伴有尿道重复的尿道窦畸形中的巨大结石:病例报告与文献综述。

Shreyas Dudhani, Amit Kumar Sinha, Bindey Kumar, Amit Kumar, Monika Anant
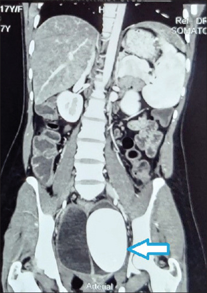
{"title":"伴有尿道重复的尿道窦畸形中的巨大结石:病例报告与文献综述。","authors":"Shreyas Dudhani, Amit Kumar Sinha, Bindey Kumar, Amit Kumar, Monika Anant","doi":"10.4103/ajps.ajps_89_22","DOIUrl":null,"url":null,"abstract":"<p><strong>Abstract: </strong>Primary vaginal calculi are uncommon in children. Urethral duplication in females is seen to occur in association with complex congenital malformations. We report the case of perianal persistent urogenital sinus with a hypertrophied clitoris with phallic urethra, scrotum-like pouch, uterus didelphys with obstructed hemivagina, and giant colpolithiasis in 46XX female. A 16-year-old presented with pain abdomen and cyclic passage of blood clots per rectum. She had a tender lump in left iliac region, a phallus like protrusion and a ruggous sac below it. Vaginal opening was absent. Computed tomography showed two uterine horns with a separate cervix and distended non-communicating hemivaginas with a large calcified oval mass in the left hemivagina. On exploration, calculus was extracted from the left hemivagina. The large calculus found in the left hemivagina appears to be the cause of all presenting symptoms. It obstructed the left hemivagina, filling the left uterine horn with menstrual blood causing its gradual enlargement and secondary infection. The early diagnosis and prompt referral of such an anomaly can only be ensured in institutional deliveries. For a significant proportion of newborns in the developing world, the ability to afford or even be referred to institutes which deal with such cases is a luxurious affair. We hope to bridge bridging the knowledge, attitude and practice gap that exists in our health-care system with this report.</p>","PeriodicalId":72123,"journal":{"name":"African journal of paediatric surgery : AJPS","volume":"1 1","pages":"69-72"},"PeriodicalIF":0.0000,"publicationDate":"2024-01-01","publicationTypes":"Journal Article","fieldsOfStudy":null,"isOpenAccess":false,"openAccessPdf":"https://www.ncbi.nlm.nih.gov/pmc/articles/PMC10903723/pdf/","citationCount":"0","resultStr":"{\"title\":\"Giant Colpolithiasis in Urogenital Sinus Anomaly with Urethral Duplication: A Case Report and Review of Literature.\",\"authors\":\"Shreyas Dudhani, Amit Kumar Sinha, Bindey Kumar, Amit Kumar, Monika Anant\",\"doi\":\"10.4103/ajps.ajps_89_22\",\"DOIUrl\":null,\"url\":null,\"abstract\":\"<p><strong>Abstract: </strong>Primary vaginal calculi are uncommon in children. Urethral duplication in females is seen to occur in association with complex congenital malformations. We report the case of perianal persistent urogenital sinus with a hypertrophied clitoris with phallic urethra, scrotum-like pouch, uterus didelphys with obstructed hemivagina, and giant colpolithiasis in 46XX female. A 16-year-old presented with pain abdomen and cyclic passage of blood clots per rectum. She had a tender lump in left iliac region, a phallus like protrusion and a ruggous sac below it. Vaginal opening was absent. Computed tomography showed two uterine horns with a separate cervix and distended non-communicating hemivaginas with a large calcified oval mass in the left hemivagina. On exploration, calculus was extracted from the left hemivagina. The large calculus found in the left hemivagina appears to be the cause of all presenting symptoms. It obstructed the left hemivagina, filling the left uterine horn with menstrual blood causing its gradual enlargement and secondary infection. The early diagnosis and prompt referral of such an anomaly can only be ensured in institutional deliveries. For a significant proportion of newborns in the developing world, the ability to afford or even be referred to institutes which deal with such cases is a luxurious affair. We hope to bridge bridging the knowledge, attitude and practice gap that exists in our health-care system with this report.</p>\",\"PeriodicalId\":72123,\"journal\":{\"name\":\"African journal of paediatric surgery : AJPS\",\"volume\":\"1 1\",\"pages\":\"69-72\"},\"PeriodicalIF\":0.0000,\"publicationDate\":\"2024-01-01\",\"publicationTypes\":\"Journal Article\",\"fieldsOfStudy\":null,\"isOpenAccess\":false,\"openAccessPdf\":\"https://www.ncbi.nlm.nih.gov/pmc/articles/PMC10903723/pdf/\",\"citationCount\":\"0\",\"resultStr\":null,\"platform\":\"Semanticscholar\",\"paperid\":null,\"PeriodicalName\":\"African journal of paediatric surgery : AJPS\",\"FirstCategoryId\":\"1085\",\"ListUrlMain\":\"https://doi.org/10.4103/ajps.ajps_89_22\",\"RegionNum\":0,\"RegionCategory\":null,\"ArticlePicture\":[],\"TitleCN\":null,\"AbstractTextCN\":null,\"PMCID\":null,\"EPubDate\":\"2023/1/19 0:00:00\",\"PubModel\":\"Epub\",\"JCR\":\"\",\"JCRName\":\"\",\"Score\":null,\"Total\":0}","platform":"Semanticscholar","paperid":null,"PeriodicalName":"African journal of paediatric surgery : AJPS","FirstCategoryId":"1085","ListUrlMain":"https://doi.org/10.4103/ajps.ajps_89_22","RegionNum":0,"RegionCategory":null,"ArticlePicture":[],"TitleCN":null,"AbstractTextCN":null,"PMCID":null,"EPubDate":"2023/1/19 0:00:00","PubModel":"Epub","JCR":"","JCRName":"","Score":null,"Total":0}
引用次数: 0

摘要

摘要:原发性阴道结石在儿童中并不常见。女性尿道重复与复杂的先天性畸形有关。我们报告了一例 46 岁女性肛周持续性尿道窦,伴有阴蒂肥大和阴茎尿道、阴囊样囊袋、双子宫和半阴道梗阻,以及巨大阴道结石。一名 16 岁女孩因腹部疼痛和直肠周期性排出血块而就诊。她的左侧髂骨区有一个触痛的肿块,像阴茎一样突出,下面有一个瘤状囊。阴道口缺失。计算机断层扫描显示她有两个子宫角和一个独立的宫颈,半侧阴道胀大且不相通,左侧半侧阴道内有一个巨大的钙化椭圆形肿块。探查时,从左侧半阴道取出了结石。左侧半阴道内发现的巨大结石似乎是所有症状的起因。它阻塞了左侧半阴道,使左侧子宫角充满经血,导致其逐渐增大并继发感染。只有在住院分娩时才能确保对这种异常情况进行早期诊断和及时转诊。对于发展中国家的大部分新生儿来说,能够负担得起或甚至被转诊到处理此类病例的机构都是一件奢侈的事情。我们希望通过本报告弥合医疗保健系统在知识、态度和实践方面存在的差距。
本文章由计算机程序翻译,如有差异,请以英文原文为准。

Giant Colpolithiasis in Urogenital Sinus Anomaly with Urethral Duplication: A Case Report and Review of Literature.

Giant Colpolithiasis in Urogenital Sinus Anomaly with Urethral Duplication: A Case Report and Review of Literature.

Giant Colpolithiasis in Urogenital Sinus Anomaly with Urethral Duplication: A Case Report and Review of Literature.

Giant Colpolithiasis in Urogenital Sinus Anomaly with Urethral Duplication: A Case Report and Review of Literature.

Abstract: Primary vaginal calculi are uncommon in children. Urethral duplication in females is seen to occur in association with complex congenital malformations. We report the case of perianal persistent urogenital sinus with a hypertrophied clitoris with phallic urethra, scrotum-like pouch, uterus didelphys with obstructed hemivagina, and giant colpolithiasis in 46XX female. A 16-year-old presented with pain abdomen and cyclic passage of blood clots per rectum. She had a tender lump in left iliac region, a phallus like protrusion and a ruggous sac below it. Vaginal opening was absent. Computed tomography showed two uterine horns with a separate cervix and distended non-communicating hemivaginas with a large calcified oval mass in the left hemivagina. On exploration, calculus was extracted from the left hemivagina. The large calculus found in the left hemivagina appears to be the cause of all presenting symptoms. It obstructed the left hemivagina, filling the left uterine horn with menstrual blood causing its gradual enlargement and secondary infection. The early diagnosis and prompt referral of such an anomaly can only be ensured in institutional deliveries. For a significant proportion of newborns in the developing world, the ability to afford or even be referred to institutes which deal with such cases is a luxurious affair. We hope to bridge bridging the knowledge, attitude and practice gap that exists in our health-care system with this report.

求助全文
通过发布文献求助,成功后即可免费获取论文全文。 去求助
来源期刊
自引率
0.00%
发文量
0
×
引用
GB/T 7714-2015
复制
MLA
复制
APA
复制
导出至
BibTeX EndNote RefMan NoteFirst NoteExpress
×
提示
您的信息不完整,为了账户安全,请先补充。
现在去补充
×
提示
您因"违规操作"
具体请查看互助需知
我知道了
×
提示
确定
请完成安全验证×
copy
已复制链接
快去分享给好友吧!
我知道了
右上角分享
点击右上角分享
0
联系我们:info@booksci.cn Book学术提供免费学术资源搜索服务,方便国内外学者检索中英文文献。致力于提供最便捷和优质的服务体验。 Copyright © 2023 布克学术 All rights reserved.
京ICP备2023020795号-1
ghs 京公网安备 11010802042870号
Book学术文献互助
Book学术文献互助群
群 号:604180095
Book学术官方微信