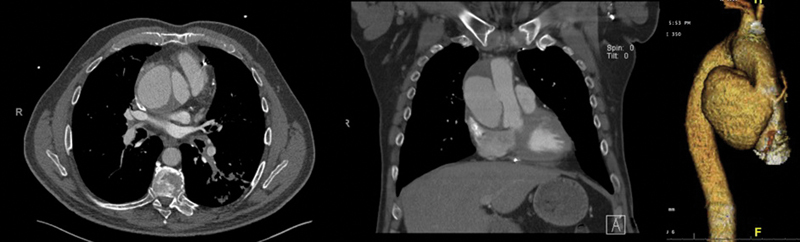
冠状动脉搭桥术后伴有局灶性夹层的大升主动脉假性动脉瘤。

IF 0.3 Q4 SURGERY
Thoracic and Cardiovascular Surgeon Reports Pub Date : 2023-11-10 eCollection Date: 2023-01-01 DOI:10.1055/a-2192-5909
Devon Anderson, Anna Xue, Samantha Wong, Bob Kiaii, Jorge Catrip-Torres
{"title":"冠状动脉搭桥术后伴有局灶性夹层的大升主动脉假性动脉瘤。","authors":"Devon Anderson, Anna Xue, Samantha Wong, Bob Kiaii, Jorge Catrip-Torres","doi":"10.1055/a-2192-5909","DOIUrl":null,"url":null,"abstract":"<p><p><b>Background</b>  There are many known complications that occur after surgical revascularization for patients with significant left main coronary artery disease. <b>Case Description</b>  This case report highlights the preoperative workup, surgical approach, and postoperative management of a patient who presents with an aortic pseudoaneurysm and dissection 2 years after the index CABG. <b>Conclusion</b>  The development of an aortic pseudoaneurysm in combination with an ascending aortic dissection after prior coronary artery bypass grafting (CABG) is a rare compilation of complications that has scarcely been reported in the literature.</p>","PeriodicalId":41729,"journal":{"name":"Thoracic and Cardiovascular Surgeon Reports","volume":"12 1","pages":"e60-e62"},"PeriodicalIF":0.3000,"publicationDate":"2023-11-10","publicationTypes":"Journal Article","fieldsOfStudy":null,"isOpenAccess":false,"openAccessPdf":"https://www.ncbi.nlm.nih.gov/pmc/articles/PMC10637853/pdf/","citationCount":"0","resultStr":"{\"title\":\"Large Ascending Aortic Pseudoaneurysm with Focal Dissection after Coronary Artery Bypass Surgery.\",\"authors\":\"Devon Anderson, Anna Xue, Samantha Wong, Bob Kiaii, Jorge Catrip-Torres\",\"doi\":\"10.1055/a-2192-5909\",\"DOIUrl\":null,\"url\":null,\"abstract\":\"<p><p><b>Background</b>  There are many known complications that occur after surgical revascularization for patients with significant left main coronary artery disease. <b>Case Description</b>  This case report highlights the preoperative workup, surgical approach, and postoperative management of a patient who presents with an aortic pseudoaneurysm and dissection 2 years after the index CABG. <b>Conclusion</b>  The development of an aortic pseudoaneurysm in combination with an ascending aortic dissection after prior coronary artery bypass grafting (CABG) is a rare compilation of complications that has scarcely been reported in the literature.</p>\",\"PeriodicalId\":41729,\"journal\":{\"name\":\"Thoracic and Cardiovascular Surgeon Reports\",\"volume\":\"12 1\",\"pages\":\"e60-e62\"},\"PeriodicalIF\":0.3000,\"publicationDate\":\"2023-11-10\",\"publicationTypes\":\"Journal Article\",\"fieldsOfStudy\":null,\"isOpenAccess\":false,\"openAccessPdf\":\"https://www.ncbi.nlm.nih.gov/pmc/articles/PMC10637853/pdf/\",\"citationCount\":\"0\",\"resultStr\":null,\"platform\":\"Semanticscholar\",\"paperid\":null,\"PeriodicalName\":\"Thoracic and Cardiovascular Surgeon Reports\",\"FirstCategoryId\":\"1085\",\"ListUrlMain\":\"https://doi.org/10.1055/a-2192-5909\",\"RegionNum\":0,\"RegionCategory\":null,\"ArticlePicture\":[],\"TitleCN\":null,\"AbstractTextCN\":null,\"PMCID\":null,\"EPubDate\":\"2023/1/1 0:00:00\",\"PubModel\":\"eCollection\",\"JCR\":\"Q4\",\"JCRName\":\"SURGERY\",\"Score\":null,\"Total\":0}","platform":"Semanticscholar","paperid":null,"PeriodicalName":"Thoracic and Cardiovascular Surgeon Reports","FirstCategoryId":"1085","ListUrlMain":"https://doi.org/10.1055/a-2192-5909","RegionNum":0,"RegionCategory":null,"ArticlePicture":[],"TitleCN":null,"AbstractTextCN":null,"PMCID":null,"EPubDate":"2023/1/1 0:00:00","PubModel":"eCollection","JCR":"Q4","JCRName":"SURGERY","Score":null,"Total":0}
引用次数: 0

摘要

背景对于严重的左主干冠状动脉疾病患者,手术重建术后会出现许多已知的并发症。病例描述:本病例报告重点介绍了一例在冠脉搭桥术后2年出现主动脉假性动脉瘤和夹层的患者的术前检查、手术入路和术后处理。结论冠状动脉旁路移植术(CABG)后并发主动脉假性动脉瘤合并升主动脉夹层是一种罕见的并发症,在文献中几乎没有报道。
本文章由计算机程序翻译,如有差异,请以英文原文为准。

Large Ascending Aortic Pseudoaneurysm with Focal Dissection after Coronary Artery Bypass Surgery.

Large Ascending Aortic Pseudoaneurysm with Focal Dissection after Coronary Artery Bypass Surgery.

Large Ascending Aortic Pseudoaneurysm with Focal Dissection after Coronary Artery Bypass Surgery.

Background  There are many known complications that occur after surgical revascularization for patients with significant left main coronary artery disease. Case Description  This case report highlights the preoperative workup, surgical approach, and postoperative management of a patient who presents with an aortic pseudoaneurysm and dissection 2 years after the index CABG. Conclusion  The development of an aortic pseudoaneurysm in combination with an ascending aortic dissection after prior coronary artery bypass grafting (CABG) is a rare compilation of complications that has scarcely been reported in the literature.

求助全文
通过发布文献求助,成功后即可免费获取论文全文。 去求助
来源期刊
自引率
0.00%
发文量
20
×
引用
GB/T 7714-2015
复制
MLA
复制
APA
复制
导出至
BibTeX EndNote RefMan NoteFirst NoteExpress
×
提示
您的信息不完整,为了账户安全,请先补充。
现在去补充
×
提示
您因"违规操作"
具体请查看互助需知
我知道了
×
提示
确定
请完成安全验证×
copy
已复制链接
快去分享给好友吧!
我知道了
右上角分享
点击右上角分享
0
联系我们:info@booksci.cn Book学术提供免费学术资源搜索服务,方便国内外学者检索中英文文献。致力于提供最便捷和优质的服务体验。 Copyright © 2023 布克学术 All rights reserved.
京ICP备2023020795号-1
ghs 京公网安备 11010802042870号
Book学术文献互助
Book学术文献互助群
群 号:604180095
Book学术官方微信