子宫畸形患者剖宫产后阴道分娩成功。

IF 0.2 Q4 OBSTETRICS & GYNECOLOGY
Case Reports in Perinatal Medicine Pub Date : 2023-09-04 eCollection Date: 2023-01-01 DOI:10.1515/crpm-2023-0005
Samantha Gobioff, Michael Plakogiannis, Amos Grünebaum
{"title":"子宫畸形患者剖宫产后阴道分娩成功。","authors":"Samantha Gobioff, Michael Plakogiannis, Amos Grünebaum","doi":"10.1515/crpm-2023-0005","DOIUrl":null,"url":null,"abstract":"<p><strong>Objectives: </strong>With increasing rates of cesarean delivery across the United States, a trial of labor after cesarean (TOLAC) is a reasonable alternative for qualified candidates. Although Müllerian anomalies are associated with a variety of adverse pregnancy outcomes, there is little existing data regarding TOLAC in these patients. We present a case of a patient with a didelphys uterus who achieved a successful vaginal birth after cesarean section (VBAC) in the setting of labor augmentation.</p><p><strong>Case presentation: </strong>Our patient is a 32-year-old G4P1021 (Gravida 4 Para 1,021-1 term delivery, 0 preterm deliveries, 2 abortions, 1 living offspring) who presented at 8 weeks of gestation with a known history of a didelphys uterus. Her obstetrical history was significant for a prior low-transverse cesarean section at term. All four of her pregnancies were located in the right uterine horn. At 39 weeks 3 days of gestation she presented in early labor and requested a TOLAC. She received an epidural, a cervical ripening balloon was placed, and she was started on pitocin. She pushed to deliver a viable infant. The patient's postpartum course was uncomplicated, and she was discharged home on postpartum day two.</p><p><strong>Conclusions: </strong>Müllerian anomalies are associated with several poor pregnancy outcomes including increased rates of PPROM, preterm delivery, FGR, and malpresentation necessitating a cesarean section. Our patient required augmentation of her labor but was ultimately able to achieve a successful VBAC with a healthy neonate. She represents an understudied population of patients with uterine anomalies who not only can have favorable pregnancy outcomes but may even be able to safely achieve a VBAC.</p>","PeriodicalId":9617,"journal":{"name":"Case Reports in Perinatal Medicine","volume":"23 1","pages":"20230005"},"PeriodicalIF":0.2000,"publicationDate":"2023-09-04","publicationTypes":"Journal Article","fieldsOfStudy":null,"isOpenAccess":false,"openAccessPdf":"https://www.ncbi.nlm.nih.gov/pmc/articles/PMC11616534/pdf/","citationCount":"0","resultStr":"{\"title\":\"A successful vaginal birth after cesarean in a patient with uterine didelphys.\",\"authors\":\"Samantha Gobioff, Michael Plakogiannis, Amos Grünebaum\",\"doi\":\"10.1515/crpm-2023-0005\",\"DOIUrl\":null,\"url\":null,\"abstract\":\"<p><strong>Objectives: </strong>With increasing rates of cesarean delivery across the United States, a trial of labor after cesarean (TOLAC) is a reasonable alternative for qualified candidates. Although Müllerian anomalies are associated with a variety of adverse pregnancy outcomes, there is little existing data regarding TOLAC in these patients. We present a case of a patient with a didelphys uterus who achieved a successful vaginal birth after cesarean section (VBAC) in the setting of labor augmentation.</p><p><strong>Case presentation: </strong>Our patient is a 32-year-old G4P1021 (Gravida 4 Para 1,021-1 term delivery, 0 preterm deliveries, 2 abortions, 1 living offspring) who presented at 8 weeks of gestation with a known history of a didelphys uterus. Her obstetrical history was significant for a prior low-transverse cesarean section at term. All four of her pregnancies were located in the right uterine horn. At 39 weeks 3 days of gestation she presented in early labor and requested a TOLAC. She received an epidural, a cervical ripening balloon was placed, and she was started on pitocin. She pushed to deliver a viable infant. The patient's postpartum course was uncomplicated, and she was discharged home on postpartum day two.</p><p><strong>Conclusions: </strong>Müllerian anomalies are associated with several poor pregnancy outcomes including increased rates of PPROM, preterm delivery, FGR, and malpresentation necessitating a cesarean section. Our patient required augmentation of her labor but was ultimately able to achieve a successful VBAC with a healthy neonate. She represents an understudied population of patients with uterine anomalies who not only can have favorable pregnancy outcomes but may even be able to safely achieve a VBAC.</p>\",\"PeriodicalId\":9617,\"journal\":{\"name\":\"Case Reports in Perinatal Medicine\",\"volume\":\"23 1\",\"pages\":\"20230005\"},\"PeriodicalIF\":0.2000,\"publicationDate\":\"2023-09-04\",\"publicationTypes\":\"Journal Article\",\"fieldsOfStudy\":null,\"isOpenAccess\":false,\"openAccessPdf\":\"https://www.ncbi.nlm.nih.gov/pmc/articles/PMC11616534/pdf/\",\"citationCount\":\"0\",\"resultStr\":null,\"platform\":\"Semanticscholar\",\"paperid\":null,\"PeriodicalName\":\"Case Reports in Perinatal Medicine\",\"FirstCategoryId\":\"1085\",\"ListUrlMain\":\"https://doi.org/10.1515/crpm-2023-0005\",\"RegionNum\":0,\"RegionCategory\":null,\"ArticlePicture\":[],\"TitleCN\":null,\"AbstractTextCN\":null,\"PMCID\":null,\"EPubDate\":\"2023/1/1 0:00:00\",\"PubModel\":\"eCollection\",\"JCR\":\"Q4\",\"JCRName\":\"OBSTETRICS & GYNECOLOGY\",\"Score\":null,\"Total\":0}","platform":"Semanticscholar","paperid":null,"PeriodicalName":"Case Reports in Perinatal Medicine","FirstCategoryId":"1085","ListUrlMain":"https://doi.org/10.1515/crpm-2023-0005","RegionNum":0,"RegionCategory":null,"ArticlePicture":[],"TitleCN":null,"AbstractTextCN":null,"PMCID":null,"EPubDate":"2023/1/1 0:00:00","PubModel":"eCollection","JCR":"Q4","JCRName":"OBSTETRICS & GYNECOLOGY","Score":null,"Total":0}
引用次数: 0

摘要

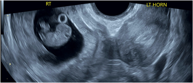
目的:随着美国剖宫产率的增加,剖宫产后分娩试验(TOLAC)是合格候选人的合理选择。尽管勒氏管异常与各种不良妊娠结局有关,但关于这些患者的TOLAC的现有数据很少。我们提出了一个病例的患者与双delphys子宫谁取得了成功的阴道分娩后剖宫产(VBAC)在设置的劳动增强。病例介绍:我们的患者是一名32岁的G4P1021(妊娠期第4段1021 -1例足月分娩,0例早产,2例流产,1例存活后代),在妊娠8周时出现了已知的双子宫病史。她的产科史对足月前的低横断面剖宫产有重要意义。她的四次妊娠均位于右侧子宫角。在妊娠第39周第3天,她出现了早期阵痛并要求进行TOLAC。她接受了硬膜外麻醉,放置了宫颈成熟气囊,并开始使用催产素。她努力分娩一个能存活的婴儿。患者的产后过程并不复杂,于产后第二天出院回家。结论: lerian异常与几种不良妊娠结局相关,包括PPROM、早产、FGR和需要剖宫产的畸形发生率增加。我们的病人需要增加她的劳动,但最终能够实现一个成功的VBAC与一个健康的新生儿。她代表了一个未被充分研究的子宫异常患者群体,他们不仅可以有良好的妊娠结局,甚至可以安全地实现VBAC。
本文章由计算机程序翻译,如有差异,请以英文原文为准。

A successful vaginal birth after cesarean in a patient with uterine didelphys.

A successful vaginal birth after cesarean in a patient with uterine didelphys.

Objectives: With increasing rates of cesarean delivery across the United States, a trial of labor after cesarean (TOLAC) is a reasonable alternative for qualified candidates. Although Müllerian anomalies are associated with a variety of adverse pregnancy outcomes, there is little existing data regarding TOLAC in these patients. We present a case of a patient with a didelphys uterus who achieved a successful vaginal birth after cesarean section (VBAC) in the setting of labor augmentation.

Case presentation: Our patient is a 32-year-old G4P1021 (Gravida 4 Para 1,021-1 term delivery, 0 preterm deliveries, 2 abortions, 1 living offspring) who presented at 8 weeks of gestation with a known history of a didelphys uterus. Her obstetrical history was significant for a prior low-transverse cesarean section at term. All four of her pregnancies were located in the right uterine horn. At 39 weeks 3 days of gestation she presented in early labor and requested a TOLAC. She received an epidural, a cervical ripening balloon was placed, and she was started on pitocin. She pushed to deliver a viable infant. The patient's postpartum course was uncomplicated, and she was discharged home on postpartum day two.

Conclusions: Müllerian anomalies are associated with several poor pregnancy outcomes including increased rates of PPROM, preterm delivery, FGR, and malpresentation necessitating a cesarean section. Our patient required augmentation of her labor but was ultimately able to achieve a successful VBAC with a healthy neonate. She represents an understudied population of patients with uterine anomalies who not only can have favorable pregnancy outcomes but may even be able to safely achieve a VBAC.

求助全文
通过发布文献求助,成功后即可免费获取论文全文。 去求助
来源期刊
Case Reports in Perinatal Medicine
Case Reports in Perinatal Medicine OBSTETRICS & GYNECOLOGY-
自引率
0.00%
发文量
37
期刊介绍: Case Reports in Perinatal Medicine is a double-blind peer-reviewed journal. The objective of the new journal is very similar to that of JPM. In addition to evidence-based studies, practitioners in clinical practice esteem especially exemplary reports of cases that reveal specific manifestations of diseases, its progress or its treatment. We consider case reports and series to be brief reports describing an isolated clinical case or a small number of cases. They may describe new or uncommon diagnoses, unusual outcomes or prognosis, new or infrequently used therapies and side effects of therapy not usually discovered in clinical trials. They represent the basic concept of experiences for studies on representative groups for further evidence-based research. The potential roles of case reports and case series are: Recognition and description of new diseases Detection of drug side effects (adverse or beneficial) Study of mechanisms of disease Medical education and audit Recognition of rare manifestations of disease.
×
引用
GB/T 7714-2015
复制
MLA
复制
APA
复制
导出至
BibTeX EndNote RefMan NoteFirst NoteExpress
×
提示
您的信息不完整,为了账户安全,请先补充。
现在去补充
×
提示
您因"违规操作"
具体请查看互助需知
我知道了
×
提示
确定
请完成安全验证×
copy
已复制链接
快去分享给好友吧!
我知道了
右上角分享
点击右上角分享
0
联系我们:info@booksci.cn Book学术提供免费学术资源搜索服务,方便国内外学者检索中英文文献。致力于提供最便捷和优质的服务体验。 Copyright © 2023 布克学术 All rights reserved.
京ICP备2023020795号-1
ghs 京公网安备 11010802042870号
Book学术文献互助
Book学术文献互助群
群 号:604180095
Book学术官方微信