胎儿镜下腔内气管闭塞(FETO)和双侧先天性膈疝。

IF 0.2 Q4 OBSTETRICS & GYNECOLOGY
Case Reports in Perinatal Medicine Pub Date : 2023-08-25 eCollection Date: 2023-01-01 DOI:10.1515/crpm-2023-0010
Adrita Khawash, Rania Kronfli, Anusha Arasu, Rashmi Gandhi, Kypros Nicolaides, Anne Greenough
{"title":"胎儿镜下腔内气管闭塞(FETO)和双侧先天性膈疝。","authors":"Adrita Khawash, Rania Kronfli, Anusha Arasu, Rashmi Gandhi, Kypros Nicolaides, Anne Greenough","doi":"10.1515/crpm-2023-0010","DOIUrl":null,"url":null,"abstract":"<p><strong>Objectives: </strong>Bilateral congenital diaphragmatic hernias (CDH) occur in one to two percent of CDH patients. There is a lower survival due to the greater likelihood of lung hypoplasia and associated anomalies. We report an infant with bilateral CDH and duodenal atresia who was successfully treated by fetoscopic endoluminal tracheal occlusion (FETO).</p><p><strong>Case presentation: </strong>The fetus was diagnosed with CDH at 23 weeks of gestation. Her mother was referred to our tertiary centre as the observed to expected lung-to-head ratio (O/E LHR) at 26 weeks of gestation was only 17 %. The fetus was treated by FETO with an increase in the LHR. The mother had polyhydramnios and underwent amniotic fluid drainage at 26 and 31 weeks of gestation. She had preterm, premature rupture of the membranes at 31+3 weeks of gestation. The FETO balloon was punctured and the mother received corticosteroids. She underwent spontaneous labour at 35+6 weeks of gestation when the LHR was 55 %. At birth, the female infant was electively intubated and ventilated. After successful stabilisation, surgical intervention was undertaken on day six when the defects were identified as bilateral, type C posterolateral CDHs. Bilateral patch repair of the CDHs was undertaken using 'domed' Goretex patches. Type one duodenal atresia (DA) was identified and repaired with enterotomy and diamond duodenoduodenostomy. There was partial and then full abdominal closure on days 12 and 15 respectively. The infant is now four months of age and requires no respiratory support.</p><p><strong>Conclusions: </strong>FETO can improve prognosis in infants with bilateral CDH.</p>","PeriodicalId":9617,"journal":{"name":"Case Reports in Perinatal Medicine","volume":"61 1","pages":"20230010"},"PeriodicalIF":0.2000,"publicationDate":"2023-08-25","publicationTypes":"Journal Article","fieldsOfStudy":null,"isOpenAccess":false,"openAccessPdf":"https://www.ncbi.nlm.nih.gov/pmc/articles/PMC11616979/pdf/","citationCount":"0","resultStr":"{\"title\":\"Fetoscopic endoluminal tracheal occlusion (FETO) and bilateral congenital diaphragmatic hernia.\",\"authors\":\"Adrita Khawash, Rania Kronfli, Anusha Arasu, Rashmi Gandhi, Kypros Nicolaides, Anne Greenough\",\"doi\":\"10.1515/crpm-2023-0010\",\"DOIUrl\":null,\"url\":null,\"abstract\":\"<p><strong>Objectives: </strong>Bilateral congenital diaphragmatic hernias (CDH) occur in one to two percent of CDH patients. There is a lower survival due to the greater likelihood of lung hypoplasia and associated anomalies. We report an infant with bilateral CDH and duodenal atresia who was successfully treated by fetoscopic endoluminal tracheal occlusion (FETO).</p><p><strong>Case presentation: </strong>The fetus was diagnosed with CDH at 23 weeks of gestation. Her mother was referred to our tertiary centre as the observed to expected lung-to-head ratio (O/E LHR) at 26 weeks of gestation was only 17 %. The fetus was treated by FETO with an increase in the LHR. The mother had polyhydramnios and underwent amniotic fluid drainage at 26 and 31 weeks of gestation. She had preterm, premature rupture of the membranes at 31+3 weeks of gestation. The FETO balloon was punctured and the mother received corticosteroids. She underwent spontaneous labour at 35+6 weeks of gestation when the LHR was 55 %. At birth, the female infant was electively intubated and ventilated. After successful stabilisation, surgical intervention was undertaken on day six when the defects were identified as bilateral, type C posterolateral CDHs. Bilateral patch repair of the CDHs was undertaken using 'domed' Goretex patches. Type one duodenal atresia (DA) was identified and repaired with enterotomy and diamond duodenoduodenostomy. There was partial and then full abdominal closure on days 12 and 15 respectively. The infant is now four months of age and requires no respiratory support.</p><p><strong>Conclusions: </strong>FETO can improve prognosis in infants with bilateral CDH.</p>\",\"PeriodicalId\":9617,\"journal\":{\"name\":\"Case Reports in Perinatal Medicine\",\"volume\":\"61 1\",\"pages\":\"20230010\"},\"PeriodicalIF\":0.2000,\"publicationDate\":\"2023-08-25\",\"publicationTypes\":\"Journal Article\",\"fieldsOfStudy\":null,\"isOpenAccess\":false,\"openAccessPdf\":\"https://www.ncbi.nlm.nih.gov/pmc/articles/PMC11616979/pdf/\",\"citationCount\":\"0\",\"resultStr\":null,\"platform\":\"Semanticscholar\",\"paperid\":null,\"PeriodicalName\":\"Case Reports in Perinatal Medicine\",\"FirstCategoryId\":\"1085\",\"ListUrlMain\":\"https://doi.org/10.1515/crpm-2023-0010\",\"RegionNum\":0,\"RegionCategory\":null,\"ArticlePicture\":[],\"TitleCN\":null,\"AbstractTextCN\":null,\"PMCID\":null,\"EPubDate\":\"2023/1/1 0:00:00\",\"PubModel\":\"eCollection\",\"JCR\":\"Q4\",\"JCRName\":\"OBSTETRICS & GYNECOLOGY\",\"Score\":null,\"Total\":0}","platform":"Semanticscholar","paperid":null,"PeriodicalName":"Case Reports in Perinatal Medicine","FirstCategoryId":"1085","ListUrlMain":"https://doi.org/10.1515/crpm-2023-0010","RegionNum":0,"RegionCategory":null,"ArticlePicture":[],"TitleCN":null,"AbstractTextCN":null,"PMCID":null,"EPubDate":"2023/1/1 0:00:00","PubModel":"eCollection","JCR":"Q4","JCRName":"OBSTETRICS & GYNECOLOGY","Score":null,"Total":0}
引用次数: 0

摘要

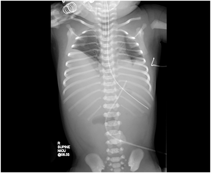
目的:双侧先天性膈疝(CDH)发生在先天性膈疝患者的1%至2%。由于肺发育不全和相关异常的可能性较大,生存率较低。我们报告了一名患有双侧CDH和十二指肠闭锁的婴儿,他成功地接受了胎儿镜下腔内气管闭塞(FETO)的治疗。病例介绍:胎儿在妊娠23周时被诊断为CDH。她的母亲被转介到我们的三级中心,因为在妊娠26周时观察到的预期肺头比(O/E LHR)仅为17. %。胎儿用FETO治疗,LHR升高。母亲羊水过多,妊娠26周和31周分别行羊水引流术。她早产,在妊娠31+3周时胎膜早破。FETO气囊被刺破,母亲接受了皮质类固醇治疗。她在妊娠35+6周时自然分娩,LHR为55 %。出生时,对女婴进行选择性插管和通气。成功稳定后,在第6天进行手术干预,当缺陷被确定为双侧C型后外侧cdh时。采用“圆顶”Goretex补片对中枢轴进行双侧补片修复。发现1型十二指肠闭锁(DA),采用肠切开术和菱形十二指肠吻合术进行修复。第12天和第15天分别部分和完全关闭腹部。婴儿现在四个月大,不需要呼吸支持。结论:FETO可改善患儿双侧CDH的预后。
本文章由计算机程序翻译,如有差异,请以英文原文为准。

Fetoscopic endoluminal tracheal occlusion (FETO) and bilateral congenital diaphragmatic hernia.

Fetoscopic endoluminal tracheal occlusion (FETO) and bilateral congenital diaphragmatic hernia.

Fetoscopic endoluminal tracheal occlusion (FETO) and bilateral congenital diaphragmatic hernia.

Objectives: Bilateral congenital diaphragmatic hernias (CDH) occur in one to two percent of CDH patients. There is a lower survival due to the greater likelihood of lung hypoplasia and associated anomalies. We report an infant with bilateral CDH and duodenal atresia who was successfully treated by fetoscopic endoluminal tracheal occlusion (FETO).

Case presentation: The fetus was diagnosed with CDH at 23 weeks of gestation. Her mother was referred to our tertiary centre as the observed to expected lung-to-head ratio (O/E LHR) at 26 weeks of gestation was only 17 %. The fetus was treated by FETO with an increase in the LHR. The mother had polyhydramnios and underwent amniotic fluid drainage at 26 and 31 weeks of gestation. She had preterm, premature rupture of the membranes at 31+3 weeks of gestation. The FETO balloon was punctured and the mother received corticosteroids. She underwent spontaneous labour at 35+6 weeks of gestation when the LHR was 55 %. At birth, the female infant was electively intubated and ventilated. After successful stabilisation, surgical intervention was undertaken on day six when the defects were identified as bilateral, type C posterolateral CDHs. Bilateral patch repair of the CDHs was undertaken using 'domed' Goretex patches. Type one duodenal atresia (DA) was identified and repaired with enterotomy and diamond duodenoduodenostomy. There was partial and then full abdominal closure on days 12 and 15 respectively. The infant is now four months of age and requires no respiratory support.

Conclusions: FETO can improve prognosis in infants with bilateral CDH.

求助全文
通过发布文献求助,成功后即可免费获取论文全文。 去求助
来源期刊
Case Reports in Perinatal Medicine
Case Reports in Perinatal Medicine OBSTETRICS & GYNECOLOGY-
自引率
0.00%
发文量
37
期刊介绍: Case Reports in Perinatal Medicine is a double-blind peer-reviewed journal. The objective of the new journal is very similar to that of JPM. In addition to evidence-based studies, practitioners in clinical practice esteem especially exemplary reports of cases that reveal specific manifestations of diseases, its progress or its treatment. We consider case reports and series to be brief reports describing an isolated clinical case or a small number of cases. They may describe new or uncommon diagnoses, unusual outcomes or prognosis, new or infrequently used therapies and side effects of therapy not usually discovered in clinical trials. They represent the basic concept of experiences for studies on representative groups for further evidence-based research. The potential roles of case reports and case series are: Recognition and description of new diseases Detection of drug side effects (adverse or beneficial) Study of mechanisms of disease Medical education and audit Recognition of rare manifestations of disease.
×
引用
GB/T 7714-2015
复制
MLA
复制
APA
复制
导出至
BibTeX EndNote RefMan NoteFirst NoteExpress
×
提示
您的信息不完整,为了账户安全,请先补充。
现在去补充
×
提示
您因"违规操作"
具体请查看互助需知
我知道了
×
提示
确定
请完成安全验证×
copy
已复制链接
快去分享给好友吧!
我知道了
右上角分享
点击右上角分享
0
联系我们:info@booksci.cn Book学术提供免费学术资源搜索服务,方便国内外学者检索中英文文献。致力于提供最便捷和优质的服务体验。 Copyright © 2023 布克学术 All rights reserved.
京ICP备2023020795号-1
ghs 京公网安备 11010802042870号
Book学术文献互助
Book学术文献互助群
群 号:604180095
Book学术官方微信