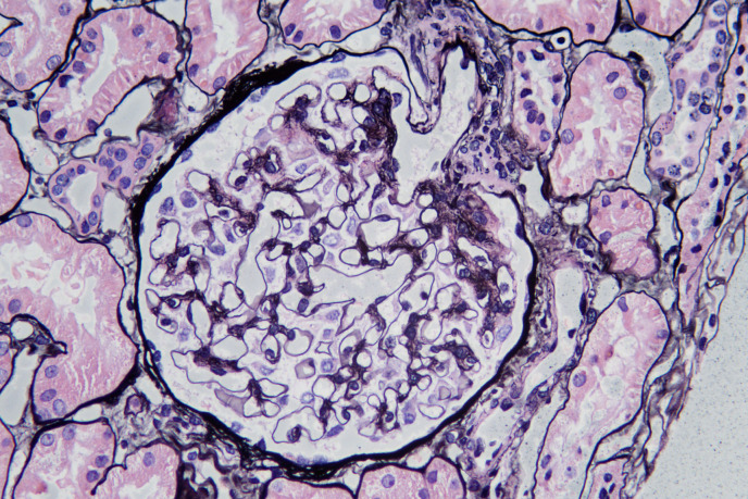
成人节段性膜性肾小球病变。

IF 1.4 2区 社会学 Q2 SOCIOLOGY
Theory and Society Pub Date : 2023-08-08 eCollection Date: 2023-12-01 DOI:10.1159/000533294
Shuangshuang Zhu, Xiaoting Liu, Shuling Yue, Bei Luo, Zhen Song, Xiaomeng Xu, Lin Wang, Xiaotao Hou, Kongshan Li, Qiming Liang, Zheya Zhou, Wenfang Chen, Lei Zheng
{"title":"成人节段性膜性肾小球病变。","authors":"Shuangshuang Zhu, Xiaoting Liu, Shuling Yue, Bei Luo, Zhen Song, Xiaomeng Xu, Lin Wang, Xiaotao Hou, Kongshan Li, Qiming Liang, Zheya Zhou, Wenfang Chen, Lei Zheng","doi":"10.1159/000533294","DOIUrl":null,"url":null,"abstract":"<p><strong>Introduction: </strong>The clinicopathological features of segmental membranous glomerulopathy (SMGN) have not been well characterized. The aim of this study was to investigate the prevalence and clinicopathological features of SMGN in adults.</p><p><strong>Methods: </strong>Adult patients with biopsy-confirmed SMGN in the native kidney at our center between January 2017 to September 2020 were identified. The clinicopathological features of SMGN were collected. The glomerular deposition of IgG subclasses, M-type phospholipase A2 receptor 1 (PLA2R), thrombospondin type 1 domain-containing 7A (THSD7A), and neural epidermal growth factor-like 1 protein (NELL1) were tested. Clinical and pathologic features were comparable between NELL1-positive and NELL1-negative SMGN.</p><p><strong>Results: </strong>A total of 167 patients with biopsy-proven SMGN were enrolled. During the same period, 32,640 (33.0%) out of 98,939 renal biopsies were diagnosed with membranous nephropathy (MN) in adults. SMGN accounted for 0.17% of total kidney biopsies and 0.51% of MN in adults. One hundred and fifty (89.8%) cases were isolated SMGN, and 17 (10.2%) cases were complicated with other kidney disease. Clinically, the median age of isolated SMGN patients was 41.5 years, with female (74%) predominance, and 33.1% had full nephrotic syndrome. Pathologically, IgG1 was the dominant subclass (92.5%), followed by IgG4 (45.0%). PLA2R and THSD7A staining were done in 142 and 136 isolated SMGN cases, respectively, in which, all the cases showed negative. NELL1 staining was done in 135 isolated SMGN cases; 58 cases (43.0%) showed positive. Fifty-eight patients (41.1%) had diffuse (≥90%) foot process effacement, and 119 patients (83.8%) had either stage I (38.0%) or stage II (45.8%) membranous alterations in patients with SMGN. Most patients with NELL1-positive SMGN were female. Patients with NELL1-positive SMGN were more likely with lower prevalence of full nephrotic syndrome than NELL1-negative SMGN.</p><p><strong>Conclusions: </strong>SMGN is a relatively rare pathological type. Majority of patients with isolated SMGN were female, with a median age of 41.5 years, 33.1% had full nephrotic syndrome, absence of PLA2R and THSD7A, 43.0% with NELL1-positive, and mainly stage I or II MN (83.8%). NELL1 is the major target antigen of SMGN in adults.</p>","PeriodicalId":48137,"journal":{"name":"Theory and Society","volume":"52 1","pages":"507-516"},"PeriodicalIF":1.4000,"publicationDate":"2023-08-08","publicationTypes":"Journal Article","fieldsOfStudy":null,"isOpenAccess":false,"openAccessPdf":"https://www.ncbi.nlm.nih.gov/pmc/articles/PMC10712984/pdf/","citationCount":"0","resultStr":"{\"title\":\"Segmental Membranous Glomerulopathy in Adults.\",\"authors\":\"Shuangshuang Zhu, Xiaoting Liu, Shuling Yue, Bei Luo, Zhen Song, Xiaomeng Xu, Lin Wang, Xiaotao Hou, Kongshan Li, Qiming Liang, Zheya Zhou, Wenfang Chen, Lei Zheng\",\"doi\":\"10.1159/000533294\",\"DOIUrl\":null,\"url\":null,\"abstract\":\"<p><strong>Introduction: </strong>The clinicopathological features of segmental membranous glomerulopathy (SMGN) have not been well characterized. The aim of this study was to investigate the prevalence and clinicopathological features of SMGN in adults.</p><p><strong>Methods: </strong>Adult patients with biopsy-confirmed SMGN in the native kidney at our center between January 2017 to September 2020 were identified. The clinicopathological features of SMGN were collected. The glomerular deposition of IgG subclasses, M-type phospholipase A2 receptor 1 (PLA2R), thrombospondin type 1 domain-containing 7A (THSD7A), and neural epidermal growth factor-like 1 protein (NELL1) were tested. Clinical and pathologic features were comparable between NELL1-positive and NELL1-negative SMGN.</p><p><strong>Results: </strong>A total of 167 patients with biopsy-proven SMGN were enrolled. During the same period, 32,640 (33.0%) out of 98,939 renal biopsies were diagnosed with membranous nephropathy (MN) in adults. SMGN accounted for 0.17% of total kidney biopsies and 0.51% of MN in adults. One hundred and fifty (89.8%) cases were isolated SMGN, and 17 (10.2%) cases were complicated with other kidney disease. Clinically, the median age of isolated SMGN patients was 41.5 years, with female (74%) predominance, and 33.1% had full nephrotic syndrome. Pathologically, IgG1 was the dominant subclass (92.5%), followed by IgG4 (45.0%). PLA2R and THSD7A staining were done in 142 and 136 isolated SMGN cases, respectively, in which, all the cases showed negative. NELL1 staining was done in 135 isolated SMGN cases; 58 cases (43.0%) showed positive. Fifty-eight patients (41.1%) had diffuse (≥90%) foot process effacement, and 119 patients (83.8%) had either stage I (38.0%) or stage II (45.8%) membranous alterations in patients with SMGN. Most patients with NELL1-positive SMGN were female. Patients with NELL1-positive SMGN were more likely with lower prevalence of full nephrotic syndrome than NELL1-negative SMGN.</p><p><strong>Conclusions: </strong>SMGN is a relatively rare pathological type. Majority of patients with isolated SMGN were female, with a median age of 41.5 years, 33.1% had full nephrotic syndrome, absence of PLA2R and THSD7A, 43.0% with NELL1-positive, and mainly stage I or II MN (83.8%). NELL1 is the major target antigen of SMGN in adults.</p>\",\"PeriodicalId\":48137,\"journal\":{\"name\":\"Theory and Society\",\"volume\":\"52 1\",\"pages\":\"507-516\"},\"PeriodicalIF\":1.4000,\"publicationDate\":\"2023-08-08\",\"publicationTypes\":\"Journal Article\",\"fieldsOfStudy\":null,\"isOpenAccess\":false,\"openAccessPdf\":\"https://www.ncbi.nlm.nih.gov/pmc/articles/PMC10712984/pdf/\",\"citationCount\":\"0\",\"resultStr\":null,\"platform\":\"Semanticscholar\",\"paperid\":null,\"PeriodicalName\":\"Theory and Society\",\"FirstCategoryId\":\"3\",\"ListUrlMain\":\"https://doi.org/10.1159/000533294\",\"RegionNum\":2,\"RegionCategory\":\"社会学\",\"ArticlePicture\":[],\"TitleCN\":null,\"AbstractTextCN\":null,\"PMCID\":null,\"EPubDate\":\"2023/12/1 0:00:00\",\"PubModel\":\"eCollection\",\"JCR\":\"Q2\",\"JCRName\":\"SOCIOLOGY\",\"Score\":null,\"Total\":0}","platform":"Semanticscholar","paperid":null,"PeriodicalName":"Theory and Society","FirstCategoryId":"3","ListUrlMain":"https://doi.org/10.1159/000533294","RegionNum":2,"RegionCategory":"社会学","ArticlePicture":[],"TitleCN":null,"AbstractTextCN":null,"PMCID":null,"EPubDate":"2023/12/1 0:00:00","PubModel":"eCollection","JCR":"Q2","JCRName":"SOCIOLOGY","Score":null,"Total":0}
引用次数: 0

摘要

简介节段性膜性肾小球病变(SMGN)的临床病理特征尚未得到很好的描述。本研究旨在调查成人SMGN的发病率和临床病理特征:方法:对2017年1月至2020年9月期间本中心经活检证实的原肾SMGN成人患者进行鉴定。收集SMGN的临床病理特征。检测了IgG亚类、M型磷脂酶A2受体1(PLA2R)、含凝血酶原1型结构域的7A(THSD7A)和神经表皮生长因子样1蛋白(NELL1)的肾小球沉积情况。NELL1阳性和NELL1阴性SMGN的临床和病理特征具有可比性:共有167名经活检证实的SMGN患者入选。同期,在98,939例肾脏活检中,有32,640例(33.0%)被诊断为成人膜性肾病(MN)。SMGN占肾活检总数的0.17%,占成人MN的0.51%。150例(89.8%)为孤立的SMGN,17例(10.2%)并发其他肾脏疾病。临床上,孤立型 SMGN 患者的中位年龄为 41.5 岁,女性(74%)居多,33.1% 患有完全性肾病综合征。病理上,IgG1 是最主要的亚类(92.5%),其次是 IgG4(45.0%)。分别对 142 例和 136 例分离出的 SMGN 进行了 PLA2R 和 THSD7A 染色,结果显示所有病例均为阴性。对 135 例分离型 SMGN 进行了 NELL1 染色,其中 58 例(43.0%)呈阳性。58例(41.1%)患者有弥漫性(≥90%)足突外翻,119例(83.8%)SMGN患者有I期(38.0%)或II期(45.8%)膜性改变。大多数NELL1阳性SMGN患者为女性。与NELL1阴性的SMGN患者相比,NELL1阳性的SMGN患者更有可能患有肾病综合征:结论:SMGN是一种相对罕见的病理类型。大多数孤立性 SMGN 患者为女性,中位年龄为 41.5 岁,33.1% 患有完全性肾病综合征,不存在 PLA2R 和 THSD7A,43.0% NELL1 阳性,主要为 I 期或 II 期 MN(83.8%)。NELL1是成人SMGN的主要靶抗原。
本文章由计算机程序翻译,如有差异,请以英文原文为准。

Segmental Membranous Glomerulopathy in Adults.

Segmental Membranous Glomerulopathy in Adults.

Segmental Membranous Glomerulopathy in Adults.

Segmental Membranous Glomerulopathy in Adults.

Introduction: The clinicopathological features of segmental membranous glomerulopathy (SMGN) have not been well characterized. The aim of this study was to investigate the prevalence and clinicopathological features of SMGN in adults.

Methods: Adult patients with biopsy-confirmed SMGN in the native kidney at our center between January 2017 to September 2020 were identified. The clinicopathological features of SMGN were collected. The glomerular deposition of IgG subclasses, M-type phospholipase A2 receptor 1 (PLA2R), thrombospondin type 1 domain-containing 7A (THSD7A), and neural epidermal growth factor-like 1 protein (NELL1) were tested. Clinical and pathologic features were comparable between NELL1-positive and NELL1-negative SMGN.

Results: A total of 167 patients with biopsy-proven SMGN were enrolled. During the same period, 32,640 (33.0%) out of 98,939 renal biopsies were diagnosed with membranous nephropathy (MN) in adults. SMGN accounted for 0.17% of total kidney biopsies and 0.51% of MN in adults. One hundred and fifty (89.8%) cases were isolated SMGN, and 17 (10.2%) cases were complicated with other kidney disease. Clinically, the median age of isolated SMGN patients was 41.5 years, with female (74%) predominance, and 33.1% had full nephrotic syndrome. Pathologically, IgG1 was the dominant subclass (92.5%), followed by IgG4 (45.0%). PLA2R and THSD7A staining were done in 142 and 136 isolated SMGN cases, respectively, in which, all the cases showed negative. NELL1 staining was done in 135 isolated SMGN cases; 58 cases (43.0%) showed positive. Fifty-eight patients (41.1%) had diffuse (≥90%) foot process effacement, and 119 patients (83.8%) had either stage I (38.0%) or stage II (45.8%) membranous alterations in patients with SMGN. Most patients with NELL1-positive SMGN were female. Patients with NELL1-positive SMGN were more likely with lower prevalence of full nephrotic syndrome than NELL1-negative SMGN.

Conclusions: SMGN is a relatively rare pathological type. Majority of patients with isolated SMGN were female, with a median age of 41.5 years, 33.1% had full nephrotic syndrome, absence of PLA2R and THSD7A, 43.0% with NELL1-positive, and mainly stage I or II MN (83.8%). NELL1 is the major target antigen of SMGN in adults.

求助全文
通过发布文献求助,成功后即可免费获取论文全文。 去求助
来源期刊
Theory and Society
Theory and Society SOCIOLOGY-
CiteScore
6.30
自引率
6.90%
发文量
31
期刊介绍: Theory and Society is a forum for the international community of scholars that publishes theoretically-informed analyses of social processes. It opens its pages to authors working at the frontiers of social analysis, regardless of discipline. Its subject matter ranges from prehistory to contemporary affairs, from treatments of single individuals and national societies to world culture, from discussions of theory to methodological critique, from First World to Third World - but always in the effort to bring together theory, criticism and concrete observation.
×
引用
GB/T 7714-2015
复制
MLA
复制
APA
复制
导出至
BibTeX EndNote RefMan NoteFirst NoteExpress
×
提示
您的信息不完整,为了账户安全,请先补充。
现在去补充
×
提示
您因"违规操作"
具体请查看互助需知
我知道了
×
提示
确定
请完成安全验证×
copy
已复制链接
快去分享给好友吧!
我知道了
右上角分享
点击右上角分享
0
联系我们:info@booksci.cn Book学术提供免费学术资源搜索服务,方便国内外学者检索中英文文献。致力于提供最便捷和优质的服务体验。 Copyright © 2023 布克学术 All rights reserved.
京ICP备2023020795号-1
ghs 京公网安备 11010802042870号
Book学术文献互助
Book学术文献互助群
群 号:604180095
Book学术官方微信