释放YAP功能障碍引起的复制毒性可使间充质干细胞恢复活力

IF 7.1 1区 医学 Q1 CELL BIOLOGY
Aging Cell Pub Date : 2023-06-20 DOI:10.1111/acel.13913
Fanyuan Yu, Lin Yao, Feifei Li, Chenglin Wang, Ling Ye
{"title":"释放YAP功能障碍引起的复制毒性可使间充质干细胞恢复活力","authors":"Fanyuan Yu, Lin Yao, Feifei Li, Chenglin Wang, Ling Ye","doi":"10.1111/acel.13913","DOIUrl":null,"url":null,"abstract":"Hippo‐independent YAP dysfunction has been demonstrated to cause chronological aging of stromal cells by impairing the integrity of nuclear envelope (NE). In parallel with this report, we uncover that YAP activity also controls another type of cellular senescence, the replicative senescence in in vitro expansion of mesenchymal stromal cells (MSCs), but this event is Hippo phosphorylation‐dependent, and there exist another NE integrity‐independent downstream mechanisms of YAP. Specifically, Hippo phosphorylation causes reduced nuclear/active YAP and then decreases the level of YAP protein in the proceeding of replicative senescence. YAP/TEAD governs RRM2 expression to release replicative toxicity (RT) via licensing G1/S transition. Besides, YAP controls the core transcriptomics of RT to delay the onset of genome instability and enhances DNA damage response/repair. Hippo‐off mutations of YAP (YAPS127A/S381A) satisfactorily release RT via maintaining cell cycle and reducing genome instability, finally rejuvenating MSCs and restoring their regenerative capabilities without risks of tumorigenesis.","PeriodicalId":119,"journal":{"name":"Aging Cell","volume":"22 9","pages":""},"PeriodicalIF":7.1000,"publicationDate":"2023-06-20","publicationTypes":"Journal Article","fieldsOfStudy":null,"isOpenAccess":false,"openAccessPdf":"https://onlinelibrary.wiley.com/doi/epdf/10.1111/acel.13913","citationCount":"0","resultStr":"{\"title\":\"Releasing YAP dysfunction-caused replicative toxicity rejuvenates mesenchymal stem cells\",\"authors\":\"Fanyuan Yu, Lin Yao, Feifei Li, Chenglin Wang, Ling Ye\",\"doi\":\"10.1111/acel.13913\",\"DOIUrl\":null,\"url\":null,\"abstract\":\"Hippo‐independent YAP dysfunction has been demonstrated to cause chronological aging of stromal cells by impairing the integrity of nuclear envelope (NE). In parallel with this report, we uncover that YAP activity also controls another type of cellular senescence, the replicative senescence in in vitro expansion of mesenchymal stromal cells (MSCs), but this event is Hippo phosphorylation‐dependent, and there exist another NE integrity‐independent downstream mechanisms of YAP. Specifically, Hippo phosphorylation causes reduced nuclear/active YAP and then decreases the level of YAP protein in the proceeding of replicative senescence. YAP/TEAD governs RRM2 expression to release replicative toxicity (RT) via licensing G1/S transition. Besides, YAP controls the core transcriptomics of RT to delay the onset of genome instability and enhances DNA damage response/repair. Hippo‐off mutations of YAP (YAPS127A/S381A) satisfactorily release RT via maintaining cell cycle and reducing genome instability, finally rejuvenating MSCs and restoring their regenerative capabilities without risks of tumorigenesis.\",\"PeriodicalId\":119,\"journal\":{\"name\":\"Aging Cell\",\"volume\":\"22 9\",\"pages\":\"\"},\"PeriodicalIF\":7.1000,\"publicationDate\":\"2023-06-20\",\"publicationTypes\":\"Journal Article\",\"fieldsOfStudy\":null,\"isOpenAccess\":false,\"openAccessPdf\":\"https://onlinelibrary.wiley.com/doi/epdf/10.1111/acel.13913\",\"citationCount\":\"0\",\"resultStr\":null,\"platform\":\"Semanticscholar\",\"paperid\":null,\"PeriodicalName\":\"Aging Cell\",\"FirstCategoryId\":\"99\",\"ListUrlMain\":\"https://onlinelibrary.wiley.com/doi/10.1111/acel.13913\",\"RegionNum\":1,\"RegionCategory\":\"医学\",\"ArticlePicture\":[],\"TitleCN\":null,\"AbstractTextCN\":null,\"PMCID\":null,\"EPubDate\":\"\",\"PubModel\":\"\",\"JCR\":\"Q1\",\"JCRName\":\"CELL BIOLOGY\",\"Score\":null,\"Total\":0}","platform":"Semanticscholar","paperid":null,"PeriodicalName":"Aging Cell","FirstCategoryId":"99","ListUrlMain":"https://onlinelibrary.wiley.com/doi/10.1111/acel.13913","RegionNum":1,"RegionCategory":"医学","ArticlePicture":[],"TitleCN":null,"AbstractTextCN":null,"PMCID":null,"EPubDate":"","PubModel":"","JCR":"Q1","JCRName":"CELL BIOLOGY","Score":null,"Total":0}
引用次数: 0

摘要

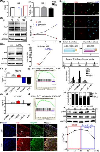
hippo独立的YAP功能障碍已被证明通过损害核膜的完整性(NE)导致基质细胞的时间老化。与此同时,我们发现YAP活性还控制着另一种类型的细胞衰老,即间充质基质细胞(MSCs)体外扩增中的复制性衰老,但这一事件依赖于Hippo磷酸化,并且存在另一种与NE完整性无关的YAP下游机制。具体来说,Hippo磷酸化导致细胞核/活性YAP减少,然后在复制衰老过程中降低YAP蛋白的水平。YAP/TEAD控制RRM2表达,通过许可G1/S过渡释放复制毒性(RT)。此外,YAP控制RT的核心转录组学,延缓基因组不稳定的发生,增强DNA损伤反应/修复。YAP (YAPS127A/S381A)的hipoff突变通过维持细胞周期和减少基因组不稳定性来令人满意地释放RT,最终使MSCs恢复活力并恢复其再生能力,而没有发生肿瘤的风险。
本文章由计算机程序翻译,如有差异,请以英文原文为准。

Releasing YAP dysfunction-caused replicative toxicity rejuvenates mesenchymal stem cells

Releasing YAP dysfunction-caused replicative toxicity rejuvenates mesenchymal stem cells
Hippo‐independent YAP dysfunction has been demonstrated to cause chronological aging of stromal cells by impairing the integrity of nuclear envelope (NE). In parallel with this report, we uncover that YAP activity also controls another type of cellular senescence, the replicative senescence in in vitro expansion of mesenchymal stromal cells (MSCs), but this event is Hippo phosphorylation‐dependent, and there exist another NE integrity‐independent downstream mechanisms of YAP. Specifically, Hippo phosphorylation causes reduced nuclear/active YAP and then decreases the level of YAP protein in the proceeding of replicative senescence. YAP/TEAD governs RRM2 expression to release replicative toxicity (RT) via licensing G1/S transition. Besides, YAP controls the core transcriptomics of RT to delay the onset of genome instability and enhances DNA damage response/repair. Hippo‐off mutations of YAP (YAPS127A/S381A) satisfactorily release RT via maintaining cell cycle and reducing genome instability, finally rejuvenating MSCs and restoring their regenerative capabilities without risks of tumorigenesis.
求助全文
通过发布文献求助,成功后即可免费获取论文全文。 去求助
来源期刊
Aging Cell
Aging Cell Biochemistry, Genetics and Molecular Biology-Cell Biology
自引率
2.60%
发文量
212
期刊介绍: Aging Cell is an Open Access journal that focuses on the core aspects of the biology of aging, encompassing the entire spectrum of geroscience. The journal's content is dedicated to publishing research that uncovers the mechanisms behind the aging process and explores the connections between aging and various age-related diseases. This journal aims to provide a comprehensive understanding of the biological underpinnings of aging and its implications for human health. The journal is widely recognized and its content is abstracted and indexed by numerous databases and services, which facilitates its accessibility and impact in the scientific community. These include: Academic Search (EBSCO Publishing) Academic Search Alumni Edition (EBSCO Publishing) Academic Search Premier (EBSCO Publishing) Biological Science Database (ProQuest) CAS: Chemical Abstracts Service (ACS) Embase (Elsevier) InfoTrac (GALE Cengage) Ingenta Select ISI Alerting Services Journal Citation Reports/Science Edition (Clarivate Analytics) MEDLINE/PubMed (NLM) Natural Science Collection (ProQuest) PubMed Dietary Supplement Subset (NLM) Science Citation Index Expanded (Clarivate Analytics) SciTech Premium Collection (ProQuest) Web of Science (Clarivate Analytics) Being indexed in these databases ensures that the research published in Aging Cell is discoverable by researchers, clinicians, and other professionals interested in the field of aging and its associated health issues. This broad coverage helps to disseminate the journal's findings and contributes to the advancement of knowledge in geroscience.
×
引用
GB/T 7714-2015
复制
MLA
复制
APA
复制
导出至
BibTeX EndNote RefMan NoteFirst NoteExpress
×
提示
您的信息不完整,为了账户安全,请先补充。
现在去补充
×
提示
您因"违规操作"
具体请查看互助需知
我知道了
×
提示
确定
请完成安全验证×
copy
已复制链接
快去分享给好友吧!
我知道了
右上角分享
点击右上角分享
0
联系我们:info@booksci.cn Book学术提供免费学术资源搜索服务,方便国内外学者检索中英文文献。致力于提供最便捷和优质的服务体验。 Copyright © 2023 布克学术 All rights reserved.
京ICP备2023020795号-1
ghs 京公网安备 11010802042870号
Book学术文献互助
Book学术文献互助群
群 号:604180095
Book学术官方微信