在磁共振成像胆胰造影和对比增强肝胆相时代,肝胆闪烁扫描对胆总管囊肿的诊断价值:病例报告和综述。

IF 4.8 3区 工程技术 Q2 TRANSPORTATION
Maritime Economics & Logistics Pub Date : 2022-03-09 eCollection Date: 2022-03-01 DOI:10.1259/bjrcr.20210123
Tak Kwong Chan, Wing Hang Luk, Fung Him Ng, Rois L S Chan, Yan Ho Hui, Chung Yan Justin Chan, Wai Hung Cheung
{"title":"在磁共振成像胆胰造影和对比增强肝胆相时代,肝胆闪烁扫描对胆总管囊肿的诊断价值:病例报告和综述。","authors":"Tak Kwong Chan, Wing Hang Luk, Fung Him Ng, Rois L S Chan, Yan Ho Hui, Chung Yan Justin Chan, Wai Hung Cheung","doi":"10.1259/bjrcr.20210123","DOIUrl":null,"url":null,"abstract":"<p><strong>Objective: </strong>Choledochal cysts (CCs) represent cystic dilatations of the intra- or extrahepatic biliary tract. The diagnosis of CCs may not always be straightforward particularly for the intrahepatic subtype. Whereas the gold standard for diagnosing CCs is endoscopic retrograde cholangiopancreatography (ERCP), magnetic resonance cholangiopancreatography (MRCP) is commonly used as primary diagnostic tool for delineation of biliary pathologies including CCs.</p><p><strong>Methods: </strong>We report a case of cystic hepatic lesion near the confluence of bilateral intrahepatic ducts. MRCP shows direct anatomical communication between the lesion and the biliary tract, raising suspicion of a CC. Endoscopic ultrasound shows no communication between the lesion and biliary system. <sup>99m</sup>Tc-hepatic iminodiacetic acid scintigraphy (hepatobiliary scintigraphy) was subsequently performed, showing no tracer uptake in the concerned cystic hepatic lesion despite visualisation of gallbladder and transit of tracer into the intestine. Overall scintigraphic findings speak against a CC.</p><p><strong>Conclusion: </strong>The case showed conflicting anatomical findings of a CC on MRCP and endoscopic ultrasound. Hepatobiliary scintigraphy and hepatobiliary contrast MRI may both functionally demonstrate communication of a hepatic lesion with the biliary tract. But hepatobiliary scintigraphy offers the advantage of much higher hepatic extraction and hence higher resistance to competition from plasma bilirubin compared with hepatobiliary contrast MRI. The better pharmacokinetics of HIDA confer superior lesion contrast that may offset inferior image spatial resolution, in particular for large lesions and patients with hyperbilirubinaemia. Hepatobiliary scintigraphy should be considered a suitable functional diagnostic modality for CCs even in the era of magnetic resonance imaging with cholangiopancreatography and contrast-enhanced hepatobiliary phase.</p>","PeriodicalId":47368,"journal":{"name":"Maritime Economics & Logistics","volume":"5 1","pages":"20210123"},"PeriodicalIF":4.8000,"publicationDate":"2022-03-09","publicationTypes":"Journal Article","fieldsOfStudy":null,"isOpenAccess":false,"openAccessPdf":"https://www.ncbi.nlm.nih.gov/pmc/articles/PMC8906148/pdf/","citationCount":"0","resultStr":"{\"title\":\"The diagnostic value of hepatobiliary scintigraphy for choledochal cysts in the era of magnetic resonance imaging with cholangiopancreatography and contrast-enhanced hepatobiliary phase: a case report and review.\",\"authors\":\"Tak Kwong Chan, Wing Hang Luk, Fung Him Ng, Rois L S Chan, Yan Ho Hui, Chung Yan Justin Chan, Wai Hung Cheung\",\"doi\":\"10.1259/bjrcr.20210123\",\"DOIUrl\":null,\"url\":null,\"abstract\":\"<p><strong>Objective: </strong>Choledochal cysts (CCs) represent cystic dilatations of the intra- or extrahepatic biliary tract. The diagnosis of CCs may not always be straightforward particularly for the intrahepatic subtype. Whereas the gold standard for diagnosing CCs is endoscopic retrograde cholangiopancreatography (ERCP), magnetic resonance cholangiopancreatography (MRCP) is commonly used as primary diagnostic tool for delineation of biliary pathologies including CCs.</p><p><strong>Methods: </strong>We report a case of cystic hepatic lesion near the confluence of bilateral intrahepatic ducts. MRCP shows direct anatomical communication between the lesion and the biliary tract, raising suspicion of a CC. Endoscopic ultrasound shows no communication between the lesion and biliary system. <sup>99m</sup>Tc-hepatic iminodiacetic acid scintigraphy (hepatobiliary scintigraphy) was subsequently performed, showing no tracer uptake in the concerned cystic hepatic lesion despite visualisation of gallbladder and transit of tracer into the intestine. Overall scintigraphic findings speak against a CC.</p><p><strong>Conclusion: </strong>The case showed conflicting anatomical findings of a CC on MRCP and endoscopic ultrasound. Hepatobiliary scintigraphy and hepatobiliary contrast MRI may both functionally demonstrate communication of a hepatic lesion with the biliary tract. But hepatobiliary scintigraphy offers the advantage of much higher hepatic extraction and hence higher resistance to competition from plasma bilirubin compared with hepatobiliary contrast MRI. The better pharmacokinetics of HIDA confer superior lesion contrast that may offset inferior image spatial resolution, in particular for large lesions and patients with hyperbilirubinaemia. Hepatobiliary scintigraphy should be considered a suitable functional diagnostic modality for CCs even in the era of magnetic resonance imaging with cholangiopancreatography and contrast-enhanced hepatobiliary phase.</p>\",\"PeriodicalId\":47368,\"journal\":{\"name\":\"Maritime Economics & Logistics\",\"volume\":\"5 1\",\"pages\":\"20210123\"},\"PeriodicalIF\":4.8000,\"publicationDate\":\"2022-03-09\",\"publicationTypes\":\"Journal Article\",\"fieldsOfStudy\":null,\"isOpenAccess\":false,\"openAccessPdf\":\"https://www.ncbi.nlm.nih.gov/pmc/articles/PMC8906148/pdf/\",\"citationCount\":\"0\",\"resultStr\":null,\"platform\":\"Semanticscholar\",\"paperid\":null,\"PeriodicalName\":\"Maritime Economics & Logistics\",\"FirstCategoryId\":\"1085\",\"ListUrlMain\":\"https://doi.org/10.1259/bjrcr.20210123\",\"RegionNum\":3,\"RegionCategory\":\"工程技术\",\"ArticlePicture\":[],\"TitleCN\":null,\"AbstractTextCN\":null,\"PMCID\":null,\"EPubDate\":\"2022/3/1 0:00:00\",\"PubModel\":\"eCollection\",\"JCR\":\"Q2\",\"JCRName\":\"TRANSPORTATION\",\"Score\":null,\"Total\":0}","platform":"Semanticscholar","paperid":null,"PeriodicalName":"Maritime Economics & Logistics","FirstCategoryId":"1085","ListUrlMain":"https://doi.org/10.1259/bjrcr.20210123","RegionNum":3,"RegionCategory":"工程技术","ArticlePicture":[],"TitleCN":null,"AbstractTextCN":null,"PMCID":null,"EPubDate":"2022/3/1 0:00:00","PubModel":"eCollection","JCR":"Q2","JCRName":"TRANSPORTATION","Score":null,"Total":0}
引用次数: 0

摘要

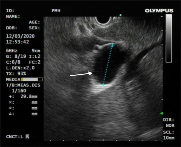
目的:胆总管囊肿(CC胆总管囊肿(CC)是肝内或肝外胆道的囊性扩张。CC的诊断并不总是很简单,尤其是肝内亚型。诊断 CCs 的金标准是内镜逆行胰胆管造影术(ERCP),而磁共振胰胆管造影术(MRCP)通常被用作划定包括 CCs 在内的胆道病变的主要诊断工具:我们报告了一例双侧肝内导管汇合处附近的肝囊性病变。MRCP显示病灶与胆道之间有直接的解剖沟通,因此怀疑是CC。内镜超声显示病灶和胆道系统之间没有沟通。随后进行了 99mTc 肝亚胺二乙酸闪烁照相(肝胆闪烁照相),尽管可以看到胆囊并有示踪剂进入肠道,但显示相关肝囊肿病灶没有示踪剂摄取。总的来说,闪烁照相检查结果与CC不符:该病例在 MRCP 和内镜超声检查中发现的 CC 解剖结果相互矛盾。肝胆闪烁扫描和肝胆造影 MRI 均可在功能上显示肝脏病变与胆道的沟通。但与肝胆造影剂磁共振成像相比,肝胆闪烁成像的优势在于肝脏提取率更高,因此抗血浆胆红素竞争的能力更强。HIDA 更好的药代动力学使病变对比度更高,这可能会抵消图像空间分辨率的劣势,尤其是对于大病变和高胆红素血症患者。即使在磁共振成像结合胆胰造影和造影剂增强肝胆相的时代,肝胆闪烁扫描仍应被视为CC的合适功能诊断方式。
本文章由计算机程序翻译,如有差异,请以英文原文为准。

The diagnostic value of hepatobiliary scintigraphy for choledochal cysts in the era of magnetic resonance imaging with cholangiopancreatography and contrast-enhanced hepatobiliary phase: a case report and review.

The diagnostic value of hepatobiliary scintigraphy for choledochal cysts in the era of magnetic resonance imaging with cholangiopancreatography and contrast-enhanced hepatobiliary phase: a case report and review.

The diagnostic value of hepatobiliary scintigraphy for choledochal cysts in the era of magnetic resonance imaging with cholangiopancreatography and contrast-enhanced hepatobiliary phase: a case report and review.

The diagnostic value of hepatobiliary scintigraphy for choledochal cysts in the era of magnetic resonance imaging with cholangiopancreatography and contrast-enhanced hepatobiliary phase: a case report and review.

Objective: Choledochal cysts (CCs) represent cystic dilatations of the intra- or extrahepatic biliary tract. The diagnosis of CCs may not always be straightforward particularly for the intrahepatic subtype. Whereas the gold standard for diagnosing CCs is endoscopic retrograde cholangiopancreatography (ERCP), magnetic resonance cholangiopancreatography (MRCP) is commonly used as primary diagnostic tool for delineation of biliary pathologies including CCs.

Methods: We report a case of cystic hepatic lesion near the confluence of bilateral intrahepatic ducts. MRCP shows direct anatomical communication between the lesion and the biliary tract, raising suspicion of a CC. Endoscopic ultrasound shows no communication between the lesion and biliary system. 99mTc-hepatic iminodiacetic acid scintigraphy (hepatobiliary scintigraphy) was subsequently performed, showing no tracer uptake in the concerned cystic hepatic lesion despite visualisation of gallbladder and transit of tracer into the intestine. Overall scintigraphic findings speak against a CC.

Conclusion: The case showed conflicting anatomical findings of a CC on MRCP and endoscopic ultrasound. Hepatobiliary scintigraphy and hepatobiliary contrast MRI may both functionally demonstrate communication of a hepatic lesion with the biliary tract. But hepatobiliary scintigraphy offers the advantage of much higher hepatic extraction and hence higher resistance to competition from plasma bilirubin compared with hepatobiliary contrast MRI. The better pharmacokinetics of HIDA confer superior lesion contrast that may offset inferior image spatial resolution, in particular for large lesions and patients with hyperbilirubinaemia. Hepatobiliary scintigraphy should be considered a suitable functional diagnostic modality for CCs even in the era of magnetic resonance imaging with cholangiopancreatography and contrast-enhanced hepatobiliary phase.

求助全文
通过发布文献求助,成功后即可免费获取论文全文。 去求助
来源期刊
CiteScore
8.00
自引率
13.00%
发文量
46
期刊介绍: Maritime Economics & Logistics (MEL) is a peer-reviewed quarterly scientific publication committed to the methodological analysis of global supply chains; that is, ocean transportation, ports, marine terminals and maritime logistics. Papers are expected to be thoroughly researched, scientifically rigorous, and at the same time, of direct applicability and usefulness to practitioners and policy makers alike. All contributions are subject to strict peer-review. Often, MEL includes a special section under the heading ''Policy Perspectives''. Papers here, often solicited ones, emphasise strategic policy implications rather than scientific rigour in a strict sense. Papers in Policy Perspectives are subject to lighter peer review; this results in speedier publication. Papers submitted to MEL are submitted for both sections at the discretion of the Editors. Authors not wishing to have their papers considered for Policy Perspectives should state this in the Cover Letter.
×
引用
GB/T 7714-2015
复制
MLA
复制
APA
复制
导出至
BibTeX EndNote RefMan NoteFirst NoteExpress
×
提示
您的信息不完整,为了账户安全,请先补充。
现在去补充
×
提示
您因"违规操作"
具体请查看互助需知
我知道了
×
提示
确定
请完成安全验证×
copy
已复制链接
快去分享给好友吧!
我知道了
右上角分享
点击右上角分享
0
联系我们:info@booksci.cn Book学术提供免费学术资源搜索服务,方便国内外学者检索中英文文献。致力于提供最便捷和优质的服务体验。 Copyright © 2023 布克学术 All rights reserved.
京ICP备2023020795号-1
ghs 京公网安备 11010802042870号
Book学术文献互助
Book学术文献互助群
群 号:604180095
Book学术官方微信