囊性骶尾畸胎瘤的产前和组织学诊断。临床病例及文献复习。

IF 0.2 Q4 OBSTETRICS & GYNECOLOGY
Case Reports in Perinatal Medicine Pub Date : 2023-01-11 eCollection Date: 2023-01-01 DOI:10.1515/crpm-2022-0025
Egle Savukyne, Saule Krzconaviciute, Marija Vaitkeviciute, Egle Machtejeviene, Ieva Rubaviciute
{"title":"囊性骶尾畸胎瘤的产前和组织学诊断。临床病例及文献复习。","authors":"Egle Savukyne, Saule Krzconaviciute, Marija Vaitkeviciute, Egle Machtejeviene, Ieva Rubaviciute","doi":"10.1515/crpm-2022-0025","DOIUrl":null,"url":null,"abstract":"<p><strong>Objectives: </strong>The congenital embryonic tumor known as sacrococcygeal teratoma (SCT) affects 1 in 35.000-40.000 newborns and is more prevalent in female fetuses and neonates. A total of 25-50% of SCTs are diagnosed by an ultrasound (US) examination during the second trimester of pregnancy. Planning the manner of delivery, determining the risk of negative outcomes, and choosing treatment options depend on the results of antenatal differential diagnosis.</p><p><strong>Case presentation: </strong>This is a unique case of a 29-year-old second gravida, suspected of having a fetal sacrococcygeal dysplasia differentiable between Type 2 SCT and terminal myelocystocele. An MRI revealed no typical SCT changes, as a matter of course, the diagnosis of myelocystocele could not have been excluded. The results of the genetic examination allowed to exclude the chromosomal pathology. Punctuation of the external component of the formation and a cytological examination were suggested. Nevertheless, the patient and her partner refused further studies and insisted on the termination of pregnancy. Medical abortion was induced and histological findings confirmed fetal morphology to be mature SCT.</p><p><strong>Conclusions: </strong>Cystic sacrococcygeal teratoma is an unusual malformation of fetal development. In the antenatal period SCT is diagnosed based upon an ultrasound evaluation, an MRI, and a multidisciplinary assessment of clinical experts. Differential diagnosis based upon clinical imaging during the gestational period is elaborate. The final medical diagnosis needs to be verified by a histological evaluation of pathological tissue. An antenatal medical diagnosis of fetal dysplasia is considerable for the further prognosis of fetal and newborn development.</p>","PeriodicalId":9617,"journal":{"name":"Case Reports in Perinatal Medicine","volume":"24 1","pages":"20220025"},"PeriodicalIF":0.2000,"publicationDate":"2023-01-11","publicationTypes":"Journal Article","fieldsOfStudy":null,"isOpenAccess":false,"openAccessPdf":"https://www.ncbi.nlm.nih.gov/pmc/articles/PMC11616544/pdf/","citationCount":"0","resultStr":"{\"title\":\"Antenatal and histological diagnostics of cystic sacrococcygeal teratoma. Clinical case and literature review.\",\"authors\":\"Egle Savukyne, Saule Krzconaviciute, Marija Vaitkeviciute, Egle Machtejeviene, Ieva Rubaviciute\",\"doi\":\"10.1515/crpm-2022-0025\",\"DOIUrl\":null,\"url\":null,\"abstract\":\"<p><strong>Objectives: </strong>The congenital embryonic tumor known as sacrococcygeal teratoma (SCT) affects 1 in 35.000-40.000 newborns and is more prevalent in female fetuses and neonates. A total of 25-50% of SCTs are diagnosed by an ultrasound (US) examination during the second trimester of pregnancy. Planning the manner of delivery, determining the risk of negative outcomes, and choosing treatment options depend on the results of antenatal differential diagnosis.</p><p><strong>Case presentation: </strong>This is a unique case of a 29-year-old second gravida, suspected of having a fetal sacrococcygeal dysplasia differentiable between Type 2 SCT and terminal myelocystocele. An MRI revealed no typical SCT changes, as a matter of course, the diagnosis of myelocystocele could not have been excluded. The results of the genetic examination allowed to exclude the chromosomal pathology. Punctuation of the external component of the formation and a cytological examination were suggested. Nevertheless, the patient and her partner refused further studies and insisted on the termination of pregnancy. Medical abortion was induced and histological findings confirmed fetal morphology to be mature SCT.</p><p><strong>Conclusions: </strong>Cystic sacrococcygeal teratoma is an unusual malformation of fetal development. In the antenatal period SCT is diagnosed based upon an ultrasound evaluation, an MRI, and a multidisciplinary assessment of clinical experts. Differential diagnosis based upon clinical imaging during the gestational period is elaborate. The final medical diagnosis needs to be verified by a histological evaluation of pathological tissue. An antenatal medical diagnosis of fetal dysplasia is considerable for the further prognosis of fetal and newborn development.</p>\",\"PeriodicalId\":9617,\"journal\":{\"name\":\"Case Reports in Perinatal Medicine\",\"volume\":\"24 1\",\"pages\":\"20220025\"},\"PeriodicalIF\":0.2000,\"publicationDate\":\"2023-01-11\",\"publicationTypes\":\"Journal Article\",\"fieldsOfStudy\":null,\"isOpenAccess\":false,\"openAccessPdf\":\"https://www.ncbi.nlm.nih.gov/pmc/articles/PMC11616544/pdf/\",\"citationCount\":\"0\",\"resultStr\":null,\"platform\":\"Semanticscholar\",\"paperid\":null,\"PeriodicalName\":\"Case Reports in Perinatal Medicine\",\"FirstCategoryId\":\"1085\",\"ListUrlMain\":\"https://doi.org/10.1515/crpm-2022-0025\",\"RegionNum\":0,\"RegionCategory\":null,\"ArticlePicture\":[],\"TitleCN\":null,\"AbstractTextCN\":null,\"PMCID\":null,\"EPubDate\":\"2023/1/1 0:00:00\",\"PubModel\":\"eCollection\",\"JCR\":\"Q4\",\"JCRName\":\"OBSTETRICS & GYNECOLOGY\",\"Score\":null,\"Total\":0}","platform":"Semanticscholar","paperid":null,"PeriodicalName":"Case Reports in Perinatal Medicine","FirstCategoryId":"1085","ListUrlMain":"https://doi.org/10.1515/crpm-2022-0025","RegionNum":0,"RegionCategory":null,"ArticlePicture":[],"TitleCN":null,"AbstractTextCN":null,"PMCID":null,"EPubDate":"2023/1/1 0:00:00","PubModel":"eCollection","JCR":"Q4","JCRName":"OBSTETRICS & GYNECOLOGY","Score":null,"Total":0}
引用次数: 0

摘要

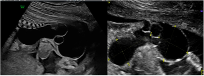
目的:骶尾翼畸胎瘤(SCT)是一种先天性胚胎肿瘤,发病率为3.5万至4万例新生儿中有1例,在女性胎儿和新生儿中更为普遍。在妊娠中期,25-50%的sct是通过超声(US)检查诊断出来的。计划分娩方式、确定不良后果的风险以及选择治疗方案取决于产前鉴别诊断的结果。病例介绍:这是一例独特的29岁二胎妊娠,怀疑胎儿骶尾骨发育不良,可在2型SCT和终末期髓囊性膨出之间鉴别。MRI未见典型SCT改变,当然不能排除髓囊性囊肿的诊断。基因检查的结果排除了染色体病理。建议对形成的外部成分进行标点符号和细胞学检查。然而,患者及其伴侣拒绝进一步研究并坚持终止妊娠。诱导药物流产,组织学检查证实胎儿形态为成熟SCT。结论:囊性骶尾骨畸胎瘤是一种罕见的胎儿发育畸形。在产前期,SCT的诊断是基于超声评估、MRI和临床专家的多学科评估。鉴别诊断基于临床影像在妊娠期是详细的。最终的医学诊断需要通过病理组织的组织学评估来验证。胎儿发育不良的产前医学诊断对胎儿和新生儿发育的进一步预后是相当重要的。
本文章由计算机程序翻译,如有差异,请以英文原文为准。

Antenatal and histological diagnostics of cystic sacrococcygeal teratoma. Clinical case and literature review.

Antenatal and histological diagnostics of cystic sacrococcygeal teratoma. Clinical case and literature review.

Antenatal and histological diagnostics of cystic sacrococcygeal teratoma. Clinical case and literature review.

Antenatal and histological diagnostics of cystic sacrococcygeal teratoma. Clinical case and literature review.

Objectives: The congenital embryonic tumor known as sacrococcygeal teratoma (SCT) affects 1 in 35.000-40.000 newborns and is more prevalent in female fetuses and neonates. A total of 25-50% of SCTs are diagnosed by an ultrasound (US) examination during the second trimester of pregnancy. Planning the manner of delivery, determining the risk of negative outcomes, and choosing treatment options depend on the results of antenatal differential diagnosis.

Case presentation: This is a unique case of a 29-year-old second gravida, suspected of having a fetal sacrococcygeal dysplasia differentiable between Type 2 SCT and terminal myelocystocele. An MRI revealed no typical SCT changes, as a matter of course, the diagnosis of myelocystocele could not have been excluded. The results of the genetic examination allowed to exclude the chromosomal pathology. Punctuation of the external component of the formation and a cytological examination were suggested. Nevertheless, the patient and her partner refused further studies and insisted on the termination of pregnancy. Medical abortion was induced and histological findings confirmed fetal morphology to be mature SCT.

Conclusions: Cystic sacrococcygeal teratoma is an unusual malformation of fetal development. In the antenatal period SCT is diagnosed based upon an ultrasound evaluation, an MRI, and a multidisciplinary assessment of clinical experts. Differential diagnosis based upon clinical imaging during the gestational period is elaborate. The final medical diagnosis needs to be verified by a histological evaluation of pathological tissue. An antenatal medical diagnosis of fetal dysplasia is considerable for the further prognosis of fetal and newborn development.

求助全文
通过发布文献求助,成功后即可免费获取论文全文。 去求助
来源期刊
Case Reports in Perinatal Medicine
Case Reports in Perinatal Medicine OBSTETRICS & GYNECOLOGY-
自引率
0.00%
发文量
37
期刊介绍: Case Reports in Perinatal Medicine is a double-blind peer-reviewed journal. The objective of the new journal is very similar to that of JPM. In addition to evidence-based studies, practitioners in clinical practice esteem especially exemplary reports of cases that reveal specific manifestations of diseases, its progress or its treatment. We consider case reports and series to be brief reports describing an isolated clinical case or a small number of cases. They may describe new or uncommon diagnoses, unusual outcomes or prognosis, new or infrequently used therapies and side effects of therapy not usually discovered in clinical trials. They represent the basic concept of experiences for studies on representative groups for further evidence-based research. The potential roles of case reports and case series are: Recognition and description of new diseases Detection of drug side effects (adverse or beneficial) Study of mechanisms of disease Medical education and audit Recognition of rare manifestations of disease.
×
引用
GB/T 7714-2015
复制
MLA
复制
APA
复制
导出至
BibTeX EndNote RefMan NoteFirst NoteExpress
×
提示
您的信息不完整,为了账户安全,请先补充。
现在去补充
×
提示
您因"违规操作"
具体请查看互助需知
我知道了
×
提示
确定
请完成安全验证×
copy
已复制链接
快去分享给好友吧!
我知道了
右上角分享
点击右上角分享
0
联系我们:info@booksci.cn Book学术提供免费学术资源搜索服务,方便国内外学者检索中英文文献。致力于提供最便捷和优质的服务体验。 Copyright © 2023 布克学术 All rights reserved.
京ICP备2023020795号-1
ghs 京公网安备 11010802042870号
Book学术文献互助
Book学术文献互助群
群 号:604180095
Book学术官方微信