清道夫受体稳定素-1和稳定素-2的缺乏导致小鼠肌束蛋白结构域TGFBI和骨膜蛋白在肾脏和肝脏的年龄依赖性沉积

IF 7.1 1区 医学 Q1 CELL BIOLOGY
Aging Cell Pub Date : 2023-06-25 DOI:10.1111/acel.13914
Thomas Leibing, Anna Riedel, Yannick Xi, Monica Adrian, Jessica Krzistetzko, Christof Kirkamm, Christof Dormann, Kai Schledzewski, Sergij Goerdt, Cyrill Géraud
{"title":"清道夫受体稳定素-1和稳定素-2的缺乏导致小鼠肌束蛋白结构域TGFBI和骨膜蛋白在肾脏和肝脏的年龄依赖性沉积","authors":"Thomas Leibing,&nbsp;Anna Riedel,&nbsp;Yannick Xi,&nbsp;Monica Adrian,&nbsp;Jessica Krzistetzko,&nbsp;Christof Kirkamm,&nbsp;Christof Dormann,&nbsp;Kai Schledzewski,&nbsp;Sergij Goerdt,&nbsp;Cyrill Géraud","doi":"10.1111/acel.13914","DOIUrl":null,"url":null,"abstract":"<p>Stabilin-1 (Stab1) and Stabilin-2 (Stab2) are two major scavenger receptors of liver sinusoidal endothelial cells that mediate removal of diverse molecules from the plasma. Double-knockout mice (Stab-DKO) develop impaired kidney function and a decreased lifespan, while single Stabilin deficiency or therapeutic inhibition ameliorates atherosclerosis and Stab1-inhibition is subject of clinical trials in immuno-oncology. Although POSTN and TFGBI have recently been described as novel Stabilin ligands, the dynamics and functional implications of these ligands have not been comprehensively studied. Immunofluorescence, Western Blotting and Simple Western™ as well as in situ hybridization (RNAScope™) and qRT-PCR were used to analyze transcription levels and tissue distribution of POSTN and TGFBI in Stab-KO mice. Stab-POSTN-Triple deficient mice were generated to assess kidney and liver fibrosis and function in young and aged mice. TGFBI and POSTN protein accumulated in liver tissue in Stab-DKO mice and age-dependent in glomeruli of Stabilin-deficient mice despite unchanged transcriptional levels. Stab-POSTN-Triple KO mice showed glomerulofibrosis and a reduced lifespan comparable to Stab-DKO mice. However, alterations of the glomerular diameter and vascular density were partially normalized in Stab-POSTN-Triple KO. TGFBI and POSTN are Stabilin-ligands that are deposited in an age-dependent manner in the kidneys and liver due to insufficient scavenging in the liver. Functionally, POSTN might partially contribute to the observed renal phenotype in Stab-DKO mice. This study provides details on downstream effects how Stabilin dysfunction affects organ function on a molecular and functional level.</p>","PeriodicalId":119,"journal":{"name":"Aging Cell","volume":"22 9","pages":""},"PeriodicalIF":7.1000,"publicationDate":"2023-06-25","publicationTypes":"Journal Article","fieldsOfStudy":null,"isOpenAccess":false,"openAccessPdf":"https://onlinelibrary.wiley.com/doi/epdf/10.1111/acel.13914","citationCount":"3","resultStr":"{\"title\":\"Deficiency for scavenger receptors Stabilin-1 and Stabilin-2 leads to age-dependent renal and hepatic depositions of fasciclin domain proteins TGFBI and Periostin in mice\",\"authors\":\"Thomas Leibing,&nbsp;Anna Riedel,&nbsp;Yannick Xi,&nbsp;Monica Adrian,&nbsp;Jessica Krzistetzko,&nbsp;Christof Kirkamm,&nbsp;Christof Dormann,&nbsp;Kai Schledzewski,&nbsp;Sergij Goerdt,&nbsp;Cyrill Géraud\",\"doi\":\"10.1111/acel.13914\",\"DOIUrl\":null,\"url\":null,\"abstract\":\"<p>Stabilin-1 (Stab1) and Stabilin-2 (Stab2) are two major scavenger receptors of liver sinusoidal endothelial cells that mediate removal of diverse molecules from the plasma. Double-knockout mice (Stab-DKO) develop impaired kidney function and a decreased lifespan, while single Stabilin deficiency or therapeutic inhibition ameliorates atherosclerosis and Stab1-inhibition is subject of clinical trials in immuno-oncology. Although POSTN and TFGBI have recently been described as novel Stabilin ligands, the dynamics and functional implications of these ligands have not been comprehensively studied. Immunofluorescence, Western Blotting and Simple Western™ as well as in situ hybridization (RNAScope™) and qRT-PCR were used to analyze transcription levels and tissue distribution of POSTN and TGFBI in Stab-KO mice. Stab-POSTN-Triple deficient mice were generated to assess kidney and liver fibrosis and function in young and aged mice. TGFBI and POSTN protein accumulated in liver tissue in Stab-DKO mice and age-dependent in glomeruli of Stabilin-deficient mice despite unchanged transcriptional levels. Stab-POSTN-Triple KO mice showed glomerulofibrosis and a reduced lifespan comparable to Stab-DKO mice. However, alterations of the glomerular diameter and vascular density were partially normalized in Stab-POSTN-Triple KO. TGFBI and POSTN are Stabilin-ligands that are deposited in an age-dependent manner in the kidneys and liver due to insufficient scavenging in the liver. Functionally, POSTN might partially contribute to the observed renal phenotype in Stab-DKO mice. This study provides details on downstream effects how Stabilin dysfunction affects organ function on a molecular and functional level.</p>\",\"PeriodicalId\":119,\"journal\":{\"name\":\"Aging Cell\",\"volume\":\"22 9\",\"pages\":\"\"},\"PeriodicalIF\":7.1000,\"publicationDate\":\"2023-06-25\",\"publicationTypes\":\"Journal Article\",\"fieldsOfStudy\":null,\"isOpenAccess\":false,\"openAccessPdf\":\"https://onlinelibrary.wiley.com/doi/epdf/10.1111/acel.13914\",\"citationCount\":\"3\",\"resultStr\":null,\"platform\":\"Semanticscholar\",\"paperid\":null,\"PeriodicalName\":\"Aging Cell\",\"FirstCategoryId\":\"99\",\"ListUrlMain\":\"https://onlinelibrary.wiley.com/doi/10.1111/acel.13914\",\"RegionNum\":1,\"RegionCategory\":\"医学\",\"ArticlePicture\":[],\"TitleCN\":null,\"AbstractTextCN\":null,\"PMCID\":null,\"EPubDate\":\"\",\"PubModel\":\"\",\"JCR\":\"Q1\",\"JCRName\":\"CELL BIOLOGY\",\"Score\":null,\"Total\":0}","platform":"Semanticscholar","paperid":null,"PeriodicalName":"Aging Cell","FirstCategoryId":"99","ListUrlMain":"https://onlinelibrary.wiley.com/doi/10.1111/acel.13914","RegionNum":1,"RegionCategory":"医学","ArticlePicture":[],"TitleCN":null,"AbstractTextCN":null,"PMCID":null,"EPubDate":"","PubModel":"","JCR":"Q1","JCRName":"CELL BIOLOGY","Score":null,"Total":0}
引用次数: 3

摘要

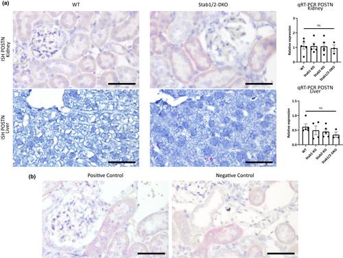
stabin -1 (Stab1)和stabin -2 (Stab2)是肝窦内皮细胞的两种主要的清道夫受体,介导血浆中各种分子的清除。双敲除小鼠(Stab-DKO)出现肾功能受损和寿命缩短,而单一稳定蛋白缺乏或治疗性抑制可改善动脉粥样硬化,而稳定蛋白抑制是免疫肿瘤学临床试验的主题。虽然POSTN和TFGBI最近被描述为新型的Stabilin配体,但这些配体的动力学和功能意义尚未得到全面研究。采用免疫荧光、Western Blotting和Simple Western™以及原位杂交(RNAScope™)和qRT-PCR分析staba - ko小鼠中POSTN和TGFBI的转录水平和组织分布。生成stab - postn三重缺陷小鼠,以评估年轻和老年小鼠的肾脏和肝脏纤维化及其功能。tgf - fbi和POSTN蛋白在stabin - dko小鼠的肝组织中积累,而在稳定蛋白缺乏小鼠的肾小球中,tgf - fbi和POSTN蛋白的转录水平不变。与Stab-DKO小鼠相比,Stab-POSTN-Triple KO小鼠表现出肾小球纤维化和寿命缩短。然而,在stab - post - triple KO中,肾小球直径和血管密度的改变部分正常化。TGFBI和POSTN是稳定配体,由于肝脏清除不足,它们以年龄依赖的方式沉积在肾脏和肝脏中。功能上,POSTN可能部分参与了Stab-DKO小鼠肾脏表型的观察。这项研究提供了稳定素功能障碍如何在分子和功能水平上影响器官功能的下游效应的细节。
本文章由计算机程序翻译,如有差异,请以英文原文为准。

Deficiency for scavenger receptors Stabilin-1 and Stabilin-2 leads to age-dependent renal and hepatic depositions of fasciclin domain proteins TGFBI and Periostin in mice

Deficiency for scavenger receptors Stabilin-1 and Stabilin-2 leads to age-dependent renal and hepatic depositions of fasciclin domain proteins TGFBI and Periostin in mice

Stabilin-1 (Stab1) and Stabilin-2 (Stab2) are two major scavenger receptors of liver sinusoidal endothelial cells that mediate removal of diverse molecules from the plasma. Double-knockout mice (Stab-DKO) develop impaired kidney function and a decreased lifespan, while single Stabilin deficiency or therapeutic inhibition ameliorates atherosclerosis and Stab1-inhibition is subject of clinical trials in immuno-oncology. Although POSTN and TFGBI have recently been described as novel Stabilin ligands, the dynamics and functional implications of these ligands have not been comprehensively studied. Immunofluorescence, Western Blotting and Simple Western™ as well as in situ hybridization (RNAScope™) and qRT-PCR were used to analyze transcription levels and tissue distribution of POSTN and TGFBI in Stab-KO mice. Stab-POSTN-Triple deficient mice were generated to assess kidney and liver fibrosis and function in young and aged mice. TGFBI and POSTN protein accumulated in liver tissue in Stab-DKO mice and age-dependent in glomeruli of Stabilin-deficient mice despite unchanged transcriptional levels. Stab-POSTN-Triple KO mice showed glomerulofibrosis and a reduced lifespan comparable to Stab-DKO mice. However, alterations of the glomerular diameter and vascular density were partially normalized in Stab-POSTN-Triple KO. TGFBI and POSTN are Stabilin-ligands that are deposited in an age-dependent manner in the kidneys and liver due to insufficient scavenging in the liver. Functionally, POSTN might partially contribute to the observed renal phenotype in Stab-DKO mice. This study provides details on downstream effects how Stabilin dysfunction affects organ function on a molecular and functional level.

求助全文
通过发布文献求助,成功后即可免费获取论文全文。 去求助
来源期刊
Aging Cell
Aging Cell Biochemistry, Genetics and Molecular Biology-Cell Biology
自引率
2.60%
发文量
212
期刊介绍: Aging Cell is an Open Access journal that focuses on the core aspects of the biology of aging, encompassing the entire spectrum of geroscience. The journal's content is dedicated to publishing research that uncovers the mechanisms behind the aging process and explores the connections between aging and various age-related diseases. This journal aims to provide a comprehensive understanding of the biological underpinnings of aging and its implications for human health. The journal is widely recognized and its content is abstracted and indexed by numerous databases and services, which facilitates its accessibility and impact in the scientific community. These include: Academic Search (EBSCO Publishing) Academic Search Alumni Edition (EBSCO Publishing) Academic Search Premier (EBSCO Publishing) Biological Science Database (ProQuest) CAS: Chemical Abstracts Service (ACS) Embase (Elsevier) InfoTrac (GALE Cengage) Ingenta Select ISI Alerting Services Journal Citation Reports/Science Edition (Clarivate Analytics) MEDLINE/PubMed (NLM) Natural Science Collection (ProQuest) PubMed Dietary Supplement Subset (NLM) Science Citation Index Expanded (Clarivate Analytics) SciTech Premium Collection (ProQuest) Web of Science (Clarivate Analytics) Being indexed in these databases ensures that the research published in Aging Cell is discoverable by researchers, clinicians, and other professionals interested in the field of aging and its associated health issues. This broad coverage helps to disseminate the journal's findings and contributes to the advancement of knowledge in geroscience.
×
引用
GB/T 7714-2015
复制
MLA
复制
APA
复制
导出至
BibTeX EndNote RefMan NoteFirst NoteExpress
×
提示
您的信息不完整,为了账户安全,请先补充。
现在去补充
×
提示
您因"违规操作"
具体请查看互助需知
我知道了
×
提示
确定
请完成安全验证×
copy
已复制链接
快去分享给好友吧!
我知道了
右上角分享
点击右上角分享
0
联系我们:info@booksci.cn Book学术提供免费学术资源搜索服务,方便国内外学者检索中英文文献。致力于提供最便捷和优质的服务体验。 Copyright © 2023 布克学术 All rights reserved.
京ICP备2023020795号-1
ghs 京公网安备 11010802042870号
Book学术文献互助
Book学术文献互助群
群 号:604180095
Book学术官方微信