纯化猪精子透明质酸酶的工业化可能性。

IF 1.6 4区 工程技术 Q4 ENERGY & FUELS
Energy Exploration & Exploitation Pub Date : 2023-11-01 Epub Date: 2023-11-30 DOI:10.5187/jast.2023.e53
Soojin Park, In-Soo Myeong, Gabbine Wee, Ekyune Kim
{"title":"纯化猪精子透明质酸酶的工业化可能性。","authors":"Soojin Park, In-Soo Myeong, Gabbine Wee, Ekyune Kim","doi":"10.5187/jast.2023.e53","DOIUrl":null,"url":null,"abstract":"<p><p>The goals of the present study were to develop a simple method for obtain highly purified pig sperm hyaluronidase (pHyase) and to assess its activity, function, and safety. In mammals, sperm-specific glycophosphatidylinositol (GPI)-anchored Hyase assists sperm penetration through the cumulus mass surrounding the egg and aids in the dispersal of the cumulus-oocyte complex. Recently, Purified bovine sperm hyaluronidase (bHyase) has been shown to enhance therapeutic drug transport by breaking down the hyaluronan barrier to the lymphatic and capillary vessels, thereby facilitating tissue absorption. Commercially available Hyase is typically isolated from bovine or ovine; which have several disadvantages, including the risk of bovine spongiform encephalopathy, low homology with human Hyase, and the requirement for relatively complex isolation procedures. This study successfully isolated highly purified pHyase in only two steps, using ammonium sulfate precipitation and fast protein liquid chromatography. The isolated Hyase had activity equal to that of commercial bHyase, facilitated in vitro fertilization, and effectively dissolved high molecule hyaluronic acid. This simple, effective isolation method could improve the availability of pHyase for research and clinical applications.</p>","PeriodicalId":11606,"journal":{"name":"Energy Exploration & Exploitation","volume":"35 1","pages":"1205-1213"},"PeriodicalIF":1.6000,"publicationDate":"2023-11-01","publicationTypes":"Journal Article","fieldsOfStudy":null,"isOpenAccess":false,"openAccessPdf":"https://www.ncbi.nlm.nih.gov/pmc/articles/PMC11007301/pdf/","citationCount":"0","resultStr":"{\"title\":\"Industrialization possibilities of purified pig sperm hyaluronidase.\",\"authors\":\"Soojin Park, In-Soo Myeong, Gabbine Wee, Ekyune Kim\",\"doi\":\"10.5187/jast.2023.e53\",\"DOIUrl\":null,\"url\":null,\"abstract\":\"<p><p>The goals of the present study were to develop a simple method for obtain highly purified pig sperm hyaluronidase (pHyase) and to assess its activity, function, and safety. In mammals, sperm-specific glycophosphatidylinositol (GPI)-anchored Hyase assists sperm penetration through the cumulus mass surrounding the egg and aids in the dispersal of the cumulus-oocyte complex. Recently, Purified bovine sperm hyaluronidase (bHyase) has been shown to enhance therapeutic drug transport by breaking down the hyaluronan barrier to the lymphatic and capillary vessels, thereby facilitating tissue absorption. Commercially available Hyase is typically isolated from bovine or ovine; which have several disadvantages, including the risk of bovine spongiform encephalopathy, low homology with human Hyase, and the requirement for relatively complex isolation procedures. This study successfully isolated highly purified pHyase in only two steps, using ammonium sulfate precipitation and fast protein liquid chromatography. The isolated Hyase had activity equal to that of commercial bHyase, facilitated in vitro fertilization, and effectively dissolved high molecule hyaluronic acid. This simple, effective isolation method could improve the availability of pHyase for research and clinical applications.</p>\",\"PeriodicalId\":11606,\"journal\":{\"name\":\"Energy Exploration & Exploitation\",\"volume\":\"35 1\",\"pages\":\"1205-1213\"},\"PeriodicalIF\":1.6000,\"publicationDate\":\"2023-11-01\",\"publicationTypes\":\"Journal Article\",\"fieldsOfStudy\":null,\"isOpenAccess\":false,\"openAccessPdf\":\"https://www.ncbi.nlm.nih.gov/pmc/articles/PMC11007301/pdf/\",\"citationCount\":\"0\",\"resultStr\":null,\"platform\":\"Semanticscholar\",\"paperid\":null,\"PeriodicalName\":\"Energy Exploration & Exploitation\",\"FirstCategoryId\":\"97\",\"ListUrlMain\":\"https://doi.org/10.5187/jast.2023.e53\",\"RegionNum\":4,\"RegionCategory\":\"工程技术\",\"ArticlePicture\":[],\"TitleCN\":null,\"AbstractTextCN\":null,\"PMCID\":null,\"EPubDate\":\"2023/11/30 0:00:00\",\"PubModel\":\"Epub\",\"JCR\":\"Q4\",\"JCRName\":\"ENERGY & FUELS\",\"Score\":null,\"Total\":0}","platform":"Semanticscholar","paperid":null,"PeriodicalName":"Energy Exploration & Exploitation","FirstCategoryId":"97","ListUrlMain":"https://doi.org/10.5187/jast.2023.e53","RegionNum":4,"RegionCategory":"工程技术","ArticlePicture":[],"TitleCN":null,"AbstractTextCN":null,"PMCID":null,"EPubDate":"2023/11/30 0:00:00","PubModel":"Epub","JCR":"Q4","JCRName":"ENERGY & FUELS","Score":null,"Total":0}
引用次数: 0

摘要

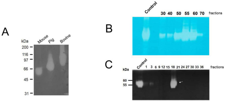
本研究的目的是开发一种获得高纯度猪精子透明质酸酶(pHyase)的简单方法,并评估其活性、功能和安全性。在哺乳动物中,精子特异性糖磷脂酰肌醇(GPI)锚定的透明质酸酶可帮助精子穿透卵子周围的积层,并有助于积层-卵母细胞复合体的扩散。最近的研究表明,纯化的牛精子透明质酸酶(bHyase)可通过打破淋巴管和毛细血管的透明质酸屏障来增强治疗药物的运输,从而促进组织吸收。市面上销售的透明质酸酶通常是从牛或绵羊身上分离出来的,它们有几个缺点,包括牛海绵状脑病的风险、与人类透明质酸酶的同源性低以及需要相对复杂的分离程序。本研究采用硫酸铵沉淀和快速蛋白质液相色谱法,仅用两个步骤就成功分离出高度纯化的 pHyase。分离出的 Hyase 具有与商业 bHyase 相同的活性,可促进体外受精,并能有效溶解高分子透明质酸。这种简单有效的分离方法可提高 pHyase 在研究和临床应用中的可用性。
本文章由计算机程序翻译,如有差异,请以英文原文为准。

Industrialization possibilities of purified pig sperm hyaluronidase.

Industrialization possibilities of purified pig sperm hyaluronidase.

Industrialization possibilities of purified pig sperm hyaluronidase.

Industrialization possibilities of purified pig sperm hyaluronidase.

The goals of the present study were to develop a simple method for obtain highly purified pig sperm hyaluronidase (pHyase) and to assess its activity, function, and safety. In mammals, sperm-specific glycophosphatidylinositol (GPI)-anchored Hyase assists sperm penetration through the cumulus mass surrounding the egg and aids in the dispersal of the cumulus-oocyte complex. Recently, Purified bovine sperm hyaluronidase (bHyase) has been shown to enhance therapeutic drug transport by breaking down the hyaluronan barrier to the lymphatic and capillary vessels, thereby facilitating tissue absorption. Commercially available Hyase is typically isolated from bovine or ovine; which have several disadvantages, including the risk of bovine spongiform encephalopathy, low homology with human Hyase, and the requirement for relatively complex isolation procedures. This study successfully isolated highly purified pHyase in only two steps, using ammonium sulfate precipitation and fast protein liquid chromatography. The isolated Hyase had activity equal to that of commercial bHyase, facilitated in vitro fertilization, and effectively dissolved high molecule hyaluronic acid. This simple, effective isolation method could improve the availability of pHyase for research and clinical applications.

求助全文
通过发布文献求助,成功后即可免费获取论文全文。 去求助
来源期刊
Energy Exploration & Exploitation
Energy Exploration & Exploitation 工程技术-能源与燃料
CiteScore
5.40
自引率
3.70%
发文量
78
审稿时长
3.9 months
期刊介绍: Energy Exploration & Exploitation is a peer-reviewed, open access journal that provides up-to-date, informative reviews and original articles on important issues in the exploration, exploitation, use and economics of the world’s energy resources.
×
引用
GB/T 7714-2015
复制
MLA
复制
APA
复制
导出至
BibTeX EndNote RefMan NoteFirst NoteExpress
×
提示
您的信息不完整,为了账户安全,请先补充。
现在去补充
×
提示
您因"违规操作"
具体请查看互助需知
我知道了
×
提示
确定
请完成安全验证×
copy
已复制链接
快去分享给好友吧!
我知道了
右上角分享
点击右上角分享
0
联系我们:info@booksci.cn Book学术提供免费学术资源搜索服务,方便国内外学者检索中英文文献。致力于提供最便捷和优质的服务体验。 Copyright © 2023 布克学术 All rights reserved.
京ICP备2023020795号-1
ghs 京公网安备 11010802042870号
Book学术文献互助
Book学术文献互助群
群 号:604180095
Book学术官方微信