良性活检结果对基于人工智能的乳腺 X 射线筛查癌症检测器的影响:回顾性病例对照研究

IF 2.1 2区 社会学 Q2 POLITICAL SCIENCE
Athanasios Zouzos, Aleksandra Milovanovic, Karin Dembrower, Fredrik Strand
{"title":"良性活检结果对基于人工智能的乳腺 X 射线筛查癌症检测器的影响:回顾性病例对照研究","authors":"Athanasios Zouzos, Aleksandra Milovanovic, Karin Dembrower, Fredrik Strand","doi":"10.2196/48123","DOIUrl":null,"url":null,"abstract":"<p><strong>Background: </strong>Artificial intelligence (AI)-based cancer detectors (CAD) for mammography are starting to be used for breast cancer screening in radiology departments. It is important to understand how AI CAD systems react to benign lesions, especially those that have been subjected to biopsy.</p><p><strong>Objective: </strong>Our goal was to corroborate the hypothesis that women with previous benign biopsy and cytology assessments would subsequently present increased AI CAD abnormality scores even though they remained healthy.</p><p><strong>Methods: </strong>This is a retrospective study applying a commercial AI CAD system (Insight MMG, version 1.1.4.3; Lunit Inc) to a cancer-enriched mammography screening data set of 10,889 women (median age 56, range 40-74 years). The AI CAD generated a continuous prediction score for tumor suspicion between 0.00 and 1.00, where 1.00 represented the highest level of suspicion. A binary read (flagged or not flagged) was defined on the basis of a predetermined cutoff threshold (0.40). The flagged median and proportion of AI scores were calculated for women who were healthy, those who had a benign biopsy finding, and those who were diagnosed with breast cancer. For women with a benign biopsy finding, the interval between mammography and the biopsy was used for stratification of AI scores. The effect of increasing age was examined using subgroup analysis and regression modeling.</p><p><strong>Results: </strong>Of a total of 10,889 women, 234 had a benign biopsy finding before or after screening. The proportions of flagged healthy women were 3.5%, 11%, and 84% for healthy women without a benign biopsy finding, those with a benign biopsy finding, and women with breast cancer, respectively (P<.001). For the 8307 women with complete information, radiologist 1, radiologist 2, and the AI CAD system flagged 8.5%, 6.8%, and 8.5% of examinations of women who had a prior benign biopsy finding. The AI score correlated only with increasing age of the women in the cancer group (P=.01).</p><p><strong>Conclusions: </strong>Compared to healthy women without a biopsy, the examined AI CAD system flagged a much larger proportion of women who had or would have a benign biopsy finding based on a radiologist's decision. However, the flagging rate was not higher than that for radiologists. Further research should be focused on training the AI CAD system taking prior biopsy information into account.</p>","PeriodicalId":47578,"journal":{"name":"Journal of Public Policy","volume":"5 1","pages":"e48123"},"PeriodicalIF":2.1000,"publicationDate":"2023-08-31","publicationTypes":"Journal Article","fieldsOfStudy":null,"isOpenAccess":false,"openAccessPdf":"https://www.ncbi.nlm.nih.gov/pmc/articles/PMC11041399/pdf/","citationCount":"0","resultStr":"{\"title\":\"Effect of Benign Biopsy Findings on an Artificial Intelligence-Based Cancer Detector in Screening Mammography: Retrospective Case-Control Study.\",\"authors\":\"Athanasios Zouzos, Aleksandra Milovanovic, Karin Dembrower, Fredrik Strand\",\"doi\":\"10.2196/48123\",\"DOIUrl\":null,\"url\":null,\"abstract\":\"<p><strong>Background: </strong>Artificial intelligence (AI)-based cancer detectors (CAD) for mammography are starting to be used for breast cancer screening in radiology departments. It is important to understand how AI CAD systems react to benign lesions, especially those that have been subjected to biopsy.</p><p><strong>Objective: </strong>Our goal was to corroborate the hypothesis that women with previous benign biopsy and cytology assessments would subsequently present increased AI CAD abnormality scores even though they remained healthy.</p><p><strong>Methods: </strong>This is a retrospective study applying a commercial AI CAD system (Insight MMG, version 1.1.4.3; Lunit Inc) to a cancer-enriched mammography screening data set of 10,889 women (median age 56, range 40-74 years). The AI CAD generated a continuous prediction score for tumor suspicion between 0.00 and 1.00, where 1.00 represented the highest level of suspicion. A binary read (flagged or not flagged) was defined on the basis of a predetermined cutoff threshold (0.40). The flagged median and proportion of AI scores were calculated for women who were healthy, those who had a benign biopsy finding, and those who were diagnosed with breast cancer. For women with a benign biopsy finding, the interval between mammography and the biopsy was used for stratification of AI scores. The effect of increasing age was examined using subgroup analysis and regression modeling.</p><p><strong>Results: </strong>Of a total of 10,889 women, 234 had a benign biopsy finding before or after screening. The proportions of flagged healthy women were 3.5%, 11%, and 84% for healthy women without a benign biopsy finding, those with a benign biopsy finding, and women with breast cancer, respectively (P<.001). For the 8307 women with complete information, radiologist 1, radiologist 2, and the AI CAD system flagged 8.5%, 6.8%, and 8.5% of examinations of women who had a prior benign biopsy finding. The AI score correlated only with increasing age of the women in the cancer group (P=.01).</p><p><strong>Conclusions: </strong>Compared to healthy women without a biopsy, the examined AI CAD system flagged a much larger proportion of women who had or would have a benign biopsy finding based on a radiologist's decision. However, the flagging rate was not higher than that for radiologists. Further research should be focused on training the AI CAD system taking prior biopsy information into account.</p>\",\"PeriodicalId\":47578,\"journal\":{\"name\":\"Journal of Public Policy\",\"volume\":\"5 1\",\"pages\":\"e48123\"},\"PeriodicalIF\":2.1000,\"publicationDate\":\"2023-08-31\",\"publicationTypes\":\"Journal Article\",\"fieldsOfStudy\":null,\"isOpenAccess\":false,\"openAccessPdf\":\"https://www.ncbi.nlm.nih.gov/pmc/articles/PMC11041399/pdf/\",\"citationCount\":\"0\",\"resultStr\":null,\"platform\":\"Semanticscholar\",\"paperid\":null,\"PeriodicalName\":\"Journal of Public Policy\",\"FirstCategoryId\":\"1085\",\"ListUrlMain\":\"https://doi.org/10.2196/48123\",\"RegionNum\":2,\"RegionCategory\":\"社会学\",\"ArticlePicture\":[],\"TitleCN\":null,\"AbstractTextCN\":null,\"PMCID\":null,\"EPubDate\":\"\",\"PubModel\":\"\",\"JCR\":\"Q2\",\"JCRName\":\"POLITICAL SCIENCE\",\"Score\":null,\"Total\":0}","platform":"Semanticscholar","paperid":null,"PeriodicalName":"Journal of Public Policy","FirstCategoryId":"1085","ListUrlMain":"https://doi.org/10.2196/48123","RegionNum":2,"RegionCategory":"社会学","ArticlePicture":[],"TitleCN":null,"AbstractTextCN":null,"PMCID":null,"EPubDate":"","PubModel":"","JCR":"Q2","JCRName":"POLITICAL SCIENCE","Score":null,"Total":0}
引用次数: 0

摘要

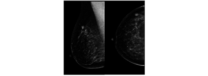
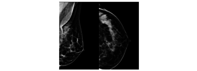
背景:基于人工智能(AI)的乳腺 X 射线摄影癌症检测器(CAD)已开始用于放射科的乳腺癌筛查。了解人工智能 CAD 系统对良性病变的反应,尤其是那些已经接受过活检的良性病变的反应非常重要:我们的目标是证实这样一个假设,即既往接受过良性活检和细胞学评估的女性,即使仍然健康,随后也会出现 AI CAD 异常评分增加的情况:这是一项回顾性研究,将商用人工智能计算机辅助诊断系统(Insight MMG,版本 1.1.4.3;Lunit Inc)应用于包含 10,889 名女性(中位年龄 56 岁,年龄范围 40-74 岁)的癌症乳腺 X 射线筛查数据集。人工智能计算机辅助诊断生成了一个连续的肿瘤疑似度预测分数,该分数介于 0.00 和 1.00 之间,其中 1.00 代表最高疑似度。二进制读数(标记或未标记)是根据预先确定的临界值(0.40)来定义的。计算了健康女性、良性活检结果女性和确诊为乳腺癌女性的标记中位数和 AI 评分比例。对于有良性活检结果的妇女,AI 评分的分层采用了乳房 X 光检查和活检之间的间隔时间。通过亚组分析和回归模型研究了年龄增长的影响:结果:在总共 10889 名妇女中,有 234 名妇女在筛查前后有良性活检结果。在没有良性活检结果的健康女性、有良性活检结果的健康女性和患有乳腺癌的女性中,被标记为健康女性的比例分别为 3.5%、11% 和 84%(PC 结论:与没有良性活检结果的健康女性相比,有良性活检结果的健康女性所占比例更高:与未进行活检的健康女性相比,经检查的人工智能 CAD 系统根据放射科医生的决定,标记出已经或将要进行良性活检的女性比例要高得多。不过,标记率并不比放射科医生高。进一步研究的重点应该是训练人工智能计算机辅助诊断系统,将之前的活检信息考虑在内。
本文章由计算机程序翻译,如有差异,请以英文原文为准。

Effect of Benign Biopsy Findings on an Artificial Intelligence-Based Cancer Detector in Screening Mammography: Retrospective Case-Control Study.

Effect of Benign Biopsy Findings on an Artificial Intelligence-Based Cancer Detector in Screening Mammography: Retrospective Case-Control Study.

Effect of Benign Biopsy Findings on an Artificial Intelligence-Based Cancer Detector in Screening Mammography: Retrospective Case-Control Study.

Effect of Benign Biopsy Findings on an Artificial Intelligence-Based Cancer Detector in Screening Mammography: Retrospective Case-Control Study.

Background: Artificial intelligence (AI)-based cancer detectors (CAD) for mammography are starting to be used for breast cancer screening in radiology departments. It is important to understand how AI CAD systems react to benign lesions, especially those that have been subjected to biopsy.

Objective: Our goal was to corroborate the hypothesis that women with previous benign biopsy and cytology assessments would subsequently present increased AI CAD abnormality scores even though they remained healthy.

Methods: This is a retrospective study applying a commercial AI CAD system (Insight MMG, version 1.1.4.3; Lunit Inc) to a cancer-enriched mammography screening data set of 10,889 women (median age 56, range 40-74 years). The AI CAD generated a continuous prediction score for tumor suspicion between 0.00 and 1.00, where 1.00 represented the highest level of suspicion. A binary read (flagged or not flagged) was defined on the basis of a predetermined cutoff threshold (0.40). The flagged median and proportion of AI scores were calculated for women who were healthy, those who had a benign biopsy finding, and those who were diagnosed with breast cancer. For women with a benign biopsy finding, the interval between mammography and the biopsy was used for stratification of AI scores. The effect of increasing age was examined using subgroup analysis and regression modeling.

Results: Of a total of 10,889 women, 234 had a benign biopsy finding before or after screening. The proportions of flagged healthy women were 3.5%, 11%, and 84% for healthy women without a benign biopsy finding, those with a benign biopsy finding, and women with breast cancer, respectively (P<.001). For the 8307 women with complete information, radiologist 1, radiologist 2, and the AI CAD system flagged 8.5%, 6.8%, and 8.5% of examinations of women who had a prior benign biopsy finding. The AI score correlated only with increasing age of the women in the cancer group (P=.01).

Conclusions: Compared to healthy women without a biopsy, the examined AI CAD system flagged a much larger proportion of women who had or would have a benign biopsy finding based on a radiologist's decision. However, the flagging rate was not higher than that for radiologists. Further research should be focused on training the AI CAD system taking prior biopsy information into account.

求助全文
通过发布文献求助,成功后即可免费获取论文全文。 去求助
来源期刊
CiteScore
4.40
自引率
8.30%
发文量
38
期刊介绍: The Journal of Public Policy applies social science theories and concepts to significant political, economic and social issues and to the ways in which public policies are made. Its articles deal with topics of concern to public policy scholars in America, Europe, Japan and other advanced industrial nations. The journal often publishes articles that cut across disciplines, such as environmental issues, international political economy, regulatory policy and European Union processes. Its peer reviewers come from up to a dozen social science disciplines and countries across three continents, thus ensuring both analytic rigour and accuracy in reference to national and policy context.
×
引用
GB/T 7714-2015
复制
MLA
复制
APA
复制
导出至
BibTeX EndNote RefMan NoteFirst NoteExpress
×
提示
您的信息不完整,为了账户安全,请先补充。
现在去补充
×
提示
您因"违规操作"
具体请查看互助需知
我知道了
×
提示
确定
请完成安全验证×
copy
已复制链接
快去分享给好友吧!
我知道了
右上角分享
点击右上角分享
0
联系我们:info@booksci.cn Book学术提供免费学术资源搜索服务,方便国内外学者检索中英文文献。致力于提供最便捷和优质的服务体验。 Copyright © 2023 布克学术 All rights reserved.
京ICP备2023020795号-1
ghs 京公网安备 11010802042870号
Book学术文献互助
Book学术文献互助群
群 号:604180095
Book学术官方微信